Перелом берцовой кости со смещением и без — сколько ходить в гипсе
Берцовая кость представлена сочленением двух костей – большой и малой. Большеберцовая относится к самым крупным костям, на нее воздействует основная нагрузка, следовательно, подверженность данной части тела травмам объяснить несложно.
Перелом берцовой кости часто сопровождается негативными осложнениями, из-за чего реабилитационный период становится более длительным и сложным. Какой классификации относительно данной патологии стоит придерживаться и как правильно диагностировать перелом?
Причины
Повреждающие факторы чаще всего не приводят к перелому большеберцовой кости, а являются лишь причиной трещины, поскольку данный участок скелета очень прочный. Целостность, вплоть до перелома, страдает в следующих ситуациях.
- Мощный удар;
- Падение с большого расстояния;
- Травмы на производстве или во время спортивных занятий;
- ДТП.
Классификация
На характер повреждения влияет мощность удара непосредственно во время травмы. Стоит классифицировать рассматриваемое повреждение следующим образом.
- Перелом берцовой кости без смещения. Целостность костных сегментов не страдает, а смещение кости с оси можно отнести к категории несущественных. Заживление не сопровождается никакими осложнениями и происходит относительно быстро;
- Перелом берцовой кости со смещением сопровождается разделением отломанных частей и их смещением с оси. Чаще всего при такой травме консервативные методики неэффективны, а проведение хирургического вмешательства является обязательным;
- Перпендикулярно оси рассматриваемой кости может пройти разлом, который возникает в результате нанесения травмы и называется поперечным. Смещение в такой ситуации нельзя назвать значительным, поскольку осколки удерживаются за счет малоберцовой кости. Если такая травма сочетается с повреждением малой кости, смещение осколков может быть существенным. Чтобы исправить ситуацию проводиться репозиция фрагментов посредством хирургического вмешательства;
- Винтообразный перелом большеберцовой кости часто называют спиральным и он возникает в результате скручивающего воздействия в момент нанесения травмы. Объяснить подобное явление можно фиксацией одной части ноги и одновременным воздействием на другую ее часть. Учитывая мощность разрушающего удара, принято различать стабильную травму и повреждение со смещением;
- Закрытый перелом берцовой кости характеризуется отсутствием повреждения мягких тканей, однако, необходимость в операции остается. Серьезные травмы могут усугубить состояние мягких тканей, даже если они не были повреждены. Речь идет об отеках, нарушении кровотока и обширных гематомах. В крайне редких случаях целесообразна ампутация конечности;
- При открытом переломе мягкие ткани повреждаются, а сегмент берцовой кости выходит наружу. Кровопотери в данном случае существенные, травма часто сопровождается повреждением связок, мышц и сухожилий. Лечение может усложниться, если рана инфицирована;
- Оскольчатыми переломами принято называть травмы, при которых происходит дробление берцовой кости на несколько секторов – три и более. Срастание в данном случае проблематичное, а хирургическое вмешательство обязательное;
- Косой перелом берцовой кости ноги является результатом углового воздействия силы удара. Рентгеновский снимок способен очень четко визуализировать такую травму. Поддержка малоберцовой кости может обеспечить относительную стабильность, однако со временем не избежать смещения фрагментов, особенно, когда малоберцовая кость тоже травмирована.
Симптоматика
Самостоятельная идентификация травмы и своевременное обращение к врачу во многом зависят от знания симптоматики.
- При открытом переломе пострадавшего не посещают сомнения, поскольку открывается кровотечение, а кость выходит наружу;
- В редких случаях нарушаются сенсорные функции стопы, она становится холодной и бледной. Такие признаки указывают на повреждение нервов и сосудов;
- В районе перелома можно заметить аномальную подвижность кости, силуэт ноги деформирован;
- Гематома и отек обязательно локализуются вокруг перелома. Зачастую они проявляются сразу же после травмы;
- Боль при переломе берцовой кости своеобразная, поскольку она становится пронзительной только при попытке использовать поврежденную ногу в качестве опоры. В остальное время боль тупая.
Первая помощь
Успешность лечения и длительность реабилитационного периода напрямую зависят от того, насколько правильно была оказана помощь пострадавшему. Следующие действия до приезда скорой помощи являются обязательными.
- Купирование болевой симптоматики за счет любых обезболивающих;
- Иммобилизация ноги с использованием шины. В качестве шины можно использовать любые негнущиеся предметы, например, доски. Две части шины следует зафиксировать с внешней и внутренней стороны. Для фиксации используется ткань или бинт. Голеностопный и коленный сустав следует обездвижить максимально тщательно
- Постарайтесь очистить ногу от видимых загрязнений при открытой травме и обеззаразить антисептиком края раны. После такой обработки обязательно используйте стерильную повязку, чтобы прикрыть рану;
- Наложите жгут в районе бедра при необходимости, если кровотечение сильное.
Диагностика
Как только пациент будет доставлен в больницу, необходимо подробно описать обстоятельства перелома большеберцовой кости для оценки врачом вероятных сопутствующих повреждений. На следующем этапе проходит тщательный осмотр, цель которого заключается в определении следующих факторов:
- Стабильность или нестабильность ноги;
- Наличие подкожного выпячивания;
- Отечность;
- Предварительная оценка кровопотери;
- Разница в размерах между двумя ногами;
- Деформация силуэта конечности.
На следующем этапе проводится рентгенологическое обследование, в ходе которого удается окончательно диагностировать конкретный вид перелома.

Снимок позволит визуализировать состояние малоберцовой кости.
КТ проводится, если есть предпосылки для обнаружения более тяжелых повреждений в виде перелома обеих костей берцового сочленения.
Картина повреждений при таком методе диагностики будет более подробной, к тому же, удастся визуализировать ткани в поперечном срезе.
Лечение
Лечение перелома берцовой кости и реабилитация могут базироваться на радикальных или консервативных методиках, на что влияет общее физиологическое состояние пострадавшего, наличие осложнений и тип травмы.
Консервативная терапия
Консервативные методы актуальны в следующих случаях:
- Минимальное смещение фрагментов при закрытой травме;
- Незначительное искривление кости;
- Невозможность проведения операции.
В течение некоторого времени после травмы нога будет опухшей, поэтому загипсовать ее не представляется возможным.
Вместо гипса накладывается шина или лонгета. К гипсованию можно приступать сразу же после устранения отечности.
Со временем гипс снова необходимо заменить шиной с фиксирующими приспособлениями для дополнительной фиксации. Данная мера позволяет костям восстанавливаться и срастаться без риска повторной травмы.
На этапе проведения лечебной физкультуры или во время процедур шину можно периодически снимать по указанию врача.
Хирургическое вмешательство
Если берцовая кость сломана на три фрагмента, травма нестабильная, открытая, а консервативная терапия неэффективна, целесообразно отдать предпочтение хирургическому вмешательству.
- Среди многообразия эффективных методик стоит выделить интрамедуллярный остеосинтез. Операция предполагает внедрение внутрисуставного крепежного штифта в полость поврежденной кости. Штифт будет удерживать сломанные осколки до тех пор, пока костная ткань не срастется. На противоположных сторонах кости он фиксируется за счет винтовых соединений, благодаря чему фиксация даже крайне сложных переломов становится возможной. Поскольку в детском возрасте кости некоторое время продолжают расти, данный метод на юных пациентах неприменим;
- Альтернативой может стать наложение винтов и пластин с предварительным соблюдением последовательности восстановления расположения кости;
- В крайних случаях можно прибегнуть к наружной фиксации. Специальные шурупы вживляются в кость с последующим наружным выведением. Фиксация происходит посредством конструкции из металла, которая предотвращает смещение осколков и обеспечивает надежную фиксацию. Для длительной реабилитации при работе с детьми такая методика не подходит.
Реабилитация
Цель реабилитационного периода заключается в ускорении формирования костной мозоли и стабилизации мышечного тонуса.
Достичь этих целей удается посредством индивидуально разработанного курса, который включает следующие методики:
- Массаж;
- Три периода физиотерапии;
- ЛФК.
Также не стоит забывать о богатой минералами и витаминами диете. Рацион должен состоять из большого количества зелени, фруктов и овощей, заливного, яиц, печени и морепродуктов, нежирного мяса и молочной продукции.
Осложнения
Переломы берцовой кости очень долго срастаются и в период восстановления очень важно соблюдать предписания врача для предотвращения осложнений, среди которых могут быть следующие последствия.
- Сосудистые патологии;
- Инфекционное поражение;
- Проблемы при срастании;
- Остеоартроз или артрит;
- Разница в длине между здоровой и пораженной ногой;
- Непрекращающаяся боль в зоне голени, колена или голеностопа.
Грамотно составленный лечебный и восстановительный курс, а также своевременное обращение в больницу помогут избежать этих осложнений.
Как долго нужно ходить с гипсом при переломе берцовой кости Ссылка на основную публикацию
Источник:
Переломы малой или большой берцовой кости — сколько ходить в гипсе?
Переломы малой берцовой кости и большеберцовой кости – наблюдаются и в молодом, и в зрелом возрасте. Своевременно оказанная медицинская помощь гарантирует выздоровление и полноценную жизнь пациенту.
Виды переломов
Под понятием берцовой кости подразумевается комплекс из двух костей, соединенных друг с другом: большой берцовой и малоберцовой. Первая в три раза больше второй и обеспечивает опорную функцию.
Малая берцовая кость расположена параллельно большой. Роль ее сводится к формированию голеностопного сустава и колена. Осевой нагрузки она практически не несет.
Вид перелома зависит от выраженности повреждающей силы. По этой причине переломы костей голени классифицируют на:
-
Стабильные переломы. Также известны как переломы без смещения. Такое повреждение костей является наиболее благоприятным. При стабильном переломе участок поврежденной кости незначительно смещается относительно собственной оси. При этом не образуется мелких костных фрагментов, которые замедляют восстановление тканей.
-
Со смещением (смещенные). Перелом берцовых костей со смещением не позволяет больному передвигаться без посторонней помощи. Особенностью повреждения является образование костных фрагментов, которые смещены относительно нормальной оси кости.
-
Поперечные переломы. Представляют вид перелома кости, при котором линия перелома проходит точно поперек костной оси. Поперечный перелом большой берцовой кости позволяет самостоятельно передвигаться (смещению препятствует малоберцовая кость).
-
Косые переломы берцовых костей образуются при угловом воздействии ударной силы на кость. Подобный перелом может быть стабильным, но в 90% случаев при косых переломах берцовых костей наблюдается смещение.
-
Спиральные или же винтообразные переломы костей наблюдаются при скручивающем движении ноги во время получения травмы. Подобные переломы возникают когда один участок конечности остается неподвижным, а второй – мобильным.
-
Оскольчатые переломы. Это переломы, при которых кость ломается на 3 и более отдельных фрагмента. Образуются под воздействием выраженного по силе травмирующего фактора. Под его воздействием из кости выбиваются осколки (кость крошится).
Являются опасным видом травмы, поскольку осколки легко травмируют окружающие ткани и могут выходить наружу. Угрозу для жизни становит повреждение осколками сосудистых пучков. Оскольчатые переломы тяжело поддаются лечению.
Восстановление целости кости достигается только хирургическим способом.
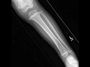
Представляем снимок несмещенного перелома большеберцовой кости.
Переломы со смещением
В 80-90% случаев наблюдают смещенные переломы берцовой кости. Смещение развивается по причине посттравматического сокращения мускулатуры. Сокращение мышц в участке перелома является защитной реакцией организма, направленной на предотвращение повреждения нервов и сосудов.

Вторая причина смещения фрагментов кости – воздействие на нее веса тела. Часто наблюдаются случаи, когда стабильный перелом малоберцовой кости под воздействием массы тела переходил в нестабильный (смещенный).
Костные участки могут смещаться вдоль оси кости или поперек нее. Смещение вдоль оси является менее благоприятным, поскольку риск травмирования сосудисто-нервных образований в такой ситуации стабильно высок. Для осевого смещения отломков характерно проникновение в участки между костными отломками мягкотканевых образований, что отягощает терапию таких переломов.
Переломы со значительным смещением тяжело поддаются консервативным способам терапии, чаще требуют оперативного вмешательства.
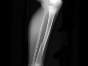
Рентген-снимок перелома малой берцовой кости, смещенного по оси.
Открытые и закрытые переломы
В зависимости от целости кожных покровов разработана еще одна классификация переломов:
- закрытые. При закрытом переломе костные фрагменты не выходят из-под кожных покровов – не образуется открытой раны. Участки кости могут прощупываться непосредственно под кожей, в таком случае ключевой задачей является предупреждение их выхода наружу;
- открытые. Открытый перелом берцовой кости характеризуется повреждением кожи, когда фрагменты кости видны в открытой ране (выпирают наружу). Является тяжелой травмой, которая требует оказания медицинской помощи в кратчайшие сроки. Вероятность развития шока при открытом переломе гораздо выше, чем при закрытом типе.
Важно! Также переломы классифицируют в зависимости от участка повреждения кости (эпифизарные, головки, диафизарные, метафизарные, метаэпифизарные) и наличия повреждения сустава (внутри- и внесуставные). Эпифизарные переломы являются внутрисуставными.
Приводим фото открытого перелома костей голени.
Полезно: Лучшие противозачаточные таблетки после 45 лет
Симптомы
Симптоматика переломов берцовых костей сходна с классической симптоматикой любых типов переломов.
В большинстве случаев пациент самостоятельно способен определить наличие у себя перелома по ряду субъективных и объективных признаков.
К первым относятся:
- возникновение резкой выраженной боли в голени;
- ощущение болтающихся участков кости в ноге;
- изменение характера болевого синдрома с момента получения перелома (не обязательно);
- появление чувства холода или жара, лазания мурашек в ноге или по ее коже;
- отсутствие реакции на тактильные, температурные, болевые раздражения ниже места повреждения, и в его участке.
Объективными симптомами, которые больной может определить самостоятельно, и на которые опирается при осмотре врач, являются:
- нарушение ходьбы (если сломана малая берцовая кость) или невозможность самостоятельной ходьбы (когда сломана большая берцовая кость);
- деформированная или укороченная, сравнительно с неповрежденной конечностью, нога;
- припухлость в районе перелома, которая может распространяться на всю голень;
- изменение окраса и температуры кожных покровов над областью перелома;
- выраженная болезненность при ощупывании поврежденного участка;
- положительные болевой синдром при нагрузке по оси конечности;
- патологические движения костей в области травмы;
- крепитация (звук трения фрагментов кости друг о друга) в участке повреждения.
Подтверждается диагноз перелома рентгенологическим обследованием.
Переломы малой берцовой кости в 50% случаев нелегко выявить при осмотре. Поэтому рентгенологическая картина позволяет подтвердить или исключить травму.
Что делать
При подозрении на перелом одной или обеих берцовых костей крайне нежелательно ходить самостоятельно. Нагрузка на ось поврежденной конечности способна привести к выраженному смещению отломков и развитию тяжелых осложнений.
Если под рукой есть обезболивающие препараты, необходимо использовать их, поскольку у травмированного человека может развиться болевой шок – потенциально опасное для жизни состояние.
Наиболее распространенными (их можно найти в каждой домашней или автомобильной аптечке) обезболивающими препаратами являются: Анальгин, Парацетамол, Солпадеин).
При наличии Лидокаина, Новокаина или Ибупрофена в форме растворов для инъекций нужно ввести их как можно ближе к месту перелома.

Если на больном была обувь, ее нужно аккуратно, не вызывая болевых ощущений снять. Это предотвращает застой крови ниже места перелома и облегчает боль.
При наличии наружного или подкожного кровотечения артериального типа, необходимо наложить жгут или ремень (можно использовать любое подручное средство) на поврежденную артерию выше места перелома. Необходимо послаблять жгут каждые 40 мин-час в летнее время и через 1-1,5 в зимнее, иначе в конечности образуются токсические продукты распада тканей.
Венозное кровотечение можно остановить, наложив давящую повязку на рану или на участок ниже места повреждения сосуда.
При закрытых переломах показано обездвижить поврежденную ногу. При наличии подручного материала и обладанием навыков, можно самостоятельно наложить фиксирующую шину.
Она обеспечит фиксацию костных фрагментов и предотвратит возможные осложнения. Правильно наложенная шина позволяет пациенту самостоятельно передвигаться при условии незначительной нагрузки на поврежденную конечность.
При открытых переломах любое вмешательство в ране строго запрещено.
После обезболивания и остановки кровотечения больному вызывают бригаду скорой помощи. До момента приезда врачей отходить от травмированного нежелательно, поскольку в любой момент может наступить осложнение его состояния.
Пострадавшего можно напоить некрепким теплым чаем или водой, соком – это успокаивающе действует на нервную систему. Запрещено давать травмированному человеку алкоголь, поскольку его употребление не позволяет правильно определить клиническую картину.
Полезно: Лучше лекарство от простатита
Сколько ходить в гипсе
В большинстве случаев лечение переломов берцовой кости сводится к долговременному ношению повязки из гипса. Такой способ лечения называется консервативным.
К гипсовой повязке прибегают при закрытых несмещенных или незначительно смещенных типах переломов.
При возможности одномоментной ручной репозиции костных фрагментов (ручном одномоментном восстановлении правильного положения участков кости).
При невозможности провести одномоментную репозицию или при других видах переломов кость соединяют методом скелетного вытяжения, или проводят оперативное вмешательство.
Время, проведенное больным в гипсе, напрямую зависит от вида травмы. Гипс накладывают после стабилизации костных отломков. Чем тяжелее их стабилизировать, тем дольше больной будет носить гипс.
Переломы тела кости, которые встречаются чаще всего, при условии отсутствия осложнений срастаются за 2-2,5 месяца. При развитии осложнений ношение гипсовой повязки продлевают в зависимости от конкретной ситуации. В ряде случаев гипс приходится носить до полугода.
Осложнения, влияющие на время ношения гипса:
- неправильное сопоставление участков кости;
- их расхождение после наложения гипса;
- вклинивание между фрагментами кости мягких тканей;
- развитие отека конечности (гипс приходится снимать и накладывать заново);
- неправильное сращение костей;
После накладывания гипсовой повязки и в определенное время ее ношения (через неделю, 2 недели, месяц) делают рентген-снимок поврежденной конечности. Только по результатам рентгенографии можно уверенно судить о том, сколько больному придется носить гипс на ноге.
Перед снятием гипса обязательно проведение рентгенологического обследования конечности.
Важно! Ни в коем случае нельзя снимать гипсовую повязку раньше времени. Преждевременное снятие гипса с травмированной ноги грозит смещением несросшихся отломков или повторным переломом при незавершенном процессе восстановления целости кости.
Ускорить заживление перелома могут массажные и физиотерапевтические процедуры. При их грамотном применении и отсутствии противопоказаний консолидация (сращение) костных отломков начинается уже со 2-й недели после перелома. В это время показаны легкие нагрузки на поврежденную конечность, которые постепенно переходят в ходьбу.

Начинают ходить с гипсом на травмированной ноге по окончанию 1-1,5 мес. после травмы. На первых порах ходят по дому, потом (когда исчезнет болевой синдром и мышцы достаточно окрепнут) можно выходить на улицу.
Начинают ходить в гипсе на костылях. Первая самостоятельная ходьба с перерывами занимает около 50-100 метров. В первый раз передвигаться дальше нежелательно. Прогулка с опорой на больную ногу занимает не более 5-10 минут. Если при этом появляется боль, нагрузку следует уменьшить. Постепенно время ходьбы увеличивают до полноценной (по меркам больного) прогулки.
После снятия гипса следует постепенно начинать ходить с полной опорой на травмированную ногу. Как и при ходьбе в гипсе, ключевую роль играет постепенное увеличение нагрузки.
Перед тем, как начать ходить с опорой на травмированную конечность посоветуйтесь с врачом.
Источник:
Перелом большой берцовой кости: реабилитация после повреждения без смещения и упражнения для лечения травмы
Травмы голени нередко заканчиваются тем, что у пострадавшего подтверждается перелом большой берцовой кости. Причиной подобного является сила, превышающая силу прочности костной ткани.
Причин подобного состояния может быть много, но наиболее часто виной всему удар по голени, прыжок или падение.
Анатомические особенности
Статистика повреждения существенно возрастает в зимнее время и нередко связана с занятиями экстремальными видами спорта.
Особенность этой кости в том, что она покрыта небольшим числом тканей, особенно спереди. Вместе с большеберцовой костью зачастую повреждается и малая. С возрастом кость теряет минеральные вещества и становится хрупкой, за счет этого риск получения травмы возрастает.
Человеческая голень представляет собой уникальное образование, в состав которого входит большая и малая берцовые кости. Кость имеет тело трехгранной формы, передний край, наружную и внутреннюю его поверхность без проблем можно прощупать под кожей.
Вверху расположены мыщелки большеберцовой кости, имеющие суставные поверхности, входящие в состав коленного сустава. Спереди расположена большеберцовая бугристость, к ней крепится сухожилие четырехглавой мышцы бедра. Ниже наружного мыщелка располагается суставная площадка малоберцовой кости.
В нижней части большеберцовая кость имеет расширение, которое образует суставную площадку голеностопного сустава. С внутренней стороны площадка ограничена одноименной лодыжкой, а сзади краем. Именно эти образования подвержены травмам и нередко со смещением.
Разновидности повреждения
Каждый случай повреждения по-своему уникален, что влияет на особенности лечения и реабилитации. Выделить можно следующие разновидности повреждений:
- со смещением;
- без смещения;
- вколоченные;
- винтообразные;
- оскольчатые.
Отдельного внимания заслуживают открытые или закрытые повреждения. Безопасной считается закрытая травма, при которой нет повреждения кожных покровов.
При открытом переломе кость и окружающие мягкие ткани инфицируются, последствием может стать остеомиелит. Также перелом может стать вторично открытым, при подобной ситуации отломками кости повреждается кожа.
Происходит подобное при неправильной транспортировке пострадавшего, попытке вправить деформацию.
Диагностика, как подтверждение догадки
Но несмотря на всю простоту постановки диагноза, иногда остаются вопросы. В частности, величина смещения, наличие осколков, связан ли перелом с полостью сустава или нет, показано ли дополнительное обследование.
Наиболее часто врачи назначают рентгенологическое обследование и производство снимков. Методика позволяет диагностировать перелом большой и малой берцовой кости. При повреждении нерва показана электронейромиограия.
Если перелом в области мыщелков или оскольчатый показано проведение МРТ. Методика позволяет уточнить вид перелома, особенно если перелом большой берцовой кости без смещения, невидимый на рентгеновском снимке.
Особенности оказания первой помощи
Для того чтобы перелом большой берцовой кости принес минимальное количество осложнений важно оказать пострадавшему первую доврачебную помощь.
Сразу после получения травмы конечность должна быть иммобилизирована. Сделать это можно при помощи специальной шины или любого подручного средства.
Правильно оказанная первая помощь заключается в фиксации коленного и голеностопного суставов.
До того как проведена диагностика запрещены любые другие действия, особенно связанные с вправлением отломков или деформации. Уменьшить интенсивность боли позволит холод, приложенный к месту повреждения. Завернуть в полотенце можно любой предмет из морозилки, приложить его на 15-20 минут с перерывом на 10.
Если есть рана, на нее накладывается по возможности стерильная повязка. А в случае наличия кровотечения на область бедра должен быть наложен жгут. Длительность наложения жгута в летнее время составляет не более 2 часов, а зимой 1,5.
По истечении этого срока, если пострадавшего не удалось доставить в больницу, жгут несколько ослабляется.
Особенно в плане кровотечения опасен винтовой перелом большой берцовой кости, поскольку острыми отломками травмируется не только кожа, но и крупные артерии.
Лечение перелома
Как и при других травмах скелета, процесс лечения может пойти двумя путями – консервативным и оперативным.
Но с учетом того, что кость опорная и при повреждении ее наблюдается смещение, предпочтение отдается операции.
Более детально определиться поможет врач после того, как проведены все обследования. Имеет смысл рассмотреть все достоинства и недостатки каждой из методик.
Консервативный вариант
По совету врача или в связи со страхом перед предстоящим вмешательством человек, выбирая консервативное лечение, задается вопросом о том, сколько ходить в гипсе. Ответить на него однозначно не получится, в среднем сроки сращения составляют примерно от 3 до 3,5 месяцев.
Сразу же после поступления положено наложить гипс, если перелом без смещения, что встречается сравнительно редко. Когда есть смещение, этапом консервативного лечения или подготовки перед операцией является скелетное вытяжение.
Процедура проводится под местной или общей анестезией, в зависимости от состояния пострадавшего. Через определенный участок (часто это пятка) проводится специальная спица, к которой крепятся грузы. В таком положении пострадавший проводит примерно 6 недель, а после на 4 месяца накладывается гипс.
Недостаток методики состоит в отсутствии жесткой фиксации отломков, вытяжение не позволяет их прочно удержать.
Также на весь период вытяжения человек остается фактически прикованным к постели и не всегда отломки кости удается поставить на свое место, что требует проведения операции.
Однако перед операцией происходит растяжение связок и тканей, за счет чего сопоставление происходит значительно легче.
Операция, как вариант решения проблемы
Как уже упоминалось, большеберцовая кость является опорной, за счет этой особенности человека нужно поставить на ноги как можно скорее. Решить этот вопрос поможет операция.
Основным показанием к ней является наличие множества отломков или перелом со смещением.
При повреждении каждого отдела кости используются свои методики, для которых разработаны соответствующие фиксаторы.
Рассчитаны фиксаторы на пожизненное использование, но примерно через год после постановки при условии консолидации перелома могут быть удалены. При открытом переломе врач может установить внешней фиксатор или аппарат по методике Илизарова.
Подобные приспособления надежно фиксируют перелом и дают возможность врачу осуществлять постоянный уход за раной.
Противопоказано установление пластин и внутрикостных фиксаторов при открытых переломах, пока не заживет рана. Есть еще и другие противопоказания.
Противопоказания к оперативному лечению
Всегда есть ситуации, когда операция способна принести больше вреда, чем пользы. Они всегда должны быть учтены лечащим врачом перед принятием решения об оперативном вмешательстве. Противопоказанием является:
- рана или ссадина в месте предполагаемого вмешательства;
- нарушения психики пациента;
- наличие хронической декомпенсированной патологии сердца, легких, печени и почек;
- тяжелое течение сахарного диабета;
- проблемы со свертываемостью крови (например, гемофилия);
- перенесенные инсульты, инфаркты;
- если человек не передвигался самостоятельно до травмы.
Использование медикаментов
Для того чтобы организм справился с переломом ему нужно немного помочь, с этой целью применяются медикаментозные препараты как на этапе консервативного, так и оперативного лечения.

Первыми в списке можно поставить препараты кальция (Кальций Д3 никомед, Остеогенон, Кальцемин, Структум). Они способствуют минерализации кости кальцием, а благодаря витамину Д микроэлемент лучше усваивается организмом.
С болью позволят справиться нестероидные противовоспалительные препараты (НПВС). Часто применяемыми являются препараты:
- Аэртал;
- Ревмоксикам;
- Ксефокам;
- Нимид и др.
Оптимальный препарат и дозу позволит подобрать врач, поскольку самолечение может отрицательно сказаться на состоянии здоровья. Дополнением являются хондропротекторы, особенно если перелом связан с поверхностью сустава или последний длительно иммобилизирован. Среди представителей подобной группы препаратов можно выделить:
- Мукосат;
- Хондроитин комплекс;
- Протекон и др.
Курс приема составляет три месяца, затем делается перерыв на месяц, после чего лечение продолжается. Препараты имеют накопительное действие, поэтому и после отмены лекарственного средства действие его продолжается.
Восстановление после повреждения
Немаловажным этапом является реабилитация после перелома большой берцовой кости, которая состоит из нескольких этапов. Только стоит помнить, что спешка в процессе реабилитации не самый лучший выбор. Поэтому и интенсивность ее должна нарастать постепенно. При ходьбе вначале используются костыли, а после ходунки, трость с последующей полной нагрузкой.
Массаж и гимнастика
Любая процедура выполняется под контролем лечащего врача, инструктора ЛФК или массажиста. Массаж позволяет разогреть мышцы, ускорить кровообращение в тканях. Вначале выполняется поглаживание, после которого следует растирание, разминание. Методики могут быть разными, все зависит от уровня и квалификации массажиста.
Источник:
Перелом берцовой кости (малой, большой): лечение и реабилитация, сколько ходить в гипсе
По частоте возникновения перелом берцовой кости занимает третье место среди переломов остальных костей. Всего человеческий организм насчитывает пару большеберцовых и пару малоберцовых костей.
Чтобы понимать механизм травмы, следует знать расположение берцовых костей. В каждой ноге между бедром и стопой находится по одной большой и малой берцовой кости. Вверху этих костей начинается коленный, а внизу голеностопный сустав.
Между большой и малой берцовой костью находятся крупные связки.
Основную нагрузку во время ходьбы берет на себя большая берцовая кость, поэтому перелом в ней встречается чаще, хотя нередки случаи, когда возникает повреждение и малой или сразу обеих костей. К малоберцовой кости крепится много мышц, потому, когда возникает перелом малой берцовой кости со смещением, то повреждается большой объем мышечной ткани.
Типы переломов
Когда происходит повреждение большеберцовой кости, переломы могут случаться в эпифизе, диафизе, либо же случается перелом мыщелков большеберцовой кости.
По расположению линии разлома возможен поперечный, косой перелом или спиральный перелом (иногда врачи именуют этот тип как винтообразный перелом). Травма может иметь закрытый или открытый характер.
Перелом малоберцовой кости редко бывает открытым, так как кость довольно тонкая и чаще всего происходит перелом малой берцовой кости без смещения.
Если травма не отягощается смещением, то все костные отломки стоят на своих местах. Перелом малоберцовой кости без смещения срастается быстрее всех остальных типов повреждения. Перелом наиболее часто бывает медиальным, то есть когда кость повреждается снизу.
Если во время получения травмы костный отломок повреждает суставную сумку, то такой перелом считается внутрисуставной травмой. Очень часто внутрисуставным бывает перелом головки малоберцовой кости.
При неполном переломе в кости появляется трещина или кость ломается изнутри, оставляя целой надкостницу.
Клиническая картина
Симптоматика травмы зависит от того, какая именно из костей голени повреждена.
При травме малой берцовой кости
Деформация ноги во время травмы не наступает, ведь кости находятся под хорошим слоем мышечной ткани. Пальпируя место повреждения, доктор может нащупать отломки, если пострадавший имеет худощавое строение тела. Когда повреждается малая берцовая кость, перелом можно определить по следующим признакам:
- Слабовыраженные болезненные ощущения, которые становится сильнее во время ходьбы;
- Отёчность тканей в месте перелома;
- Наличие небольшой гематомы в области повреждения.
При травме большой берцовой кости
Перелом наружного мыщелка большеберцовой кости часто имеет открытый характер, потому что кость расположена ближе к кожным покровам. В случае закрытого перелома доктор с легкостью может нащупать сломанные кости во время осмотра. Если повреждаются связки, то происходит перелом большой берцовой кости со смещением. О этом может свидетельствовать укорочение поврежденной конечности.

После получения травмы происходит искривление ноги, от повреждения сосудов появляется явно выраженный кровоподтек, место травмы начинает отекать, становится невозможно наступить на больную конечность.
Если повреждаются обе кости одновременно, то симптоматика будет такая же, как при переломе тибиального участка большой берцовой кости.
Если человек упал на прямые ноги, то часто возникает перелом мыщелка большеберцовой кости, которых в голени два. Такие травмы бывают вдавленными, когда один отломок на несколько сантиметров входит в другой отломок.
Если происходит открытый перелом, то на месте повреждения образуется рана, и присутствует кровотечение.
Без смещения
Если костные отломки занимают анатомическое положение, доктор обезболивает место травмы с помощью внутримышечного ввода препаратов, после чего от пяточной кости и чуть выше, чем до середины бедра накладывается гипсовая повязка. После наложения гипса врач делает повторный рентгеновский снимок, чтобы убедиться, что во время проведения процедуры не произошло смещение отломков.
Спустя неделю после иммобилизации, рентген повторяют. Гипс снимается приблизительно через два с половиной месяца после получения травмы, после чего на протяжении месяца проходит реабилитационный период. Если в процессе лечения не возникает никаких осложнений, то полное восстановление наступает спустя три — четыре месяца.
Со смещением
Если во время перелома костные отломки сместились, то тактика лечения отличается от предыдущей, а сроки лечения перелома мыщелка большеберцовой кости увеличиваются.
По приезду в больницу, поврежденную ногу обезболивают, после чего пациент кладется на вытяжение. Во время него растягиваются мышцы, что препятствует смещению сегментов костей.
В таком состоянии пациенту проводится репозиция, и он остается на вытяжении до тех пор, пока не нарастет костная мозоль.
На протяжении всего периода вытяжения больному делается рентген, на котором врач наблюдает, как образуется костная мозоль. При нормальном состоянии пациента, вытяжение отменяется приблизительно через полтора месяца, после чего кости фиксируются с помощью гипсовой лангеты. Спустя два — четыре месяца проводится контрольный рентген и снимается гипсовая повязка.
Хирургическое лечение
Если вытяжение не приносит должного результата, то больному назначается оперативное вмешательство, во время которого костные отломки фиксируются с помощью стержней, шурупов, пластин или аппарата Илизарова.
Стержень
В коже пациента производится разрез, сквозь который в канал кости вставляется стержень из медицинской стали. Стержень вынимается, когда кость полностью срастается.
Пластина
В коже делаются отверстия, и к кости с помощью специальных саморезов прикручивается пластина. Данная операция не проводится при переломе голени у детей, потому что во время нее может повредиться надкостница, что негативно скажется на процессе роста кости.
Шурупы
Когда случается продольный перелом, кости соединяются и фиксируются шурупами, которые удаляются после срастания отломков.
Аппарат Илизарова
Этот метод считается самым надежным для быстрого лечения, поскольку спицы вставляются в костные отломки и выводятся наружу, образуя каркас. Кости фиксируются жестко, доктор имеет возможность изменять положение сегментов во время лечения.
Медикаменты
Независимо от типа перелома и способа лечения, больному назначаются препараты, благодаря которым процесс выздоровления ускоряется. Эти средства улучшают микроциркуляцию, насыщают организм витаминами, а также кальцием и витамином Д. Если требуется, больному приписывают обезболивающие препараты.
Восстановление
Реабилитация после перелома большой берцовой кости без осложнений должна начинаться практически сразу после наложения гипса. Больному рекомендуется шевелить пальцами, аккуратно поворачивать стопу. Также назначается магнитотерапия, лазеротерапия, электрофорез, лечебная физкультура.
После того как пациент сможет принимать вертикальное положение, необходимо начинать ходить с помощью костылей, однако на ногу следует давать минимальную нагрузку. Если при этом возникают болезненные ощущения, пациенту проводится обезболивание. После снятия гипса, назначается лечебный массаж и занятия в бассейне.
На протяжении всего восстановительного периода больной должен придерживаться специально разработанной диеты, с высоким содержанием кальция.

Полное выздоровление наступает примерно через полгода, если человек придерживается всех рекомендаций лечащего доктора.
Источник:



