Лечение трехлодыжечного перелома
Трехлодыжечный перелом — это нарушение нормального анатомического строения лодыжки и большеберцовой кости.
Считается частой травмой у лиц разных возрастов, но в наибольшей степени к ней предрасположены люди после 60 лет. Это обусловлено нарушениями координации движений, изменениями в физической форме, снижением прочности костной ткани и рядом иных процессов характерных для данной возрастной группы.
Особенности перелома
Голеностоп состоит из большеберцовой, малоберцовой и таранной костей. Все они находятся в тесной физиологической связи. Главной в суставе считается именно большеберцовая кость. Она формирует внутреннюю лодыжку, а малоберцовая является необходимым составным элементом латеральной лодыжки.
Все указанные наименования костей формируют суставную вилку, охватывающую таранную кость. Кости могут совершать движения, потому что в суставе в достаточном количестве вырабатывается синовиальная жидкость.
При некоторых травматических повреждениях нарушается целостность всех указанных костей. Иногда травма сочетается с поражением дельтовидной связки.
Если костные отломки сохраняются в нормальном положении, то говорят о травме без смещения.
О трехлодыжечном переломе со смещением свидетельствует изменение отломками своего первоначальное расположения. Такого рода травма является более серьезным нарушением сустава, и ее лечение представляет собой гораздо более сложную задачу, по сравнению с обычным переломом (без смещения).
Факторы и классификация перелома
Причины возникновения травмы:
- Подворачивание стопы (оно имеет разные направления — внутрь или в наружную сторону).
- Неестественное, сильное сгибание сустава.
- Разгибание сверх пределов естественной двигательной амплитуды сустава.
- Перекручивание сустава.
- Высокая вертикальная нагрузка. Такое бывает, например, при прыжках с высоты.
В соответствии с патогенезом травмы трехлодыжечные переломы классифицируются на:
- Пронационно-абдукционный. Появляется при неестественном развороте стопы в наружную сторону. Происходит поражение межберцовой связки, изменение локализации берцовых костей.
- Супинационно-аддукционный. Возникает в результате неестественного поворота стопы вовнутрь.
- Ротационный перелом развивается из-за выворачивания стопы. Обычно повреждаются обе лодыжки.
- Изолированный сгибательный перелом появляется из-за подошвенного сгибания и диагностируется достаточно редко. Такие травмы бывают без изменения локализации костей.
- Изолированный разгибательный перелом возникает из-за сильного удара по стопе или неестественного тыльного сгибания.
- Комбинированный перелом диагностируется в случае сочетания большого количества травматизирующих факторов.
Симптоматика перелома
Симптоматическая картина зависит от условий, при которых травма возникла, и от выраженности поражения голеностопа. Проявляются следующие признаки:
- Резкая болезненность в стопе, которая значительно усиливается во время ходьбы.
- Распухание тканей лодыжки (возникает из-за разрушения связки и вытекания суставной жидкости, геморрагии в суставную полость).
- Гематомы (они распространяются в сторону пальцев ног).
- Нарушение формы стопы.
- Поражение сустава.
- Нарушения кожи над отломками костей.
- Разрыв кожи при открытой травме со смещением, образование открытой раны (иногда можно заметить отломки выступающих костей).
- Онемение ноги, если повреждаются сосуды или нервы.
- Побледнение кожи над травмированной областью.
Трехлодыжечный перелом со смещением характеризуется очень сильной болезненностью и распуханием сустава. Обнаруживаются многочисленные и выраженные кровоподтеки. Кожа синюшна или ярко-красная.
Из-за отека невозможно определить контуры лодыжки. В отдельных случаях отмечается неестественная подвижность в пораженной области и крепитация.
Активность невозможна по причине развития болевого синдрома.
Особенности диагностики
Данные виды травмирования необходимо дифференцировать от повреждения связочного аппарата голеностопа. Важное значение в диагностике имеет локализация боли: если у больного имеется перелом, то боль располагается выше, а ее усиление происходит при пальпации костной ткани.

Постановка точного диагноза возможна при назначении:
- Рентгенографии пораженного сустава (применяются две проекции — боковая и передне-задняя);
- Компьютерная томография;
- Артроскопия;
- Ультразвуковое обследование;
- Магнитно-резонансная томография (дает возможность оценить состояние мягких тканей).
Особенности терапии перелома
При наличии трехлодыжечного перелома чрезвычайно важно возобновить полную целостность сустава. Если физиологическое сопоставление нарушенных костей не будет выполнено, в дальнейшем у человека может развиваться прогрессирующий артроз — серьезные дегенеративные изменения тканей внутри сустава. Все это заканчивается инвалидностью.
При нарушении целостности кости без смещения, необходимо накладывать повязку из гипса. Она располагается до колена. Длительность иммобилизации не меньше 6 недель. Для возможности ходьбы накладывается стремя
Во время лечения важна не только репозиция костных обломков, но и их удержание до того момента, пока не будет образована костная мозоль.
Закрытая репозиция делается в условиях больницы и только с использованием местной анестезии. Пациенту накладывается гипсовая повязка в виде сапога.
Длительность такой иммобилизации — не менее 2,5 месяцев. Все это время назначаются физиотерапевтические процедуры, анальгезирующие и противовоспалительные препараты. Нетрудоспособность устанавливается на срок от 2 до 4 месяцев, в зависимости от сложности травмы.
Если закрытое сопоставление провести не удается, необходимо хирургическое вмешательство. Желательно, чтобы оно было проведено через несколько дней после травмы. Для фиксации применяются винты, спицы. Рана ушивается, и устанавливается дренирующая система. Пациенту накладывают гипс и назначают противомикробные препараты.
Через повязку можно проводить эффективную терапию с помощью УВЧ, лазеротерапии, магнитотерапии, ультрафиолетового излучения. После снятия гипсовой повязки назначают ЛФК, массаж. Крайне важно предупреждать развитие послетравматического синдрома.
Некоторые больные могут жаловаться на усиление болевых ощущений при смене погодных условий, после физической нагрузки. В случае выраженных болей может назначаться электрофорез (применяется Новокаин, Эуфиллин). Полностью болевой синдром проходит через год.
Никогда нельзя вправлять сустав самостоятельно. Это приводит к развитию тяжелых осложнений.
Осложнения в течение реабилитационного периода случаются редко, при условии, что пациент внимательно выполняет все рекомендации.
Когда нельзя делать массаж
Выполнение массажа и других лечебных процедур запрещено в следующих случаях:
- Тяжелое общее состояние;
- Склонность к геморрагиям;
- Нестабильность перелома, множественные разрывы связок;
- Злокачественные новообразования;
- Обострение хронических патологий;
- Психические расстройства;
- Гематологические патологии;
- Тяжелый гнойный процесс;
- Беременность.
Последствия и осложнения перелома
Травмы без смещения обычно хорошо срастаются, после выздоровления не доставляют пострадавшим неудобств. Но это справедливо лишь в том случае, когда лечение осуществлялось своевременно и правильно. Последствия нелеченого перелома, следующие:
- Постоянный болевой синдром;
- Отек сустава;
- Гнойное воспаление раны;
- Эмболия;
- Некроз кожных покровов;
- Патологическое срастание;
- Ложный сустав;
- Подвывих;
- Посттравматическая дистрофия сустава;
- Уменьшение интенсивности и силы движений;
- Хромота;
- Тромбоэмболия;
- Замедление срастания.
При развитии деформирующего артроза быстро нарушается подвижность стопы, больной утрачивает способность нормально ходить. Это является показанием для оформления группы инвалидности.
Травма голеностопного сустава является тяжелым поражением опорно-двигательного аппарата. От того, насколько своевременно будет начато лечение, зависит как скоро наступит выздоровление пациента и восстановление его двигательной активности.
Всесторонний подход к лечению перелома позволяет значительно сократить время иммобилизации и вернуть пациента к обычному ритму жизни.
Только комбинированное лечение позволяет снять воспалительные явления, ускорить рассасывание отека, улучшить кровообращение в суставе, укрепить сустав и пораженные мышцы.
Источник:
Все о посттравматическом артрозе
Берегите себя, не травмируйте
Посттравматический артроз является вторичной патологией, поскольку развивается в результате травматического повреждения суставных соединений.
Заболевание появляется при сильном механическом воздействии на сочленение. В итоге нарушается строение сустава и гиалинового хряща.
Посттравматический деформирующий артроз может быть вызван разовой травмой или из-за постоянных перегрузок сустава.
Что приводит к развитию заболевания?
Главной причиной дегенеративно-дистрофической патологии является нарушение кровоснабжения различных структур опорно-двигательного аппарата.
Посттравматический артроз считается вторичным заболеванием, его формирование происходит спустя несколько лет после полученной травмы, ушиба или перелома.
Нерациональное устранение травм голеностопа, халатность врачей приводят к развитию заболевания. Основные причины посттравматического артроза:
- нарушение конгруэнтности суставных поверхностей;
- заболевания эндокринной системы;
- повторный разрыв или растяжение связок;
- продолжительная иммобилизация;
- внутрисуставной перелом со смещением;
- разрыв межберцового синдесмоза;
- трехлодыжечный перелом с разрывом межберцового синдесмоза при артрозе голеностопа;
- повреждение крестообразных связок и мениска при болезни коленного сустава.
От травматического артроза плечевого сустава, в основном, страдают люди, чья работа связана с тяжелым физическим трудом. Одной из причин посттравматического артроза является ранее проведенная операция.
Стадии развития и клинические признаки патологии
При появлении первых симптомов незамедлительно обратитесь к врачу
Появление болевых ощущений означает начало воспалительного процесса. Посттравматический артроз голеностопного сустава имеет 3 степени выраженности:
- Первой стадии развития характерны умеренные болевые проявления, которые появляются при длительном нахождении в положении стоя или тяжелых физических нагрузках. На вид сустав немного припухлый. Признаки артроза проходят после отдыха.
- Вторая степень развития проявляется морфологическими изменениями в сочленениях голеностопа. Боль становится острее, отечность видна невооруженным взглядом. К этим признакам присоединяется характерный болезни хруст. Наблюдается ограничение функционирования сустава, пациент не может ходить на длинные расстояния, появляется хромота. В период ремиссии симптомы стихают. На рентгене можно обнаружить воспалительный процесс в синовиальной оболочке, сопровождающийся скоплением выпота.
- Последняя стадия — третья. Пациент жалуется на постоянные ноющие боли, возникающие как при нагрузках, так и в состоянии покоя. Отечность суставов ярко выражена, он красный и теплый на ощупь. Ослабевшие связки не могут выдержать сустав, происходят вывихи и подвывихи, влекущие за собой деформацию костных структур.
Если пациент все еще пытается вылечить болезнь самостоятельно, начинается атрофия мышц, окружающий пораженный болезнью сустав.
Как происходит диагностика?
При первичном осмотре врач сразу просматривает карту пациента. Если в медицинской карте записаны сведения о ранее перенесенной травме или хирургическом вмешательстве, это значительно облегчает постановку диагноза. В данном случае анализы крови и мочи не требуются, поскольку в них нет необходимости. Для диагностики деформированного артроза потребуется проведение следующих мероприятий:
- Рентгенографию проводят для изучения дистрофических изменений: уплощения, деформации, сужения суставной щели, обнаружения костных разрастаний и выявление субхондрального остеосклероза.
- Артроскопия необходима для визуального осмотра сустава изнутри. Ее проводят при помощи артроскопа, который вводят через небольшой разрез. Процедура безопасная.
- Компьютерная томография лучше рентгенографии. Она делает более четкие снимки, есть возможность рассмотреть все мелкие суставы и связки.
- Магнитно-резонансная томография проводится для изучения степени повреждения мягких тканей, окружающих суставное соединение.
Для быстрой постановки диагноза, и исключения ошибки врач должен дать направление на проведение всех визуализационных методов.
Основные способы терапии
Только врач поможет вам назначить правильный курс препаратов
Лечение посттравматического артроза на первой и второй стадии развития включает применение нестероидных противовоспалительных препаратов. НПВС принимают курсами.
Длительность одного курса — 10 дней, затем необходим перерыв хотя бы месяц. Цель лечения нестероидными противовоспалительными средствами — снять боль, уменьшить воспаление в околосуставных тканях. Нестероидные лекарства можно принимать перорально и наносить на сустав в виде мазей, кремов и гелей.
Помните, что НПВС направлены на подавление симптомов.
Чтобы нормализовать обменные процессы, улучшить кровообращение в суставах следует ходить на физиотерапевтические процедуры. К ним относят:
- электрофорез и фонофорез;
- УВЧ;
- бальнеотерапия;
- лазерное лечение;
- терапия магнитом и др.
Физиотерапевтическое лечение помогает мазям и препаратам лучше усваиваться. Массаж помогает восстановить подвижность суставов и улучшить амплитуду движений. Отличным вариантом лечения является иглорефлексотерапия.

Лечение посттравматического артроза невозможно без применения кортикостероидных препаратов и хондропротекторов. Кортикостероиды вводят в сам сустав или принимают в виде таблеток, они помогают снять сильные боли, но не влияют на приостановление развития болезни.
Хондропротекторные средства принимают не один раз, потребуется пройти несколько курсов терапии. Лечение хондропротекторами помогает сделать хрящ более плотным, остановить его разрушение, снять немикробное воспаление и улучшить обменные процессы в суставных соединениях.
Препараты этой группы вводят в виде инъекций в полость сустава вместе с дюрантными формами гиалуроновой кислоты.
При посттравматическом артрозе 3 степени необходимо хирургическое лечение с последующей заменой сустава.
Какие могут возникнуть осложнения?
Осложнения редко возникают, но исключать их не стоит. Лечащий врач обязан предупредить пациента, что его ждет, если он будет пренебрегать лечением, не соблюдать рекомендации и продолжать употреблять вредные продукты, которые запрещены при посттравматическом артрозе.
Отсутствие лечения грозит пациенту деформацией сустава, которую в последующем тяжело исправить даже путем хирургического вмешательства. Человек может остаться хромым на всю жизнь. Также возможно сращение двух костных структур вместе, в медицине такое явление называется анкилоз.
Последующие переломы, ушибы и удары будут отражаться на самой кости, что в конечном счете приводит к инвалидности.
При проведении операции или артроскопии для диагностики посттравматического артроза врач может занести инфекцию в сустав, если действует неосторожно или забыл продезинфицировать предметы.
Проникновение к суставу инфекции приводит к асептическому некрозу. Бактерии быстро размножаются, вызывают распад тканей.
Такое осложнение крайне редко встречается, но асептический некроз несет в себе угрозу для жизни пациента.
, пожалуйста, выделите фрагмент текста и нажмите Ctrl+Enter.
статьей:
Источник:
Трехлодыжечный перелом: классификация, симптомы, лечение и восстановление
По мнению травматологов, трехлодыжечный перелом — одна из самых серьезных травм лодыжки. Ведь, помимо нарушения целостности малоберцовой, таранной и большеберцовой костей, он часто сопровождается разрывом связок и мышц.
К сожалению, этот вид перелома встречается довольно часто. Самая распространенная причина — неудачное падение, реже лодыжка травмируется под воздействием других факторов.
Часто неправильно оказанная доврачебная помощь только вредит пострадавшему. Стоит внимательно ознакомиться с основными признаками повреждения и с тем, как помочь человеку, получившему травму.
Основные симптомы
Что происходит при трехлодыжечном переломе? При этом повреждении лодыжки ломаются три кости, образующие голеностопный сустав:
- таранная;
- малоберцовая;
- большеберцовая кость.
Нарушение целостности всех костей приводит к полной утрате функций голеностопного сустава и выраженному болевому синдрому.
Внешние проявления перелома лодыжки:
- боль, которая усиливается при попытке наступить на ногу;
- выраженная отечность, возникающая уже в первые минуты после повреждения.
Если трехлодыжечный перелом дополнительно осложняется смещением большеберцовой кости или другого компонента, то у пострадавшего могут наблюдаться:
- изменение конфигурации сустава;
- помимо отека, в месте повреждения отмечается сильное натяжение кожных покровов над травмированным местом;
- ограничение движения пальцев на ноге;
- деформация стопы;
- кожные покровы над травмированным участком приобретают синюшный оттенок.
При обнаружении этих симптомов нужно, принимая во внимание характер травмирования, немедленно оказать человеку первую помощь.
Доврачебная помощь
Если нет необходимости самостоятельно транспортировать пострадавшего в травмпункт, то травматологи не рекомендуют накладывать человеку иммобилизирующую шину. Неумелая иммобилизация, особенно при трехлодыжечном переломе со смещением, может дополнительно травмировать сустав и привести к осложнениям.

Лучше вызвать «Скорую», а до приезда врачей положить под травмированную ногу мягкие валики (их можно сделать из одежды и других подручных средств). Зафиксируют ногу уже прибывшие врачи с помощью специальных шин.
Запрещается изменять положение нижней конечности или пытаться вправлять поврежденный сустав. До приезда медиков можно:
- Положить холод на поврежденное место для предотвращения сильного отека. Пакет со льдом или охлаждающий медицинский пакет всегда накладывается только поверх одежды на 20 – 25 минут, а потом убирается. Спустя 10 – 15 минут можно охлаждающее средство приложить снова. Это необходимо, чтобы избежать переохлаждения тканей.
- Дать таблетку обезболивающего. Любые простые анальгетики допускается давать для облегчения болевого синдрома, но не превышая при этом рекомендованную дозировку. Прежде чем дать медикамент, всегда нужно уточнить у пострадавшего, нет ли у него аллергии на препарат.
- Устранить дополнительно возникшие симптомы. Например, у гипертоников реакцией на боль станет подъем А/Д, и стоит предложить больному выпить лекарственное средство, которое человек всегда принимает для купирования приступов гипертензии.
Горячий чай или другие безалкогольные напитки не принесут человеку вреда, но всегда стоит учитывать, что если трехлодыжечный перелом осложняется смещением, то больному будет проводиться восстановление целостности отломков малой или большеберцовой кости хирургическим путем под местной или общей анестезией, поэтому без крайней необходимости нежелательно поить или кормить пострадавшего.
Рекомендуется не оставлять человека одного до приезда врачей, а прибывшим медикам нужно рассказать о проделанной доврачебной помощи, сообщить об изменениях общего состояния больного (ухудшилось с момента травмы или не изменилось), и об обстоятельствах, при которых была травмирована нога. Сведения о характере травматизма необходимы для определения тактики лечения пациента.
Разновидности травмы
В зависимости от характера воздействия на лодыжку, травматологи выделяют следующие виды трехлодыжечных переломов:
- Ротационные. Повреждение голеностопного сустава происходит при резком патологическом повороте стопы кнаружи или вовнутрь.
- Сгибательные. Возникают, когда резко и сильно сгибается стопа.
- Разгибательные. Травмирование происходит при резком насильственном разгибании стоп.
- Супинаторные. Случаются при резком подвороте лодыжки внутрь.
- Пронаторные. В этом случае лодыжка подворачивается кнаружи.
- Смешанные. Имеется 2 или более вида воздействия на голеностопный сустав.
По мнению травматологов, для прогноза важно только:
- имеется ли смещение костей;
- насколько повреждены суставные связки и мышцы;
- сильно ли нарушена целостность суставной сумки.
Вид травматизма при прогнозировании лечения не очень важен, но знание обстоятельств, при которых травмировался пострадавший, поможет врачу более быстро и целенаправленно провести обследование и выбрать необходимую лечебную тактику.
Способы диагностики
По своим внешним признакам неосложненный трехлодыжечный перелом похож на ушиб голеностопного сустава или на растяжение крупных связок.
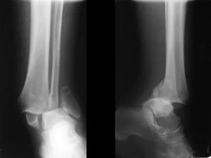
Для проведения дифференциальной диагностики проводится рентгенография. На рентгеновском снимке видны признаки нарушения целостности костей.
Для уточнения характера повреждений, особенно если трехлодыжечные переломы осложняются смещением костных отломков или подвывихом, рентгеновский снимок голеностопного сустава делается в трех проекциях. Данные рентгенографии позволяют врачу выбрать оптимальную тактику лечения больного.
Лечение и реабилитационные мероприятия
Лечебный процесс условно можно разделить на два этапа — восстановление целостности костей и возвращение голеностопному суставу анатомической подвижности. Одновременно с лечением проводится профилактика ранних и поздних посттравматических осложнений.

При неосложненных травмах (без подвывиха или смещения) накладывается гипсовая повязка на стопу и голень до коленного сустава.
В первые 3 дня пациент соблюдает строгий постельный режим, потом ему разрешается передвигаться с помощью специальных ходунков.
Внимание! Ношение гипса показано 6 недель и более. Длительность иммобилизации определяется индивидуально, под контролем рентгенографии.
Для исправления смещений или подвывиха чаще применяется оперативное вмешательство, когда проводится репозиция костных обломков при помощи ортопедических скоб. Наложение скоб необходимо для обеспечения неподвижности отломков кости. Скобы, в зависимости от тяжести повреждений, накладывают только на время образования костной мозоли или оставляют даже после сращения костей.
После восстановления целостности голеностопного сустава пациенту накладывается гипс, но при этом оставляется незагипсованным место послеоперационной раны с установленным в ней дренажем. Иммобилизация осложненных травм более длительная, и период ношения гипса может составлять 2,5 – 3 месяца.
Человеку в периоде иммобилизации назначаются обезболивающие препараты для купирования болевого синдрома.
При неосложненных повреждениях, если пациент регулярно изменяет положение в постели и передвигается при помощи ортопедического приспособления, специфической профилактики не требуется.
После оперативного вмешательства для профилактики вторичных инфекций больному обязательно назначается курс антибиотикотерапии.
Восстановление функций голеностопа
После снятия гипсовой повязки пациенту необходимо восстановить атрофированные длительной неподвижностью мышцы, вернуть необходимый тонус сосудам.
С целью восстановления функций сустава человеку назначают такие процедуры:
- ЛФК — дозированные физические нагрузки укрепляют мышцы и способствуют улучшению кровотока в ноге после перелома;
- Массаж — не только способствует улучшению кровообращения, но и помогает предотвратить нервно-трофические изменения;
- электрофорез с эуфиллином или новокаином;
- УВЧ;
- витаминотерапия — витаминные препараты улучшают обменные процессы и способствуют восстановлению нервной регуляции.
Длительность восстановительного периода зависит от тяжести перелома. В легких случаях пациент восстанавливает трудоспособность примерно за 3 месяца, но болевой синдром у него может возникать еще в течение года при перемене погоды или после больших нагрузок. Возникновение боли связано с тем, что нервные окончания восстанавливаются очень медленно.
Восстановительный период после осложненных травм более длительный и зависит от тяжести повреждений и от общего состояния человека.
В некоторых случаях полное восстановление функций голеностопа невозможно, и последствием трехлодыжечного перелома станет инвалидность больного.
Заключение
Выполнение всех врачебных рекомендаций во время реабилитации поможет свести к минимуму возникновение поздних осложнений перелома лодыжек.
Несмотря на тяжесть повреждений при трехлодыжечном переломе, почти всегда удается восстановить функцию поврежденной конечности и избежать серьезных осложнений.
Грамотно оказанная доврачебная помощь и соблюдение врачебных рекомендаций во время лечения обеспечивают более быстрое восстановление после перелома лодыжек.
Источник:
Травмы суставов
Травмы суставов – повреждения костных и мягкотканных структур суставов. Составляют около 60% от общего количества травм опорно-двигательного аппарата. Могут диагностироваться у лиц любого возраста и пола. Часто возникают в быту.
Нередко встречаются у спортсменов, при этом выявляются закономерности между занятиями тем или иным видом спорта и частотой повреждений определенных суставов.
Чаще всего страдают голеностопный и коленный суставы, несколько реже – суставы верхней конечности (плечевой, локтевой, лучезапястный).
Травма сустава может быть изолированной или сочетаться с другими повреждениями: переломами костей конечностей, переломом таза, переломами ребер, переломом позвоночника, ЧМТ, тупой травмой живота, повреждением почки, разрывом мочевого пузыря и т. д.
Причиной изолированных травм суставов обычно становится удар, падение или подворачивание ноги. Сочетанные повреждения возникают при падениях с высоты, несчастных случаях на производстве, ДТП, природных и промышленных катастрофах.
Лечение травм суставов осуществляют травматологи.

Травмы суставов
Сустав – прерывистое подвижное соединение между двумя и более костями скелета. Суставы, состоящие из двух костей, называются простыми, из трех и более – сложными. Суставные поверхности разделяются между собой щелью и соединяются при помощи суставной сумки.
В определенных местах сумка укреплена плотными и прочными связками, которые дополнительно фиксируют сустав и одновременно являются своеобразными направителями, ограничивающими одни движения и допускающими другие.
В суставах возможны следующие движения: разгибание, сгибание, приведение (аддукция), отведение (абдукция), пронация (разворот кнутри), супинация (разворот кнаружи) и вращение.
Суставные поверхности костей покрыты гиалиновым хрящом и располагаются в суставной полости, которая содержит небольшое количество синовиальной жидкости. Гладкие хрящи легко скользят друг относительно друга и, благодаря своей эластичности, смягчают толчки при ходьбе и движениях, играя роль своеобразных амортизаторов.
Снаружи сустав покрыт суставной сумкой, которая прикрепляется к костям рядом с краями суставных поверхностей или чуть ниже их.
Прочная наружная часть капсулы предохраняет сустав от внешних повреждений, а тонкая и нежная внутренняя оболочка выделяет синовиальную жидкость, которая питает и увлажняет сустав, а также уменьшает трение суставных поверхностей.
Вокруг сустава расположены околосуставные ткани: связки, сухожилия, мышцы, сосуды и нервы. Повреждение этих структур оказывает негативное влияние на сам сустав из-за препятствия движениям, нарушения амплитуды и направления движений, ухудшения питания и т.
д. Суставы снабжаются кровью за счет разветвленных артериальных сетей, состоящих из 3-8 артерий. Все элементы сустава, кроме гиалинового хряща, снабжены большим количеством нервных окончаний. При травме эти окончания могут стать источником болевых ощущений.
Если на коже в области повреждения есть рана, травму сустава называют открытой, если целостность кожных покровов не нарушена – закрытой. В зависимости от характера повреждения различают следующие травмы суставов:
- Ушиб – закрытая травма сустава, при которой отсутствуют серьезные повреждения внутрисуставных структур. В основном страдают поверхностно расположенные мягкие ткани.
- Повреждение связок – нарушение целостности связок. Может быть полным (разрыв связок) или неполным (надрыв и растяжение связок).
- Внутрисуставной перелом – перелом суставного конца кости. Различают перелом с нарушением конгруэнтности суставных поверхностей, перелом с сохранением конгруэнтности суставных поверхностей и оскольчатый внутрисуставной перелом.
- Околосуставной перелом.
- Вывих – расхождение суставных поверхностей, обычно сопровождающееся нарушением целостности капсулы. Может быть полным или неполным (подвывих).
- Переломовывих – сочетание перелома и вывиха.
В коленном суставе, в отличие от других суставов, есть хрящевые прокладки (мениски), поэтому при его повреждении может возникать травма, не включенная в приведенную выше классификацию, – разрыв мениска.
Наиболее постоянными симптомами являются боль и припухлость в области сустава. Возможны кровоизлияния. Наблюдаются ограничения движений различной степени выраженности. При этом, как правило, чем тяжелее травма сустава, тем больше ограничены движения.
Вместе с тем, при некоторых повреждениях (разрывах связок, переломах) может обнаруживаться избыточная (патологическая) подвижность.
При переломах со смещением и разрывах связок определяется видимая деформация: контуры сустава нарушаются, дистальный сегмент может отклоняться в сторону.
Особенно выраженная деформация выявляется при вывихах: линия конечности грубо искривляется, естественные костные выступы в области сустава исчезают, иногда становится видимым выпирающий суставной конец дистального и/или проксимального сегмента. Очень часто при травмах в суставе скапливается кровь (гемартроз), в таких случаях сустав увеличивается в объеме, становится шарообразным, его контуры сглаживаются, определяется флюктуация.

Для уточнения диагноза при травмах суставов используют рентгенографию, УЗИ, КТ, МРТ и артроскопию.
Рентгенография – самая доступная и информативная методика, позволяющее исключить тяжелую скелетную травму либо подтвердить диагноз перелома или вывиха, а также определить положение суставных концов и костных отломков.
В большинстве случаев данных рентгенологического исследования достаточно как для определения общей тактики лечения (репозиция, скелетное вытяжение, оперативное вмешательство), так и для детального планирования лечебных мероприятий (выбор способа репозиции или метода хирургического вмешательства).
При необходимости при травмах сустава с повреждением костей и хрящей дополнительно используют КТ сустава.
При травмах мягких тканей рентгенографию назначают только для исключения костной патологии, а для уточнения диагноза в подобных случаях применяют МРТ суставов и УЗИ.
При некоторых травмах суставов оптимальным вариантом становится артроскопия – лечебно-диагностическое исследование, в ходе которого врач может провести непосредственный визуальный осмотр внутрисуставных структур, а иногда – сразу устранить возникшие нарушения.
Травмы коленного сустава
Травмы колена очень разнообразны – от ушибов, повреждений менисков и разрывов связок до переломов надколенника и суставных концов большеберцовой и бедренной кости.
При ушибах назначают покой, УВЧ и возвышенное положение конечности.
При надрывах боковых связок накладывают гипс сроком на 3-4 недели, при полных разрывах выполняют хирургическое вмешательство (сшивание или пластику связки) с последующей иммобилизацией в течение 2-3 недель.
При надрывах крестообразных связок срок иммобилизации составляет 3-5 недель. При полных разрывах назначают операцию, в ходе которой поврежденная связка заменяется лавсановой лентой.
В послеоперационном периоде также проводят иммобилизацию в течение 2-3 недель.
При переломах мыщелков бедра и большеберцовой кости выполняют репозицию с последующей иммобилизацией, накладывают скелетное вытяжение либо осуществляют остеосинтез шурупом, болтом или гвоздем.
При повреждениях менисков необходимо хирургическое вмешательство.
В настоящее время предпочтение отдают экономным операциям, мениски по возможности не удаляют, а резецируют, поскольку такая тактика лечения позволяет уменьшить вероятность развития посттравматического артроза.
Операции проводят как через открытый доступ, так и с использованием артроскопического оборудования. При всех видах травм сустава назначают физиотерапевтические процедуры и ЛФК.
Травмы голеностопного сустава
Наиболее распространенными травмами голеностопа являются повреждения связок и переломы лодыжек.
Надрывы и разрывы связок лечат консервативно: в зависимости от тяжести травмы накладывают давящую повязку или гипсовую лонгету, назначают обезболивающие и физиолечение.
Перелом лодыжек может быть однолодыжечным (повреждена только наружная или только внутренняя лодыжка), двухлодыжечным (повреждены внутренняя и наружная лодыжки) и трехлодыжечным (повреждены обе лодыжки и передний или задний край большеберцовой кости).
Возможны переломы со смещением и без смещения отломков, с подвывихом и без подвывиха. Лечение обычно консервативное. При необходимости выполняют репозицию и накладывают гипс.
Срок иммобилизации – по 4 недели на каждую сломанную лодыжку: для однолодыжечного перелома – 4 недели, для двухлодыжечного – 8 недель, для трехлодыжечного – 12 недель.
При неустранимом смещении и нестабильных переломах выполняют оперативное вмешательство – остеосинтез винтами, спицами, двухлопастным гвоздем. Пациентам назначают анальгетики, УВЧ и ЛФК.
Травмы плечевого сустава
Самые распространенные травмы сустава – вывихи плеча и переломы хирургической шейки плечевой кости. Вывихи чаще диагностируются у мужчин трудоспособного возраста, переломы хирургической шейки – у пожилых женщин.
Вправление свежих вывихов осуществляют под местной анестезией, несвежих – под наркозом. Затем проводят иммобилизацию в течение 3 недель, назначают УВЧ и ЛФК.
При слабости связочного аппарата и преждевременном начале движений возможно формирование привычного вывиха плеча. В таких случаях показано оперативное лечение.

Переломы хирургической шейки обычно являются внесуставными, иногда трещины, отходящие от основной линии излома, распространяются под капсулу сустава. Повреждения шейки могут быть вколоченными, абдукционными (отводящими) и аддукционными (приводящими).
На начальном этапе осуществляют репозицию и иммобилизацию. При абдукционных и вколоченных повреждениях в подмышечную область укладывают валик, при аддукционных применяют треугольную шину.
И при вывихах, и при переломах шейки назначают обезболивающие и физиотерапевтические процедуры, используют практически аналогичный комплекс ЛФК.
Травмы локтевого сустава
Локтевой сустав считается одним из самых сложных и «капризных» в лечении.
В раннем периоде при тяжелых травмах сустава могут возникать неврологические и сосудистые нарушения, в отдаленном периоде нередко формируются контрактуры, возможно развитие посттравматического артроза. Наиболее легкой травмой сустава считаются ушибы.
Лечение ушибов консервативное: покой, анальгетики, возвышенное положение конечности. Локтевой сустав плохо переносит интенсивные тепловые процедуры, поэтому физиолечение при ушибах обычно не назначают.
Перелом локтевого отростка относится к категории прогностически благоприятных повреждений. Эта травма сустава практически всегда сопровождается выраженным смещением отломка и требует оперативного лечения.
Показан остеосинтез локтевого отростка пластиной, винтами или спицами, результат лечения обычно хороший – движения восстанавливаются в полном объеме, ограничения функции не возникает.
Наиболее тяжелыми повреждениями являются внутрисуставные переломы дистальных отделов плеча и проксимальных отделов предплечья, в том числе оскольчатые переломы, переломы со смещением и переломовывихи.
При внутрисуставных переломах без смещения накладывают гипс, при сложных У- или Т-образных переломах осуществляют открытую репозицию и остеосинтез винтами, шурупами или спицами.
После операции проводят иммобилизацию, применяют антибиотики и анальгетики. В восстановительном периоде назначают ЛФК, массаж и бережные физиотерапевтические процедуры: ультразвук или интерферентные токи.
Реабилитационный период составляет от 1-2 месяцев до полугода и более в зависимости от тяжести травмы сустава.
Источник:
Конгруэнтности суставных поверхностей: причины, симптомы — Ревматолг
Способ Гиппократа — Купера. Выполняется данный способ устранения вывиха на полу на разостланном одеяле или простыне либо на столе.
Оказывающий помощь садится лицом к пострадавшему со стороны вывиха и обеими руками захватывает его руку за кисть и лучезапястный сустав, пятку (без обуви) помещают в подмышечную ямку пострадавшего.
В таком положении осуществляется вытяжение по оси руки, при этом пяткой отодвигают сместившуюся головку плечевой кости по направлению к суставной впадине лопатки и тем самым устраняют вывих. Данный способ применяется при отсутствии поблизости специализированного лечебного учреждения, а также в военно-полевых условиях.
Бывают случаи, когда устранению свежего вывиха мешает интерпозиция мягких тканей (в частности, уменьшившаяся между суставными поверхностями головки плечевой кости и впадины лопатки капсула сустава, оторванный большой бугорок или если вывиху головки сопутствует перелом хирургической шейки плечевой кости).
В результате консервативным путем сопоставить фрагменты не удается, в этом случае прибегают к открытому устранению вывиха по способу В. Д. Чаклина с отсечением верхушки клювовидного отростка (при передних вывихах плеча), сопоставлению фрагментов и фиксации их металлическим винтом либо крючкообразной балкой Воронцова— Хавкина, Климова или кронштейном Ревенко и т. д

Способ Кохера сложный и более травматичный, применять его следует при невозможности или безуспешности вправления по Джанелидзе. Больной сидит. Помощник прижимает двумя руками его надплечье к спинке стула.
Без помощника удобно вправлять вывих в лежачем положении больного на перевязочном столе. Врач двумя руками берет за согнутое под прямым углом предплечье верхней конечности и приводит локтевой сустав к туловищу (рис. 82, а).
Затем предплечье отводят в сторону, ротируя плечо и оттягивая его книзу (рис. 82, б). Третий прием — локоть, не отрывая от туловища, смещают кпереди и кверху (рис. 82, в).
В завершение, не разгибая предплечья, энергично приводят его к туловищу до соприкосновения кистью со здоровым надплечьем, осуществляя тем самым ротацию плеча кнутри и вправление вывиха (рис. 82 г).
Способ Джанелидзе. Наиболее простой и эффективный метод вправления вывиха плеча по Джанелидзе. Больного в боковом положении укладывают на стол, край которого должен упираться в подмышечную впадину. Голову помещают на другой, рядомстоящий стол, тумбочку или подставку.
Реабилитация Порядок реабилитационных мероприятий определяется врачом, в зависимости от тяжести травмы. Как правило назначается физиолечение. Прописываются иглоукалывание, СВЧ лучи, массаж мышц электрическими разрядами. Следует полностью пройти курс лечения, он займет не больше месяца.
Для простого человека, чтобы вернуть в нормальное состояние сустав требуется при терпении и усердии не более месяца. Профессиональным спортсменам, требуется более тщательное лечение. Первый месяц следует максимально снизить нагрузку на пораженный сустав. По истечении лечения перейти к постепенной нагрузке сустава, то есть: Обычное вращение суставом.
Через два дня можно переходить к гимнастике с весами. Можно взять блин, весом 1 или 3 килограмма и совершать те же самые движения по окружности, что и в первые два дня. Постепенно, в течение недели переходить к более серьёзным весам (в день прибавлять по 1 килограмму, смотря из какого веса вы исходили) и в конце концов, перейти к упражнениям на перекладине.
Для начала, нужно просто висеть на ней. Так же, как и в начале реабилитации, два дня подготавливаем сустав к таким нагрузкам. В течение этих двух дней, требуется несильно раскачиваться. Пробовать подтягивания. Но только ПРОБОВАТЬ, не завершать до конца. На третий день можно осторожно подтягиваться. Не более 3 раз за подход.
Постепенно повышая нагрузку, привести в конце недели три подхода, с учётом первых двух по 3 раза, и последний 7. Этого будет более чем достаточно для постепенной реабилитации. Чтобы облегчить нагрузку, можно купить ортез плеча. Продается в спортивных магазинах.
На третьей неделе можно повышать нагрузку к каждому подходу в день, прибавляя ко всем по одному разу. Четвёртая неделя проходит так же. Дойдя до 15 раз за подход, можно совершать более сложные упражнения.
Прогноз заболевания благоприятный. Приадекватной терапии происходит полное восстановление трудоспособности.
Вопросы: 1. Что такое вывих? 2. Классификация вывихов 3. Клинические проявления 4. Превая помощь 5. Методы вправления
Источник:
Что это — субхондральный склероз суставных поверхностей?
Субхондральный склероз суставных поверхностей – клинический признак, подтверждающий наличие генетически обусловленных, либо приобретенных заболеваний опорно-двигательной системы. Патологические изменения выявляются при аппаратном исследовании. Из-за бессимптомного течения на начальных этапах развития ранняя диагностика болезненных отклонений затруднена.
Определение понятия
Если конкретизировать, что это такое склероз суставных поверхностей, то уместнее говорить о локальной гибели клеток живой ткани в области соединения костей.
Гладкие поверхности костных зон покрыты суставным хрящом, участвующим в образовании подвижного сочленения. Под ним расположена субхондральная пластинка, плотно спаянная с костью.
Тонкая прослойка обеспечивает хрящ, не имеющий собственного кровообращения и иннервации, всеми необходимыми питательными веществами.

Взаимовыгодное «сотрудничество» продолжается, пока хрящевые ткани обладают достаточной гидрофильностью и способностью к амортизации.
Если хрящ утрачивает свои свойства, вся нагрузка ложится на подхрящевую пластинку. Начинается постепенное компрессионное разрушение функциональных тканей. В последующем отмершие клетки замещаются фиброзными волокнами. Структурный элемент костной ткани утолщается, сосуды, питающие хрящ, закупориваются, запускается процесс оссификации.
Поверхность поврежденной кости превращается в плацдарм для формирования костных разрастаний. Число и размер экзостозов, остеофитов методически увеличивается. Соразмерно с ростом новообразований ограничивается амплитуда движений.
Причины
Склероз суставов манифестирует, и на протяжении длительного периода времени формируется скрыто. Человек долгие годы может не догадываться о происходящих изменениях, пока они не начинают сказываться на привычном жизненном укладе.
Дезорганизация сустава развивается на фоне:
- возрастных изменений;
- патологий опорно-двигательной системы;
- эндокринных и метаболических нарушений;
- травматических повреждений;
- аутоиммунных заболеваний;
- врожденных аномалий или генетической предрасположенности.
Фактор риска повышается у людей, активно занимающихся спортом, страдающих ожирением, ведущих или обреченных на малоподвижный образ жизни, злоупотребляющих алкоголем, наркотическими веществами, табакокурением.
Этапы развития
Субхондральный склероз суставных поверхностей разделяют на несколько стадий. Определяют тяжесть дегенеративно-дистрофических изменений с помощью рентгенографических снимков и других аппаратных процедур.
- Начальная. Наблюдаются костные разрастания по краевой зоне сустава.
- Умеренная. Расстояние между суставными поверхностями сужено, в виде участка просветления фиксируется склеротический очаг.
- Выраженная. Межсуставное пространство значительно почти закрыто, краевые костные разрастания прогрессируют. Диагностическая артроскопия распознает нарушение целостности хряща. Часто на этом этапе выявляется остеохондральное тело – смещенный фрагмент разросшихся экзостозов.
- Тяжелая. Суставная щель на снимках не определяется, субхондральные пластинки теряют четкие очертания, хрящ полностью разрушается. Беспорядочно сформированные костные и соединительные ткани сильно ограничивает подвижность сустава.
Уплотнение суставных поверхностей сказывается на состоянии близлежащих мягких тканей, сухожилий, нервных волокон и кровеносных сосудов.
Склероз позвоночника
В медицинской практике различают склероз суставов и пластинок тел позвонков. По своему строению межпозвоночный двигательный сегмент напоминает модифицированный сустав.
Только в роли сочленяющихся костей выступают смежные позвонки, а хрящевые замыкательные пластинки выполняют функцию суставных поверхностей.
То есть отделяют ядро межпозвоночного диска от тел позвонков и предотвращают его выбухание в смежные структуры.
С возрастом происходит дегенерация и уплотнение замыкательных пластинок тел позвонков. Сначала образовываются многочисленные трещины. Затем пластинку замещает волокнистый хрящ, который со временем кальцифицируется и трансформируется в костную ткань.
Патологические превращения могут затронуть весь позвоночный столб. Но по статистике чаще других страдают поясничный и шейный отдел позвоночника. Провокатор – повышенная нагрузка, которая распределяется, как при активном образе жизни, так и при сидячей работе, именно на эти участки.
Если замыкательные пластинки склерозированы в области шеи, симптоматически изменения проявляются:
- болью при поворотах головы;
- потерей остроты зрения;
- ухудшением слуха, шумом в ушах;
- мигренями, головокружением;
- парестезиями в верхних конечностях;
- быстрой утомляемостью.
Врачи отмечают, что склероз замыкательных пластинок – это такое патологическое отклонение, которое свидетельствует о начинающемся развитии межпозвоночной грыжи, протрузии, остеохондроза.
Доказано, что возрастной дегенерации межпозвоночных дисков более подвержены люди, пребывающие длительное время в вертикальном положении.
Симптомы склеротического поражения суставов
Клиническая картина при дегенерации и дистрофии суставов различна. Общая симптоматика зависит от степени тяжести склеротических изменений и локализации очага поражения.
Тазобедренный сустав
В тазобедренном суставе субхондральные пластинки обволакивают поверхности вертлужных впадин и головки бедренных костей. Дегенерация элементов зачастую указывает на развитие деформирующего артроза, либо остеоартроза. Болезням характерно, как одностороннее, так и двустороннее поражения суставов.
- На начальной стадии симптомы проявляются в виде периодической боли в области бедра и/или колена, возникающей при физических нагрузках и проходящей после отдыха.
- В развернутых фазах отмечают:
- интенсивный болевой синдром, иррадиирующий в бедро и пах, даже в состоянии покоя;
- утреннюю скованность и тугоподвижность суставов;
- ограничение в отведении и внутренней ротации бедра;
- слабость ягодичных мышц;
- укорочение больной конечности;
- вынужденное прихрамывание.
Нарушение статико-динамических функций при субхондральном склерозе тазобедренных суставов повышает риски развития заболеваний позвоночного столба.
Выраженное склерозирование суставных структур коленного сустава заявляет о себе:
- болевыми ощущениями разной интенсивности, распространяющимися по передневнутренней поверхности подвижного соединения при ходьбе;
- резкой болью и хрустом при сгибании колена;
- болезненным дискомфортом ночью;
- ограничением сгибательно-разгибательных движений;
- нестабильностью надколенника;
- деформацией сустава;
- искривлением оси пострадавшей конечности.
Источник:



