Подробная расшифровка рентгенографии легких
› Исследования › Рентген ›
Рентгенография – информативный метод исследования внутренних органов и тканей, в том числе дыхательной системы. Но для постановки диагноза просто сделать снимок недостаточно, важна правильная расшифровка рентгена легких. Интерпретируя рентгенограмму, можно найти патологию, определить её этиологию, проследить динамику заболевания и оценить эффективность терапевтических мероприятий.
Протокол описания рентгенограммы лёгких врачом
Увидеть на снимке явные патологические образования смогут терапевт, пульмонолог и другие врачи.
Но для того чтобы детально расшифровать рентген легких, выявить малейшие отклонения от нормы, используют регламентированный алгоритм – протокол описания рентгенограммы.
Делает это врач узкой специализации – рентгенолог. Согласно с этим протоколом, анализ рентгенограммы включает следующие пункты.
- Название процедуры – наименование исследуемой области, проекция (прямая, боковая).
- Оценка симметричности лёгочных полей.
- Присутствие теней, свидетельствующих о патологии, их тип – очаговые, инфильтративные, диффузные. Если есть просветления, их тоже нужно указать в описании.
- Анализ лёгочного рисунка. Несоответствие нормальной картине говорит о проблемах с сосудами лёгких.
- Состояние корней лёгких. Фиксируется нарушение структурности лимфоузлов, оценивается состояние крупных бронхов.
- Тени органов средостения. Особое внимание уделяется теневому рисунку частей сердца и крупных сосудов – дуг желудочков, аорты, лёгочной артерии.
- Состояние диафрагмы и лёгочно-диафрагмальных углов – симметричность стояния органа, угол синуса, заполненность (присутствие выпота свидетельствует о плеврите).
Как правильно расшифровать рентген лёгких
При расшифровке снимка легких очень важно всё правильно описать. Рентгенологи должны учитывать качество снимка, наличие теневых областей на рентгенограмме, их расположение, размер и другие параметры.
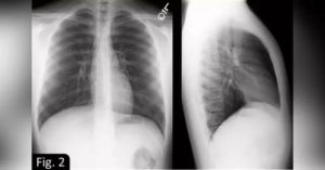
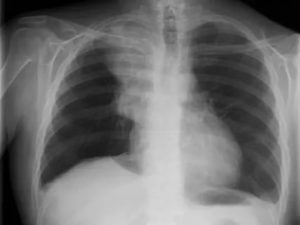
Стандартный рентген лёгких делают в двух проекциях. На них отчётливо просматриваются лёгочная ткань, кости (рёбра, ключицы, плечевой пояс), купола диафрагмы, накладывающиеся друг на друга тени сердца, сосудистого пучка, органов средостения, позвоночника, грудины.
Оценка качества снимка
На качество снимка рентгенографии могут повлиять различные факторы. Если нарушить технологию его выполнения, то в итоге можно неправильно поставить диагноз. Вот что влияет на качество изображения:
- несимметричное положение тела. Если нарушить требование симметричности, можно ошибочно поставить диагноз «смещение позвонков грудного отдела»;
- жёсткость/мягкость снимка;
- наличие артефактов (дополнительных теневых областей) и заболеваний, которые оказывают влияние на состояние грудной клетки пациента;
- охват. На изображении должны присутствовать рёберно-диафрагмальные синусы снизу и вёрхние лёгочные поля;
- лопатки пациента должны располагаться снаружи от грудной клетки. В противном случае расшифровка усложняется;
- изображения должны быть одноконтурными. Динамическая резкость говорит о том, что пациент дышал во время исследования. Такой снимок нельзя интерпретировать, его требуется переделать;
- уровень контрастности определяется полями, которые дают затемнение и просветление. На основании этого можно понять, является ли тёмный или светлый участок патологией, или это особенность проявителя снимка.
На снимок легких влияет направление рентгеновских лучей.
Расшифровка рентгена лёгких – особенности анализа грудной клетки
Порядок исследования при рентгенографии разных органов и систем различается. Рентген лёгких имеет такие особенности.
- Большое значение имеют правильные положение тела пациента и его постановка. При нарушении этого условия могут исказиться расположение лёгочных полей, раскрытие лопаток, в момент дыхательного акта – общая картина.
- Важно исключить попадание артефактов на снимок – украшений, пирсинга и подобных деталей. Они могут заслонить патологические очаги, помешать целостности восприятия изображения.
- Надо проконтролировать полноту захвата – на итоговой картинке должны присутствовать верхушки, поля, диафрагмальные синусы.
- Для получения информативного изображения следует регулировать силу рентгеновских лучей, исходя из телосложения человека, наличия жировых отложений. Для полных пациентов нужно увеличить дозу рентген-лучей.
Анализ анатомических структур на нормальной рентгенограмме лёгких
Лёгкие – это орган, наполненный воздухом. Рентгеновские лучи через него проходят практически беспрепятственно. Поэтому лёгочное поле будет выглядеть, как просветлённый участок, окрашенный на рентгенограмме в чёрный цвет. Твёрдые ткани (кости), наоборот, визуализируются белыми. Корни лёгкого, будучи более плотными, чем лёгочные поля, задерживают часть лучей, поэтому они немного светлее.
Тени на рентгене могут обозначать как нормальные образования, так и патологические. Задача врача – определить, является ли затенение чем-то опасным для пациента. Вот что можно увидеть на здоровых лёгких:
- костный скелет;
- лёгочные поля и лёгочный рисунок;
- корни лёгкого;
- средостение;
- тень сердца;
- купол диафрагмы.
Поля – однородные, рисунок – чёткий. Деление на доли или сегменты будет неразличимым.
Особенности анализа лёгочных полей
Если на рентгенограмме нет тёмных или светлых областей, то это не значит, что заболевания отсутствуют. Врач должен внимательно изучить лёгочные поля. Вот какие особенности требуется учитывать во время расшифровки:
- правое поле должно быть коротким и широким, а левое – узким и длинным;
- из-за сердца срединная тень должна быть слегка расширена влево;
- при описании оценивают три пояса – нижний, верхний и средний;
- уровень прозрачности можно определить по воздухо- и кровенаполнению, объёму паренхиматозной ткани органа;
- у женщин изображение может слегка перекрываться молочными железами;
- лёгочная плевра в нормальном состоянии не прослеживается, но становится заметной во время воспалительных процессов или при опухоли (при наличии патологий требуется выполнить дополнительно боковую рентгенограмму).
Лёгочные доли для удобства разделяют на сегменты: в правом лёгком их 10, в левом – 9. Если при расшифровке рентгенограммы выявлены отклонения, в заключении указывается номер сегмента, где они расположены, и тип патологии в соответствии с кодификатором:
- 01 – полость;
- 02 – затемнение, в проекции лёгких;
- 03 – очаговые тени, там же;
- 04 – увеличение тени средостения;
- 05 – плевральный выпот;
- 06, 07 – фиброз лёгочной ткани;
- 08 – увеличение прозрачности лёгочной ткани;
- 09, 10 – поражение плевры;
- 11-18 – петрификаты;
- 19 – патология диафрагмы;
- 20 – остаточные послеоперационные признаки;
- 21 – патологии скелета;
- 22 – инородное тело;
- 23 – патология сердечно-сосудистой системы;
- 24 – отклонения, не относящиеся к стандартным;
- 25 – пациент здоров;
- 26 – снимок забракован.
Описание снимка при онкологии
Опухоль на рентгене выглядит, как «плюс-ткань» или характерное затемнение. Её контуры, как правило, нечёткие, так как онкологическое заболевание прогрессирует, распространяясь на здоровые клетки. Чем темнее изображение, тем сильнее поражение тканей. Наличие округлых очертаний говорит о наличии в органе метастазов.
На второй стадии рака поражаются локальные лимфоузлы, это выражается в нарушении структурности корня лёгких. Лимфатические ткани увеличиваются в размерах, формируются метастазы.
На более поздних стадиях опухоль уже достаточно большая, распространяется на значительную часть органа. Усиливается лёгочный рисунок, поскольку растущее новообразование требует усиленного кровоснабжения, в связи с чем наблюдаются признаки гипертензии. Часто наблюдается плеврит – визуализируется контур плевры, просматривается патологический транссудат – жидкость в синусах органа.
Диагноз подтверждается при наличии сопутствующих симптомов – резкой потери массы, кахексии, симптомов интоксикации (повышенной температуры, слабости, вялости, утомляемости, сонливости, апатии). Часто болезнь диагностируется у курильщиков.
Особенности, погрешности
На рентгеновском снимке воспалительный и опухолевый процессы выглядят почти одинаково. При интерпретации изображения учитывают такие особенности типичной рентгенограммы опухоли:
- лёгочный рисунок – не меняется;
- в прилежащих отделах тени отсутствуют или являются одиночными;
- поражённые ткани имеют бугристую поверхность, лучистые контуры;
- корни лёгких изменены только на последних стадиях;
- тени имеют однородный оттенок.
Рентгенограмма при пневмонии
Пневмония, или воспаление лёгких, отчётливо просматривается на рентгене. Правда, на начальной стадии могут возникнуть сложности. Вот что можно увидеть на снимке при воспалительном процессе:
- очаги воспаления в виде затенений различного размера;
- уровень поражения органа;
- воспалённую плевру и бронхиальное дерево;
- расширение корня лёгкого, как реакцию лимфатической системы на заболевание;
- усиление лёгочного рисунка.
Очаги воспаления могут иметь размеры до 1,5 см. Форма инфильтрата может быть любой. Размер поражённой области оценивается на фронтальном и боковом снимках.
Что можно увидеть на снимке курильщика
У курильщиков со стажем обычно развивается хроническая обструктивная болезнь лёгких. При этом лёгочный рисунок будет усилен, особенно в нижних отделах. Компенсаторно встречаются участки просветления – эмфизема.

У курильщиков увеличивается размер между рёбрами, диафрагма постепенно опускается, а купола – сглаживаются. Угол между ребром и диафрагмой постепенно превращается из острого в прямой. Как результат, возникает гипоксия, или дефицит вентиляции лёгких. При этом орган не может нормально выполнять свою функцию.
Что не описывает расшифровка рентгеновских снимков лёгких
Не всё можно диагностировать при помощи рентгена. В частности, на снимке не получится увидеть следующее:
- небольшие злокачественные новообразования, размер которых – менее 5 мм (на ранней стадии онкологии нужно применять компьютерную томографию для визуализации поражённых участков);
- тромб, размер которого менее 5 мм;
- стелющиеся опухоли.
Где и как можно получить мнение независимого врача по вашему снимку
Если есть сомнения в квалификации врача, пациент имеет право на обращение к другому специалисту. Для этого надо взять снимок и записаться на приём к врачу этого же или другого медицинского учреждения.
Не исключено, что потребуется пройти повторное обследование, чтобы исключить вероятность ошибки.
Сравнив результаты, можно понять, действительно ли речь идёт, например, о новообразовании, или это был артефакт на снимке.
Подробная расшифровка рентгенографии легких Ссылка на основную публикацию
Источник:
Затемнения в легких на рентгене
Анатомическое строение легких, их способность наполняться воздухом, беспрепятственно пропускающим рентгеновское излучение, позволяет получить при проведении рентгеноскопии, снимок, в деталях отражающий все структурные элементы легких.
Однако, затемнение в легких на рентгене, далеко не всегда отображает изменения в тканях самого легкого, поскольку на уровне легких находятся другие органы грудной клетки и, следовательно, пучок излучения, проходя сквозь тело, проецирует на пленке наложенное друг на друга изображение всех органов и тканей, попадающих в его диапазон.
В связи с этим, при обнаружении любого затемненного образования на снимке, перед тем как ответить на вопрос, что это может быть, необходимо провести четкую дифференцировку локализации патологического очага (в тканях грудной клетки, диафрагме, плевральной полости или, непосредственно, в легких).
Основные синдромы на рентгенограмме
На рентгенографическом снимке, выполненном в передней проекции, контуры легких образуют легочные поля, по всей площади, пересекаемые симметричными тенями ребер.
Крупная тень, между легочными полями образуется совокупным наложением проекции сердца и магистральных артерий.
В пределах контура легочных полей, можно увидеть корни легких, расположенные на одном уровне с передними концами 2 и 4 ребер и незначительное затемнение площади, вызываемое богатой сосудистой сетью, располагающейся в ткани легких.
Все патологические изменения, отражаемые на рентгене можно разделить на три группы.
Затемнения
Появляются на снимке, в тех случаях, когда здоровая часть легкого замещается патологическим образованием или веществом, вызывая вытеснение воздушной части более плотными массами. Как правило, наблюдается при следующих заболеваниях:
- закупорка бронха (ателектаз);
- накопление воспалительной жидкости (пневмония);
- доброкачественное или злокачественное перерождение тканей (опухолевый процесс).
Изменение легочного рисунка
Эту группу изменений можно считать наиболее распространенной. Несмотря на огромный перечень патологий легких, все возможные изменения рентгенологической картины можно отнести к одному из 5 синдромов:
- тотальное (полное) или субтотальное (практически полное) затемнение;
- ограниченное затемнение;
- круглая (шаровидная) тень;
- кольцевидная тень;
- очаговое затемнение.
Просветления
Просветления на снимке отражают уменьшение плотности и объема мягких тканей. Как правило, подобное явление имеет место при образовании в легком воздушной полости (пневмоторакс).
В связи со специфическим отражением результатов рентгенографии на фотобумаге, участки, легко пропускающие излучение, отражаются более темным цветом вследствие более интенсивного воздействия рентгена на ионы серебра, содержащиеся в фотобумаге, участки более плотной структуры имеют светлую окраску. Формулировка «затемнение» на снимке фактически отражается в виде светлого участка или очага.
На рентгеновском снимке легочный рисунок здоровых легких
Синдром тотального затемнения
Тотальное затемнение легкого на рентгеновском снимке представляет собой полное или частичное затемнение (не менее 2/3 легочного поля). При этом возможны просветы в верхней или нижней части легкого.
Основными физиологическими причинами проявления такого синдрома являются отсутствие воздуха в полости легкого, увеличение плотности ткани всей поверхности легкого, содержание в плевральной полости жидкости или какого-либо патологического содержимого.
К болезням, способным вызвать подобный синдром можно отнести:
Что такое бронхоскопия?
- ателектаз;
- цирроз;
- экссудативный плеврит;
- пневмония.
Для осуществления дифференциальной диагностики заболеваний, опираться необходимо на два основных признака. Первый признак заключается в оценке расположения органов средостения.
Оно может быть правильным или со смещением, обычно в сторону противоположную очагу затемнения.
Основным ориентиром при выявлении оси смещения является тень сердца, находящаяся большей частью левее средней линии груди, а меньшей правее, и желудок, наиболее информативной частью которого, является воздушный пузырь, всегда четко просматриваемый на снимках.
Второй признак, позволяющий идентифицировать патологическое состояние – это оценка однородности затемнения. Так, при однородном затемнении, с высокой долей вероятности можно диагностировать ателектаз, а при неоднородном – цирроз.
Расшифровка результатов, полученных при помощи рентгенографического метода, заключается в комплексной оценке всех визуально обнаруженных патологических элементов в сопоставлении с анатомическими особенностями каждого конкретного пациента.
Синдром ограниченного затемнения
Для выявления причин появления ограниченного затемнения легочного поля, необходимо выполнить снимок в двух направлениях – в прямой проекции и боковой.
По результатам полученных изображений, важно оценить какова локализация очага затемнения.
Если тень на всех снимках находится внутри легочного поля, и сходится размерами с его контурами или имеет меньший объем, логично предположить поражение легкого.
При затемнении, примыкающем широким основанием к диафрагме или органам средостения можно диагностировать внелегочные патологии (жидкостные включения в плевральной полости). Другой критерий оценки ограниченных затемнений – это размер. В этом случае следует рассматривать два возможных варианта:
- Размер затемнения четко повторяет контуры пораженной части легкого, что может свидетельствовать о воспалительном процессе;
- Размер затемнения меньше нормальных размеров, пораженного сегмента легкого, что говорит о циррозе легочной ткани или закупорке бронха.
Особо следует выделить случаи, при которых имеется затемнение нормальных размеров, в структуре которых прослеживаются светлые очаги (полости). В первую очередь, в этом случае, необходимо уточнить, содержится ли в полости жидкость.
Для этого выполняют серию снимков в различных положениях больного (стоя, лежа или при наклоне) и оценивают изменения в уровне, предполагаемой верхней границы жидкостного содержимого.
Если жидкость присутствует, диагностируют абсцесс легкого, а если ее нет, то вероятный диагноз – туберкулез.
Важно! Обнаружение нескольких полостей при ограниченном затемнении легкого характерно для пневмонии, вызванной стафилококком. Такое поражение имеет неблагоприятный прогноз, и часто лечение возможно только с помощью оперативного вмешательства.
На рентгеновском снимке ограниченное затемнение легких в двух проекциях
Синдром круглой тени констатирую тогда, когда пятно на легких имеет круглую или овальную форму на двух выполненных перпендикулярно друг другу снимках, то есть спереди и сбоку. Для расшифровки результатов рентгенографии при обнаружении круглой тени опираются на 4 признака:
- форма затемнения;
- локализация затемнения относительно близлежащих органов;
- четкость и толщина ее контуров;
- структура внутреннего поля тени.
Поскольку тень, отраженная на снимке, в пределах легочного поля, может в действительности находиться за его пределами, оценка формы затемнения может существенно облегчить диагностику.
Так, округлая форма характерна для внутрилегочных образований (опухоль, киста, инфильтрат, наполненный воспалительным содержимым).
Овальная тень в большинстве случаев является результатом сдавливания круглого образования, стенками легкого.

Высокую информативность имеет, и структура внутреннего поля тени.
Если при анализе результатов, очевидна неоднородность тени, например, более светлые очаги, то с высокой степенью вероятности, можно диагностировать распад некрозированной ткани (при распадающемся раке или распаде туберкулезного инфильтрата) или формирование полости. Более темные участки, могут говорить о частичной кальцинации туберкуломы.
Четкий и плотный контур, свидетельствует о наличии фиброзной капсулы, характерной для эхинококковой кисты. К синдрому круглой тени относят только те тени, которые имеют в диаметре более 1 см, тени меньшего диаметра считаются очагами.
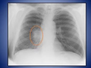
Синдром кольцевидной тени
Кольцевидное пятно на легком на рентгене, является наиболее простым для выполнения анализа синдромом. Как правило, кольцевидная тень появляется на рентгене в результате формирования полости, наполненной воздухом.
Обязательным условием, при котором обнаруженное затемнение относят к синдрому кольцевидной тени – это сохранение замкнутого кольца при выполнении снимков во всех проекциях и в различных положениях тела пациента.
Если хотя бы на одном из серии снимков кольцо не будет иметь замкнутое строение, тень можно считать оптической иллюзией.
При обнаружении полости в легком следует оценить равномерность и толщину ее стенок. Так, при большой и равномерной толщине контура, можно предполагать воспалительное происхождение полости, например, туберкулезная каверна.
Аналогичная картина наблюдается при абсцессе, когда происходит гнойное расплавление тканей с удаление содержимого через бронхи.
Однако при абсцессе, остатки гноя, чаще всего, продолжают находиться в полости и их полное удаление довольно редкое явление, поэтому обычно такая полость – это туберкулезная каверна.
Неравномерно широкие стенки кольца свидетельствуют о процессе распада рака легкого. Некротические процессы в опухолевой ткани, могут вызвать образование полости, но поскольку некроз развивается неравномерно, опухолевые массы остаются на внутренних стенках полости, создавая эффект «неравномерности» кольца.
Важно! Основной сложностью при оценке кольцевидной тени, является определение локализации образования, так как в большинстве случаев подобный синдром наблюдается при внелегочных процессах (деформация ребер, газы в кишечнике, газы в плевральной полости).
На снимке кольцевидная тень определяется в нижней доле правого легкого
Пятна на легких размером более 1 мм и менее 1 см считаются очагами.
На рентгеновском снимке можно увидеть от 1 до нескольких очагов, расположенных на значительном расстоянии друг от друга или группой.
Если площадь распределения очагов не превышает по площади 2 межреберных пространства, поражение (диссеминация) считается ограниченным, а при распределении очагов на большей площади – диффузным.
Основными критериями оценки очаговых затемнений считаются:
- площадь распространения и расположение очагов;
- контуры затемнений;
- интенсивность затемнений.
При расположении одного или нескольких затемнений в верхних отделах легкого – однозначный признак туберкулеза.
Множество очагов при ограниченном распространении является признаком очаговой пневмонии или результатом распада туберкулезной каверны, расположенной, как правило, несколько выше обнаруженных очагов.
В последнем случае, на снимке может наблюдаться еще и круглая или кольцевидная тень.
В качестве причины появления одиночного затемнения в любой части легкого, в первую очередь, рассматривают вероятность развития рака или метастаза опухоли. Об этом же свидетельствуют четкие контуры тени. Нечеткие контуры свидетельствуют о воспалительном происхождении затемнений.
Для оценки интенсивности затемнений, их сравнивают с изображением сосудов, визуализирующихся на снимке.
Если выраженность очага уступает тени сосуда – это малоинтенсивное затемнение, характерное для очаговой пневмонии или инфильтрированного туберкулеза.
При среднем и сильном затемнении очага, когда выраженность равна или темнее сосудистого рисунка, можно судить о затухании туберкулезного процесса.

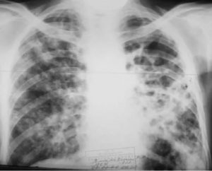
Поскольку обширная диссеминация очагов может свидетельствовать о более 100 заболеваниях, для разграничения причин, следует оценивать размеры затемнений. Так, мельчайшие очаги, покрывающие всю площадь легкого, могут означать пневмокониоз, милиарный туберкулез или очаговую пневмонию.
На снимке мелкоочаговые затемнения
Важно! Независимо от того, какие изменения наблюдаются на рентгеновском снимке легких, при анализе результатов следует учитывать присутствие нормального легочного рисунка, для которого характерно присутствие теней сосудистой системы.
В подавляющем большинстве случаев на основании рентгенографии легких нельзя поставить окончательный диагноз, так как анализ полученного снимка позволяет выявить лишь синдром, характерный для того или иного заболевания.
Если рентген показал затемнение какого-либо участка, то для уточнения диагноза и оценки динамики развития болезни, необходимо провести комплекс лабораторных исследований и дополнительную диагностику с помощью МСКТ, бронхографии, биопсии и т. д.
Источник:
Затемнение в легких: о чем свидетельствует изменение?
О чем свидетельствуют затемнения различного характера в легких.
Флюорография легких – это обязательное мероприятие в рамках ежегодного профилактического осмотра. Она необходима для того, чтобы своевременно выявить патологические состояния легких и начать их лечение как можно раньше.
Нередко, на снимках бывают заметными некоторые области затемнения в легких. Большинство пациентов, узнав об этом, начинают паниковать.
Тем не менее, паника – не всегда уместна, ведь требуется определить причину подобного изменения. Не всегда затемненные области органа на флюорографии являются показателями серьезного патологического процесса – они могут возникать исходя из множества причин.
Что такое затемнение легких?
Легочные патологии по большей части сопровождаются возникновением областей с уплотненными легочными тканями – данное явление возникает вследствие понижения либо полного отсутствия воздушной проходимости на определенных зонах органа, что отображается на рентгеновском снимке в качестве затемненного участка. Описанное симптоматическое проявление способно указывать на патологические процессы как непосредственно в тканях, так и за пределами органа.
Всегда ли затемнения на флюорографии являются поводом для беспокойства.
Изменения, которые возникли вследствие патологических процессов легочных тканей, могут иметь отличия по собственной интенсивности, количеству, размерным данным и четкости границ.
Изменения способны указывать на следующие патологии:
- воспалительные процессы и последующее уплотнение тканей;
- опухолевые новообразования;
- спадание, которое образовало непроходимый для воздуха участок;
- прогрессирование туберкулезной инфекции;
- жидкость в плевральной полости;
- воспалительные процессы плевральной области, в том числе и гнойные (абсцессы).
Изменения легких, которые возникают под влиянием нарушений в прочих органах, также могут отображаться на снимках.
К подобным нарушениям относятся такие:
- новообразования ребер и позвоночника;
- нарушения в области пищевода, к примеру – его расширение;
- увеличение размеров лимфатических узлов.
Перечисленные причины затемнения в легких на рентген снимке не говорят о каких-либо патологических процессах непосредственно в дыхательных органах.
Какие бывают типы изменений?
Распространенные типы изменений.
В зависимости от типа затемнения на рентгеновском снимке определяется происхождение пятна.
В целом выделяется несколько видов потемнений органа, видимых на флюорографическом снимке:
Основные разновидности признаков, проявляющихся на рентгенограммеТип измененийОписаниеОчаговые
Пятна часто имеют незначительные размеры. Могут свидетельствовать о развитии патологий сосудов.

Подобные изменения могут указывать на развитие таких патологий как:
- туберкулез;
- инфаркт легкого;
- периферический рак.
ДолевыеМожет указывать на развитие гнойного процесса.Фокусные
Единичные пятна характерны для:
- пневмонии;
- туберкулез;
- киста;
- абсцесс.
Неопределенная форма
Изменения неопределенной формы могут проявляться при следующих патологиях:
- пневмония;
- инфаркт легкого;
- плеврит;
- опухоль.
Сегментарные
Могут проявляться в результате:
- раковых образований;
- образований доброкачественного характера;
- распространение метастаз;
- туберкулез.
В зависимости от характера образования и предполагается патология, которая его спровоцировала. На основании данной информации можно сделать вывод о том, что рентгенография является недостаточно информативным методом обследования.
Очаговое затемнение легочных тканей
Какие методы позволят определить точный диагноз.
Очаговые изменения представлены небольшими, до 1 сантиметра, пятнами-узелками. Они возникают при течении воспалительных и опухолевых процессов легких, а также по причине нарушений сосудистого характера.
Указанное затемнение в легких может являться намеком на развивающееся заболевание дыхательного органа. Руководствуясь исключительно рентгеновским снимком нельзя точно указать на причину-источник возникновения очага и его характер.
По этой причине назначаются вспомогательные варианты обследований, в том числе компьютерная томография и еще одна рентгенография. Кроме указанного, пациенту требуется сдать анализы мочи, крови и мокроты.
Когда очаговые затемнения на флюорографическом отображении легкого сопровождаются некоторыми симптоматическими проявлениями, то есть:
- слабостью общего характера;
- болезненностью области грудной клетки;
- продуктивным либо непродуктивным кашлем;
- болями головы;
- повышениями показателей общей температуры тела.
Возможно предположить наличие пневмонии – то есть воспалительного процесса легочных тканей, который спровоцирован каким-то инфекционным поражением. Когда после исследования крови не было обнаружено каких-либо отклонений от нормы, возможно предположить наличие очагового туберкулеза.
При этом пациент замечает за собой следующее:
- отсутствие аппетита;
- слабость общего характера;
- повышенная беспричинная раздражительность;
- болезненность области грудной клетки;
- сухой, то есть непродуктивный, кашель.
Важно! При подозрении на туберкулез назначается ряд вспомогательных диагностических мероприятий. Клиническая картина в комплексе с данными рентгенографии позволяет определить диагноз пациента.
Инфаркт легкого достаточно часто выражается тромбофлебитом нижних конечностей, болезненностью сбоку, кровохарканием и сердечными патологиями. Малый периферический рак определяется на снимке флюорографии сразу.
Перечисленные патологические процессы являются наиболее распространенными причинами возникновения на флюорографическом снимке теней очагового характера.
Круглые, иначе – фокусные
Единичные, то есть – одиночные круглые тени размером большим, чем 1 сантиметр, могут являться признаками разнообразных заболеваний. Они требуют более внимательного и тщательного исследования для установления истинного диагноза.
Подобные фокусные проявления на флюорографическом снимке могут свидетельствовать о таких патологических состояниях, как:
- Воспалительные процессы легочных тканей, то есть – пневмонии;
- Эозинофильный инфильтрат, которым может иметь отношение к паразитарному поражению организма, приему различных медикаментозных лекарственных средств, астмой бронхиальной и прочими причинами.
- Туберкулома.
- Абсцессы.
- Локальный выпот, то есть повышение объемов жидкостей в легочных тканях.
Причинами пятен круглой формы, отображающихся на рентгенограмме, могут выступать кистозные образования врожденного либо приобретенного характера. Они могут быть заполненными воздушными массами либо жидкостью.
Когда проявление изменений не является опасным.Важно! Указанные затемнения могут быть вызваны опухолевыми образованиями, как злокачественного, так и доброкачественного характера.
К доброкачественным новообразованиям относятся такие:
К новообразованиям злокачественного характера относятся саркома.

Шарообразна костная мозоль, образовавшаяся вследствие перелома ребра либо островных реберных участков, также может становиться причиной фокусной тени на флюорографическом снимке. Указанный фактор должен всегда приниматься в расчет в ходе расшифровки полученного рентгеновского изображения.
Основные причины проявления подобных изменений на снимках подробно рассмотрены в видео в этой статье.
Затемнение сегментарного характера
Какие методы обследования органов могут использоваться.
Затемнение может быть локализированным, то есть быть представленным обособленными сегментами разнообразной формы, в основном – сегменты имеют сходные с треугольником, границы.
Подобных участков может быть отображено на флюорографическом снимке несколько и окончательный диагноз ставится исключительно после выполнения комплексного обследования.
Затемнение обособленных сегментов на 1 либо двух легких может повествовать о таких патологических состояниях, как:
- Эндобронхиальные опухолевые образования, которые могут носить как доброкачественный, так и злокачественный характер.
- Инородном теле, которое находится в легочной полости.
- Механическом повреждении легочных тканей.
Присутствие нескольких сегментарных теней на рентгеновском снимке дыхательного органа может говорить о таких патологических изменениях:
- Воспалительные процессы легочных тканей острого характера – пневмония.
- Туберкулез либо прочие негативные процессы воспалительного характера.
- Воспалительные процессы легочных тканей хронического характера, то есть – хроническая пневмония.
- Центральный рак.
- Стеноз, то есть – сужение центрального бронха.
- Метастазы образований злокачественного характера в прочих органах.
- Скопление малых объемов жидкостного содержимого в плевральной полости.
Не всегда несколько сегментарных теней на рентгеновском снимке дыхательных органов говорит о том, что у пациента имеется заболевание, которое несет прямую угрозу жизни.
Затемнения на снимке, имеющие неопределенную форму
Затемнения на рентгеновских снимках дыхательных органов, которые не имеют определенной формы и четких границ наиболее часто являются отображением пневмонии, которая была спровоцирована стафилококком.
У указанного патологического процесса имеется две формы – первичная и вторичная:
- Первичная форма возникает по причине наличия воспалительных процессов, которые протекаю в бронхах либо легочных тканях.
- Вторичная форма патологического процесса возникает вследствие гематогенного занесения из любого очага гнойного воспаления, который присутствует в организме пациента.
Какие заболевания могут провоцировать проявление неопределенных затемнений на снимке.Факт! Данный очаг может быть представлен аднекситом, остеомиелитом и прочими заболеваниями. В последние несколько лет, воспаление легких стафилококкового происхождения стало достаточно распространенным явлением.
Подобное затемнение также может свидетельствовать о таких состояниях патологического характера, как:
- кровоизлияния;
- опухолевые процессы легких;
- скопление жидкости;
- инфаркт легкого и прочие.
Определить точную причину возникновения подобных теней на рентгеновском снимке без проведения вспомогательных типов исследования невозможно.
К примеру, такие тени могут свидетельствовать о воспалительных процессах легких либо подтверждать наличие выпота в плевральной полости, особенно при условии наличия таких симптоматических проявлений, как:
- боли головы;
- слабость общего характера;
- интенсивные приступы кашля;
- повышенные показатели общей температуры тела.
Руководствоваться одним лишь рентген-снимком (на фото) в ходе постановки окончательного диагноза врач не имеет права, так как вероятность допущения ошибки крайне велика.
Рентгенография не всегда является информативным методом обследования.
Инструкция всегда требует проведения дополнительных мероприятий, это необходимо, потому что цена ошибки может быть достаточно высокой.
Затемнение долевого характера
При затемнение долевого характера, контуры тени достаточно четкие и хорошо определяются на рентгеновских снимках.

Они могут иметь различные формы:
- вогнутую;
- выгнутую;
- выпуклую;
- прямолинейную и прочие формы.
Долевое затемнение легких может являться признаком любого патологического процесса с хроническим характером течения. При томографическом исследовании легко определяются такие заболевания, как бронхоэктомия, цирроз, заболевания гнойного характера и прочие.
Долевые затемнения.
Все перечисленные процессы патологического характера на томографических снимках легко отличаются от образований онкологического характера. По этой причине необходимость точного выявления злокачественного новообразования образуется лишь при обнаружении обструктивных процессов бронхиального дерева – воспалительное либо же рубцовое образование.
Важно! Доброкачественные и злокачественные опухолевые процессы зачастую возникают в промежуточном бронхе, и при этом затемняется либо средняя, либо нижняя доля дыхательного органа.
С присутствием жидкости
Затемнения на рентгеновском снимке подобного типа могут указывать на развивающийся отек дыхательного органа. Данное явление может происходить по причине высоких показателей кровяного давления в капиллярах легких либо же при заниженном содержании белка в крови.
Жидкость является препятствием для нормального функционирования органа дыхания. Отек может быть двух видов и имеет прямую зависимость от провоцирующих факторов.
После выявления затемнений в легких врач должен определить необходимость проведения других диагностических мероприятий.
Гидростатический отек дыхательного органа может быть спровоцирован завышением показателей внутрисосудистого давления, что становится причиной повышения рисков выхода жидкостной составляющей из сосуда.
При этом жидкость поступает в альвеолу, конечную часть аппарата дыхания, тем самым происходит заполнение.
Подобная патология может образоваться при диагностированной ишемической болезни сердечной мышцы либо прочих сердечнососудистых заболеваний.
Мембранозный отек образуется вследствие влияния токсинов, которые способны нарушить стенки альвеол и выйти во внесосудистое пространство дыхательного органа. Следует учитывать, что на рентген-снимках может быть обнаружено не только затемнение, но и белое пятно.
Читать далее…
Источник:
Что показывает рентген легких? Грамотная расшифровка рентгена легких
Одним из лучевых методов диагностики внутренних органов является просвечивание рентгеновскими лучами, или рентгенография. Полученное изображение наносится на жесткий диск, специальную пленку или бумагу.
Цель назначения обследования
Рентгеноскопия легких – это самый распространенный и информативный метод исследования. Этот способ диагностики позволяет выявить наличие заболеваний органов дыхания:
С целью профилактики легочных болезней у граждан, занятых на вредных производствах (химическая промышленность, строительство (каменщики), горнодобывающие работы (шахтеры) и др.), раз в год (при необходимости чаще) проводится рентген легких. Что показываютрезультаты исследований в таких случаях?
Ответ рентгеноскопии позволяет своевременно предупредить или распознать заболевание и назначить необходимую лекарственную или иную терапию.
Влияние облучения на организм человека
Просвечивание лучами рассматривается как радиационное воздействие, и некоторые люди отказываются от проведения данной процедуры. Однако это напрасно, в медицине используются лучи низкой энергии, доза облучения ничтожно мала, и тело человека подвергается их воздействию малый период.
Еще несколько лет назад учеными было доказано, что даже неоднократные проведения рентгенографии (при медицинских показаниях) не способны навредить здоровью. В некоторых случаях эту процедуру назначают и беременным женщинам. Серьезные болезни, которые с помощью рентгена можно диагностировать, имеют более тяжкие последствия, чем минимальная доза радиации.
В качестве альтернативы обычному традиционному рентгену в настоящее время доступен и цифровой с еще меньшей дозой облучения.
https://youtube.com/watch?v=fg6qasx_3Ic
Рассмотрим симптомы, при которых лечащий доктор назначает рентген легких. Что покажетснимок, от этого будет зависеть тактика дальнейшего ведения пациента.
- Периодические боли в области грудины.
- Одышка.
- Высокая температура тела, которая держится длительное время.
- Кровь в мокроте.
- Длительный изматывающий кашель.
- Большое количество отделяемой мокроты.
- Сухой кашель.
С целью профилактики флюорография, или рентген, показана всем гражданам с периодичностью не реже одного раза в два года или чаще в соответствии с рекомендациями медицинского работника.
Подготовка и проведение процедуры
Направление на рентген легких выписано, как же подготовиться к нему? Предварительной подготовки не требуется. Перед проведением процедуры надо снять украшения (цепочки, бусы, колье), чтобы они не исказили результат.
Непосредственно перед процедурой медицинский работник попросит вас надеть специальную запахивающуюся на талии юбку для защиты половых органов от облучения. Далее доктор выбирает необходимую проекцию (переднюю, заднюю или иногда снимок делается в положении лежа на боку).
В зависимости от того, на каком оборудовании выполнялся рентген легких, результаты будут мгновенными (цифровой метод) или через некоторое время после обработки и проявки пленки.
Сделали рентген легких? Что показывает расшифровка, рассмотрим ниже:
- Дефекты диафрагмы.
- Наличие в плевральной полости жидкости. Исключают опухоль или плеврит.
- Полость в легком свидетельствует о некрозе легочной ткани. Диагностируют туберкулез, рак или абсцесс.
- Очаговые затемнения мелкие являются признаками пневмонии, туберкулеза. Крупные – опухоль бронхов, метастазы в легкие.
- Мелкие очаги, встречающиеся очень часто, – саркоидоз или туберкулез.
- Большая тень круглой формы – туберкулез в стадии прогрессирования или злокачественное новообразование.
За исключением вышеперечисленного, обнаруживают и другие изменения легочной ткани и легких, которые помогают поставить верный диагноз и назначить лечение.
К сожалению, бывают случаи и ложного результата, или в случаях проведения исследования на ранних стадиях болезни ее можно не увидеть.
Для точного заключения в дополнение к полученным результатам кроме рентгена используют и другие методы диагностики, а также проводят необходимые лабораторные исследования.
Затемнения на рентгеновском снимке
Рентген показал пятна на легких? Причинами их появления могут быть: неправильное положение пациента во время процедуры, некачественное оборудование, наличие патологии. Точную расшифровку данных рентгенографии может сделать только врач.
Образования в виде белых пятен говорят о наличии туберкулеза, бронхита, пневмонии, патологии в плевре, профессиональных заболеваний. В случае если человек переболел бронхитом, воспалением легких, то на рентгеновском снимке можно обнаружить пятна. Их расценивают как остаточные проявления болезни, и они через некоторое время исчезнут.
Если светлые пятна обнаруживаются в верхних отделах легкого, то диагностируют туберкулез, основным признаком на первой стадии которого является светлая дорожка, идущая от места, где имеется воспалительный процесс, к корневой системе. При своевременном и правильном лечении воспаление уменьшается и ткани подвергаются рубцеванию. На снимке вместо белого появляется темное пятно.
Если снимокрентгена легких показывает, чтовидны черные пятна, это говорит об обострении и наличии хронического воспаления легких.
После курса медикаментозного лечения и полного выздоровления пятна исчезают. Темные образования могут быть причиной и злокачественных патологий.
Выявление темных пятен у практически здорового человека свидетельствует о многолетнем курении, у детей – об инородном теле.
Показывает ли рентген воспаление легких?
Рентгеновское исследование при пневмонии это и метод выявления болезни, и контроль за ее течением. Для того чтобы распознать пневмонию, надо знать, как выглядят пятна на снимках при такой патологии. Они могут отличаться размерами и расположением:
- глобальные пятнистые образования на всей поверхности легких;
- субтотальные – полностью все поля (исключение – верхние доли);
- сегментарные – пятна в границах сегмента;
- мелкие пятнистые образования до 3 мм с ограниченными полями.
В результате развития воспалительного процесса в легких человека образуются нечеткие с размытыми контурами пятна и рентген показывает воспаление легких. Проявление пятнистых образований зависит от стадии заболевания. Более выражены пятна в запущенных случаях.
Рентгеновский снимок при бронхите
Симптомы болезни сходны с пневмонией. Для подтверждения диагноза при затяжном течении болезни назначают определенные виды обследований, в том числе и рентгенографию, которая позволит оценить состояние органов дыхательной системы и уточнить диагноз. Симптомы у пациента, при которых показана флюорография (рентген легких показывает бронхит в этом случае):
- изменение в крови, по данным лабораторных исследований;
- сильная постоянная одышка;
- длительное повышение температуры тела;
- предположение воспаления в легких;
- признаки обструкции.
По результатам проведенного исследования на рентгеновских снимках обращают внимание на следующие моменты в легких:
- нечеткие контуры;
- наличие деформации корня;
- изменения в рисунке;
- наличие пластинчатых очагов;
- участки скопления жидкости.
Мнения специалистов об информативности рентгеновских снимков при выявлении заболевания бронхит разделились. Однако этот вид исследования широко применяется в практической медицине.
Рентгенография при туберкулезе
При подозрении на это тяжелое заболевание данный вид обследования легких позволит исключить или подтвердить патологию. Преимуществами рентгеноскопии при туберкулезе легких является возможность:
- провести различную диагностику болезни;
- исключить другие патологии органов дыхания, например пневмонию, рак, абсцесс и другие;
- определить характер повреждения тканей легкого;
- увидеть распространенность поражения;
- посмотреть расположение патологических очагов.
Поэтому на вопрос,покажет ли рентген туберкулез легких, можно ответить утвердительно. Однако это не исключает проведение дополнительных манипуляций для точного подтверждения диагноза. На рентгеновских снимках выявляют разные виды туберкулеза:
- внутригрудных лимфатических узлов;
- диссеминированный;
- очаговый;
- инфильтрационный;
- казеозная пневмония;
- фиброзно-кавернозный;
- цирротический.
Показывает ли рентген рак легких?
Это заболевание является одним из грозных недугов человека в последние десятилетия. Рентген грудной клетки считается диагностическим методом выявления этой патологии на самых ранних этапах ее развития. Признаками или симптомами болезни могут быть:
- вялость, постоянная сонливость и слабость;
- работоспособность на нуле;
- регулярные лихорадки при видимом благополучии;
- одышка;
- дыхание со свистом;
- затяжной кашель, который не поддается терапии;
- выделение мокроты с кровью;
- отсутствие аппетита;
- при приступах кашля наличие болевого синдрома.
Для исключения заболевания доктор назначает обследование. Рентген покажет рак легкихобязательно, так как этот метод высокоинформативный. В зависимости от вида опухоли и ее расположения будет разная картина на рентгенологических снимках. Для постановки точного диагноза лечащий доктор проведет дополнительные обследования и, оценив общее состояние пациента, назначит адекватную терапию.
Рентгенография легких у детей
Если вашему ребенку назначили рентген, то следует ознакомиться со следующими моментами:
- имеется ли альтернативный вид обследования;
- есть ли жизненная необходимость проведения данной процедуры.
В случае сомнений получите консультацию у другого специалиста.

Подрастающему поколению в исключительных случаях назначают рентгенографию. В основном, когда это единственная манипуляция, при помощи которой существует возможность исключить или подтвердить диагноз. В кабинет вместе с ребенком заходит и один из родителей.
Для того чтобы снизить негативное воздействие облучения, все участки тела малыша и его представителя защищают свинцовыми экранами. Процедура длится несколько минут, и ваш малыш не устанет.
Если рентген легких показывает, что очаг патологии присутствует, врач назначит лечение и ребенок пойдет быстро на поправку.
Рентгеноскопия – это результативный метод диагностики различных заболеваний и в опытных руках оказывает неоценимую помощь медицинскому сообществу.
Источник:



