Что такое кальцинаты в легких? Подробнее о проблеме
Как выявить кальцинаты в легких.
Что такое кальцинаты в легких? Кальцинатами медицинские специалисты именуют скопление нетипичных для определенного органа, тканей, которые заполнены отложения кальциевых солей.
Кальцинаты в легких, непосредственно в легких, способны образовываться под влиянием разнообразных патогенных факторов. Указанные измененные зоны альвеол ухудшают процесс газообмена, затрудняя его и снижая показатели жизненной емкости органов.
Они также способны выступать очагами для размножения вредоносных микроорганизмов, так как кальций не характеризуется иммунной активностью и не предоставляет возможности организму эффективно и быстро подавлять распространение патогенов.
Процесс возникновения областей с отложениями кальциевых солей стартует с травмирования физиологически нормальных тканей. Этот процесс выражается поражением здоровой клеточной структуры и ее замещение рубцами из соединительной ткани.
Указанный тип клеток не имеет собственную систему сосудов, не обогащается кислородом и питательными веществами. Для того, чтобы стабилизироваться, соединительные ткани способны притягивать к себе ионы разнообразных солей.
Кальцинаты правого и левого легкого – причинные факторы
Что провоцирует проявление поражения.
В зависимости от привычного для человека образа жизни и его профессиональной занятости, причинные факторы, которые увеличивают риски возникновения легочных поражений, могут заметно различаться.
Но наиболее часто, причины классические – они рассмотрены в таблице:
Кальцинированные очаги в легких — причиныПровокаторОписаниеОбраз жизни человекаНездоровый образ жизни, при котором человек имеет табачную зависимость, принимает спиртосодержащие напитки в значительных объемах и проживает в регионе, где неблагоприятная экологическая обстановка.
Воспалительный процессПроцессы воспалительного характера, протекающие в бронхолегочной системе, такие как бронхиолиты, асбестоз, пневмонии, бронхиты, туберкулез.
Отрицательные воздействияТермические и химические воздействия, которые заключаются в неблагоприятных условиях работы, посещениях парилок и саун, вдыхание токсических веществ, а также ряд иных факторов, приводящих к поступлению в дыхательные пути загрязненных либо излишне горячих/холодных воздушных масс.
Причины появления кальцинат легкого определяются исходя из анамнеза жизни пациента, а также заболеваемости конкретного человека. Данное обстоятельство обуславливается тем, что обезызвествление тканей выступает процессом высокой длительности, который требует не 1 месяц и даже не один год.
По этой причине, на флюорографическом снимке кальцинаты правого дыхательного органа способны проявляться спустя 2-3 года с факта перенесенной без соблюдения постельного режима, то есть на ногах, воспаления легких. Невзирая на данное обстоятельство, состояние человека требует круглосуточного мониторинга и выполнения диагностики дифференциального характера.
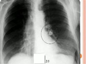
Опасны ли небольшие кальцинаты.Важно! Даже кальцинаты малого размера (на фото) в правом легком, также, как и в левом, способны становится первичным фактором, который повышает риски возникновения онкологических заболеваний и туберкулеза.
По этой причине важным является исключить более серьезные патологические процессы у на стартовом этапе.
Для подобного требуется выполнить ряд диагностических мероприятий, таких как:
- Бронхоскопию, в ходе которой будут взяты биологические материалы для следующей гистероскопии.
- Посев выводимой мокроты, исходя из которого, можно будет сделать выводы касательно заражения туберкулезом.
- Обзорная рентгенография, со снимками в нескольких проекций.
- В тяжелых случаях может быть необходимой компьютерная томография, которая на данный момент признана наиболее информативной методикой диагностирования.
Кальцинат в левом легком требует внимания, не меньшего, чем кальцинат правового легкого, так как его присутствие свидетельствует о том, что в легочных тканях протекает какой-то патологический процесс воспалительного характера.

Достаточно часто, при более детальном рассмотрении и расширенном прохождении пациентом обследовании, диагностируются следующие патологические состояния:
ЭКГ.
Для того чтобы исключить прочие нарушения здоровья, пациенту рекомендуется выполнить ЭКГ и УЗИ сердечной мышцы. Также, в качестве обязательной диагностической меры, вступают общие анализы урины и крови.
Только врач после получения результатов обследования сможет определить точный диагноз для пациента и подобрать методику воздействия.
Единичный кальцинат легких
Возможно ли восстановить здоровье легких.
На данный момент времени, достаточно часто медицинские специалисты пропускают образование единичного кальцината малых размеров. Тем не менее, даже подобное явление обязано становиться поводом для беспокойства и более детального обследования человека – для выяснения основной причины, по которой кальцинат возник.
Также, образование из солей кальция требует адекватной терапии. Восстановить легочные ткани, которые подверглись кальцинированию, по большей части – затруднительно, в ряде случаев может потребоваться несколько лет для того, чтобы пациент полностью восстановился.
Тем не менее, такая терапия и следование врачебным рекомендациям в период восстановления – жизненная необходимость, так как это позволяет понизить риски возникновения и стремительного прогрессирования онкологических процессов и туберкулеза.
Терапия кальцинатов в дыхательных органах начинается с розыска причинного фактора, поспособствовавшего возникновению отложения и удаления его из жизни пациента. По большей части, это является признаком контактирования пациента с человеком, который инфицирован туберкулезом на протяжении длительного временного промежутка.
Какие методы позволяют определить причину заболевания.Внимание! Также, в очаге, который окружен кальцинированными тканями, может находиться инкапсулированная микобактерия туберкулеза.
По этой причине необходима консультация с фтизиатром, а также прохождение лабораторных анализов. В тех случаях, когда обнаруживается положительная реакция, то пациенту выполняется лечение туберкулезной инфекции превентивного характера. Также, требуется исключить вероятность глистной инвазии, так как кальцинаты могут являться следствием миграции аскариды и личинок прочих червей.
Вторым согласно степени распространенности, выступают паразиты – пневмоцисты, которые имеют способности к созданию вокруг себя плотной оболочки из извести для того, чтобы защититься от иммунных механизмов организма. Для того, чтобы определить наличие глистной инвазии, требуется пройти ряд лабораторных анализов.
Тем не менее, требуется не только анализ кала, но также и определенное исследование отделяемой мокроты. В том случае, когда диагноз подтверждается, то лечение отложений кальциевых солей в легочных структурах начинается с применения антигельминтных фармакологических средств.
Важно выявить фактор-провокатор.Важно! После того, как причина возникновения кальцинатов была устранена, восстановительный процесс жизненного объема легких начинается. Специалисты рекомендуют полноценное питание, в котором будет присутствовать значительное содержание белков животного и растительного происхождения. Также, могут применяться фармакологические средства, характеризующиеся способностями усиливать интенсивность регенеративных процессов организма. Актовегин.
К таким препаратам относятся Солкосерил и Актовегин.
Также, может применяться электрофорез с такими препаратами:
- алоэ;
- стекловидным телом;
- фибсом.
В качестве дополнения требуется применять травы с лекарственными свойствами, направленными на отхождение и выведение мокроты из альвеол. Для того, чтобы полностью восстановились легочные ткани, пациенту требуется следовать врачебным рекомендациям.
Инструкция требует:
- посещать рефлексотерапию;
- выполнять вибрационный массаж;
- делать комплексы дыхательной гимнастики.
Также рекомендуется ежегодно в процессе восстановления посещать морское побережье в теплый сезон – для полноценного восстановления легких требуется не менее 40 дней. Что такое кальцинаты и в чем их опасность для человека, расскажет читателям видео в этой статье.
Представляют ли опасность кальциевые отложения в легких ребенка?
Чем опасны кальцинаты у ребенка.
В последние годы, случаи врожденных патологических изменений легочных тканей участились. Кальцинат в легких у ребенка может проявиться, если он в первые годы собственной жизни имел контакт с агрессией туберкулезной палочки.

Скорее всего, организм, поместив возбудителя в капсулу из солей кальция, обезопасил организм от дальнейшего инфицирования. Тем не менее, требуется консультация и последующее лечение фтизиатра, особенно при условии гипертрофической реакции на Манту.
Инфекция на этапе внутриутробного развития плода также может становиться причиной отложения кальциевых солей в легочных структурах. Наиболее часто, подобный объект исчезаем сам собой на протяжении дальнейшего роста.
Тем не менее, рекомендуется наблюдать за самочувствием ребенка, а также регулярно выполнять его профилактические осмотры для того, чтобы следить за динамикой исчезновения отложений кальция.
Симптоматические проявления отложений кальциевых солей в легочной системе
Какие признаки могут указывать на развитие заболевания.
Наличие в организме кальцинатов может также сопровождаться и поражением прочих органов. Основываясь на данном факте, имеется возможность выделить симптоматические проявления, которые свойственны при поражении легочных структур, а также при поражении иных структур организма пациента.
Общими симптоматическими проявлениями наличия кальцинатов в организме, выступают следующие нарушения здоровья:
- общее ощущение слабости;
- повышение показателей общей температуры тела;
- отсутствие аппетита;
- снижение возможностей мускулатуры;
- сбои режима сна/бодрствования;
- боли головы, головокружения;
- повышенная степень раздражительности;
- образование одышки;
- затрудненность дыхательной функции;
- смена цвета покровов кожи – в особенности, если кальцинаты в корнях в легких.
Когда легочные кальцинаты дополняются образованиями в прочих органах, к примеру – печени, возникают такие симптоматические проявления:
- болезненность правого подреберья;
- рвота с кровяными включениями;
- варикоз передней стенки брюшины.
Когда кальцинаты возникли в почечных структурах, симптоматические проявления имеют следующий характер:
- отечность нижних конечностей;
- отечность лица;
- недомогание общего характера;
- желтоватый оттенок покровов кожи;
- снижение количества выводимой урины;
- отсутствие аппетита;
- сбой режима сна/бодрствования.
Кальцинаты могут присутствовать не только в легких.
Когда кальцинаты возникают в щитовидной железе, симптоматика проявляется такая:
- отсутствие аппетита;
- недомогание общего характера;
- ощущение холода на постоянной основе;
- увеличение железистого органа в размерах.
Кроме указанного, пациент может также ощущать, что его умственные способности понизились, что также указывает на отложение солей кальция в железистом органе.
Диагностирование кальциевых образований и их терапия
Обнаружить кальцинаты в определенном органе возможно при использовании рентгенографии.
Снимок предоставляет возможность обнаружить не только отложения кальциевых солей, но также и прочие нарушения здоровья легких:
Терапия кальцинатов должна начинаться даже при обнаружении единственного кальциевого образования, не говоря уж об множественном их скоплении. Для полноценного восстановления кальцинированной ткани потребуется значительное количество сил и времени.
Чем опасны кальцинаты.
Первоочередным этапом терапии является профилактика возникновения онкологических патологий и туберкулеза. Вместе с этим обнаруживается причина, которая спровоцировала нарушение, и ликвидируется.
В период восстановления, после ликвидации провоцирующего кальцинирование легочных тканей фактора, выполняются меры, направленные на восстановление жизненных объемов легких и регенерацию их тканей.
Достигается это за счет отхождения мокроты и выведения ее из организма, а также общеукрепляющих физиотерапевтических процедур и соблюдения основ ЗОЖ, цена несоблюдения этих правил крайне высока, недуг может стремительно прогрессировать.
Читать далее…
Источник:
Кальцинаты в лимфоузлах легких у ребенка
Лимфатическая система призвана защищать организм человека от различных болезней и выводить токсины. Кальцинированный лимфоузел образуется в результате заноса и оседания солей кальция в результате инфекции.
Причины
Кальцинаты в лимфоузлах бывают разных размеров и чаще всего являются признаком перенесенного ранее воспаления. Иногда такое встречается в результате вакцинации против туберкулеза, когда возбудитель болезни с током лимфы попал в узелок, где со временем образовалась капсула.
Соли кальция в лимфатических узлах также могут оседать из-за:
- грибковых инфекций;
- венерических заболеваний;
- прием препаратов для лечения подагры;
- туберкулеза;
- онкологии;
- аутоиммунных болезней.
Диагностика и лечение
Кальцинаты во внешних лимфатических узлах определяются как плотные образования. Во внутренних — патологические изменения можно увидеть при рентгенографии, магнитно-резонансной или компьютерной томографии.

Специфического лечения для кальцинированных очагов не существует. Нужно обращать внимание на причину, которая повлекла за собой оседание солей кальция. При необходимости проводится операция по удалению патологического лимфоузла.
Для усиления иммунитета, который снижается из-за присутствия кальцинатов, рекомендуется отказаться от вредных привычек, обеспечить полноценное питание, сформировать правильный режим труда и отдыха.
Кальцинаты в легких – это патологические образования, которые формируются в тканях. Они возникают вследствие отложения солей кальция в паренхиме (мягких тканях) органа. Образование кальцинатов можно рассматривать как защитную реакцию организма, так как они формируются в измененных и отмерших фрагментах легких.
Благодаря этому пораженные ткани инкапсулируются, и патологический процесс не распространяется на здоровые участки. Пациенты должны знать, что такое кальцинаты, чтобы своевременно обращаться к врачу при обнаружении симптомов заболевания. Кальцинация – это отложение солей в мягких тканях с формированием плотных очагов.
Их появление в большинстве случаев связано с хроническим, вялотекущим патологическим процессом, который затрагивает ткани легких.
Причины формирования
Причины появления кальциевых камней включают:
- Туберкулез в стадии кальцификации. Одним из заболеваний, наиболее часто провоцирующих развитие обызвествления, является туберкулез легких. На поздних стадиях течения у пациента можно обнаружить множественные очаги патологически измененных тканей, пропитанных солями кальция. В фазе кальцинации процесс возникновения солевых отложений развивается еще и в лимфоузлах корня легкого (ТВГЛУ- туберкулез внутригрудных лимфоузлов).
- Бактериальные или вирусные воспаления в ткани легких. Часто кальцинаты возникают при пневмонии с продолжительным течением.
- Поражение паразитами приводит к отложению солей кальция в паренхиме органа. Нередко в легких обнаруживают личинки эхинококков и аскарид (чаще встречаются у детей). Чтобы защитить здоровые ткани от глистной инвазии, кальцинированные области ограждаются барьером из прочной солевой пленки. Внутри такого панциря при исследовании можно заметить мелкий очаг, где размножаются паразиты. Личинки в легких плохо поддаются лечению традиционными противоглистными препаратами. Для лечения от кальцинированных личинок паразитов применяют Intoxic, увеличивающий эффект от лечения кальцинатов в 5 раз.
- Абсцедирование тканей органа. Когда в бронхи и альвеолы проникают гноеродные бактерии, их размножение приводит к формированию полости в легких – абсцесса. Без правильного лечения заболевание может переходить в хроническую форму, вследствие чего в патологически измененных тканях скапливаются соли. После этого в легких кальцинаты формируются на месте абсцесса.
- Рак легких. В фазе распространения рака по бронхам в легких неизбежно возникают очаги, в которых ткани кальцинируются. Этот симптом является одним из диагностических признаков заболевания.
- Инородное тело. Когда в легочную ткань проникает какое-либо инородное тело, в организме пациента запускается компенсаторная защитная реакция. В окружающих его областях начинает скапливаться кальций, что приводит к образованию плотной капсулы, защищающей здоровые ткани. Это необходимо, так как на инородном теле могут содержаться микроорганизмы, размножение которых может привести к воспалению ткани легких. Кальцинат в легких препятствует проникновению бактерий в ткани органа.
- Нарушения солевого обмена. В некоторых случаях (например, при болезнях паращитовидной железы) в организме нарушается нормальный обмен кальция. В результате, его распределение между костями, кровью и мягкими тканями изменяется. Соли кальция откладываются в тех областях, где в норме их не должно быть, в том числе и в легких. Это приводит к замещению здоровой ткани кальцинатами.
Источник:
Кальцинированный лимфоузел в легких
Кальцинаты – это образования, которые формируются в результате скопления солей кальция. По плотности они сопоставимы с костной тканью. Новообразования чаще всего являются остаточным явлением воспалительной патологии нижних дыхательных путей. Кальцинаты в лёгких без труда обнаруживают при плановой флюорографии.
Причины формирования солевых образований, патогенез
Основная причина появления солевых отложений – перенесённый туберкулёз лёгких. Кальцинат формируется как ответная реакция организма на внедрение микобактерии (палочки Коха). В местах поражения паренхимы образуется гранулёма, заключённая в фиброзную капсулу.
Так купируется распространение инфекции по органу. Полная изоляция инфекционного очага не является контагиозной, представляет опасности для всего организма и окружающих людей. Но заболевание может вернуться при самостоятельном вскрытии капсулы.
Обнаружение петрификата (некротического или дистрофического участка) не всегда свидетельствует о том, что человек переболел туберкулёзом. Это может обозначать, что был контакт с контагиозным лицом, но иммунитет человека самостоятельно справился с инфекцией и остановил её развитие и распространение.
Кальцинирование происходит в местах рубцевания повреждённой или воспалённой ткани. Процесс формирования известковой капсулы может длиться несколько лет. Это свидетельствует о том, что патология носит исключительно хронический характер.
Возможные причины образования кальцинатов:
- бактериальная инфекция лёгких с образованием микроабсцессов;
- нарушение кальциевого обмена и процессов метаболизма в организме;
- доброкачественные или злокачественные новообразования в лёгких;
- наличие инородного тела в органах дыхательной системы;
- неадекватное лечение паразитарной или другой инфекции;
- воспалительные процессы – пневмония, бронхопневмония, перикардит.
Редкая причина – врождённая кальцинация лёгких. Она формируется в период внутриутробного развития при инфицировании матери и диагностируется у детей.
К группе риска относятся такие категории людей:
- работники химической, горнодобывающей, строительной отрасли;
- пациенты, в анамнезе которых есть иммунодефицитные состояния – ВИЧ, СПИД;
- люди, страдающие хроническим алкоголизмом, курильщики со стажем;
- жители районов с повышенной эпидемиологической обстановкой, связанной с туберкулёзом;
- пациенты с хронической патологией внутренних органов, ослабленным иммунитетом;
- лица с неблагоприятными социальными условиями и нижким уровнем жизни (постоянные недоедания, неполноценное питание, отсутствие надлежащей медицинской помощи, постоянные переохлаждения).
Клиническая картина заболевания
Этап формирования кальцинатов часто протекает бессимптомно. Поэтому в большинстве случаев пациенты не подозревают о развитии патологии в лёгких. Структурные изменения происходят без субъективных признаков. Это связано с отсутствием болевых рецепторов в паренхиме.
Так как видоизменение лёгочной ткани сопровождается незначительным воспалением, то могут проявляться невыраженные симптомы интоксикации:
- общая слабость, повышенная усталость;
- быстрая физическая утомляемость, снижение работоспособности;
- нарушение фаз сна, потеря аппетита;
- потливость в ночное время суток;
- повышение температуры тела до субфебрильных значений;
- головные боли, головокружения;
- психоэмоциональная нестабильность – раздражение, апатия.
Отложения солей изменяют нормальную структуру альвеол. Это приводит к блокировке функциональности органа. Нарушаются физиологические процессы газообмена, постепенно развивается дыхательная недостаточность.
У человека появляется одышка при незначительных физических нагрузках, учащается сердцебиение. В области груди отмечается чувство распирания. Кожа приобретает бледный или синий оттенок.
Наличие мелких кальцинатов по всему органу свидетельствует о запущенной стадии хронической болезни. У таких пациентов отличительным признаком является деформация ногтевой пластины, появление характерного внешнего вида – «часовые стёклышки». Пальцы похожи на барабанные палочки.
Диагностика новообразований
Кальцинаты определяются при проведении флюорографии или рентгена грудной клетки. На рентгеновских снимках они округлой формы с чёткими границами, на флюорографии фиксируются затемнения определённых участков паренхимы (это говорит о перенесённом воспалительном процессе в органе).
Чаще всего уплотнения расположены вблизи рёбер. Это обозначает, что кальцинаты отложились в корнях лёгких. На снимке образования дают тень с округлёнными краями.
Если обнаружили кальцинаты в лёгких у взрослых, назначают такие обязательные обследования:
- лабораторное исследование мокроты из бронхов;
- туберкулиновая проба;
- компьютерная томография.
Прежде чем лечить эту болезнь, необходимо провести дифференциальную диагностику и исключить глистную инвазию и злокачественную опухоль.
Методы лечения патологии
В большинстве случаев специфического лечения кальцинатов в лёгких не требуется. Пациент должен регулярно наблюдаться у врача и делать плановые обследования для контроля состояния капсул. Важно сохранять все снимки, чтобы была возможность отслеживать динамику патологических преобразований.

Так как наличие отложений снижает сопротивляемость инфекциям, необходимо следить за иммунитетом и поддерживать его.
Основные рекомендации:
- отказ от курения;
- соблюдение мер предосторожности и техники безопасности на загрязняющем производстве;
- обеспечение полноценного питания;
- правильная организация труда и отдыха;
- использование индивидуальных средств гигиены.
Крайне редко показано хирургическое лечение. Его проводят только при наличии кальцинатов больших размеров, которые склонны к увеличению в размерах и заметно нарушают газообменную функцию лёгких.
Для повышения защитных сил организма и сопротивляемости респираторным инфекциям, которые часто приводят к бронхолёгочным осложнениям, назначают лечение народными средствами.
Эффективно употребление продуктов, богатых витамином С – лимон, болгарский перец. Для укрепления иммунитета назначают смеси, содержащие орехи и сухофрукты.
Рецепт. Измельчить грецкие орехи, курагу, изюм. Полученную массу смешать с мёдом и свежее выжатым лимонным соком в равных пропорциях. Принимать за 30 мин. до приёма пищи взрослым по 1 ст. л., детям по 1 ч. л.
Для регулирования водно-солевого баланса, назначают травяной сбор, разработанный фитотерапевтом, С.А. Ройзманом. Он способствует выведению избытка кальция из тканей, устраняет болевые ощущения в грудной клетке, снимает спазмы.
Состав сбора: семена укропа, аниса и кориандра, корень одуванчика, трава тысячелистника, крапивы, душицы, донника, листья мяты, цветы календулы и чёрной бузины, берёзовые почки. Все ингредиенты смешивают в равном количестве (по 10 г). Из фитосбора готовят отвар и принимают по полстакана за 10-15 мин. до еды.
Кальцинаты в лёгких это не опасное для жизни заболевание. Капсулирование свидетельствует о блокировке воспалительного процесса. Поэтому все лечебные мероприятия направлены на профилактику и предотвращение прогрессирования патологии.
Кальцинаты в легких – это патологические образования, которые формируются в тканях. Они возникают вследствие отложения солей кальция в паренхиме (мягких тканях) органа. Образование кальцинатов можно рассматривать как защитную реакцию организма, так как они формируются в измененных и отмерших фрагментах легких.
Благодаря этому пораженные ткани инкапсулируются, и патологический процесс не распространяется на здоровые участки. Пациенты должны знать, что такое кальцинаты, чтобы своевременно обращаться к врачу при обнаружении симптомов заболевания. Кальцинация – это отложение солей в мягких тканях с формированием плотных очагов.
Их появление в большинстве случаев связано с хроническим, вялотекущим патологическим процессом, который затрагивает ткани легких.
Почему появляются кальцинаты в легких у взрослых и детей
На приеме у фтизиатра люди нередко впервые слышат о кальцинатах в легких. Поставленный диагноз может сильно напугать, особенно если доктор не нашел время подробнее рассказать об этом состоянии. Далекий от медицины человек не знает, что это такое — кальцинаты в легких, что это обозначает, и насколько они могут быть опасны для здоровья.
Не стоит паниковать! Кальцинаты в легких — это отложение солей кальция в легочной ткани. Они «крадут» объем в легких, тем самым вызывают нехватку кислорода. Это в большинстве случаев не говорит о действующем туберкулезе и раке, как многие считают. Сегодня на блоге вместе с врачом Евгенией Набродовой мы разберемся в этой теме. Передаю ей слово.
У взрослых после 60 лет часто обнаруживают кальцинаты в легких. И это не самостоятельное заболевание, а просто физиологическое изменение, связанное с перенесенными ранее воспалительными процессами. Если врач после флюорографии сообщает вам о кальцинатах, попросите его рассказать, что это такое и каковы причины их появления в вашем организме, и насколько это может быть для вас опасно.
Хороший специалист обязательно уделит минутку пациенту и развеет его страхи. А слова врача лучше всего успокаивают больного и не дают ему придумывать себе несуществующие болезни.
Причины появления кальцинатов в легких
Кальцинаты в легких — это не страшно. Их появление говорит о том, что раньше человек перенес инфекционно-воспалительные заболевания дыхательной системы. Но сказать точно, опасно ли это состояние, когда кальцинаты в легких, может только врач. При этом важно обращать внимание на размер и количество отложений.

Основные причины кальцинатов в легких:
- пневмония, недолеченные хронические болезни легких воспалительно-инфекционного характера;
- перенесенный ранее туберкулез;
- глистные инвазии;
- нарушения обмена кальция;
- попадание инородного предмета в легкие;
- перенесенные в пошлом злокачественные патологии;
- неблагоприятное токсическое влияние (при работе с химикатами, проживании в опасных экологических условиях).
Как видите, причин появления кальцинатов в легких у взрослых несколько. И они никак не связаны с опасным острым процессом, способным угрожать жизни и здоровью человека.
У взрослых часто образуются кальцинаты в легких после пневмонии и перенесенного туберкулеза. У детей соли кальция откладываются редко. Все другие перечисленные причины кальцинатов — больше предположительные и редко встречающиеся.
Почему так настойчиво напоминаю вам о том, что мелкие кальцинаты в легких — это не болезнь? Врачи сегодня неразговорчивые, большой поток пациентов и возложенная на плечи терапевтов и фтизиатров бумажная волокита не позволяют подолгу общаться с каждым больным. Такая ситуация не только в государственных учреждениях, но даже в платных частных центрах.
В поисках достоверной информации люди смотрят разные источники, где могут быть написаны несуществующие «пугалки» насчет кальцинатов вообще и кальцинатов в корнях легких у детей и взрослых. Недавно лично видела информацию о том, что якобы внутри кальцинатов «прячутся» бактерии туберкулеза и раковые клетки. Не верьте всему, что пишут в сети! Проверяйте информацию.
Любой фтизиатр вам скажет, что кальцинаты в легких для людей, перенесших когда-то воспаление, затяжной бронхит или туберкулез— это норма (особенно после 60 лет). Разве мы не болеем бронхитами и даже пневмонией несколько раз в течение жизни?
Отложение солей кальция происходит в разных органах. У женщин часто появляются кальцинаты в молочных железах. И причина такая же — перенесенный воспалительный процесс на фоне застоя молока при грудном вскармливании или мастопатии.
Предрасполагающие факторы
Способствуют появлению кальцинатов в корнях легких все процессы, которые ослабляют иммунитет и ухудшают состояние органов дыхательной системы. В группе риска люди, контактирующие с зараженными туберкулезом.
Напоминаю вам о том, что микобактерии туберкулеза находятся в организме большинства людей, так как заболевание очень распространенное.
С зараженными мы регулярно кантактируем, но наш иммунитет предупреждает развитие инфекции.
Но так происходит не всегда. Есть ряд факторов, предрасполагающих к скрытому течению туберкулеза и развитию других инфекционно-воспалительных процессов:
- курение;
- аутоиммунные процессы (красная волчанка, подагра, ревматоидный артрит);
- иммунодефицитные состояния;
- ослабление иммунитета в результате острых и хронических инфекций, перенесенных операций, травм, стрессов;
- злоупотребление алкоголем;
- проживание в неблагоприятных условиях.
Кальцинаты часто находятся в корнях легких. В медицине их ассоциируют именно с перенесенными туберкулезом и пневмонией. Поэтому в любом случае обнаружение подобных образований требует проведения тщательной диагностики.
Особенно внимательно стоит относиться к ситуациям, когда специалисты обнаруживают кальцинаты в легких у детей — это нетипичная картина. Ребенка нужно показать опытному фтизиатру и провести рентгенографию легких.
Повышенного внимания требуют люди из группы риска:
- Курильщики, люди, злоупотребляющие алкоголем, наркоманы;
- члены семьи, у которых кто-то переболел туберкулезом;
- люди с хроническими заболеваниями;
- с вирусом иммунодефицита человека;
- люди, которые принимают иммуностимуляторы;
- социальные работники;
- чья работа связана с химикатами, пылью, грязью;
- дети из малообеспеченных семей.
Кальцинаты как один из симптомов туберкулеза внутригрудных лимфоузлов
При туберкулезе внутригрудных лимфатических узлов (бронхоаденит), которая встречается преимущественно в детском и подростковом возрасте (у «виражных» и непривитых детей), часто специалисты обнаруживает на рентгене кальцинаты в виде равномерно расположенных округлых теней.

Но заболевание обязательно сопровождается другими изменениями в состоянии детей. У ребенка с кальцинатами появляются дополнительные симптомы:
- общая слабость;
- незначительное повышение температуры на протяжении нескольких месяцев;
- ухудшение аппетита;
- повышенная потливость по ночам;
- потеря веса;
- упорный ночной кашель, которые провоцирует сдавление бронхов увеличенными лимфоузлами.
Кальцинаты в легких при туберкулезе внутригрудных лимфоузлов — это замещение известью участков воспаления и некроза, которые появляются в результате острого инфекционного процесса.
Заболевание может протекать в 2-х формах — инфильтративная и опухолевидная. Также в последние годы врачи часто диагностируют малый туберкулез грудных лимфоузлов. Он не сопровождается их значительным увеличением.
Определить разновидность туберкулеза может врач на основании данных рентгенодиагностики.
Опухолевидное форма считается наиболее тяжелой разновидностью бронхоаденита, выявляется у детей младшего возраста при выраженном туберкулезе. У ребенка сильно увеличиваются лимфатические узлы до 3-5 см в диаметре, которые могут расплавляться и превращаться в конгломераты.
При обнаружении кальцинатов в легких и подозрении на развитие внутригрудного туберкулеза назначают следующие исследования:
- туберкулиновые пробы;
- рентгенография легких;
- биопсия лимфатического узла;
- бронхоскопия;
- исследование мокроты;
- МСКТ грудной клетки;
- общий анализ, биохимия крови.
Дополнительные методы диагностики часто назначают после обнаружения кальцинатов в легких у ребенка после проведения рентгенографии. Также показаниями для расширенного обследования являются гиперреакция на введение туберкулина и появление виража пробы Манту — увеличение диаметра папулы по сравнению с прошлогодним результатом.
Визуально определить туберкулезный бронхоаденит можно по расширению поверхностных сосудов на груди и спине ребенка. При выраженном воспалительном процессе малыш чувствует боль от попытки прощупать верхние грудные позвонки. По результатам лабораторной диагностики специалисты обнаруживают высокое СОЭ, повышенное количество лимфоцитов, лейкоцитов, признаки эозинофилии.
Предлагаю посмотреть видео о главных методах диагностики легких при кальцинатах и подозрении на различные заболевания.
Лечение туберкулеза внутригрудных лимфоузлов
При условии раннего начала лечения туберкулеза внутригрудных лимфоузлов у детей и подростков возможно полное выздоровление. Несколько месяцев ребенок должен находиться в противотуберкулезном стационаре. Фтизиатры на протяжении всего периода госпитализации используют туберкулостатики (рифампицин, изониазид), а также препараты, которые восстанавливают работу печени и иммунной системы.
Дополнительно назначают дезинтоксикационные средства, кортикостероиды, рекомендуется проведения плазмафереза. И только если через 1-2 года после начало лечения отсутствует положительная динамика, химиотерапию совмещают с оперативным лечением. Пораженные внутригрудные лимфатические узлы удаляют хирургическим путем.
После обнаружения туберкулеза в грудных лимфатических узлах ребенку назначают высокобелковую диету. Важно поддержать организм качественным витаминизированным питанием. После пребывания в стационаре больному ребенку дают направление на санаторно-курортное лечение.
В целом прогноз при этом заболевании благоприятный. Но очень важно своевременно обратиться за медицинской помощью.
Если ребенок начнет принимать противотуберкулезную терапию, то очаги специфического воспаления лимфоидной ткани рассосутся. Но кальцинаты в лимфоузлах и легких могут сохраняться на протяжении всей жизни.
При отсутствии признаков прогрессирования туберкулеза и жалоб это считается вариантом нормы.
Что делать при кальцинатах у взрослых
Если врач обнаруживает кальцинаты в легких у взрослого, необходимо провести уточняющую диагностику. Повторить рентгенографию, назначить анализы мокроты, крови, кала (для выявления гельминтозов, в частности — аскаридоза). При обнаружении сопутствующих заболеваний начинают лечение. Во всех остальных случаях кальцинаты в легких не принято считать потенциально опасными.

Исключение составляют большие образования, которые могут приводить к нарушению работы дыхательной системы. В таких случаях их могут удалять оперативным путем. Но мелкие или единичные кальцинаты в легких без каких-либо сопутствующих болезней лечения не требуют.
При высоком риске развития туберкулеза и наличии подозрительных симптомов специалисты могут назначать противотуберкулезные средства с профилактической целью, чтобы избежать развития заболевания и не допустить тяжелых осложнений. Отказываться от такого лечения не стоит.
Если вы уверены в отсутствии туберкулеза у вас или ребенка, просто запишитесь на прием к другим фтизиатрам. Не рассказывайте о поставленном ранее диагнозе. Пусть несколько независимых специалистов проведут новые исследования и назначат лечение, в котором вы нуждаетесь.
Народная медицина в борьбе с кальцинатами
Специфического лечения кальцинатов в легких не существует. Народная медицина может предложить рецепты, в которых используют компоненты с противовоспалительным действием. Подобные средства в большинстве случаев не наносят никакого вреда здоровью, поэтому их можно использовать длительными курсами.
Противовоспалительные травы
При склонности к заболеваниям бронхолегочной системы и перенесенном раннее туберкулезе рекомендуется периодически принимать корень солодки, мать-и-мачеху, липовый цвет. Травы и корешки растений можно заваривать кипятком или делать спиртовые настойки.
Борьба с паразитами
При кальцинатах в легких не повредит и профилактическое применение семян тыквы и цветков пижмы.
Они оказывают противоглистное действие и помогают от аскарид, которые в личиночной стадии находятся в капиллярах легких и иногда вызывают образование кальцинатов.
Аскаридоз вообще протекает практически без симптомов. А выявить паразитов в кале не всегда удается (неполовозрелые самки и самцы не откладывают яиц).
Для профилактики «прогонять» глистов рекомендуется несколько раз в год, обязательно — осенью, после лета, когда мы часто употребляем свежие овощи и фрукты с огорода, где могут находиться яйца гельминтов.
Но народные методы эффективны больше для профилактики. Если же паразиты точно есть, то лучше купить антигельминтики. Только принимать их нужно не однократно, как написано в инструкции, а 3 дня подряд. Это резко сокращает риск повторного появления аскарид или остриц через несколько месяцев после лечения.
Алое, мед и барсучий жир
В старину для борьбы с туберкулезом и профилактики появления инфекционно-воспалительных процессов дыхательной системы использовали алоэ, мед и барсучий жир. Лечиться нужно не менее 2-3 недель.
Вам понадобятся 0,5 литра мёда (натурального), 100 г барсучьего жира и 2-3 измельченных листьев алоэ. Смешайте все ингредиенты и поставьте в холодильник на 3 дня. По истечении этого срока можно использовать средство по столовой ложке натощак ежедневно.
Ваш доктор
Евгения Набродова
Приглашаю также почитать статью Кальцинаты в молочной железе.
А для души мы с вами послушаем сегодня И.Богушевская. У нас в раю. Сколько раз слушаю эту удивительную песню и не могу наслушаться.
О карантине, мечтах, бумерангах, о Любви…Кальцинаты в молочной железеКакие бывают камни в желчном пузыре? Фото камнейСоевый соус – полезная приправа с древней историейЛечение эндометриоза и женского бесплодия народными средствамиМастопатия. Лечение народными средствами.
Источник:



