Симптомы и классификация опухоли легких, признаки патологий и прогноз
Новообразования органов дыхания, характеризующиеся патологическим делением и размножением клеток, вследствие чего происходит разрушение ткани, принято считать злокачественными опухолями. Раковые процессы вызывают проникновение метастазов в лимфоузлы, а впоследствии и отдаленные системы и органы.
Рак легкого гораздо чаще диагностируется у мужчин. Они в 5-8 раз заболевают, чем женщины. К тому же этот диагноз лидирует среди причин смертности в онкологии. На протяжении многих лет ему отведено 1-ое место.
Для диагностики опухолей важно профилактическое обследование людей из группы риска и своевременное начало лечения.
В медицине опухоли легких делят по характеру образования:
- доброкачественные;
- злокачественные;
- метастатические.
Доброкачественные не приводят к разрушению легочной ткани, к инфильтрации и метастазам.
Злокачественная опухоль легких имеет тенденцию к прорастанию в соседние ткани и образованию метастазов. Виды подразделяют на локальные, регионарные и метастатические в отдаленные органы.
К метастатическим относят поражение легочной ткани вследствие метастазов, которые первично вызваны злокачественными изменениями других органов.
Статистические данные
Опухоль легких среди людей среднего возраста имеет тенденцию к росту числа заболевших. Из всех новообразований легких 90% относится к раку органа.
В 28% случаев заболевание приводит к летальному исходу. Диагностируются злокачественные опухоли легких у 35% мужчин и 30% женщин от 45 до 70 лет.
90% этих патологий возникают по причине канцерогенного воздействия табачного дыма при курении и вдыхании.
Классификация опухоли
Злокачественные новообразования классифицируют по гистологическим признакам: различные формы рака легких, зависящие от этиологии клеточного поражения.
По направлению развития опухоли различают эндо- или перибронхиальные узловые, а также разветвленные.
По локализации патология может быть центральной, периферической, или это могут быть атипичные формы болезни.
Стадии заболевания так же имеют классификацию. Так, для первой стадии характерны наличие ограниченного новообразования в ткани бронха с типичным направлением роста. Опухоль не прорастает в плевру и не вызывает метастазов.
Во второй стадии заболевания к картине первой стадии добавляются мелкие метастазы в регионарные лимфоузлы.
Третья стадия характеризуется множеством метастазов и разрастанием опухоли за пределы органа. В четвертой стадии разрастание становится более обширным, а метастазы, кроме регионарных лимфоузлов поражают отдаленные органы.
Метастазы при заболевании имеют три пути развития. При гематогенном пути причиной является прорастание патогенной эпителиальной ткани в кровеносные сосуды. Второй способ- лимфогенный, при этом опухоль прорастает в лимфоузлы.
Посредством кровотока раковые клетки попадают в не пораженное легкое, почки и печень, костную систему. В лимфоузлы над ключицей и в средостение зараженные клетки попадают лимфогенным путем. И третий путь — имплатационный.
В этом случае отмечается разрастание злокачественного образования в плевру.
Периферический рак начинает развитие из мелких бронхов, а центральный — из долевых, сегментарных или главного бронхов.
По морфологии болезнь классифицируется тремя видами:
- плоскоклеточный (эпдермиодный);
- аденокарцинома;
- мелкоклеточный (овсяноклеточный) рак.
Причиной плоскоклеточного рака являются изменения эпителиальной ткани. К возникновению карциномы причастны генетическая предрасположенность и гормональные нарушения. В этом случае организм теряет способность подавлять канцерогенные клетки.

Овсяноклеточный рак возникает вследствие нарушения нейроэндокринной системы. Этот вид опасен тем, что еще на ранних стадиях возникновения способен образовывать гематогенные метастазы.
Признаки патологии
В теории развития рака легких принимают во внимание генетические аномалии в клетке, возникающие под воздействием токсических веществ, имеющих тенденцию к накоплению. В этом процессе доминантные онкогены активируются, а рецессивные теряют способность к подавлению опухоли. Такая ситуация приводит к росту патологических клеток и повреждению ДНК.
Первичная опухоль имеет эпителиальное происхождение. Рост новообразования объясняет возникающую непроходимость бронха и ведет к обтурации и ателектазам в легочном отделе, расположенном ниже. Дальнейший прогресс болезни приводит к прорастанию в соседние органы и возникновению метастазов в отдаленные.
Симптоматика
Начало болезни протекает без выраженных симптомов. Нередко патология обнаруживается случайно при прохождении флюорографического обследования или прочих рентгеновских процедур.
Особая опасность заключается в длительности латентного этапа заболевания, составляющего несколько лет.
Поэтому врачи особое внимание уделяют лицам после 45 лет, с большим стажем на вредных производствах и заядлым курильщикам.
На наличие опухоли легких указывают следующие симптомы: кашель и кровохарканье. Это указывает на эндобронхиальное поражение тканей. У пациентов возникает одышка иснпираторного характера. Примерно в половине случаев боль в груди указывает на прорастание опухоли в плевру. Может возникнуть осиплость голоса, указывающая на сдавливание возвратного нерва.
По причине разрастания опухоли и появления метастазов, происходит сдавливание стволов. В такой стадии появляются специфические симптомы со стороны нервной системы.
Клиническая картина при этом такова: у больного наблюдается слабость в руках, нарушение чувствительности конечностей (парестезии).
Возникает офтальмологическое нарушение — синдром Хорнера (нарушение симптоматической иннервации глаза, проявляющееся в сужении зрачка и глазной щели, западении глазного яблока).
Среди симптомов отмечается нарушение потоотделения (ангидроз), обусловленное поражением шейных симпатических узлов. Этот признак указывает на верхушечное положение злокачественного образования (рак Пэнкоста).
Пораженный опухолью диафрагмальный нерв вызывает одышку. В III-IV стадиях заболевания больные жалуются на головные и суставные боли (из-за метастазов в отдаленные органы). У пациентов выражена кахексия (потеря веса и истощение).
Пожилые пациенты нередко жалуются на кожный зуд и симптомы дерматозов.
Диагностика заболевания
Дифференцируют диагноз с незлокачественными новообразованиями, пневмонией, туберкулемой и паразитарной кистой.
В начальных стадиях болезни симптомов, указывающих на злокачественность образования, не обнаруживается. По мере развития болезни отмечается проявление патологии, зависящее от локальных признаков. При лимфогенном характере патологии наблюдается лимфоденит надключичных узлов. Такой симптом с левой стороны указывает на метастаз Вирхова.
В верхних отделах груди, в области шеи характерен выраженный венозный рисунок. Отмечается также покраснение и отек лица, конъюнктивит. В более поздних стадиях визуально отмечается истощение и кахексия. У больного наблюдается вечерняя гипертермия и дрожание голоса.
При перкуссии отмечается укорочение звука над пораженной областью. При обтурации бронха звук коробочный. При помощи перкуссии можно выявить расширение средостения с пораженной стороны.
При прослушивании (аускультации) в легких выявляется ослабление дыхания и наличие локальных хрипов. Такие признаки указывают на эндобронхиальный рак. При влажных хрипах на фоне гипертермии и потливости ставится вопрос о обтурационной пневмонии.
Для ранней диагностики важны результаты флюорографических обследований. В бессимптомном периоде болезнь можно выявить только при помощи лучевой диагностики.
При этом имеют место следующие изменения: шаровидные новообразования, корень легкого и средостение расширены. При пораженном бронхе появляются признаки гиповентиляции участка.
Для этого характерно явление, при котором кровеносных сосуды расширены и сближены по отношению друг к другу, пораженный сегмент легкого становится непрозрачным.
Перибронхиальная форма болезни характеризуется наличием узла в корневом отделе. При периферической форме рака выявляется фокус в пораженном отделе, может быть ярко выделена дорожка от опухоли к корню, иногда отчетливо выделено место вхождения бронха.
Более тщательное обследование проводится методом компьютерной томографии.
Стадия заболевания определяется по результатам биопсии. Трансторакальная биопсия также позволяет удалять метастазы до 3 см в диаметре с периферии легкого.
Также для диагностики проводят бронхоскопию, УЗИ, радиоизотпное сканирование и лабораторные исследования биологического материала.
Лабораторная диагностика не дает возможности точного определения патологии. Повышение скорости оседания эритроцитов и лейкопения могут быть вызваны рядом других заболеваний.
По анализу мокроты также нельзя поставить диагноз однозначно. Исключение составляет только центральное расположение опухоли. Атипические клетки выявляются в содержимом мокроты.
Информативность лабораторного исследования при этой форме рака составляет 74%.
Причины
К факторам риска относятся:
- активное и пассивное курение. Никотин и смолы несут в себе канцерогенную угрозу. Причем пассивные курильщики подвержены большей опасности, у них в двое чаще отмечаются случаи злокачественных новообразований;
- работающие на химических производствах (контакты вредными веществами, радиоактивной пылью и другими токсичными элементами). Особенно при этом рискуют курящие;
- проживающие в экологически неблагоприятных зонах;
- люди с новообразованиями в легких, не являющихся злокачественными.
Прогноз
После того, как поставлен диагноз рака легких, без подобающего лечения средний срок жизни пациента — один год.
После оперативного вмешательства самый неблагоприятный прогноз у мелкоклеточного рака. Прогнозируется пятилетняя продолжительность жизни при I стадии в 85-90% случаев, во II стадии — 60%, в последующих от 10 до 30%. Летальный исход в постоперационном периоде — до 10%.
Профилактика заболевания
К профилактическим мерам следует отнести борьбу с курением, в том числе пассивным. Важным фактором в профилактике является снижение токсического воздействия вредных веществ на производстве, и их выброса в атмосферу. Важным пунктом в профилактике является проведение рентгенологических методов диагностики для лиц, относящихся к группе риска.
Доброкачественные образования
Узелки и точки в легочной ткани при компьютерной томографии могут быть выявлены при доброкачественном характере опухоли. При этом пациент не является курильщиком, его возраст менее 40 лет. Сами узелки имеют незначительные размеры и в них содержится кальций.
Это изменение вызывается неестественным ростом ткани в легком. При этом важна ранняя диагностика и своевременное лечение. Прогноз при доброкачественной опухоли оптимальный.
Лечение
В терапии злокачественных опухолей важную роль отводят радикальным способам. Операцию проводят торакальные хирурги. В зависимости от стадии и локализации процесса возможно удаление доли или легкого и регионарных узлов. Вначале удаляется первичный очаг. После удаляют метастазы.
Противопоказанием для оперативного вмешательства являются:
- невозможность радикального удаления;
- наличие отдаленных метастазов;
- тяжелые нарушения функций жизненно важных органов.
В случае если операция невозможна для лечения используют курсы лучевой или комбинированной и химиотерапии. После проведения оперативного вмешательства также проводится подобное лечение.
Для успешного лечения важен полный отказ от вредных привычек, сбалансированное питание и профессиональный уход за больным.
Источник:
Симптомы опухоли в легких
Кашель вызывает стимулирование чувствительных нервных окончаний в выстилке дыхательных путей на любом участке от ых связок до бронхов.
Кашель является рефлекторным действием, хотя его можно инициировать произвольно.
При кашле давление в груди существенно повышается и внезапное отхождение воздуха при кашлевом рефлексе служит для прочистки воздушных путей и для освобождения выстилки воздушных путей от слизистого секрета.
Раздражитель, поражающий слизистую оболочку воздушных путей, воздействует на нервные окончания, что приводит к кашлю. Однако при этом кашель не может удалить первоисточник раздражения — рак, что приводит к стойким кашлевым явлениям. Любое кровотечение интенсивно раздражает выстилку бронхов и вызывает кровохарканье.

Приступы кашля отмечаются в моменты, когда раздражение усиливается и не проходит. Эти приступы могут быть настолько сильными, что могут приводить к перелому ребер, а также повреждать малые кровеносные сосуды легких.
Кашель, вызываемый раком легких, не носит специфического характера, но наиболее часто он отмечается в ночное время дня или сразу после пробуждения. Со временем кашель приобретает периодический приступообразный характер на протяжении дня.
Физическая нагрузка или усиление дыхания зачастую приводят к приступам кашля.
Симптомы опухоли в легких на ранних стадиях заболевания характеризуются сухим кашлем, к которому впоследствии присоединяется белесая мокрота. При развитии инфекции мокрота приобретает гнойный характер с зеленоватым или желтоватым оттенком и возможным присутствием кровохарканья.
Кровохарканье обычно сопровождается наличием в мокроте прожилок крови. Однако когда происходит поражение небольшой вены, отхаркивается свежая кровь. В таких редких случаях может наблюдаться сильное кровотечение. Кровохарканье является очень важным симптомом опухоли в легких, и его нельзя игнорировать.
Примерно у четверти людей, возраст которых превышает 40 лет, кровохарканье является признаком рака легких.
Дискомфорт и боль
Дискомфорт и боль являются вторым по частоте встречаемости среди начальных проявлений симптомов опухоли в легких. Они встречаются примерно у 20% пациентов.
Характер болевых ощущений и дискомфорта в груди может очень сильно варьировать.
Наиболее часто в описаниях симптомов фигурирует чувство наполненности и сдавленности, которое усиливается в определённых позициях, а также при глубоком дыхании или кашле.
Иногда отмечается острая локализованная боль в груди при дыхании или кашле. Это так называемая плевротическая боль, которая вызвана воспалением в выстилке легких (плевре). Опухоли, локализованные высоко в верхней части легких, могут влиять на большие нервные корешки (плечевое нервное скопление), что может приводить к нарастающим болям в верхней части груди и плече.
Инфекции и ухудшение проходимости дыхательных путей
Рост опухоли в более крупных отделах дыхательных путей легких может постепенно привести к нарушению их проходимости. Это может препятствовать нормальному отхождению мокроты из легких.
В результате не отошедшая мокрота может становиться источником инфекции. В таких случаях симптомы опухоли в легких включают общее недомогание, озноб, жар, ночную потливость и потерю аппетита и веса.
Может наблюдаться плохой отклик на лечение стандартными антибиотиками.
Если присутствует полная обструкция дыхательных путей, то это может повлечь одышку, кашель и повышение температуры. Характер симптомов и их степень зависят от объема поражения легких. При неполной обструкции развиваются хрипы, вызванные прохождением воздуха через блокаду. Они возрастают при глубоком дыхании, например, после физической нагрузки.
Одышка
Симптомы злокачественной опухоли легкого редко характеризуются одышкой в качестве первого проявления этого заболевания. Однако на протяжении болезни это состояние зачастую развивается. При раке легких причинами развития одышки могут быть:
- приступы, подобные астматическим, вызванные спазмом дыхательных путей;
- коллапс легкого, вызванный обструкцией крупного дыхательного пути;
- легочная инфекция;
- плевральный экссудат (скопление жидкости);
- синдром верхней полой вены (сдавливание основных вен, окружающих сердце);
- перикардиальный экссудат (скопление жидкости вокруг сердца, ограничивающее способность этого органа нормально функционировать).
Охриплость
Один из нервов, подходящих к ому аппарату, изгибается вниз к основанию левого легкого. Опухоль, растущая в этой части грудной клетки может повредить данный нерв, что может отрицательно сказаться на функционировании ых связок. Порой это приводит к слабому и охриплому голосу, а также к развитию характерного кашля с металлическим оттенком.
Источник:
Доброкачественные опухоли легких: болят ли, основные симптомы, причины возникновения, лечение и прогноз
Доброкачественная опухоль в легких — это патологическое новообразование, возникающее из-за нарушения клеточного деления. Развитие процесса сопровождается качественным изменением структуры органа в зоне поражения.
Рост доброкачественных опухолей сопровождается симптоматикой, характерной для множества легочных патологий. Лечение подобных новообразований предусматривает удаление проблемных тканей.
Что такое доброкачественная опухоль
Доброкачественные опухоли (бластомы) легких по мере роста приобретают овальную (округлую) либо узелковую форму. Такие новообразования состоят из элементов, сохранившим строение и функции здоровых клеток.
Доброкачественные опухоли не склонны к перерождению в рак. При разрастании тканей соседние клетки постепенно атрофируются, вследствие чего вокруг бластомы образуется соединительнотканная капсула.

Легочные новообразования доброкачественного характера диагностируются у 7-10% пациентов с онкологическими патологиями, локализующихся в этом органе. Чаще опухоли выявляются у лиц младше 35 лет.
Легочные новообразования отличаются медленным развитием. Иногда опухолевый процесс выходит за пределы пораженного органа.
Классификация
Бластомы в зависимости от зоны прорастания подразделяются на центральные и периферические. Первый тип развивается из бронхиальных клеток, составляющие внутренние стенки. Новообразования центральной локализации способны прорастать в соседние структуры.
Периферические новообразования формируются из клеток, составляющих дистальные малые бронхи либо отдельные фрагменты легких. Этот тип опухолей относится к числу наиболее распространенных. Периферические образования растут из клеток, составляющих поверхностный слой легкого, или проникают вглубь органа.
В зависимости от направления, в которое распространяется патологический процесс, выделяют следующие типы опухолей:
- Эндобронхиальные. Прорастают внутрь бронха, сужая просвет последнего.
- Экстрабронхиальные. Прорастают наружу.
- Интрамуральный. Прорастают внутрь бронхов.
В зависимости от гистологического строения легочные новообразования классифицируются на:
- Мезодермальные. К этой группе относят липомы и фибромы. Последние прорастают из соединительной ткани, в связи с чем отличаются плотной структурой.
- Эпителиальные. Опухоли этого типа (аденомы, папилломы) встречаются примерно у 50% пациентов. Образования чаще прорастают из поверхностных клеток, локализуясь по центру проблемного органа.
- Нейроэктодермальные. Нейрофибромы и нейриномы растут из шванновских клеток, которые располагаются в миелиновой оболочке. Нейроэктодермальные бластомы достигают сравнительно малых размеров. Процесс формирования опухолей этого типа сопровождается выраженными симптомами.
- Дизэмбриогенетические. Тератомы и гамартомы относятся к числу врожденных опухолей. Дизэмбриогенетические бластомы формируются из жировых клеток и хрящевых элементов. Внутри гамартом и тератом пролегают кровеносные и лимфатические сосуды, гладкомышечные волокна. Максимальный размер составляет 10-12 см.
Цитата. Наиболее распространенными опухолями считаются аденомы и гамартомы. Такие образования встречаются у 70% пациентов.
Аденома
Аденомы — это доброкачественное разрастание эпителиальных клеток. Развиваются подобные новообразования на слизистой оболочке бронхов. Новообразования отличаются сравнительно небольшими размерами (до 3 см в диаметре). У 80-90% пациентов опухоль этого типа характеризуется центральным расположением.
Из-за локализации опухолевого процесса по мере прогрессирования последнего нарушается бронхиальная проходимость. Развитие аденомы сопровождается атрофированием местных тканей. Реже отмечаются язвы в проблемной зоне.
Аденома классифицируется на 4 типа, из которых карциноид выявляется чаще остальных (диагностируется у 81-86% пациентов). В отличие от других доброкачественных бластом эти опухоли склонны к перерождению в рак.
Фиброма
Фибромы, размер которых не превышает 3 см в диаметре, состоят из соединительнотканных структур. Диагностируются такие образования у 7,5% пациентов с онкологическими болезнями в легких.
Бластомы этого типа отличаются центральной либо периферической локализацией. Новообразования в равной мере поражают одно или оба легкого. В запущенных случаях фибромы достигают крупных размеров, занимая половину грудной клетки.
Опухоли этого типа характеризуются плотной и эластичной консистенцией. Фибромы не перерождаются в рак.
Гамартома
Дизэмбриогенетические новообразования состоят из жировой, соединительной, лимфоидной, хрящевой тканей. Этот тип бластом встречается у 60% пациентов с периферической локализацией опулевого процесса.

Гамартомы отличаются гладкой либо мелкобугристой поверхностью. Новообразования способны прорастать вглубь легкого. Рост гамартом длительное время не сопровождается выраженными симптомами. В крайних случаях возможно перерождение врожденных опухолей в рак.
Папиллома
Папилломы отличаются наличием стромы из соединительной ткани. Поверхность таких наростов устлана сосочковидными образованиями. Папилломы в основном локализуются в бронхах, нередко полностью закрывая просвет последних. Часто новообразования этого типа помимо легочных путей поражают гортань и трахею.
Цитата. Папилломы склонны к перерождению в рак.
Редкие виды опухолей
К числу редких разрастаний тканей легкого относят липомы. Последние состоят из жировых клеток и локализуются обычно в главных либо долевых бронхах. Липомы чаще выявляются случайно в ходе рентгенологического обследования легких.
Жировые разрастания отличаются округлой формой, плотной и эластичной консистенцией. Помимо жировых клеток, в состав липомы входят соединительнотканные перегородки.
Лейомиома также встречается редко. Развиваются такие разрастания из клеток гладких мышц, сосудов или бронхиальных стенок. Лейомиомы в основном диагностируются у женщин.
Бластомы этого типа внешне напоминают полипы, которые фиксируются к слизистой оболочке с помощью собственного основания либо ножки. Некоторые лейомиомы приобретают вид множественных узелков. Наросты характеризуются медленным развитием и наличием выраженной капсулы. Из-за этих особенностей лейомиомы часто достигают крупных размеров.
У 2,5-3,5% пациентов с доброкачественными образованиями в легких диагностируются сосудистые опухоли: гемангиоперицитома, капиллярная и каверозная гемангиомы, лимфагиома и гемангиоэндотелиома.
Разрастания встречаются на периферической и центральной частях пораженного органа. Гемангиомы отличаются округлой формой, плотной консистенцией и наличием капсулы из соединительной ткани. Сосудистые образования способны разрастаться до 20 см и более.
Цитата. Гемангиоперицитома и гемангиоэндотелиома характеризуются быстрым ростом и склонностью к малигнизации.
Тератомы — это кистозные полости, состоящие из различных тканей. Отличаются наличием четкой капсулы. Тератомы встречаются преимущественно у молодых пациентов. Кисты этого типа характеризуются медленным ростом и склонностью к перерождению.
В случае присоединения вторичной инфекции тератомы нагнаиваются, что при прорыве оболочки провоцирует абсцесс либо эмпиему легкого. Тератомы всегда локализуются в периферической части органа.
Неврогенные новообразования (нейрофибромы, хемодектомы, невриомы) встречаются у 2% пациентов. Бластомы развиваются из тканей нервных волокон, поражают одно либо два легких одновременно и располагаются в периферической зоне. Неврогенные опухоли выглядят как плотные узлы, имеющие выраженную капсулу.
К числу доброкачественных бластом относят туберкуломы, возникающие на фоне течения туберкулеза легких. Развиваются эти опухоли из-за скопления казеозных масс и воспаленных тканей.
В легких образуются и другие типы бластом: плазмоцитома (из-за нарушения белкового обмена), ксантомы (состоят из соединительной ткани либо эпителия, нейтральных жиров).
Симптомы
Характер клинической картины определяется типом, размером доброкачественных бластом, зоной поражения. Не меньшую роль в этом играют направление роста опухоли и другие факторы.
Цитата. Большинство доброкачественных бластом развивается бессимптомно. Первые признаки возникают, когда опухоль достигает крупных размеров.
Новообразования периферической локализации проявляются, когда бластомы сдавливают соседние ткани. В этом случае болит грудь, что указывает на компрессию местных нервных окончаний или кровеносных сосудов. Также возможно появление одышки. При поражении сосудов пациент кашляет с кровью.
Клиническая картина при бластомах центральной локализации меняется по мере роста новообразований. Начальная стадия развития опухолевого процесса обычно протекает бессимптомно. Редко у пациентов возникает мокрый кашель с кровянистыми выделениями.
Когда бластома перекрывает более 50% просвета бронхов, в легких развивается воспалительный процесс, о чем свидетельствуют следующие симптомы:
- кашель с выделением мокроты;
- повышенная температура тела;
- кровохарканье (редко);
- боль в области грудной клетки;
- повышенная утомляемость;
- общая слабость.
В запущенных случаях течение опухолевого процесса нередко сопровождается нагноением легочной ткани. На этот этапе в органе происходят необратимые изменения. Для последней стадии развития опухолевого процесса характерны следующие симптомы:
- стойкое повышение температуры тела;
- одышка с приступами удушья;
- интенсивные боли в груди;
- кашель с выделениями гноя и крови.
Если бластомы прорастают в окружающую легочную ткань (просвет бронхов остается свободным), клиническая картина при опухолях отличается менее выраженным характером.
В случае развития карцином (гормонально-активное новообразование), у пациентов отмечаются приливы жара, бронхоспазм, диспепсические (рвота, тошнота, диарея) и психические расстройства.
Диагностика
Основу диагностических мероприятий при подозрении на опухолевый процесс в легких составляет рентгенография. Метод позволяет выявить наличие и локализацию новообразований.
Для детальной оценки характера опухоли назначают компьютерную томографию легких. С помощью этого метода удается выявить жировые и иные клетки, составляющие бластому.
При необходимости проводится КТ с введением контрастного вещества, благодаря чему доброкачественная опухоль дифференцируется с раком, метастазами и иными новообразованиями.
Важным диагностическим методом считается бронхоскопия, посредством которой производится забор проблемной ткани. Последняя отправляется на гистологическое исследование с целью исключения злокачественной опухоли. Также бронхоскопия показывает состояние бронхов.
При периферической локализации доброкачественных новообразований назначается пункционная либо аспирационная биопсия. Для диагностики сосудистых опухолей проводится ангиопульмонография.
Прогноз и возможные осложнения
Прогноз при доброкачественных бластомах легких благоприятный в случае своевременного хирургического вмешательства. Новообразования этого типа редко рецидивируют.
Продолжительное развитие опухолевого процесса способствует снижению эластичности стенок легкого, вызывает закупорку бронхов. Из-за этого уменьшается объем кислорода, поступающего в организм. Крупные опухоли, сдавливая сосуды, провоцирую внутренние кровотечения. Ряд новообразований со временем трансформируются в рак.
Профилактика
Из-за отсутствия достоверных данных о причинах развития доброкачественных бластом в легких не разработаны специфические меры профилактики опухолей.
Чтобы снизить риск возникновения новообразований, рекомендуется отказаться от курения, сменить место жительства или работу (в случае если профессиональные обязанности предусматривают контакт с агрессивными средами), своевременно лечить заболевания органов дыхания.
Доброкачественные опухоли в легких длительное время развиваются бессимптомно. Большинство новообразований этого типа не оказывают значительного влияния на организм пациента. Однако по мере прогрессирования опухолевого процесса снижается эффективность работы легких и бронхов. Поэтому лечение бластом проводится с помощью хирургического вмешательства.
Источник:
Симптомы доброкачественной опухоли в легких
Существует немало видов доброкачественных опухолей в легких. При этом клетки могут претерпевать изменения и иметь признаки нарушения процесса дифференцирования. Они встречаются реже злокачественных.
Такие новообразования имеют тенденцию к медленной малигнизации.
В большинстве случаев доброкачественные опухоли в структурах легких выявляются случайно при проведении профилактического обследования.
Особенности и классификация
Часто доброкачественные новообразования в легких возникают из клеток, которые почти ничем не отличаются от функциональных. Формируясь из клеток, составляющих в норме орган, пораженный участок при этом не может полноценно выполнять свою функцию, т.е. новообразование не способно участвовать в процессах дыхания.
Доброкачественные опухоли легких приводят к постепенной атрофии окружающих тканей. Кроме того, они имеют склонность формировать вокруг себя псевдокапсулу из соединительной ткани. Таким образом, большинство новообразований такого типа отличаются округлой формой и плотной текстурой.

Существует несколько подходов к классификации легочных новообразований. В зависимости от локализации, новообразования бывают:
- периферическими;
- центральными;
- смешанными.
При центральном типе новообразование может разрастаться внутрь бронха или в сторону легочной ткани. Опухоли образовываются из следующих видов тканей:
- эпителиальной;
- зародышевой;
- нейродермальных;
- мезодермальных.
В зависимости от структуры, выделяется немало разновидностей опухолей, но наиболее часто встречающимся являются фибромы, аденомы, гамартомы и папилломы.
Симптомы и стадии образования
При доброкачественной опухоли легких симптомы зависят от стадии запущенности процесса и расположения. При периферическом расположении новообразование может не проявляться выраженной симптоматикой.
Если имеется предрасположенность к раку, часто она выявляется уже после появления признаков метастаз.
Если новообразование располагается вблизи бронхов, нервных окончаний или кровеносных сосудов, проявления зависят от размеров и стадии запущенности патологического процесса.
На первой стадии патологического процесса редко появляются какие-либо симптомы. Периодически человека может беспокоить кашель. Крайне редко отделяется мокрота с прожилками крови. При этом общее самочувствие человека не ухудшается.
На 2 стадии на фоне сужения просвета бронха пациентов могут беспокоить приступы кашля и удушья даже при незначительных физических нагрузках. У некоторых пациентов отмечаются боли в груди, повышенное отделение мокроты и кровохарканье. Нарушение процессов дыхания нередко становится причиной появления быстрой утомляемости и сильной слабости.
На 3 стадии патологического процесса клинические проявления уже более интенсивны. Наблюдается нарушение проходимости бронхов и нагноение. У пациентов появляются жалобы на одышку, сильные боли, кашель, сопровождающийся отхождением мокроты с примесями гноя и крови.
Причины возникновения и методы диагностики
Для уточнения диагноза проводится флюорография и рентгенография. Кроме того, выполняется КТ (компьютерная томография), осмотр бронхов методом торакоскопии.
Может потребоваться бронхоскопия и биопсия тканей. Часто делается исследование мокроты. На основании проведенных анализов назначается резекция, т.е. удаление пораженного участка бронхов или легких. В ряде случаев выполняется наложение межбронхиального анастомоза. Точные причины, почему формируется опухоль в легких, еще не установлены.
Факторы риска
Несмотря на то что еще не установлены точные причины формирования опухолей, выявлены многие факторы, которые способствуют развитию таких новообразований.
К ним относятся следующие:
- генетическая предрасположенность;
- случайные генные мутации;
- вирусные и бактериальные инфекции;
- влияние химических веществ;
- ионизирующее излучение;
- заболевания крови;
- бронхиальная астма;
- ХОБЛ и т.д.
Доброкачественные опухоли легких
содержание
Опухоли легких во многих случаях не являются злокачественными, т.е диагноз рак легких при наличии опухоли ставится не всегда. Нередко опухоль легких имеет характер доброкачественной.
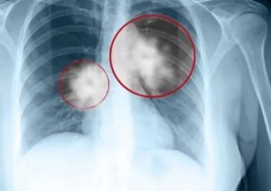
Узелки и точки в легких можно увидеть на рентгеновском снимке или компьютерной томографии. Они представляют собой плотные небольшие участки ткани круглой или овальной формы, окруженные здоровыми тканями легких. Узелок может быть один или несколько.
По статистике, новообразования в легких чаще всего оказываются доброкачественными, если:
- Пациент моложе 40 лет;
- Он не курит
- В узелке обнаружено содержание кальция;
- Узелок небольшого размера.
Доброкачественная опухоль легких появляется в результате аномального роста тканей и может развиваться в различных частях легких.
Определить, является ли опухоль легких доброкачественной или злокачественной очень важно.
И сделать это нужно как можно раньше, ведь раннее выявление и лечение рака легких существенно повышает вероятность полного излечения и, в итоге, выживания пациента.
Симптомы доброкачественной опухоли легких
Доброкачественные узелки и опухоли в легких обычно не вызывают никаких симптомов. Именно поэтому ни практически всегда диагностируются случайно во время рентгена грудной клетки или компьютерной томографии.
https://youtube.com/watch?v=aq9SjqeSkRI
Однако они могут стать причиной следующих симптомов болезни:
- Охриплость;
- Непрекращающийся кашель или кашель с кровью;
- Одышка;
- Лихорадочное состояние, особенно если болезнь сопровождается пневмонией.
2.Причины доброкачественных опухолей
Причины того, почему появляются доброкачественные опухоли легких, мало изучены. Но в целом они часто появляются после таких проблем со здоровьем, как:
Воспалительные процессы, возникшие из-за инфекции:
- Грибковые инфекции – гистоплазмоз, кокцидиоидомикоз, криптококкоз, аспергиллез;
- Туберкулез
- Абсцесс легкого
- Пневмония
Воспаление, не связанное с инфицированием:
- Ревматоидный артрит;
- Гранулематоз Вегенера;
- Саркоидоз.
- Врожденные патологии, такие как киста легких и другие.
3.Виды опухолей
Вот некоторые из наиболее распространенных типов доброкачественных опухолей легких:
- Гамартомы. Гамартомы – это наиболее распространенный тип доброкачественной опухоли легких и одна из частых причин образования одиночных легочных узелков. Этот вид мароморовидной опухоли легких образуется из тканей оболочки легких, а также жировой и хрящевой ткани. Как правило, гамартома располагается на периферии легких.
- Бронхиальная аденома. Бронхиальная аденома составляет около половины всех доброкачественных опухолей легких. Она представляет собой разнородную группу опухолей, которые возникают из слизистых желез и протоков трахеи или крупных дыхательных путей легких. Слизистая аденома – один из примеров истинной доброкачественной бронхиальной аденомы.
- Редкие новообразования легких могут появляться в форме хондром, фибром, липом – доброкачественных опухолей легких, состоящих из соединительной или жировой ткани.
Диагностика доброкачественных опухолей легких
Помимо рентгеновского обследования и компьютерной томографии для диагностики опухолей легких, о которых мы уже говорили, диагностика состояния здоровья пациента может заключаться в контроле динамики развития опухоли в течение нескольких лет.
Обычно такая практика используется, если размер узелка не превышает 6 мм и пациент не входит в группу риска по заболеванию раком легких. Если узелок остается того же размера, по крайней мере, два года, он считается доброкачественным.
Это связано с тем, что доброкачественные опухоли легких растут медленно, если вообще растут. Раковые опухоли, напротив, удваиваются в размере каждые четыре месяца.
Дальнейшее ежегодной наблюдение, по меньшей мере, в течение пяти лет поможет окончательно убедиться, что опухоль легких доброкачественная.
Доброкачественные узелки в легких обычно имеют гладкие края и более равномерный цвет по всей поверхности. Они более правильной формы, чем раковые узелки. В большинстве случаев для проверки скорости роста, формы и других характеристик опухоли (к примеру, кальцификации), достаточно рентгена грудной клетки или компьютерной томографии (КТ).
Но возможно, что Ваш врач назначит и другие исследования, особенно если опухоль изменила размер, форму или внешний вид. Это делается для того, чтобы исключить рак легких или определить основную причину появления доброкачественных узелков.
Для диагностики может потребоваться:
- Анализ крови;
- Туберкулиновые пробы, чтобы диагностировать туберкулез;
- Позитронно-эмиссионная томография (ПЭТ);
- Одноместное фото-излучение КТ (ОФЭКТ);
- Магнитно-резонансная томография (МРТ, в редких случаях);
- Биопсия – взятие образца ткани и дальнейшее его исследование под микроскопом, чтобы определить, является опухоль легких доброкачественной или злокачественной.
Биопсия может быть выполнена при помощи различных методов, например, аспирации иглой или бронхоскопии.
Лечение доброкачественных опухолей легких
Во многих случаях специфическое лечение доброкачественной опухоли легких не требуется. Тем не менее, удаление новообразования может быть рекомендовано в том случае, если:
- Вы курите, и узелок имеет большой размер;
- Проявляются неприятные симптомы заболевания;
- Результаты обследования дают основания полагать, что опухоль легких является злокачественной;
- Узелок увеличивается в размерах.
Если для лечения опухоли легких требуется операция, ее проводит торакальный хирург.
Современные методики и квалификация торакального хирурга позволяют выполнить операцию с небольшими разрезами, и сокращают время пребывания в стационаре.
Если удаленные узелок был доброкачественным, дальнейшее лечение не потребуется, за исключением тех случаев, когда наличие опухоли осложнялось другими проблемами, к примеру, пневмонией или обструкцией.

Иногда для лечения требуется более сложная инвазивная операция, в ходе которой удаляется узелок или часть легких. Какая именно операция будет необходима, решает врач, учитывая местоположение и тип опухоли.
Источник:



