Гистология родинки: этапы исследования и частые вопросы пациентов
Что это за исследование – гистология? Как оно делается, когда его можно проводить, какие есть виды и что делать с результатом. Кроме этого, в статье мы рассмотрим возможные опасности, которые могут подстерегать при гистологическом исследовании родинок.
Этапы гистологического исследования: сроки и причины задержек
Существует несколько этапов гистологического исследования. Не буду подробно разбирать их детали, просто перечислю и коротко раскрою суть:
1. Биопсия, т. е. удаление родинки. Основное, что здесь хочу отметить – материала для исследования не бывает «мало». Часто мне пишут: «Доктор сказал, что образование слишком маленькое, отправлять на исследование будет нечего, поэтому гистологии у меня не было».
В моей практике были случаи, когда приходило нормальное заключение по родинке размером до 1 мм. Поэтому, каким бы огромным «паяльником» ни удаляли родинку, важно отправить фрагмент максимально возможных размеров на гистологию.
Это, безусловно, хуже, чем исследовать весь невус, однако значительно лучше, чем ничего.
2. Фиксация материала. Чтобы родинка не разложилась, пока ее доставляют в лабораторию, необходимо уничтожить микроорганизмы и деактивировать ферменты клеток родинки. Делают это с помощью специальных растворов. Сразу после удаления родинку помещают в раствор формалина. Можно его заменить спиртом, но этот вариант менее распространен
3. Промывка материала. Для удаления следов фиксирующей жидкости материал промывают, как правило, в течение нескольких часов в проточной воде.
4. Обезвоживание. Предварительная подготовка к заливке парафином.
5. Уплотнение (заливка). Промытую и обезвоженную родинку заливают жидким парафином. Это необходимо для того, чтобы можно было сделать максимально тонкие срезы, пригодные для исследования под микроскопом. В результате получаются вот такие парафиновые блоки.
6. Приготовление срезов. С помощью специального прибора – микротома – делают срезы толщиной около 0,05 мм.
7. Окрашивание материала. Это необходимо, чтобы различить под микроскопом различные клетки и ткани. В неокрашенном материале все структуры преломляют свет одинаково и рассмотреть ничего не удастся.
8. Заключение срезов. Так называется расположение окрашенных срезов между двумя стеклами.
9. Завершающий этап – врач-патоморфолог кладет стекло под объектив микроскопа и выносит свое заключение по исследуемому материалу.
Все этапы гистологического исследования занимают не более 10 дней. Самый быстрый этап, на мой взгляд, изучение патоморфологом препаратов. В некоторых передовых лабораториях, за счет высокой автоматизации всех перечисленных процессов, гистологическое исследование выполняется за 48 часов.
И порой меня удивляют пациенты, которые рассказывают, что гистологическое исследование проводили два месяца и более. Если с вами такое произошло – стоит позвонить в лабораторию и узнать, в чем сложности.
Одна родинка – один контейнер с ФИО!
Если гистологическое исследование родинки выявляет меланому – место удаления должно быть повторно иссечено более широко. Захват здоровых тканей определяется в зависимости от толщины по Бреслоу.
Хочу обратить внимание, если все удаленные родинки положить в один контейнер – они смогут пройти гистологическое исследование.
Но установить при этом, где именно была меланома, в такой ситуации уже не удастся и придется делать широкое иссечение на местах всех удаленных родинок.
Чтобы было правильное представление об объеме удаляемых тканей, можно посмотреть на фото и увидеть, как выглядит среднестатистический рубец.
Важно! Если вам удаляют несколько родинок, при отправлении их на гистологию должна быть четко обозначена локализация каждого невуса.

Но удалять одномоментно так много родинок, как на фото, не стоит. Почему? Расскажу в следующих публикациях.
Как быстро родинку должны доставить в лабораторию?
Здесь хорошие новости. Родинка, полностью погруженная в формалин, может лежать в контейнере до нескольких недель. При этом качество материала не ухудшается. Объем формалина должен быть примерно в 50 раз больше объема родинки.
«Можно не забирать ответ? Мне позвонят, если что-то не так?»
Конечно, можно и не забирать ответ, а потом писать вот такие сообщения на форумах:
Пожалуйста, не подумайте, что я смеюсь над трагедией. Это только способ привлечь ваше внимание.
Насколько мне известно, не существует закона, согласно которому морфологическая лаборатория должна оповещать пациента о выявлении онкологического заболевания. В конце заключения после исследования родинки могут написать: «Повторный осмотр с результатами гистологического исследования». Только эти заключения никто не читает.
А дальше все происходит по классическому сценарию, даже если в учреждении звонки такого рода в порядке вещей, срабатывает человеческий фактор.
К примеру, ответственный за это человек уволился, или его кто-то замещал, или он заболел, не записал, был день рождения и пр. – в итоге никто не позвонил, а пациент даже не знал, что это могли сделать.
Помните, что здоровье ваше и никто вам ничего не должен.
Пожалуйста, всегда забирайте результат гистологического исследования и всегда показывайте его онкологу, проводившему удаление.
«Я забрал(а) гистологический ответ, что с ним делать? Я сам(а) разберусь?»
Нет. Если вы получили результат исследования в бумажном или в электронном виде – его обязательно надо показать онкологу, проводившему удаление. Приведу такой пример.
Вот два диагноза:
- Диспластический невус с тяжелой степенью дисплазии. В крае резекции – опухолевые клетки.
- Плоскоклеточная папиллома с воспалительным компонентном. Удалена в пределах непораженных тканей.
В первом случае требуется повторное иссечение места удаления родинки, а во втором – нет. Поэтому не ленитесь, покажите заключение врачу.
Бывают ли ошибки при гистологическом исследовании невусов
Да, к сожалению, они возможны. Я писал об этом. Гистологическое исследование проводят люди, и они могут ошибаться. Если у вас возникли малейшие сомнения в результатах заключения, заберите ваши гистологические препараты и отдайте на пересмотр в другую лабораторию. К препаратам относятся как парафиновые блоки с тканью родинки, так и стекла со срезами.
Вы спросите: «Как это я пойду что-то забирать? Меня ведь пошлют…» Если вам не выдают гистологические препараты, значит, нужно пойти к главному врачу и потребовать. По моему опыту, после этого все отдают.
Где лучше делать и пересматривать гистологию?
Лично мое мнение, основанное на опыте, – гистологию лучше делать в крупных онкологических учреждениях.
Почему папилломы не отправляют на гистологию?
Основное свойство злокачественной опухоли – бесконтрольное деление клеток. Папиллома представляет собой небольшое (1–3мм) образование на тонкой ножке мягкой консистенции.
Если бы клетки папилломы были злокачественными – они бы проросли «ножку», и папиллома ее потеряла. Кроме этого, консистенция мягче окружающей кожи, на мой взгляд, всегда говорит о доброкачественности.
Этот случай – единственный, когда, по моему мнению, материал можно не направлять на гистологию.
Нужно ли гистологическое исследование бородавки?
На этот вопрос, если честно, я уже устал отвечать. Я просто приведу 2 гистологических заключения, которые объединяет клинический (при осмотре) диагноз – бородавка.
Первый случай:
Мне не удалось проследить судьбу пациента и результат иммунногистохимического исследования. Однако в разговоре с морфологом я понял, что исход здесь может быть самым разным и не обязательно благополучным.
И второй случай:
Интраэпителиальная карцинома – не самое страшное, что может быть. Болезнь Боуэна (а это именно она) – всего лишь нулевая стадия плоскоклеточного рака, которая успешно излечивается удалением в пределах здоровых тканей. Однако, ещё год-другой, и последствия для мужчины могли быть плачевными.
Вывод: бородавки нужно отправлять на гистологию. Всегда. Какими бы родными они вам ни казались.
Резюме, или Коротко о главном
Гистологическое исследование – залог безопасного удаления родинок и других образований кожи. Всегда настаивайте на гистологии для всего, кроме мелких мягких папиллом. Отдавать предпочтение стоит лабораториям крупных онкологических учреждений. Гистологическое заключение всегда нужно забирать лично и показывать врачу, проводившему удаление.
Другие статьи:
Полезная статья? Сделайте репост в Вашей социальной сети!
Источник:
Опасные родинки – виды невусов, которых стоит опасаться
Невусы редко воспринимаются людьми как угроза, чаще они либо игнорируются, либо считаются отличительной особенностью, деталью образа. Большинство родинок безобидны, но и есть и опасные виды этих новообразований. Чтобы избежать тяжелых последствий, важно внимательно следить за состоянием невусов.
Почему опасны родинки?
Темные пятнышки на коже – это скопление клеток (меланоцитов) с высокой концентрацией пигментного вещества.
Пока не выяснены точные причины, из-за которых формируется родинка, невус может появиться на фоне гормональных изменений, подверженности солнечному излучению, наследственности и других факторов.
Главной опасностью таких образований на коже считается вероятность их перерождения в злокачественную и очень агрессивную опухоль – меланому.

Скрытая угроза в том, что визуально крайне сложно диагностировать рак на ранней стадии. Подозрительный и неравномерно окрашенный большой невус может являться обычной родинкой, а маленькое аккуратное пятнышко, не привлекающее внимания, постепенно переродится в меланому. Точный диагноз поставит только опытный дерматолог после обследования и гистологического анализа.
Существует несколько вариантов классификаций рассматриваемых пятен. По структуре дифференцируют такие виды невусов:
- Пигментные родинки – возникают из-за переизбытка меланоцитов, имеют преимущественно темную окраску, от коричневых оттенков до черного цвета.
- Сосудистые образования – формируются на фоне интенсивного роста капилляров, чаще красные или розовые.
В зависимости от времени появления различают врожденные и приобретенные невусы. Первая группа классифицируется по размеру:
- мелкие, до 1,5 мм;
- средние, до 1 см;
- крупные, более 10 мм.
Последние 2 категории – самые опасные родинки, потому что они часто перерождаются в злокачественные новообразования с поражением внутренних органов и разрастанием патологических тканей. Это связано не с размером пятен, а с повышенным риском их повреждения. Невусы более 5 мм в диаметре сильнее подвержены трению и раздражению, получают больше солнечной радиации при загаре.
Приобретенные родинки дифференцируют по глубине скопления меланоцитов:
- эидермальные – в верхних слоях кожи;
- внутридермальные – глубоко в дерме;
- смешанные и пограничные – между дермой и эпидермисом.
Отдельным типом считается висячий невус. Это выступающая над поверхностью кожи родинка с бугристыми очертаниями. Есть следующие формы таких наростов:
- кератома;
- мягкая фиброма (акрохордон);
- невус;
- папиллома.
Еще один изолированный вид пигментных пятен – меланоформный невус. Он является главным ответом на вопрос, какие родинки опасны. Данное новообразование иногда диагностируется как доброкачественная опухоль, имеющая склонность к перерождению. Меланоформный невус не всегда приобретается в течение жизни. У некоторых детей он возникает еще на этапе внутриутробного развития.
Виды неопасных родинок
Большинство имеющихся невусов не представляют никакой угрозы, даже если они выглядят необычно. Стандартные неопасные родинки – это плоские симметричные пятнышки с ровными краями, самые распространенные образования. Они сформированы из меланоцитов, практически не реагируют на солнечное излучение и механические повреждения кожи, не перерождаются в злокачественные опухоли.
Среди необычных родинок, которые не несут угрозы в спокойном состоянии, можно отметить следующие виды:
- Голубой невус (Ядассона-Тиче). Это приобретенное плоское или немного выпуклое новообразование с гладкой поверхностью. Цвет родинки варьируется от светло-голубого до иссиня-черного.
- Ангиома. Нарост красного цвета, напоминающий по форме бородавку. Возникает вследствие утолщения кровеносных сосудов.
- Невус Сеттона. Формирование чаще встречается среди детей с витилиго или аутоиммунными патологиями. Это родинка, вокруг которой присутствует ареол обесцвеченной кожи.
- Родимое пятно. Врожденный невус, может увеличиваться в размерах по мере взросление. Форма пятна преимущественно неправильная, очертания могут быть и четкими, и размытыми.
- Невус Беккера. Редко диагностируемое образование, представляет собой крупные бляшки на коже, 10-30 см, желто-коричневого цвета. Поверхность таких родинок бугристая, шершавая, часто покрывается жесткими волосами.
- Акрохордон. Мягкий полип на ножке, телесного цвета (реже – коричневого), свисает с кожи.
Виды опасных родинок
Дерматологи обращают внимание, что любой, даже безобидный невус может переродиться в злокачественную опухоль при определенных негативных факторах:
- радиация;
- интенсивное солнечное облучение;
- механическое или химическое повреждение родинки;
- аутоиммунные патологии в организме;
- инфекции.
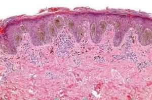
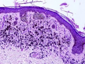
Самым опасным считается меланоформный невус (фото ниже). Сначала он выглядит как обычная родинка, но постепенно подвергается изменениям, свидетельствующим об озлокачествлении процесса. Новообразование меняет цвет или форму, размер и структуру, может чесаться и кровоточить. Помимо меланоформного невуса есть и другие опасные родинки, фото каждой представлено под описанием:
- Кератома. Доброкачественное выпуклое образование кожи круглой или овальной формы. Цвет варьируется от телесного до темно-коричневого, поверхность неоднородная. При повреждениях кератомы могут трансформироваться в плоскоклеточный рак.
- Диспластический невус. Пигментное пятно с рваными краями, неправильной формой и нечеткими контурами, цвет неоднородный. Такая родинка может и возвышаться над поверхностью кожи в виде бугорка, и быть плоской.
- Невус Ота (монгольское пятно). Заболевание носит преимущественно односторонний характер и поражает лицо или область ягодиц. Патология представляет собой одно крупное синее пятно или группу пигментаций, которые сливаются друг с другом. Эти опасные родинки редко перерождаются в рак, но требуют диспансерного наблюдения у дерматолога.
- Меланоз Дюбрейля. Предопухолевое состояние, представляющее собой бляшку с неравномерной окраской и нечеткими границами на открытых участках тела. Особенностью родинки является ее очень медленный рост.
- Гигантский врожденный невус. Очень крупное родимое пятно. Случаи перерождения редки, но за новообразованием должен постоянно наблюдать врач.
Самостоятельно поставить себе диагноз и определить качество невуса невозможно, поэтому важно при малейших подозрениях на злокачественный процесс обращаться к дерматологу. Есть несколько признаков, как выглядят опасные родинки, и чем они отличаются от простых пигментных пятен. В медицине их объединили в симптомокомплекс с запоминающимся названием АККОРД.
Изменения родинок
Переродиться в злокачественную опухоль или трансформироваться в рак может не только меланоформный или диспластический невус. Простые родинки тоже способны малигнизироваться после повреждений, облучения или инфицирования. Чтобы своевременно распознать патологический процесс, необходимо запомнить простые критерии его развития АККОРД:
- А – асимметрия;
- К – край;
- К – кровоточивость;
- О – окраска;
- Р – размер;
- Д – динамика.
Первые признаки меланомы
На ранних стадиях заболевание почти никак себя не проявляет. Опасные родинки долго маскируются под обычные невусы. Даже из указанных выше критериев может возникнуть только один.
Часто первые симптомы меланомы человек замечает уже на поздних этапах прогрессирования патологии, поэтому при наличии подозрительных родинок важно сразу их исследовать.
Помимо визуальных изменений пигментных пятен, могут присутствовать и общие признаки:
Чем опасно содрать родинку?
Есть миф, что повреждение невуса всегда оканчивается раком кожи. Это заблуждение, родинки опасные и неопасные при механических травмах могут малигнизироваться, но нечасто.
Если сразу обработать место повреждения антисептиком и обратиться к дерматологу, любых неблагоприятных последствий легко избежать.
В противном случае высок риск инфицирования ранки и мутации клеток в злокачественную форму.
Когда нужно удалять родинку?
Существуют прямые показания к иссечению невуса:
- расположение в промежности, на подошвах стоп и в волосистой части головы;
- частая травматизация родинки;
- изменение формы, границ и окраски невуса;
- рост пятна, возникновение зуда, кровоточивости или боли.
Дерматологи не запрещают удаление невуса, если он является даже просто косметическим дефектом. Поощряется такая процедура, если родинка сильно выступает над поверхностью здоровой кожи. Выпуклые новообразования сильнее подвержены травмам и трению, особенно на лице, шее и туловище, поэтому лучше сразу от них избавиться и провести гистологический анализ материала.
Нужно ли удалять опасные родинки?
Невусы, склонные к перерождению в рак кожи или злокачественную опухоль подлежат немедленному иссечению с захватом небольшого количества окружающей ткани.
Отрицательным ответ дерматолога будет на вопрос, можно ли удалять опасные родинки самостоятельно, с помощью недорогих средств от бородавок или народных рецептов.
Такие эксперименты чреваты осложнениями и повышением агрессивности раковых клеток.
Нужно ли удалять поврежденную родинку?
Если невус был случайно сорван или на нем образовались ранки от трения, лучше посетить дерматолога. Опасные поврежденные родинки сразу удаляются с последующей отправкой оставшегося материала на гистологический анализ.
Когда обследование показало, что пигментное пятно было «спокойным», иссечение остается на выбор пациента. Можно ограничиться правильным антисептическим и ранозаживляющим уходом.
Такая же тактика практикуется, если повредился папилломатозный невус или акрохордон.
Чем опасно удаление родинок?
Многие люди боятся идти к дерматологу из-за последствий операции. Лучше предварительно обсудить с доктором удаление родинок, опасно ли это, зависит исключительно от профессионализма и опыта врача.
Правильное использование скальпеля, лазера или радионожа исключает любые неблагоприятные последствия. Своевременное удаление опасной родинки является единственным способом избежать рака кожи.
Важно только устранить все клетки патологического новообразования.
Гистология родинки
Данный анализ выполняется не всегда. Простой невус кожи, который при дерматоскопии оказался «спокойным», можно удалять без последующего исследования. Подозрительные и явно опасные родинки обязательно отправляются на гистологию для тщательного микроскопического анализа полученного материала, в ходе которого определяется:
- наличие раковых клеток;
- толщина опухоли;
- степень ее агрессивности.
| Онихомикоз – как проявляется и чем можно вылечить грибок ногтей? Онихомикоз – грибковое поражение ногтевой пластины. Заболевание чаще поражает ногти пальцев ног. Коварство болезни заключается в частых рецидивах, которые возможны через месяц после лечения. Избавляет от грибка только комплексная терапия. | Как избавиться от бородавок быстро и навсегда? То, как избавиться от бородавок, волнует всех женщин, столкнувшихся с данной неприятностью, она доставляет эстетические, психологические проблемы, а иногда и вызывает более серьезные осложнения. К счастью, существует множество современных методов и средств лечения. |
| Атерома на спине – опасно ли образование и как от него избавиться? Атерома на спине – киста, которую в народе называют «жировиком». Возникает из-за закупорки протока сальной железы. Лечится оперативным методом, который выбирают в зависимости от размеров образования и его состояния. | Солнечный дерматит – как быстро избавиться от фотодерматоза? Солнечный дерматит – часто встречающаяся проблема, обострение которой происходит с началом весны или с приходом лета. Чтобы полностью избавиться от аллергической реакции, нужно выяснить точную причину ее происхождения, и устранить симптоматику. |
Источник:
Гистология родинки: техника проведения и расшифровка результатов
Родинка является пигментным пятном, которое изначально носит доброкачественный характер. Образование на коже бывает телесного, коричневого, черного или голубого цвета. По форме различают выпуклые, плоские и висячие невусы.
Под влиянием внешних и внутренних факторов в образовании может начаться процесс перерождения. Он характеризуется преобразованием здоровых клеток в онкологию.
При первых признаках перерождения необходимо обращаться к врачу, который, после проведенного осмотра, назначит сдачу анализа на гистологию.
Суть процедуры
Гистология невуса заключается в исследовании его небольшой части. В результате обследования будет выявлено наличие или отсутствие раковых клеток в родинке. Для прохождения анализа требуется направление онколога или собственное желание человека. Забор биопсии осуществляется следующими методами:
- Кусочек биоматериала, предназначенный для исследования, берут в процессе оперативного вмешательства. Иссеченный материал транспортируют в лабораторию в специальной емкости.
- Игловым методом. Участок ткани невуса иссекают при помощи дермопанча. До того как начнется процедура, человеку вводят анестезирующее средство.
- Эксцизионный метод выполняется в процессе хирургического вмешательства. Удаление происходит всего тела родинки. Внутридермальный невус отправляют на гистологию вместе со здоровыми клетками, которые располагались около него.
После забора материала или полностью удаленной родинки ее погружают в емкость с формалином, где она может храниться до 25 дней. Длительность хранения не оказывает влияния на качественные характеристики материала. Условием для этого является количество формалина в емкости: его должно быть в несколько десятков раз больше, чем объем невуса.

Гистология родинки после удаления возможна после заморозки невуса. Метод применяют в случае срочной необходимости изучения родинки на наличие злокачественных клеток. Если в результате срочного исследования выявили заболевание меланому, врач поменяет тактику оперативного вмешательства.
Кроме забора части невуса, существует цитологический метод изучения опухоли. Хирург производит соскоб с поверхности пятна. С помощью стекла, которое прижимается к родинке, берется материал. Его отправляют на лабораторное обследование.
Когда требуется гистологический анализ
Это является дополнительной диагностикой после проведения дерматоскопии, радиоизотопного сканирования, компьютерной томографии. Среди этих методов много положительных отзывов имеет гистология. Объясняется это получением точного показателя, касающегося риска преобразования невуса.
Можно самостоятельно обратиться за гистологическим исследованием. Причинами служат:
- пятно приобрело размытый рисунок, исчезли четко очерченные границы;
- образование резко увеличивается в размере, стало воспаляться;
- при пальпации или соприкосновении с предметами одежды начинает болеть;
- появилась бугристость;
- невус покрылся блестящей пленкой;
- выпали волосинки, которые располагались на родинке;
- невус приобрел темный оттенок;
- родимое пятно подвергается постоянному механическому воздействию;
- около образования возник белый ореол;
- из родинки выступает кровь или гной;
- появился зуд и жжение;
- плоское пятно превратилось в выпуклую родинку;
- появилось шелушение на поверхности родинки или около нее;
- родинка стала твердой на ощупь.
Гистология родинки может проводиться в том случае, если человек решил ее удалить по эстетическим соображениям. Невус способен располагаться на лице, голове, шее, что портит внешний вид человека. При отсутствии опасных симптомов все равно проводится анализ на гистологию. Это помогает определить наличие меланомы, которая на ранней стадии поддается лечению без последствий для здоровья.
Техника проведения и длительность процедуры
Транспортировка невуса на гистологический анализ проводится до того, как удаляется образование, или после хирургического вмешательства. Медицинские учреждения удаляют невусы различными методами:
- Криодеструкционный метод. Родинка выжигается при помощи жидкого азота. Температура, при которой удаляют образование, превышает 180 градусов.
- Иссечение скальпелем. Пациенту вводится местное обезболивание. Хирург удаляет нарост скальпелем, накладывает швы. Метод нецелесообразен для удаления родинки, расположенной на видном участке тела.
- Радиоволновое удаление. Невус иссекается при помощи радиоволнового ножа. Преимуществом метода является отсутствие шрамов после операции.
- Электрокоагуляционный метод. При помощи раскаленного металлического наконечника удаляют родинку. Спустя три недели не останется следов от оперативного вмешательства.
- Лазерное иссечение. С помощью лазера удаляется нарост. Метод пользуется спросом, так как не оставляет рубцов.
Исследование удаленного невуса происходит в несколько этапов:
- Забор материала. Специальными инструментами берется ткань образования.
- Фиксирование. Полученную ткань помещают в емкость, наполненную водой. Далее вместо воды наливают этанол. Альтернативой этанолу служит формалин. Данные вещества способствуют сохранению структуры образования и предотвращению клеточного распада.
- Материал должен быть твердым. Для этого проводят предварительное высушивание и помещают в парафин.
- Затвердевшую ткань с помощью специального прибора разделяют на пластинки.
- Проводят удаление парафиновых остатков.
- Разрезанные пластинки помещают в емкость с красителем, который подготовлен предварительно. Эта процедура способствует определению клеточной структуры.
- Окрашенные пластинки помещают на стекло и укладывают в емкость, которая плотно закрывается. Это позволяет хранить их на протяжении длительного времени.
- Микроскопическое исследование. Гистолог с помощью оптического прибора изучает полученную пластинку.
- Производится запись полученных данных для того, чтобы передать врачу.
После получения лабораторных данных, лечащий врач проводит расшифровку. Сколько делается гистология родинки, зависит от того, где проводится исследование. Встречаются случаи, когда материал необходимо транспортировать в лабораторию, которая находится в другом населенном пункте.
При подозрении на тяжелую форму онкологического заболевания, лечащий врач назначит экстренное удаление невуса. В этом случае гистологическое исследование делается в ускоренном режиме.
Он предполагает замораживание иссеченного материала, который спустя три часа пригоден для лабораторного изучения.
Результаты гистологии
В результате гистологической экспертизы онкодерматолог определит, является родинка злокачественной или доброкачественной.
Кроме этого, на основании гистологического заключения, врач способен установить, к какому виду принадлежит родимое пятно, степень тяжести заболевания и структурные показатели. Произвести самостоятельную расшифровку не удастся.
Если удалили родинку и гистология плохая, необходимо в короткие сроки провести операцию по удалению невуса.

Анализ способен выявить степень онкологического заболевания, от которого зависит, какое лечение будет применено. При первой стадии образование удаляется в пределах непораженной ткани.
Вторая стадия основана на удалении нароста и лимфоузлов, которые расположены около него. Третья стадия подразумевает иссечение всех пораженных невусов и лимфоузлов, которые к ним прилегают, с последующим прохождением химиотерапии.
Если выявлена четвертая стадия онкологического заболевания, у пациента минимальное количество шансов на положительный исход.
Если опасность отсутствует, рекомендуется иссечь пятно. Это поможет избежать патологического процесса в образовании. Современные методы удаления являются безболезненными и безопасными.
Если своевременно не провести оперативное вмешательство по удалению злокачественного нароста, повышается риск развития и распространения метастазов. Они способны проникать в жизненно важные органы, нарушая их функционирование и разрушая структуру.
В медицинской практике встречаются случаи, когда после удаления, родинка возникает заново. Это служит тревожным сигналом, который требует безотлагательного визита к дерматологу или онкологу.
Случаются ли ошибки при гистологическом анализе невусов
Гистологический анализ проводит лаборант, который может ошибиться. При возникновении малейших сомнений, касаемо лабораторного заключения, необходимо пройти исследование в другой лаборатории или отдать первоначальный материал на повторное исследование.
Источник:
Гистология родинки: важность исследования
Родимое пятно – это доброкачественное образование на коже. Оно подвержено механическим повреждениям и воздействию внешних факторов, способствующих перерождению здоровых клеток в раковые. Процесс трансформации достаточно быстрый, поэтому при малейших визуально заметных изменениях структуры, цвета или формы, следует срочно обратиться в клинику для проведения осмотра.
На первичном этапе специалист клиники изучит невус и назначит необходимые анализы. В числе основных исследований – гистология. Это единственный надежный вариант определения предрасположенности клеток родинки к преобразованию в меланому.
Фото 1. Если родинка вызывает подозрения у врача, он назначит вам анализы. Самый надежный — гистология. Источник: Flickr (Skin care).
Что такое гистология родинки
Гистологическое исследование кожного образования проводится по направлению врача или по личному пожеланию пациента. Процедура возможна только в условиях медицинского учреждения.
Для исследования берется биоматериал из зоны невуса. Биопсия проводится тремя различными методами:
- При помощи иглы. Часть ткани иссекается из родинки посредством инструмента дермопанча. Перед началом процедуры пациенту обязательно вводится анестезия;
- Инциозным методом. Часть исследуемого материала берется в ходе проведения операции. Несколько взятых фрагментов невуса передаются в лабораторию;
- Эксцизионным методом. Также проводится во время оперативного вмешательства, но на всю глубину кожи с иссечением здоровых клеток, расположенных в непосредственной близости от образования. Предметом исследования является полностью удаленное тело.
Показания к проведению гистологии
После визуального осмотра специалист может дать направление на дополнительную диагностику. В число проводимых исследований входят молекулярное изучение, дерматоскопия, радиоизотопное сканирование, компьютерная томография и гистология. Наиболее предпочтительным методом исследования природы новообразования является именно последний вариант.
С помощью гистологии онколог способен определить наличие злокачественных клеток и назначить адекватное лечение. Чем раньше будет обнаружено перерождение невуса в злокачественную опухоль, тем выше шансы на излечение от агрессивного недуга.
Направление на гистологию выписывается в случаях:
- Интенсивного разрастания невуса;
- Изменения структуры, появления бугорков, либо покрытия родинки блестящей корочкой;
- Кровоточивости;
- Расползания пятна;
- Потемнения образования;
- Появления болей при нажатии или случайном прикосновении к родинке.
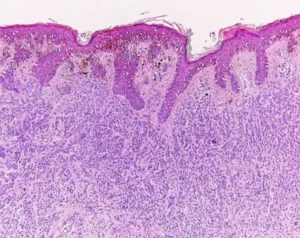
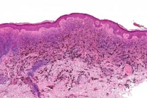
Фото 2. Родинки, переродившиеся в меланому, удаляют только хирургическим путем. Источник: Flickr (kortrightah).
Это важно! Любое изменение привычной родинки считается отклонением от нормы и сигнализирует о возможном перерождении доброкачественной опухоли в злокачественную форму.
Гистология при удалении родинки
Даже, если невус удаляется в эстетических или профилактических целях, его тело передается в лабораторию для исключения наличия злокачественных клеток.
Можно ли удалять родинку без гистологии
Удаление родинок возможно без проведения гистологических исследований, но только в том случае, если врач не видит в этом необходимости. Для того, чтобы обезопасить пациента в будущем, желательно не рисковать, и отправить биоматериал в лабораторию.
Как проходит исследование
Процедура проведения исследования стандартная:
- Забор. При помощи специальных инструментов иссекается часть биологического материала;
- Фиксация. Полученный образец помещается в ёмкость с водой, которая впоследствии замещается этанолом или жидкостью Буэна. В некоторых лабораториях ткань заливается формалином. Эта процедура позволяет предотвратить распад клеток, сохраняя прижизненную структуру;
- Проводка. Для придания материалу твердой формы его высушивают и заливают парафином;
- Микротомия. Затвердевший биоматериал разрезают посредством специального аппарата на очень тонкие пластины и удаляют излишки парафина;
- Окраска. Пластины опускают в раствор с заранее подготовленными красителями. Это позволяет определить структуру клеток. По окончании процедуры окрашенные срезы укладываются на стекло и помещаются в контейнеры с крышкой, приспособленные для длительного хранения;
- Исследование под микроскопом. Самый важный этап диагностики. При помощи современных оптических приборов лаборант исследует полученные пластины и записывает данные для передачи лечащему врачу. Результаты максимально точные и достоверные.
Сколько времени занимает исследование
Традиционно время на гистологию занимает до 7 дней. В случаях, если биоматериал требуется доставить в другой населенный пункт, период исследования увеличивается на время транспортировки.
Если врач подозревает агрессивную форму меланомы и требуется срочное хирургическое вмешательство для спасения жизни человека, гистология проводится по ускоренной методике.
В ходе изучения полученный иссеченный материал замораживается, и через два часа он уже готов для микроскопирования.
Результаты гистологического исследования
Расшифровкой полученных данных занимается врач цитолог. Именно специалисты в данной области могут определить состояние клеток и дать прогноз относительно дальнейшего развития заболевания.
В расшифровке будет указана стадия онкологического процесса от I до IV, если образование признано злокачественным. Успешному лечению поддается только первая стадия, без метастазирования. В остальных случаях потребуется длительная химиотерапия.
Что делать, если гистология определила наличие рака
При обнаружении меланомы врач порекомендует удалить новообразование хирургическим путем. Консервативная терапия исключена.

Удаление проводится в условиях клиники, при помощи лазера, электрокоагуляции, иссечения электрическим ножом или другими инструментами.
Без оперативного вмешательства зараженные клетки могут дать метастазы в другие органы. Через некоторое время желательно показаться специалисту для исключения рецидивов.
Источник:
Гистологическое исследование родинки после удаления: методы анализа и расшифровка результатов
Гистология родинки – это микроскопическое исследование тканей. Применяется для диагностики раковых и прочих заболеваний, требующих проведения подобных анализов. Исследование показано для всех пациентов, обращающихся к дерматологу для удаления подозрительного, часто травмирующегося или кровоточащего невуса.
Значение гистологии после удаления
Гистологическое исследование проводят после резекции родимого пятна, любого подозрительного образования на кожных покровах. Предварительный забор биоптата не проводится, онкопатологии дермы относятся к агрессивным новообразованиям. И при повреждении тела опухоли начинают активно метастазировать.
Показания к исследованию:
- постоянные травмы невуса;
- интенсивный рост родимого пятна, глубокое проникновение в ткани дермы;
- появление бляшек;
- жжение, зуд, воспалительный процесс, наличие узелков;
- шелушение, уменьшение размеров родинки;
- невус разделился на дольки;
- изменение окраски невуса;
- депигментация кожи;
- родинка доставляет болезненные ощущения;
- кровотечение невуса.
Отправка тканей на гистологическое исследование является обязательной процедурой. Она прописана в протоколах ВОЗ по ведению пациентов с подозрительными невусами, папилломами, кроме тех, что удалили лазером, радиоволновым способом. Согласие пациента на исследование не требуется.
Методика проведения
Гистологический анализ проходит в несколько этапов. Это подготовка срезов, применение методов микроскопирования, количественный и качественный анализ полученных результатов.
Готовые образцы могут изучать после забора материала, но лучшие результаты дают предварительно обработанные материалы. Ткани обрабатывают фиксаторами, препятствующими их разложению. Их могут обрабатывать термическим способом, проводить обезвоживание в углекислоте.
Для приготовления срезов используют специализированную технику – ультрамикротомы для осмотра в электронных микроскопах или микротомы для изучения образца в световом оборудовании.
Дополнительно ткани подвергают окрашиванию для улучшения контрастности изображения. При использовании электронного микроскопа ультрасрезы закрепляют в специализированных сетках. Для улучшения контрастности изображения ткани обрабатывают соединениями урана, прочих металлов.
Методы гистологического анализа:
- Световая – классические микроскопы с различной степенью увеличения.
- Ультрафиолетовая – с использованием лучей ультрафиолетовой части спектра. Невидимые при обычном освещении дефекты клетки, среза становятся видимыми.
- Флюоресцентная – исследование проводят с использованием ртутных, ксеноновых ламп.
- Фазово-контрастная – применяется при неэффективности других методов исследования образцов. Ткани предварительно окрашивают.
- Электронная – образец облучают потоком электронов. Преимуществом способа является многократное увеличение, высокая разрешающая способность оборудования.
Сколько делается гистология
Длительность обработки образцов тканей следует уточнять у врача. Существует 2 вида анализа:
- Экстренный – срез исследуется в процессе операции. Это позволяет при необходимости расширить объем оперативных мероприятий, убрать большее количество тканей. И сразу после удаления новообразования начать медикаментозное лечение. Используется в спорных случаях, при выявлении новых обстоятельств во время хирургического вмешательства.
- Плановый – применяется, когда диагноз не подлежит сомнению, а экстренное исследование подтвердило предположение врача. Длительность обработки результатов составляет до 7 дней.
На сроки исследования оказывают влияние следующие факторы:
- юридический статус лаборатории или клиники – частная или государственная;
- методы анализа и оборудование, применяющиеся в конкретном медицинском центре;
- загруженность лаборатории;
- форс-мажорные обстоятельства.
Что делать, если гистология плохая
Плохая гистология родинок после удаления не является окончательным диагнозом и приговором. Правильный диагноз поставит онколог, опираясь на следующие факторы:
- возраст, половая принадлежность;
- результаты визуального осмотра;
- гистопатология тканей;
- индивидуальный, семейный анамнез пациента;
- наличие рака кожи в прошлом;
- данные прочих методов обследования.
Во время гистологического исследования определяют факт наличия злокачественного процесса, вид карциномы, ее степень. На основании этих данных врач выбирает тактику ведения пациента, разрабатывает план лечения.
Расшифровка анализов
Расшифровку результатов исследования проводит онколог. Зачастую информация на бланке представлена на латыни с использованием специализированных обозначений.

Расшифровка результатов гистологии родинки выглядит следующим образом:
- Личные данные – Ф.И.О, адрес, тип материала для исследования, место забора ткани, Ф.И.О лечащего врача.
- Метод, способ анализа образцов – срочный, обычный. Указываются вещества, которыми обрабатывали ткани.
- Основное заключение.
В этом пункте указывается природа новообразования – злокачественная или доброкачественная. Врач укажет микростадии опухолевого процесса по Кларку (протокол 1967 года) и по Бреслоу, стадии по системе TNM, размеры новообразования.
Отдельным пунктом – стадии метастазирования, количество пораженных лимфатических коллекторов, размеры вторичной опухоли – определяется микроскопически или видны невооруженным глазом, виды метастазов, наличие отдаленных очагов поражения.
Дополнительная информация – первичное заболевание или рецидив. Если ткани невуса в норме, это будет указано в бланке анализа.
Многих пациентов интересует вероятность ошибки. К сожалению, она практически исключена. Данные гистологического обследования точны, основные показатели проверяют несколькими методами.
Исследование относится к объективным — результаты могут расшифровать доктора из любой страны, независимо от того, на каком языке там разговаривают. Для этого достаточно образца изъятой ткани.
Гистологические анализы фиксируют на предметных стеклах, сохраняют в течение определенного времени.
Онкологические заболевания любого органа крайне опасны для здоровья взрослого, ребенка. Меланомы отличаются быстрым ростом, активным проникновением в здоровые ткани.
Если родинка изменяется, в этот период не рекомендуется обращаться к народным целителям и использовать непроверенные методы лечения. Обратитесь к врачу, удалите новообразование. А гистологический анализ снимет все вопросы! Расшифровку доверьте онкологу!
Статья одобрена редакцией
Источник:



