Чем опасны имеющиеся на матке рубцы при беременности, после родов, после кесарева сечения? Роды с рубцом на матке. Рубец на шейке матки
Всё чаще в последние годы женщины испытывают проблемы с зачатием, вынашиванием и родоразрешением. Причин для этого есть масса: воспалительные заболевания, возраст, плохое здоровье и так далее.
В большинстве случаев современная медицина всё же помогает представительнице слабого пола побороть свой недуг. Однако впоследствии некоторых методов лечения появляются на матке рубцы. Как они возникают и чем грозят – вы узнаете из статьи.
Стоит отдельно упомянуть о том, чем может быть опасен рубец на матке при беременности.
Что такое рубец?
Рубцом называется повреждение тканей, которое впоследствии было устранено. Чаще для этого используется хирургический метод ушивания. Реже рассечённые места склеиваются при помощи специальных пластырей и так называемого клея. В простых случаях при несерьёзных повреждениях разрыв срастается самостоятельно, образуя рубец.
Такое образование может находиться где угодно: на теле или органах человека. У женщин особое значение имеет рубец на матке. Фото этого образования будет представлено вам в статье.
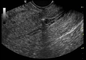
Диагностировать повреждения можно при помощи ультразвукового исследования, методом пальпации, на томографии разного вида. При этом каждый способ имеет свои плюсы. Так, во время УЗИ врач может оценить положение рубца, его размер и толщину.
Томография помогает определить рельефы образования.
Причины появления
Почему у некоторых женщины образуются на матке рубцы? Такие повреждения становятся последствием врачебных вмешательств. Обычно это кесарево сечение. При этом большую роль играет вид операции. Она может быть плановой и экстренной.
При запланированном родоразрешении матка рассекается в нижнем сегменте брюшной полости. После извлечения плода производится её послойное ушивание. Такой рубец называется поперечным. При экстренном кесаревом сечении часто производится продольный разрез.
При этом рубец имеет одноимённое название.
Сросшиеся повреждения могут стать следствием перфорации стенки матки во время гинекологических процедур: выскабливания, гистероскопии, введение ВМС. Также рубцы всегда остаются после удаления миомы хирургическим методом. В этих случаях положение шрама не зависит от специалистов. Он образуется там, где была проведена операция.
Беременность и рубец
Если у вас на матке рубцы, то возможность рождения ребёнка зависит от их состояния. Перед планированием нужно обязательно обратиться к гинекологу.
Специалист в обязательном порядке проведёт ультразвуковое исследование, определит состояние и положение рубца. Также необходимо будет сдать некоторые анализы. Перед началом планирования нужно обязательно вылечить инфекции.
Впоследствии они могут стать причиной появления проблем с вынашиванием.
Если рубец находиться в нижнем сегменте и имеет поперечное положение, то проблем обычно не возникает. Представительницу слабого пола обследуют и отпускают планировать беременность.
В случае когда рубец оказывается несостоятельным, истончённым и состоящим преимущественно из соединительной ткани – беременность может быть противопоказана. Однако в некоторых случаях руки хирургов творят чудеса.
И женщина всё же может родить.
Ведение беременности и роды с рубцом на матке
Если вы имеете рубец на детородном органе, то об этом нужно сообщит специалисту, который будет вести вашу беременность. При этом рассказать об имеющемся факте нужно сразу, при первом же визите, а не перед самыми родами.
Ведение беременности у женщин с повреждениями матки в анамнезе происходит несколько иначе. Им уделяется больше внимания. Также этой категории будущих мам регулярно приходится посещать кабинет ультразвуковой диагностики. Особенно учащаются такие визиты в третьем триместре.
Перед родами УЗИ рубца на матке проводится чуть ли не каждые две недели. Стоит отметить, что остальные способы диагностики во время вынашивания ребёнка недопустимы. Рентген и томография противопоказаны.
Исключением становятся лишь особые сложные ситуации, когда речь идёт не только о здоровье, но и о жизни женщины.

Родоразрешение может осуществляться двумя методами: естественным и оперативным. Наиболее часто сами женщины выбирают второй вариант. Однако при состоятельности рубца и нормальном самочувствии будущей мамы вполне допустимы естественные роды.
Чтобы сделать правильный выбор, необходимо проконсультироваться с опытным специалистом. Также во время родовой активности и нарастании схваток стоит вести периодическое ультразвуковое наблюдение за состоянием рубца и маткой.
Медики контролируют при этом и сердцебиение плода.
Повреждения шейки матки
Как показывает практика, некоторые женщины, рожавшие самостоятельно, имеют рубец на шейке матки. Возникает он из-за разрыва тканей. В процессе родоразрешения женщина чувствует болезненные схватки. За ними начинаются потуги.
Если шейка матки на данный момент не раскрылась полностью, то они могут привести к её разрыву. Для ребёнка это ничем не грозит. Однако женщина впоследствии имеет рубец на шейке матки. Безусловно, после родоразрешения все ткани ушиваются.
Но в дальнейшем это может стать проблемой при следующих родах.
Такой рубец на устье цервикального канала может появиться и после других гинекологических манипуляций: прижигания эрозии, удаления полипа и так далее. Во всех случаях образующийся шрам представляется соединительной тканью.
При последующем родоразрешении он попросту не растягивается, оставляя участок шейки матки нераскрытым. В остальном повреждения не имеют никакой опасности для роженицы и её будущего ребёнка.
Попробуем выяснить, чем могут быть опасны рубцы, располагающиеся на детородном органе.
Прикрепление плодного яйца и его рост
Если есть на матке рубцы, то после оплодотворения набор клеток может закрепиться именно на них. Так, происходит это примерно в двух случаях из десяти. При этом прогнозы оказываются весьма плачевными. На поверхности рубца находится масса повреждённых сосудов и капилляров.
Именно по ним происходит питание плодного яйца. Чаще всего такая беременность прерывается самостоятельно в течение первого триместра. Последствие можно назвать не только неприятным, но и опасным. Ведь женщине при этом требуется скорая врачебная помощь.
Разлагающиеся ткани эмбриона могут привести к сепсису.
Неправильное прикрепление плаценты
Рубец на матке после кесарева сечения опасен тем, что при следующей беременности он может вызвать неправильное прикрепление детского места. Часто женщины сталкиваются с тем, что плацента закрепляется близко к родовому каналу. При этом с течением беременности она мигрирует выше. Рубец может препятствовать такому перемещению.
Наличие шрама после повреждения детородного органа нередко приводит к врастанию плаценты. Детское место располагается при этом именно на области рубца. Врачи выделяют базальное, мышечное и полное врастание плаценты. В первом случае прогнозы могут быть хорошими. Однако естественные роды уже невозможны. При полном приращении плаценты может потребоваться удаление матки.
Состояние плода
Рубец на матке может приводить к нарушению кровообращения в детородном органе. При этом будущий ребёнок недополучает кислород и все необходимые ему вещества.
При своевременном обнаружении такой патологии можно произвести лечение и поддержку соответствующими препаратами. В противном же случае возникает гипоксия, которая чревата задержкой внутриутробного развития.
В особо тяжёлых ситуациях ребёнок может остаться инвалидом или вовсе умереть.
Рост матки
В обычном небеременном состоянии толщина стенок детородного органа составляет около 3 сантиметров. К концу беременности они растягиваются до 2 миллиметров. При этом рубец также истончается. Как известно, сросшееся повреждение замещается соединительной тканью. Однако в норме большая площадь рубца представлена мышечным слоем.
В таком случае шрам признаётся состоятельным. Если же повреждение истончается до 1 миллиметра, это не очень хороший знак. В большинстве случаев специалисты прописывают будущей маме постельный режим и поддерживающие препараты. В зависимости от срока беременности и того, какова толщина рубца на матке, может быть принято решение о преждевременном родоразрешении.
Это состояние опасно последствиями для малыша.
После родов…
Рубцы на матке после родов могут быть также опасны. Несмотря на то что малыш уже появился на свет, последствия могут возникнуть для его мамы. Рубцы – это повреждения слизистой оболочки. Как известно, после родов у каждой женщины возникает кровотечение.
Происходит процесс отделения слизи и остатков плодных оболочек. Эти выделения называются лохии. В некоторых ситуациях слизь может задерживаться на области рубца. Это приводит к воспалительному процессу. Женщине требуется выскабливание, у неё повышается температура тела, ухудшается самочувствие.
При отсутствии своевременного лечения начинается заражение крови.
Эстетическая сторона
Часто наличие рубца на матке является поводом для кесарева сечения. Многих женщин при этом волнует их последующий внешний вид. На животе остаётся некрасивый шрам. Однако многое зависит от техники работы хирурга. Также не стоят на месте возможности косметологии. При желании можно сделать пластику и скрыть некрасивый шов.
Подведём итог
Вы узнали о том, что такое рубец на матке, в каких ситуациях он появляется и чем опасен. Отметим, что если правильно готовится к беременности и прислушиваться к советам опытного врача при её ведении, то исход в большинстве случаев хороший.
Новоиспечённую мамочку с малышом выписывают из родильного отделения примерно через неделю. Не стоит сильно огорчаться, если у вас есть рубец на матке. Перед началом планирования обязательно обратитесь к своему врачу, пройдите плановое исследования, сдайте все анализы.
После этого можно беременеть.

Специалисты не советуют приступать к планированию беременности ранее, чем через два года после получения подобной травмы. Также не стоит затягивать с этим. Врачи говорят, что уже через 4-5 лет растянуть рубец будет практически невозможно. Тогда-то и могут начаться проблемы во время беременности и родов. Всего вам хорошего!
Источник:
Рубец на матке после кесарева сечения: норма толщины, возможные патологии, необходимые исследования
Роды путем кесарева сечения в настоящее время воспринимают как обыденную процедуру. Однако применение хирургического метода не проходит без последствий. После кесарева сечения на матке всегда остается рубец. Женщины не вспоминают о нем до того момента, когда решают снова забеременеть, т.к. для врачей маточное рубцевание является одним из показателей благоприятного исхода беременности.
Что такое рубец на матке? Как он выглядит? Как будет проходить повторная беременность после кесарева сечения?
Что такое рубец, почему он появляется после кесарева сечения, какова его толщина в норме?
Во время кесарева сечения хирург извлекает из матки ребенка. Для этого ему необходимо сделать разрезы на брюшине и детородном органе. После извлечения малыша поврежденные области зашивают.
Он состоит из двух типов тканей: мышечной и соединительной. Мышечные волокна придают матке эластичность. Соединительные элементы способствуют скреплению травмированной области. Основа скрепляющей ткани – коллаген, обеспечивающий более плотную структуру срастания. Именно из-за этого элемента и появляются рубцы.
Формирование рубца проходит несколько этапов. На первом этапе на месте разреза образуется пленка, область краснеет. Далее срастающиеся ткани темнеют, а при полном заживлении — светлеют. Рубец на матке окончательно формируется через 6-12 месяцев после операции, а укрепляется только спустя 2 года.
Гинекологи контролируют процесс заживления матки и определяют толщину образования. Наиболее плотные и эластичные рубцы образуются при поперечном разрезе матки. После продольной операции в рубце преобладают неэластичные ткани, вследствие чего он становится грубым и непрочным.
В норме толщина образования должна составлять более 5 мм. Тонкий рубец не влияет на самочувствие и здоровье женщины. Однако если она хочет родить ребенка, то такой рубец станет причиной возникновения осложнений.
Возможные патологии и их симптоматика
На процесс образования рубца на матке влияют различные факторы:
- способность организма к регенерации;
- маточные воспаления (эндометрит, эндометриоз);
- техника скрепления краев;
- способы разреза;
- вид материала для сшивания.
Перечисленные факторы способны привести к несостоятельности рубца. Несостоятельным называют образование со следующими показателями:
- толщина — менее 5 мм;
- основная ткань – соединительная;
- образование ниши в шве;
- срастание имеет разный размер на различных участках.
На фото представлен рубец с образовавшейся нишей. Несостоятельность приводит к образованию осложнений, которые влияют на здоровье женщины. Наибольшую опасность представляет разрыв матки, поскольку во время беременности она увеличивается.
Если шов тонкий, или его ткань потеряла эластичность, то детородный орган растягивается неравномерно. Место разреза испытывает усиленную нагрузку и повреждается.
Разрыв матки приводит к сильным кровотечениям, опасным для жизни плода и матери. Также при несостоятельности шва часто развивается воспаление на участках образования ниш. Воспалительный процесс провоцирует менструальная жидкость, скапливающаяся в образовавшихся полостях.

Однако даже при нормальной структуре рубца возможно проявление патологий во время следующей беременности:
- Закрепление плаценты вблизи от родового канала. Если матка имеет целостную структуру, то в процессе вынашивания плацента способна подняться выше. Однако имеющийся рубец препятствует этому процессу. Низкое предлежание приводит к преждевременным родам.
- Прикрепление оплодотворенной яйцеклетки к рубцу. На шве ткани имеют неполноценную структуру. Они не могут обеспечить эмбриону нормальное питание. Такая беременность в большинстве случаев заканчивается самопроизвольным абортом.
- Задержка развития плода. Некоторые рубцы влияют на кровообращение в матке. Когда оно нарушается, требенок получает недостаточно необходимых веществ и кислорода.
- Срастание плаценты с маткой. Если плодное яйцо находится недалеко от места сшивания, то плацента может прирасти к детородному органу. Приращение иногда приводит к удалению матки.
В зависимости от типа патологии женщина ощущает различные симптомы. Характерная симптоматика представлена в таблице.
| Осложнение | Когда выявляется? | Симптомы |
| Несостоятельный рубец | Большинство женщин не знают о наличии патологии до наступления повторной беременности |
|
| Разрыв матки | Во время беременности |
|
| Образование ниши | В любой момент |
|
| Неправильное прикрепление плаценты | Во время вынашивания ребенка |
|
| Прирастание плаценты к матке | При родах |
|
Диагностические исследования рубца после кесарева сечения
Первое обследование шва проводят через 6 месяцев после операции (см. также: когда после родов рассасываются внутренние швы?). Диагностику также назначают при планировании беременности и во время вынашивания ребенка. Диагностирование проводят с помощью следующих методов:
- Пальпация матки. Гинеколог ощупывает очертания детородного органа, чтобы определить размер рубца и реакцию женщины на прикосновение к месту повреждения матки.
- Гистерография. Процедуру проводят при помощи рентгеновского аппарата. Перед исследованием в детородный орган вводят контрастное вещество. Гистерография позволяет выявить расположение матки, ее форму, структуру рубца. Ее не проводят во время беременности.
- Гистероскопия. Обследование также назначается до зачатия ребенка. При исследовании в шейку матки вводят специальное устройство. Процедура позволяет определить внешний вид, размер рубца, количество соединительной ткани в области срастания.
- МРТ матки. Помогает выявить ее способность к растяжению при беременности, состояние рубца на матке, наличие ниш и неравномерность сросшихся тканей.
- УЗИ. Исследование проводят для определения состояния матки во время беременности. УЗИ позволяет своевременно выявить маточные повреждения.
Беременность и роды при наличии рубца на матке
Ранняя или поздняя беременность могут привести к разрыву матки. После кесарева сечения специалисты не приветствуют незапланированное зачатие, поскольку для определения возможностей матки необходимо провести предварительную диагностику рубца.

Если рубец крепкий и эластичный, то процесс вынашивания не имеет отличительных особенностей. Единственное, что будет отличать беременную после кесарева сечения от других будущих мам, это необходимость чаще делать УЗИ.
Нормальным считается, если к 38 неделям беременности из-за растяжения тканей место рубцевания истончается до 3 мм. Специалисты рекомендуют отказаться от повторной беременности в следующих ситуациях:
- с момента операции прошло менее 1,5 лет;
- рубец состоит преимущественно из соединительных тканей;
- на образовании обнаружены множественные или крупные ниши;
- толщина уплотнения — менее 3 мм.
Повторные роды после кесарева сечения чаще всего также завершаются операцией. Однако в последнее время все больше специалистов предпочитают дать возможность женщине родить самостоятельно. Естественные роды возможны при наличии следующих условий:
- соблюдены рекомендуемые сроки срастания;
- ожидается рождение одного малыша;
- не повреждена шейка матки;
- возраст будущей мамы — до 35 лет;
- нет нарушений строения детородных органов;
- плод принял правильное положение;
- масса тела ребенка — не более 3,5 кг;
- надрез при прошлой операции был продольным;
- в тканях шва преобладают мышечные волокна;
- толщина рубца — не менее 5 мм.
Лечение рубца на матке
Рубец на матке или ее шейке нельзя вылечить медикаментозными средствами. Если образование крепкое и эластичное, то оно не требует вмешательства. Неправильный шов исправляется при помощи операции.
Метод заключается в срезании несостоятельного рубца и формировании нового. Процедуру проводят следующими способами:
- Открытая операция. Проводится под наркозом. Женщине вскрывают брюшную полость, срезают грубые ткани, накладывают новые ровные швы.
- Метропластика — рассечение несостоявшегося шва и формирование нового. Проводится при помощи специальных тонких инструментов. Преимущество метропластики после кесарева сечения — не требуется делать разрез брюшной полости. Однако недостатком метропластики является увеличение срока устранения кровотечений при осложнении операции.
Источник:
Что такое рубец на шейке матки: формы, опасность и лечение
Рубец на матке – это замена мышечной ткани (или другой специализированной) на соединительную. Появляется в месте, где был разрыв покровов внутренних половых органов.
Кесарево сечение не желательно женщинам, которые хотят иметь более одного ребенка. Поскольку в дальнейшем родить будет сложнее и только при помощи операции.
Что такое рубец на матке по МКБ 10
Количество операций кесарева сечения значительно возрастало за последние 10 лет. Согласно статистике, около 21% женщин не рожают через родовые пути. Кесарево сечение используется в двух случаях: из-за наличия сопутствующих заболеваний и с целью избавления себя от родовых болей.
Увеличение частоты данной операции повлекло очередную проблему в гинекологии. На стенках матки, ее теле или шейке стали образовываться повреждения.
Рубец представляет собой скопление соединительной ткани через всю толщину миометрия (мышечного слоя) или захватывающего только ее часть вследствие ранее имевшихся повреждений органа в связи с лечебными мероприятиями, инфекционными процессами или травмами.
По международной классификации болезней десятого пересмотра (МКБ-10) выделяют два состояния:
- Шифр О34.2 – рубец на матке. Характеризуется наличием соединительнотканного шва на теле, дне, боковой поверхности или шейке. Он может никак себя не проявлять или приводить к развитию воспалительных процессов, эндометриоза. Возможно появление в результате ранее проведенного кесарева сечения, удаления доброкачественных новообразований, абортов, перенесенных воспалительных заболеваний матки, травматических разрывов или повреждений при родах.
- О75.7 – роды естественным путем после проведенного КС. Характеризуется состоянием, при котором пациентка рожает через родовые пути после кесарева сечения. Рубец опасен из-за того, что при родовой активности и напряжения мышечных волокон матки возможен разрыв с развитием кровотечения и\или выходом плода в брюшную полость.
Причины появления согласно принятому коду:
- Формируется рубец на матке после кесарева сечения (КС).
- Удаление новообразований (миомы).
- Повреждение матки во время проведения аборта.
- Проведение оперативных вмешательств из-за внематочной беременности.
- Удаление части матки.
Симптомы и формы
Рубец на матке бывает состоятельным или несостоятельным. Наличие второго у женщины опасно и влияет на репродуктивную функцию.

Состоятельный рубец (с полноценной регенерацией) – шрам, при котором женщина способна иметь детей. Мышечный слой (миометрий) имеет возможность восстановить свою сократительную функцию.
Данный келоидный рубец отличается высокой эластичностью, способностью выдерживать давление плода, растягиваться. Он крупный, но прочный. Эти характеристики позволяют сокращаться матке во время схваток.
Состоятельный шрам имеет толщину на стенке органа не более 3-4 мм.
Несостоятельный – повреждение при котором мышечная ткань не восстанавливается, и оно затягивается соединительной тканью.
В соединительной ткани присутствуют фибробласты и фиброциты, из их интерстициального коллагена (1 типа) формируется тонкий, маленький, неэластичный, истонченный, склонный к разрыву.
При схватках часть матки с данным дефектом не будет сокращаться. Часто такие шрамы формируются на шейке.
Симптомы. Рубец не дает никакие симптомы. Первые клинические проявления будут при разрыве матки. Подобная травма является тяжелым последствием. Пациенты жалуются на постоянную болезненность внизу живота и на уровне лобкового симфиза.
Отмечают выделения с примесью крови, периодические сильные и схваткообразные боли. Наблюдается ухудшение состояния: падает верхнее артериальное давление, пульс становится частым, однако плохо ощутимым. Появляются бледность кожи и пальцев рук, тошнота или рвота.
Женщины фиксируют усиление дискомфорта в ночное время.
В данной таблице указаны стадии разрыва матки и описание их симптоматические проявления.
| Стадия | Характеристика |
| 1. Угроза разрыва: | -Может болеть поясница. |
| – Тошнота. | |
| – Сильные спазмы в лобковой области. | |
| – Появление признаков нарушения жизнедеятельности плода. | |
| 2. Стадия расползания рубца: | – Увеличение резистентности мышц. |
| – Схваткообразные потуги. | |
| – Кровотечение. | |
| – Боль при поглаживании. | |
| – Ослабление или прекращение родовой деятельности. | |
| 3. Полный разрыв матки: | – Боль вплоть до потери сознания. |
| – Кровотечение из половых органов. | |
| – Резкое падение артериального давления. | |
| – Снижается частота пульса. |
Рубец на матке связан с ее разрывом. Вышеперечисленные симптомы возникают в случае беременности, травмах внутренних половых органов и при эндометриозе, абортах.
При наличии данных проявлений необходимо срочное абдоминальное родоразрешение. В ситуации разрыва стенки матки после операции кесарева сечения или удаления большого узла новообразования на миометрие со вскрытием ее полости клиническая картина может протекать с появлением травматического или геморрагического шока.
Особенности несостоятельного рубца
Главной причиной образования несостоятельного рубца на матке является неправильное, частичное сращение участков рубцовой ткани и наличием чрезмерного ее количества.
Несостоятельность шрама опасна в первые 7-14 дней после наложения швов, имеется высокий риск развития воспаления.
При несостоятельности швов возможно развитие кровотечения в полость матки и в брюшную полость, характерно проникновение инфекции с развитием пельвиоперетонита или септического шока.
В более поздние сроки неправильно сформировавшийся рубец чреват разрывами при беременности или в родах, развитием хронического очага воспаления, выкидышами.
Причины формирования несостоятельного рубца:
- проведение экстренного оперативного вмешательства;
- появление после операции воспаления;
- беременность в ранние сроки после операции;
- воспаление швов;
- абортирование путем выскабливания.
При малейших подозрениях на несостоятельность рубца (по результатам УЗИ) показана срочная госпитализация. Пациентку по протоколу лечения необходимо положить на сохранение, поскольку значения при исследовании могут показать высокий шанс прерывания беременности или других патологий.

Если женщина планирует повторно забеременеть, ей необходимо провести лапароскопическую операцию по иссечению ткани в зоне рубца и наложение полноценного шва, так как шрам будет мешать нормальному течению беременности.
Осложнения и последствия
Появление шрамов в любой части тела означает нарушение правильного анатомического строения и функционирования органов. Это связано с затруднением кровоснабжения и иннервацией ткани вследствие появления избыточного количества грубой волокнистой оформленной соединительной ткани.
Возникает риск формирования таких болезней:
- Эндометриоз (разрастание клеток эндометрия).
- Эндометрит (воспалительный процесс эндометрия).
- Миометрит (воспаление мышечной оболочки матки).
- Параметрит (воспалительное заболевание соединительнотканной клетчатки).
- Длительные болезненные месячные.
- Самопроизвольный аборт.
- Фетоплацентарная дисфункция (гипоксия плода)
- Предлежание плаценты (неправильное месторасположение плаценты или ее прикрепление к рубцу).
- Разрыв по рубцу.
- Болезненные роды.
- Эрозии шейки матки (при лечении их рекомендовано прижигать).
Какая норма толщины при кесаревом сечении и при естественных родах
Во время кесарево сечения в нижнем переднем сегменте тела матки производится разрез серозной оболочки, затем надрез длиной 1,5 – 2 сантиметра. После мышечный слой разрывается поперек на 4-5 сантиметров (это считается нормальным размером) в каждую сторону. Именно разрыв мышечных волокон, а не их рассечение в дальнейшем способствует лучшему заживлению.
После изъятия плода и наложения двухрядного шва при благоприятном течении послеоперационного периода формируется рубец толщиной 1-2 мм. Толщина рубца на матке после кесарева сечения зависит от наличия осложнений после проведенного вмешательства, возраста роженицы и ранее имевшихся шрамов.
При естественных родах в норме без разрывов рубец на матке или шрам на шейке не образуется.
Лечение и профилактика
Чтобы убрать зарубцевавшуюся ткань проводится лапаротомия – пластическая операция. Она рекомендована из-за определенного анатомического расположения матки. Часто совместно с иссечением пациенткам переливают кровь. Это связано с обильным кровотечением при операции. Период восстановления длится от недели до года.
Что делать, если нет возможности провести операцию? Необходима консультация с лечащим врачом. Рубец во время беременности не лечится, необходимо начинать избавление от недуга заранее.
Проводится симптоматическая терапия, назначается прием противовоспалительных и противовирусных препаратов.
Профилактика. Планируйте беременность заранее. Обязательно выявите имеющиеся заболевания и начните лечение. Посещайте врача акушера-гинеколога каждый триместр. Выполняйте назначения доктора.
Запомните! Ни в коем случае нельзя рожать через естественные пути при рубце на матке.
Статья проверена редакцией
Источник:
Беременность после кесарева: нужно ли смотреть толщину шва?
После родов путем кесарева сечения начинается процесс заживления послеоперационной раны. Сначала происходит слипание ее краев.
Затем постепенно размножаются клетки миометрия, разрастаются кровеносные и лимфатические сосуды. Область рубца к 5-7 суткам пронизывают эластические волокна, а фибробласты начинают синтезировать коллаген.
К 20 суткам мышечные клетки врастают в область рубца и восстанавливают каркас матки.
На все эти процессы требуется много времени. Состоятельность рубца можно считать удовлетворительной не ранее, чем через 2 года после операции. Женщинам, перенасшим кесарево сечение, планирование новой беременности нужно начинать с оценки состояния шва. У небеременных применяют различные методики:
- УЗИ малого таза;
- УЗИ-гистероскопия;
- Гистеросальпингография.
Сколько мм должен быть шов после кесарева выяснено путем различных исследований и наблюдений. Оценивается состояние не самого шва, а нижнего сегмента матки, расположенного под рубцом, и самого рубца.

Состоятельным считают следующие показатели:
- Толщина сегмента 4-5 мм;
- Выявляется четкий слой миометрия по всей длине рубца;
- Нет участков локальных истончений.
Несостоятельным считают нижний сегмент матки со следующими характеристиками:
- Шов 3 мм и менее после кесарева;
- Рубцовые изменения в тканях в разных участках.
Больше информации о несостоятельном рубце на матке.
При какой толщине шва можно планировать беременность?
Если женщине выполнили УЗИ, по которому определили толщину шва 4 мм после кесарева, то необходимо дополнительно выполнить гистероскопию. Во время исследования с помощью специальной видеоаппаратуры можно оценить состояние рубца.

Если ткань в области разреза имеет розовый оттенок, значит в ней достаточно миоцитов и проросших сосудов. Белый цвет шва говорит о его несостоятельности и преобладании фиброзной ткани. Миоциты хорошо растяжимы, поэтому матка сможет увеличиться до размеров беременной.
Но рубец может измениться во время беременности. Растущая матка растягивается. Ткани в шве не способны растянуться аналогично всему органу, нижний сегмент истончается. Но всему есть предел. Шов 2 мм после кесарева на последних неделях беременности считается нормой.
Некоторые исследователи предлагают оценивать не полную толщину шва, а только толщину остаточного миометрия (ТОМ). Для этого необходимо знать размер ниши под рубцом. При его размере большем на 50%, чем ТОМ, беременность не рекомендуется.
Оценку состояния шва у беременной проводят регулярно с 33 недели. Но по УЗИ в 28-30недель определяют положение и предлежание плода, локализацию плаценты. Это необходимо для выбора дальнейшей тактики и метода и срока родоразрешения.
Толщина шва после кесарева при второй беременности
Вторая беременность после кесарева чаще всего тоже завершается операцией. В ходе ушивания раны на матке, врачи предпочитают удалить рубцовую ткань. Она хуже срастается, может произойти расхождение шва. Свежая рана на мышцах проходит те же стадии, что и при второй беременности.
У небеременной женщины шов 5-7 мм после кесарева считается очень выраженным. Нормальная толщина шва на матке после кесарева при второй беременности может составлять чуть более 3 мм.
Если несостоятельный шов был выявлен до беременности, то проводят операцию по иссечению рубцовых тканей, и снова ушивают рану.
Во время беременности матка растягивается, может произойти его истончение даже до 1,5-2 мм. На сроке 38 недель это допускается. Такое состояние не угрожает нормальному вынашиванию, но является противопоказанием для самостоятельных родов.
Женщин с рубцом на матке вне зависимости от его состояния, госпитализируют в 37-38 недель для решения вопроса по сроку родов. Оставаться дома в ожидании схваток в таком положении очень опасно.
Грозным осложнением несостоятельности рубца является разрыв матки. В современных условиях это состояние развивается крайне редко, врачи успевают предвидеть или диагностировать патологию и своевременно родоразрешить молодую маму.
Первое кесарево сечение не является абсолютным показанием для повторных родов этим же путем. Но в большинстве случаев врачи предпочитают не рисковать и выполнить операцию, чтобы сохранить жизнь новорожденного и его матери.
Юлия Шевченко, акушер-гинеколог, специально для Mirmam.pro
Источник:
Особенности родов у женщин с рубцом на матке
Рубец на матке появляется, как правило, вследствие хирургического вмешательства, которое может быть осуществлено по медицинским показаниям.
Многих женщин детородного возраста, имеющих рубец на матке, интересуют несколько вопросов:
- Как это обстоятельство может повлиять на течение беременности?
- Возможны ли естественные роды при наличии рубца на матке или кесарево сечение неизбежно?
- Каков исход родов при наличии рубца на матке?
Мы постараемся рассказать обо всех особенностях родов женщин, у которых имеется такой дефект.
Влияние рубца на течение беременности и предстоящие роды
Степень заживления шрама имеет большое значение, и в зависимости от этого обстоятельства можно строить определённые прогнозы:
- Состоятельный (или полноценный) рубец — это тот, в котором произошло полное восстановление мышечных волокон после операции. Такой рубец эластичен, способен растягиваться с увеличением срока беременности и ростом матки, он способен к сокращениям во время схваток.
- Несостоятельный (или неполноценный) рубец — это тот, в котором преобладает соединительная ткань, а она неспособна растягиваться и сокращаться, как мышечная ткань.
Вследствие какой операции появился рубец на матке?
Ещё один аспект, который следует учитывать, — вид оперативного вмешательства, в результате какой операции появился рубец на матке:
1. Рубец после кесарева сечения может быть 2 видов:
- поперечный делают в нижнем маточном сегменте, в плановом порядке при доношенной беременности, и он способен выдержать и беременность, и роды, так как мышечные волокна располагаются поперечно, а поэтому лучше срастаются и заживают после оперативного вмешательства;
- продольный — выполняется при экстренной операции, при кровотечении, гипоксии (нехватке кислорода) плода или на сроке до 28 недель беременности.
2. Если рубец появился вследствие консервативной миомэктомии (удаление узлов доброкачественной опухоли — миомы с сохранением матки), то степень его восстановления зависит от характера расположения удалённых узлов, доступа оперативного вмешательства (размера рубца), самого факта вскрытия матки.
https://youtube.com/watch?v=oIvT55HP6Lc
Чаще всего миомы небольшого размера располагаются на наружной стороне детородного органа и удаляются без вскрытия матки, поэтому рубец после такой операции сформируется более состоятельным, чем при вскрытии полости органа, когда удаляются межмышечные узлы, расположенные между волокнами миометрия или межмышечно.
3. Рубец в результате перфорации матки после искусственного аборта тоже рассматривается с учётом того, ограничилась ли операция только ушиванием перфорационного отверстия (прокола), либо ещё присутствовало рассечение матки.
Течение послеоперационного периода и возникновение возможных осложнений
На то, как будет проходить процесс восстановления ткани матки после операции, окажут влияние течение послеоперационного периода, наличие возможных послеоперационных осложнений.
Так, например, после кесарева сечения могут возникнуть:
- субинвалюция матки — недостаточное сокращение органа после родов;
- задержка частей последа в полости матки, что потребует выскабливания;
- послеродовой эндометрит — воспаление внутренней оболочки матки.
Осложнениями после консервативной миомэктомии могут быть:
- кровотечения;
- образование гематомы (скопление крови);
- эндометрит.
Аборты и выскабливания полости матки, выполненные после перенесённой операции, травмируют полость матки и не способствуют нормальному формированию рубца. Более того, они увеличивают риск формирования неполноценного рубца.
Все эти осложнения усложнят процесс заживления шрама.
Срок наступления беременности после перенесённой операции
Любой ткани, в том числе и стенке матки, после перенесённого оперативного вмешательства необходимо время для восстановления. От этого зависит степень заживления рубца.
Для матки, чтобы восстановить полноценное функционирование мышечного слоя, необходимо 1-2 года, поэтому оптимальные сроки наступления беременности после операции — не ранее 1,5 лет, но и не позже, чем через 4 года.
Обусловлено это тем, что чем больше времени проходит между родами, тем больше нарастает соединительной ткани в области рубца, а это снижает его эластичность.
Именно поэтому женщинам, перенёсшим операцию на матке (будь то миомэктомия или кесарево сечение) рекомендуется 1-2 года предохраняться от наступления беременности. А ещё до планируемого зачатия необходимо обследоваться на предмет состоятельности рубца: на основании результатов уже можно будет прогнозировать течение беременности и самих родов.
Обследование рубца на матке
Обследовать рубец на матке после перенесённых операций возможно с помощью:
- УЗИ-исследования. При наступившей беременности это — единственно возможный вид исследования. Признаки, указывающие на неполноценность рубца — его неровность, прерывистость наружного контура, толщина рубца менее 3-3,5 мм.
- Гистеросальпингографии — рентгеновского обследования матки и маточных труб после введения в полость матки контрастного вещества. Для этой процедуры в маточную полость вводят специальное вещество, а затем делают ряд рентгеновских снимков, позволяющих судить о состоянии внутренней поверхности послеоперационного рубца, его положении, форме тела матки и её отклонении (в сторону) от средней линии. С помощью этого метода можно обнаружить неполноценность рубца, проявляющуюся в резком смещении матки, её деформации, фиксации к передней стенке, а также неровности контуров и ниши рубца. Однако данное исследование не даёт достаточно информации, а поэтому в наши дни применяется редко и чаще как метод дополнительного обследования.
- Гистероскопии — осуществляемой с помощью сверхтонкого оптического прибора гистероскопа, который вводят в полость матки через влагалище (процедура проводится амбулаторно под местным обезболиванием). Это наиболее информативный метод исследования состояния рубца на матке, который проводят через 8-12 месяцев после операции, на 4-5 день менструального цикла. О полноценности рубца свидетельствует его розовый цвет, указывающий на мышечную ткань. Деформации и белесоватые включения в области рубца говорят о его неполноценности.
Наличие рубца на матке может отразиться на течении беременности, спровоцировав некоторые осложнения:
- угрозу прерывания беременности на разных сроках;
- плацентарную недостаточность (недостаток снабжения плода кислородом и питательными веществами), она возникает при прикреплении плаценты в области рубца не к полноценной мышечной ткани, а к рубцовой.
Но основная опасность — разрыв матки по рубцу — грозит женщине во время родов. Проблема состоит в том, что разрыв матки при наличии рубца довольно часто происходит без выраженных симптомов, а поэтому во время родов необходим постоянный контроль состояния рубца.
Определяется это методом пальпации (прощупыванием) области рубца через переднюю брюшную стенку. Даже во время схваток он должен оставаться ровным, с чёткими границами и почти безболезненным.
При этом обращают особое внимание на кровянистые выделения во время родов (их должно быть немного) и жалобы роженицы на боли.

Ослабление схваток, боли в области пупка, тошнота и рвота — это может быть признаком начала разрыва рубца. Объективно оценить состояние рубца во время родов поможет УЗИ. При возникновении признаков его неполноценности (а в первую очередь это слабая родовая деятельность, затем любые осложнения во время родов) родоразрешение проводят путём кесарева сечения.
Роды у женщин с рубцом на матке
Ещё каких-то 10 лет назад все женщины, которые однажды рожали посредством кесарева сечения, в последующих родах автоматически отправлялись на кесарево. Это серьёзная хирургическая манипуляция, после которой могут возникать тяжёлые осложнения, а восстановление женщины после операции происходит гораздо медленнее, чем после естественных (влагалищных) родов.
Осложнения после кесарева сечения могли возникнуть как из-за самого оперативного вмешательства, так и быть следствием выбранного метода анестезии. Среди них:
- тромбоэмболия — образование тромбов, способных вызвать закупорку сосудов;
- тяжёлые кровотечения;
- повреждения соседних органов;
- инфекционные осложнения.
Однако медицина не стоит на месте, и за последние годы женщин с рубцом на матке после плановой дородовой госпитализации на 37-38 неделе беременности и проведения полного комплексного обследования (при отсутствии противопоказаний) стараются отправлять на роды через естественные пути.
Обследование подразумевает:
- сбор акушерского анамнеза: количество и исходы беременностей, предшествовавших нынешней;
- выявление сопутствующих заболеваний (особое внимание уделяется сердечно-сосудистой, бронхолёгочной системе);
- УЗИ-исследование с оценкой послеоперационного рубца;
- оценка состояния плода — исследование его кровотока (допплерометрия), сердечной деятельности (кардиотокография).
Роды через естественные родовые пути
Проведение родов естественным путём возможно, если соблюдены следующие условия:
1. Наличие только одного состоятельного рубца на матке.
2. Первая операция была проведена по относительным показаниям (показания, которые могут и не возникнуть в данных родах), о которых при выписке из роддома обязаны сообщить:
- хроническая внутриутробная гипоксия плода;
- слабая родовая деятельность;
- тазовое или поперечное положение плода;
- крупный плод (более 4 кг);
- преждевременные роды (ранее 36-37 недели беременности);
- инфекционные заболевания в предыдущую беременность, выявившиеся или обострившиеся незадолго до родов (например, генитальный герпес).
Если показания к кесареву сечению были связаны исключительно с особенностями предыдущей беременности (например, клинически узкий таз, отслойка или предлежание плаценты), то текущая беременности может (и должна) закончиться естественными родами.
3. Первая операция была проведена в нижнем маточном сегменте поперечным разрезом, с послеоперационным периодом без осложнений.
4. Первый ребёнок здоров.
5. Данная беременность протекала без осложнений.
6. По результатам УЗИ-исследования, проводимого при доношенной беременности, признаки несостоятельности рубца отсутствуют.
7. Плод здоровый с предполагаемой массой, не превышающей 3,8. кг
У беременных с рубцом на матке самопроизвольные роды должны проходить в роддоме, поскольку там возможна- круглосуточная хирургическая помощь; ведётся постоянное кардио-наблюдение (подключают к беременной специальные аппараты с датчиками, которые контролируют сократительную активность матки, частоту схваток, частоту сердцебиения плода), что позволяет следить за силой схваток и состоянием ребёнка во время родов; имеются служба анестезии и неонатолог.
Словом, естественные роды женщин с рубцом на матке должны проходить в таких условиях, чтобы в случае разрыва по рубцу или возникновения угрозы разрыва матки в ближайшие 15 минут была оказана хирургическая помощь.
При подозрении на незрелость рубца пациентку госпитализируют на 34-35 неделе беременности.

После завершения естественных родов обязательно вручную (под внутривенным наркозом) обследуются стенки послеродовой матки, чтобы исключить неполный разрыв матки по рубцу. При этом врач вводит руку в стерильной перчатке в маточную полость и тщательно ощупывает стенки органа (особенно область послеоперационного рубца).
Если во время осмотра обнаруживается дефект в области рубца (он мог частично или полностью разойтись), то, чтобы избежать внутрибрюшного кровотечения, которое угрожает жизни матери, проводится срочная операция — ушивается область разрыва.
Показания к операции
Роды должны быть проведены оперативным методом, если исследования рубца на матке указывают на его несостоятельность:
- продольный рубец после кесарева сечения или операции на матке;
- рубец после 2 и более операций;
- расположение плаценты в области рубца на матке (это увеличивает риск разрыва матки при её растяжении и сокращениях).
В таком случае остаётся только определить срок операции, который зависит от состояния плода и матери.
Таким образом, у женщины с рубцом на матке роды через естественные родовые пути допустимы лишь при состоятельности рубца, нормальном состоянии матери и плода. Роды должны проводиться в специализированных центрах, где в любой момент роженице смогут оказать высококвалифицированную помощь.
Источник:



