Киста с пристеночным солидным компонентом
— опухолевый процесс, формирующийся вследствие скопления фолликулярной жидкости в кистозном фолликуле и характеризующийся отсутствием истинного пролиферативного роста.
Диаметр фолликулярных кист колеблется от 2 до 12 см. Форма в подавляющем большинстве наблюдений (94,1%) округлая. Внутренняя структура кист полностью однородная, анэхогенная, обладает высокой звукопроводимостью. Стенка фолликулярных кист ровная, гладкая; её толщина составляет в среднем 1,0±0,3 мм.
Динамическое эхографическое наблюдение показывает, что в течение первого менструального цикла спонтанной регрессии подвергаются 25,9%, второго — 33,4%, третьего — 40,7% фолликулярных кист. При этом отмечена взаимосвязь между размером кисты и сроком её исчезновения.
Так, образования более 6 см в диаметре регрессируют в течение 3 менструальных циклов. Это, по-видимому, связано с тем, что стенка фолликулярной кисты лишена васкуляризации, поэтому инволюция происходит путём постепенного пассивного спадения стенок полости и резорбции жидкости, содержащейся в кисте.
Фолликулярные кисты обычно односторонние, их диаметр 2—12 см, форма круглая, имеют тонкую гладкую стенку, однокамерное строение и тугоэластическую консистенцию. Капсула гладкая, белесоватая или бледно-розовая, содержимое прозрачное.
Кистозно-солидные образования в органах
Все кистозные образования представляют собой полость заполненную или жидкостью, или тканевым содержимым. Из этого выделяют три вида образований в органах.
- Образование, полость которого заполнена вязким веществом, относится к доброкачественным опухолям. Оно может в течении жизни появляться, исчезать, увеличиваться или уменьшаться в размерах. Такой вид опухоли относится к доброкачественным кистозным образованиям и редко перерождается в злокачественную опухоль.
- В медицинской терминологии под солидным образованием понимают опухоль, которая имеет твердую оболочку, четкие границы. Внутри образования содержится тканевый компонент. Такое образование не исчезает и не меняет размеры. Как правило, подобная опухоль относится к злокачественным.
- Образования внутри которых содержится и жидкость и части тканей считаются кистозно-солидными. Имеет значение их место локализации. От этого во многом зависит какое содержимое будет преобладать внутри полости. Такие образования в большинстве случаев являются доброкачественными. В редких случаях опухоль изначально является злокачественной.
Подобные образования могут возникать практически в любом органе. Об их возникновении могут свидетельствовать нарушения в работе или сопутствующие заболевания. Но не редки случаи, когда развитие патологии происходит практически бессимптомно, и о ее наличии пациент узнает случайным образом.
Кистозно-солидное образование на щитовидной железе представляют собой частицы ткани самого органа, которые ограничены плотной оболочкой. Такие образования могут быть как одиночные, так и множественные.Специалисты выделяют несколько причин возникновения узлов щитовидной железы что есть основными:
- генетическая предрасположенность;
- перенесенные ранее заболевание, вызванное инфекцией;
- постоянное нервное перенапряжение и частые стрессы;
- расстройство гормонального фона.
Большое влияние на нормальное функционирование щитовидной железы оказывает содержание йода в организме. При его нехватке этот орган начинает давать сбой, который ощущает весь организм.Даже если пациент не подозревает о наличии у себя этой патологии, то это не значит, что она никак не проявляет себя.
К симптомам заболевания можно отнести постоянную сонливость и чувство усталости. Оно отражается и на внешнем виде пациента. Волосы становятся ломкими и начинают выпадать. Кожа становится сухой, склонной к шелушению, и имеет нездоровый вид.
Почки и яичнике являются именно теми органами на которых чаще всего появляются кистозные образования. Даже если они доброкачественные, то их несвоевременное лечение может привести к серьезным осложнением.
Такой патологии, как киста яичников, наиболее подвержены женщины в возрасте от 20 до 50 лет. Основной причиной ее возникновения является дисбаланс гормонального фона. Существует ряд факторов, которые приводят к его сбою и повышают вероятность появления кистозно-солидной патологии.
- Период полового созревания.
- Период беременности и послеродовой период. Прерывание беременности.
- Климакс у женщин по 50 лет.
- Различные заболевания, приводящие к сбою гормонального фона, в том числе заболевания эндокринной системы.
- Прием гормональных препаратов.
- Недостаточный уровень личной гигиены.
Кисты, поражающие почки, довольно частое явление в медицине. Образования на органе могут быть различных видов, как кистозные, солидные, так и смешанного типа. Несмотря на то, что почки парный орган, нарушение в работе хотя бы одной из них приводит к серьезным последствиям.
Медицинская статистика свидетельствует, что наиболее подвержены патологии люди после 40 лет. В основном заболевание поражает одну из почек, намного реже — обе. На образование кисты влияет ряд факторов, к которым относится:
- различные травмы и ушибы почек;
- поражение почки инфекционным заболеванием;
- туберкулез органа;
- операции или другие хирургические вмешательства;
- предрасположенность к камнеобразованию в органе или уже наличие их;
- высокое артериальное давление;
- патологии органа при рождении.
К почечным кистам относят как врожденные аномалии органа, так и приобретенные в течении жизни. Независимо от этого симптомы наличия кистозно-солидного образования во многом схожи. Как правило, это:
- болевые ощущения в нижней части поясницы;
- «скачки» артериального давления;
- трудности с мочеиспусканием
О заболевании почки всегда свидетельствует постоянная боль. Она может быть острой или тупой и ноющей.
Главной причиной возникновения смешанной кисты головного мозга, как и любого другого органа, является воздействие на него неблагоприятных факторов. К ним относят:
- излучение ионов;
- длительное воздействие на организм солнечных лучей;
- постоянный контакт с агрессивными жидкостями и парами;
- вирусы и генетическая предрасположенность.
Кистозно-солидная патология головного мозга очень опасно своими осложнениями. Опухоль воздействуя на любую часть органа и сдавливая ее, тем самым нарушает снабжение ее кровью. Это означает, что питание части мозга осуществляется неполноценно.
Как результат, это может повлиять на способность человека нормально передвигаться, нарушается работа пищеварительной системы, половой системы.Симптомы заболевания головного мозга могут самыми различными.
Они зависят от места расположения кисты и ее размеров. Но как свидетельствует практика не всегда наличие образования крупного размера проявляется яркими симптомами.Основными симптомами кистозно-солидной опухоли головного мозга является повышение внутричерепного давления, головная боль, головокружения и рвота.
Киста жёлтого тела
образуется на месте прогрессировавшего жёлтого тела, в центре которого в результате нарушения кровообращения накапливается жидкое содержимое.
Киста имеет размеры от 2 до 8 см. Описано 4 эхографических варианта строения кисты жёлтого тела.1. При 1-м варианте наиболее часто киста имеет сетчатое строение средней эхогенности. В большинстве случаев сетчатый компонент выполняет всю или бульшую часть кисты.
2.
При 2-м варианте содержимое кисты однородное и анэхогенное. В её полости определяются множественные или единичные, нежные, полные или неполные, неправильной формы перегородки.
3. При 3-м варианте в полости кисты определяются плотные, высокой эхогенности включения (сгустки крови).
Чаще они имеют небольшие размеры (1—1,7 см в диаметре), единичны (1—3) и локализуются пристеночно. Эти образования могут иметь как неправильную форму, так и форму булавы или веретена.
4. При 4-м варианте содержимое кисты полностью однородное и анэхогенное. Её эхографическое изображение напоминает фолликулярную кисту.

Несмотря на различия внутреннего строения кист жёлтого тела, их звукопроводимость всегда высока. Толщина стенок колеблется от 2 до 4 мм, составляя в среднем 2,8±0,4 мм.
У большинства женщин кисты регрессируют самопроизвольно. Продолжительность инволюции зависит от размеров, а не от внутреннего строения кисты. В отличие от фолликулярных кист, кисты жёлтого тела в подавляющем большинстве наблюдений (86,2%) регрессируют в течение 1—2 менструальных циклов.
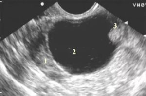
Параовариальная киста
— ретенционное образование, расположенное между листками широкой связки матки.
Размеры параовариальных кист колеблются от 3 до 15 см. Толщина стенки кисты варьирует от 1 до 3 мм, составляя в среднем 1,5±0,4 мм. Прослеживается чёткая корреляция возможности ультразвуковой диагностики параовариальных кист в зависимости от их размеров.
При больших размерах параовариальных кист яичник далеко не всегда визуализируется.
У 88% пациенток яичник определяется в виде отдельного анатомического образования, причём при увеличении размера кисты для идентификации яичника необходимо тщательное сканирование с помощью трансабдоминального и трансвагинального датчиков. В отличие от фолликулярных кист и кист жёлтого тела параовариальные кисты не регрессируют.
Диагностика патологии
На сегодняшний день существует несколько методов, которые помогают диагностировать кисту смешанного типа.
- Ультразвуковая диагностика. В ходе проведения исследования есть возможность точно определить структуру образования, его размеры и расположение. Также УЗИ позволяет увидеть какая структура преобладает внутри кисты и сделать вывод о принадлежности ее к одному из видов. Но данный вид исследования не позволяет определить к доброкачественной или злокачественной относится опухоль. Именно эта информация позволяет назначить эффективное лечение.
- Для определения злокачественности опухоли применяется биопсия. Взятие материала на анализ из капсулы кисты достаточно проста и безболезненна. Тонкая игла вводится во внутрь образования и с помощью нее содержимое набирается в шприц. Далее оно отправляется в лабораторию на анализ.
- Диагностировать кистозно-солидную опухоль помогает и анализ крови. По результатам анализа и содержанию гормонов и соотношения составляющих крови специалист может сделать заключение о наличии патологии и ее характере.
- Компьютерная томография является основным способом диагностики перед оперативным вмешательством в качестве лечения. С помощью такого метода диагностики можно определить расположение в органе крупной опухоли, и получить точные сведения о характере патологии.
В зависимости от результатов диагностики врач назначает соответствующее лечение. Оно может быть как традиционным, так и оперативным. Способ лечения зависит от размеров опухоли и возможных осложнений, связанных с ней.
Перитонеальные кистозные образования
. К числу достаточно трудно диагностируемых образований малого таза относят и перитонеальные кистозные образования (серозоцеле). Дифференциальная диагностика серозоцеле, опухолевидных образований и опухолей яичников представляет значительные трудности.
Анамнестические данные имеют некоторые особенности: чревосечение выявляют в 80% случаев, острое воспаление придатков матки с пельвиоперитонитом — в 10—25%, распространённые формы эндометриоза — в 5—15%.
Критерии серозоцеле
1. Жидкостное образование в области малого таза, выявляемое после перенесённых операций или острого воспалительного процесса внутренних половых органов.
2. Отсутствие на эхограмме чётко визуализируемой стенки (капсулы).
3. Неправильность контуров кистозной структуры, расположенной в малом тазу.
4. Изменение формы образования при повторных УЗИ.
В соответствии с Международной классификацией болезней 9-го пересмотра ВОЗ 1993 г., «поликистозные яичники» или синоним «синдром Стейна—Левенталя» кодируют номером 256.4 в разделе № 3 «Болезни эндокринной системы».
Предлагаем ознакомиться: Как снять опухоль на щиколотке
Частота поликистозных яичников в структуре гинекологических заболеваний колеблется в широких пределах — от 0,6 до 11%.
Зрелые тератомы
Согласно Международной классификации ВОЗ (1977), тератомы яичников относят к группе герминогенных опухолей.
Зрелые тератомы представляют собой доброкачественные новообразования, содержащие тканевые элементы, не отличающиеся от аналогичных структур организма (наиболее часто обнаруживают элементы кожи, волосы, жир, гладкомышечные волокна, хрящевую и костную ткань, элементы нервной системы).
В 80% наблюдений зрелые тератомы — односторонние образования. Нередко диагностируют рецидив заболевания с выявлением тератомы в другом яичнике. Чаще (60—70% случаев) опухоль исходит из правого яичника.

Одновременное проведение трансабдоминального и трансвагинального УЗИ позволяет повысить точность диагностики и выявить 6 типов эхографического изображения зрелых тератом.
1. При 1-м типе опухоль имеет полностью анэхогенное внутреннее строение и высокую звукопроводимость.
На внутренней поверхности опухоли можно выявить средней или высокой эхогенности круглой или овальной формы паренхиматозный бугорок.2. При 2-м типе опухоль имеет полностью плотное внутреннее строение, её структура гиперэхогенна и в основном однородна.
3.
Источник:
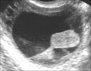
Пристеночный компонент в кисте яичника
А. Фолликулярная киста — опухолевый процесс, формирующийся вследствие скопления фолликулярной жидкости в кистозном фолликуле и характеризующийся отсутствием истинного пролиферативного роста.
Диаметр фолликулярных кист колеблется от 2 до 12 см. Форма в подавляющем большинстве наблюдений (94,1%) округлая. Внутренняя структура кист полностью однородная, анэхогенная, обладает высокой звукопроводимостью.
Стенка фолликулярных кист ровная, гладкая; её толщина составляет в среднем 1,0±0,3 мм.
Динамическое эхографическое наблюдение показывает, что в течение первого менструального цикла спонтанной регрессии подвергаются 25,9%, второго — 33,4%, третьего — 40,7% фолликулярных кист. При этом отмечена взаимосвязь между размером кисты и сроком её исчезновения.
Так, образования более 6 см в диаметре регрессируют в течение 3 менструальных циклов.
Это, по-видимому, связано с тем, что стенка фолликулярной кисты лишена васкуляризации, поэтому инволюция происходит путём постепенного пассивного спадения стенок полости и резорбции жидкости, содержащейся в кисте.
Кисты яичников — симптомы, признаки, клинические проявления, диагностика и методы лечения
Константин Викторович Пучков – доктор медицинских наук, профессор, директор АНО «Центр клинической и экспериментальной хирургии» (г. Москва).Сертифицирован по специальностям: хирургия, гинекология, урология, колопроктология и онкология
- Гинекология
- Болезни яичников
Бережная лапароскопия в лечении кист яичников с сохранением овуляторного резерва
Киста яичника — доброкачественный процесс в яичниках неопухолевого характера. Представляет собой пузырь (один или несколько), наполненный жидким или полужидким содержимым. Возникшее в структуре яичника, это образование способно увеличить его объем в разы. Различают фолликулярную, эндометриоидную кисты яичника, кисту желтого тела и др.
Функциональные кисты (лютеиновые, фолликулярные) происходят из фолликула и желтого тела — естественных структур яичника. Их существование весьма непродолжительно — не более 2-3 месяцев, в дальнейшем они исчезают самостоятельно.
- Лютеиновая киста образуется после овуляции вследствие излишнего накопления жидкости в желтом теле
- Фолликулярная киста появляется в результате не произошедшей овуляции и продолжающемся росте фолликула.
Эндометриоидные кисты, называемые также эндометриомами, являются результатом эндометриоза яичника. Небольшие очаги каждый месяц понемногу кровоточат, что ведет к образованию полости, заполненной кровью. Постепенно сгущаясь, она становится темнее, и приобретает вид жидкого шоколада — отсюда происходит название «шоколадная» киста.
Кистозные опухоли яичника — к ним принадлежат серозные и муцинозные цистаденомы, зрелые тератомы (дермоидные кисты). И хотя внешне они сходны с кистами, их все-таки относят к истинным опухолям. В некоторых случаях различить их можно только с помощью гистологического исследования.
Симптоматика
Рис.1. Киста правого яичника (вид при лапароскопии)
Рис.2. Перекрут дермоидной кисты яичника
Рис.3. Разрыв эндометриодной кисты левого яичника (вид органов малого таза при лапароскопии).
Рис.4. Этап лапароскопической операции — вылущивание кисты из здоровой ткани яичника
Рис.5. На схеме показан удаляемый объем патологической ткани при цистаднексэктомии
Рис.6. Помещение кисты яичника в специальный пластиковый контейнер перед извлечением из брюшной полости.

Зачастую какие-либо симптомы заболевания отсутствуют, нередко недуг обнаруживается совершенно случайно во время проведения профилактического обследования или при ультразвуковом исследовании по поводу другой патологии.
Боли, возникающие внизу живота, как правило, тянущего или ноющего характера. В некоторых случаях пациентка ощущает всего лишь чувство тяжести. Иногда болезнь дает о себе знать появившейся болезненностью после полового акта.
Однако не исключено усиление боли, ее распространение по всему животу, при этом нередко присоединяются тошнота и рвота.
При разрыве, что чаще происходит с лютеиновыми кистами, или перекруте — в основном у дермоидных кист, боли могут отдавать в прямую кишку.
О разрыве фолликулярной кисты свидетельствует кратковременная боль, однако угрозы здоровью этот процесс не представляет.
Но при разрыве эндометриоидной кисты яичника возникает неотложное состояние — в этом случае необходима срочная операция.
При обсеменении эндометриоидными клетками полости брюшины при небольшой прикрытой перфорации возможно распространение заболевания и переход болезни в более тяжелую стадию.
Также возможны задержки, свидетельствующие о нарушении менструального цикла, не исключено развитие дисфункционального маточного кровотечения. При кистозной опухоли больших размеров у пациентки может увеличиваться живот.
Диагностика кист яичника
Для диагностики проводится
- Ручное бимануальное исследование, во время которого можно обнаружить кисту крупного размера.
- Лабораторные исследования
- Ультразвуковое исследование — позволяет с высокой вероятностью определить вид кисты. При наличии плотных пристеночных структур рекомендуется пройти тест на онкомаркер СА-125.
- Магнитно-резонансная томография
Лечение кисты яичника
Лечебный процесс может иметь три направления:
- Выжидание — рекомендуется при небольших (не более 10 см) кистах, которым не более трех месяцев. При этом отсутствуют явные симптомы опухоли (плотные включения), которые просматриваются на УЗИ.
- Консервативная терапия проводится для того, чтобы уменьшить или предотвратить образование и рост кист. Для этого пациенткам назначаются гормональные контрацептивы.
- Хирургическое лечение проводится после неэффективности выжидательной тактики. Если в течение 2-3 циклов образование не исчезло, назначается хирургическое вмешательство лапароскопическим методом. Во время щадящего удаления кисты можно добиться максимального сохранения здоровых тканей яичника у больных репродуктивного возраста.
Сегодня лапароскопическая операция — «золотой стандарт» в лечении кист благодаря минимальной травматизации брюшной стенки. Кроме того, при таком методе исключено образование спаек в малом тазу.
Для письменной консультации, с целью определения вида кисты яичника и показаний к операции, а также выбора правильной тактики хирургического лечения вы можете прислать мне на личный электронный адрес puchkov@mail.
ru puchkov@mail.ru полное описание УЗИ органов малого таза, при возможности данные МРТ малого таза, результаты крови на онкомаркеры, указать возраст и основные жалобы.
Тогда я смогу дать более точный ответ по вашей ситуации.
Показания к операции
- При наличии образования (киста, опухоль), которое в течение трех месяцев существования не исчезло самостоятельно или при приеме противовоспалительной или гормональной терапии.
- Кисты или опухоли, образовавшиеся в период менопаузы;
- Возникновение осложнений: кровоизлияние в кисту, перекрут ее ножки, разрыв, нагноение;
- Высокая вероятность развития злокачественного процесса.
При вышеперечисленных показаниях необходимо хирургическое вмешательство.
Однако объем операции индивидуален для каждой пациентки. У женщин фертильного возраста при отсутствии злокачественного процесса проводится цистэктомия — вылущивание, при этом ткань яичника остается интактной (не затронута процессом).
У женщин старше 50-ти лет или в тех случаях, если ткани яичника поражены, проводится овариоцистэктомия — удаление образования вместе с оболочками. В том случае, если в процесс вовлечены маточные трубы, рекомендовано проведение цистаднексэктомия, при этом удалению подлежат киста совместно с придатками.
При тяжелом течении болезни и распространенном процессе, при наличии кист больших размеров в яичнике здоровая ткань может отсутствовать, поэтому в таких случаях его следует удалять полностью.
Но удаление одного яичника неспособно привести к существенным гормональным нарушениям у женщин фертильного возраста.
В дальнейшем у таких пациенток не возникает нарушений менструального цикла, способность родить здорового ребенка сохранена.
Для сохранения функций яичника огромное значение имеет уменьшение ожога ткани. Поэтому для иссечения кисты использование электрохирургии во время выполнения операции минимально.
Кроме того, с целью снижения риска появления спаек сегодня широко используются противоспаечные гели нового поколения.
Для предупреждения распространения содержимого кисты в брюшную полость во время операции применяется специальный пластиковый контейнер, в который помещается киста во время извлечения из полости брюшины.
Послеоперационный период
Хирургическое вмешательство длится 15-40 минут. После выполненной операции на коже остаются три разреза, длина которых около 5-10 мм. Вставания с постели происходят уже с первого дня после операции, тогда же больная может принимать жидкую пищу.
Пациентка покидает клинику, как правило, на 1-6 день — длительность пребывания зависит от тяжести процесса и объема выполненной операции. К привычному образу жизни женщина возвращается на 10-14 день.
От половых отношений следует воздержаться в ближайший месяц.
В дальнейшем прооперированным больным следует регулярно посещать гинеколога. УЗИ нужно пройти через 1, 3, 6 месяцев, затем достаточно одного раза в полгода. Женщинам репродуктивного возраста для нормализации функции яичников рекомендован прием гормональных средств на протяжении 3-6 месяцев.
Вопросы пациенток о лечении кист и опухолей яичника
— Как долго можно откладывать операцию при кисте яичника?
Любое образование яичника, более 3 см в диаметре и существующее дольше 2–3 месяцев, является показанием к оперативному лечению. Это связано с тем, что определить точно, что образование не является онкологическим процессом можно, только получив гистологическое заключение.
Проблема опухолевидных процессов яичников остаётся одной из самых актуальных в современной гинекологии, т.к. снижаются репродуктивные возможности женщин, остаётся высоким риск их перерождения в рак. В эпоху малоинвазивных хирургических технологий длительное наблюдение и консервативное лечение недопустимы.
Особенно это касается пациенток с опухолью яичника.
— Сохранится ли яичник?
При выполнении лапароскопии кисты яичника удаляется только сама киста; здоровая ткань максимально сохраняется.
— Можно ли как-то до операции определить — не является ли опухоль яичника раком?
К сожалению, нет. Существуют исследования, позволяющие с той или иной степенью достоверности предположить доброкачественность или злокачественность процесса (например, УЗИ — исследование или анализ крови на онкомаркеры), но точно определить характер процесса может только гистологическое исследование удалённого образования.
— Как нужно готовиться к операции на яичниках?
Если вы планируете хирургическое лечение по поводу кисты или опухоли яичников, прошу вас внимательно изучить раздел предоперационной подготовки.
Если Вы хотите более подробно узнать о применяющихся методах обезболивания при хирургическом лечении заболеваний яичников, пожалуйста, ознакомьтесь внимательно со специально размещенным материалом.
Если вас интересуют вопросы профилактики тромбозов и тромбоэмболии легочной артерии (ТЭЛА) во время операций — на сайте им посвящена отдельная страница.
— Что меня ждет после операции на яичнике?
Операция переносится пациентками легко, т. к. травма передней брюшной стенки и кровопотеря минимальны. Больная выписывается, как правило, на следующий день после операции (по своему желанию), дома продолжает приём антибактериальных, обезболивающих препаратов. При выписке пациентке даются подробные рекомендации о приёме лекарств и контроле за процессом послеоперационной реабилитации.
Принимать душ можно после снятия швов (5 — 7 сутки после операции), до этого момента пациентке рекомендуется не мочить наклейки.
На следующий день после операции разрешаем приём бульона, кефира, йогуртов; на 2-ые сутки можно добавить суп, паровую куриную котлету, творог; после появления стула рекомендуется постепенное расширение пищевого рациона.
После любого вмешательства на яичнике может сдвинуться менструальный цикл, часто кровянистые выделения начинаются после операции. Это абсолютно нормально и не опасно. Пациенткам рекомендуется воздержание от половой жизни в течение 1 месяца после операции. Через 3 недели пациенткам разрешается посещение бассейна, через 1,5 — 2 месяца — возврат к обычной физической активности.
Как правило, с целью улучшения репаративных процессов, нормализации гормонального статуса и профилактики обострения воспалительных процессов, пациенткам назначаются оральные контрацептивны на 4 — 6 месяцев после получения результатов гистологического заключения. Беременность разрешается через 2 — 3 месяцев после операции.
— Где я могу у вас прооперироваться?
Первичный консультативный прием пациенток с кистами и опухолями яичников я провожу в Москве в Швейцарской университетской клинике. Ознакомиться более подробно с моими основными клиническими базами в Москве и в Швейцарии.
Методики малоинвазивной хирургии, применяющиеся мною, позволяют проводить две, а иногда три операции одновременно во время одной анестезии силами бригады из нескольких хирургов.
Более детально вопрос симультанных операций, в том числе при кисте яичника, рассмотрен в специальном разделе сайта.
Одновременное выполнение нескольких оперативных вмешательств позволит сократить нагрузку на организм, уменьшить время госпитализации, ускорить восстановление организма по сравнению с выполнением нескольких операций с интервалом в 5-6 недель.
«Когда вы пишете письмо, знайте: оно попадает мне на мою личную электронную почту. На все ваши письма я отвечаю всегда только сам. Я помню, что вы доверяете мне самое ценное — свое здоровье, свою судьбу, свою семью, своих близких и делаю все возможное, чтобы оправдать ваше доверие.
Каждый день я по нескольку часов отвечаю на ваши письма.
Направляя мне письмо с вопросом, вы можете быть уверены, что я внимательно изучу вашу ситуацию, при необходимости запрошу дополнительные медицинские документы.
Огромный клинический опыт и десятки тысяч успешных операций помогут мне разобраться в вашей проблеме даже на расстоянии. Многим пациентам требуется не хирургическая помощь, а правильно подобранное консервативное лечение, в то время как другие нуждаются в срочной операции.
И в том, и в другом случае я намечаю тактику действий и при необходимости порекомендую прохождение дополнительных обследований или неотложную госпитализацию.
Важно помнить, что некоторым больным для успешной операции требуется предварительное лечение сопутствующих заболеваний и правильная предоперационная подготовка.
В письме обязательно (!) укажите возраст, основные жалобы, место проживания, контактный телефон и адрес электронной почты для прямой связи.
Чтобы я мог детально ответить на все ваши вопросы, прошу высылать вместе с вашим запросом сканированные заключения УЗИ, КТ, МРТ и консультаций других специалистов. После изучения вашего случая, я направлю вам либо подробный ответ, либо письмо с дополнительными вопросами. В любом случае я постараюсь вам помочь и оправдать ваше доверие, которое является для меня наивысшей ценностью.
Искренне ваш,
хирург Константин Пучков»
Источник:
Злокачественные опухоли яичников
Как правило, многокамерные, содержат плотные компоненты, имеют утолщенные стенки с пристеночными разрастаниями. При наличии асцита вероятность злокачественной опухоли повышается, в то время как взаимосвязь между размером опухоли яичника и вероятностью злокачественного процесса отсутствует.
Риск индекса злокачественности базируется на уровне CA-I25, длительности постменопаузы и ультразвуковой картине.
Повышение уровня СА-125 наблюдается в 80 % случаев при наличии злокачественных опухолей яичников, однако может иметь место также на фоне доброкачественных образований и эндометриоза.
К характерным патологическим изменениям относятся многокамерное образование, наличие плотных компонентов, двустороннее поражение, асцит и внутрибрюшные метастазы. Допплеровское исследование в таких случаях в повседневной практике не применяют, поскольку повышение кровотока может наблюдаться как в доброкачественных, так и злокачественных опухолях.
У женщин в постменопаузе аспирировать образования яичников не рекомендуется.
- При возможности яичники измеряют в трех плоскостях. Если опухоль больших размеров, ее можно обнаружить при трансабдоминальном сканировании.
- Измеряют толщину стенки опухоли. Вероятность злокачественного процесса повышается, если толщина превышает 3 мм.
- Осматривают внутреннюю поверхность стенок опухоли на наличие узловых или папиллярных разрастаний.
- Исследуют перегородки, разделяющие камеры. Множественные неодинаковой толщины перегородки более характерны для злокачественного процесса.
- В полости опухоли обращают внимание на наличие плотных компонентов.
- Определяют наличие асцита.
- Контролируют второй яичник. Для этого, возможно, понадобится выполнить трансвагинальное сканирование.
- При подозрении на злокачественную опухоль, необходимо дальнейшее обследование, в частности сканирование брюшной полости с исследованием печени на наличие в ней метастазов. Опухоли яичников могут быть первичными, растущими из самого яичника, либо вторичными — метастазами злокачественных опухолей легкого, молочной железы, толстой кишки или яичника противоположной стороны. Большинство первичных опухолей носят кистозный характер, тогда как большинство метастазов — плотный.
Некоторые доброкачественные опухоли характеризуются специфическими ультразвуковыми признаками, которые следует знать.
Зрелая кистозная тератома
Это наиболее частые доброкачественные опухоли яичников у молодых женщин. Составляют до 25% доброкачественных новообразований яичников, 20 % из них имеют двустороннюю локализацию.
Средний размер около 10 см, но встречаются и небольшие — до 0,5 см.
Обычно эти образования однокамерные и заполнены жировыми массами. Поскольку это герминогенная опухоль, в ней может содержаться жир, волосы, зубы или костная ткань, которые обычно находятся в солидном разрастании, выпячивающемся в полость кисты.
Ультразвуковая картина разнообразна — от диффузного эхогенного объемного образования до образования с солидными участками, выпячивающимися в просвет. Из-за большого содержания жира наблюдается дистальная акустическая тень.
Магнитно-резонансная томография позволяет окончательно поставить диагноз дермоида.
Эндометриоидная киста
Эндометриоидная киста может наблюдаться изолированно либо в сочетании с обширным эндометриозом малого таза, который эхографически не выявляется. Средний размер эндометриоидных кист составляет 5 см, с характерным геморрагическим содержимым. Из- за последнего ее называют «шоколадной кистой».
Эндометриоидные кисты часто бывают двусторонними. При УЗИ выявляют утолщенную однокамерную кисту с наличием однородного эхопозитивного внутреннего содержимого и среднего уровня звукопроводимости.
Если из-за распространенного эндометриоза возможна облитерация дугласова пространства, матка из-за спаечного процесса может отклониться кзади.
Фиброма
Встречается в любом возрасте. Хотя это редкая доброкачественная опухоль, ее легко можно спутать с лейомиомой, поскольку она визуализируется в виде плотного однородного птоэхогенного образования придатков. В отдельных случаях в ней могут наблюдаться анэхогенные образования. Хотя эта опухоль доброкачественная, она может сопровождаться снижением массы тела, асцитом и гидротораксом.
Женщина 41 года поступила с менорагией в анамнезе. При влагалищном исследовании определялось объемное образование правых придатков. При трансвагинальпом сканировании в матке и левом яичнике изменений не обнаружено.
В правом яичнике обнаружено однокамерное образование размерами 7 х 8 х 6 см, содержащее солидные участки, выступающие в ее полость.
Произведена лапаротомия, в операционной изготовлены замороженные срезы, при исследовании которых установлено доброкачественное образование с признаками, характерными для зрелой кистозной тератомы.
После обсуждения выявленных данных с больной, учитывая ее возраст и клиническую симптоматику, выполнена тотальная абдоминальная экстирпация матки и двусторонняя сальпингоофорэктомия толстой кишке.

Образования появляются в результате спаечного процесса в малом тазу, в котором скапливается жидкость.
В этот спаечный процесс может быть вовлечен яичник. Образование может протекать бессимптомно, или пациентка может предъявлять жалобы на боль. При УЗИ выявляют неопределенной формы многокамерные образования различного размера.
Попытайтесь выполнить гинекологическое УЗИ для себя немного легче — продумайте дифференциальную диагностику кистозных образований или плотного образования.
Некоторые заболевания имеют очень сходную эхографическую картину. Не усложняйте свою задачу при влагалищном УЗИ — описывайте изменения, а не пытайтесь поставить точный диагноз. Обнаруженные изменения можно интерпретировать как подозрение или соответствие какому-либо определенному диагнозу.
Ультразвуковая картина в виде солидного образования размерами 9,5 X 9,6 х 10 см с центральным эхонегативным участком, характерным для дегенеративных изменений. При гистологическом исследовании выявлена доброкачественная фиброма с центральной геморрагической дегенерацией.
Источник:



