Серозометра при беременности
Многие женщины пожилого возраста сталкиваются с термином «серозометра». Что это такое? Это не диагноз, а состояние, которое характеризуется скоплением серозной жидкости в матке.
Оно становится следствием гинекологических заболеваний или перенесённых операций. Накапливаться жидкость в матке может по ряду причин, поэтому серозометра требует тщательной диагностики.
В каждом конкретном случае лечение подбирается индивидуально.
Основные причины серозометры
Причиной появления жидкости в матке могут стать:
- Гормональные нарушения (именно поэтому чаще всего серозометра диагностируется в период менопаузы). В этом случае в полости матки скапливается серозная жидкость.
- Осложненные роды. В полости матки задерживается кровь, слизь, распавшиеся органические элементы.
- Патологические состояния, сопровождающиеся кровотечением. Развивается гематометра — скопление крови в матки. Может быть последствием разрыва рубца на матке, осложненного аборта и других процессов.
Серозометра и климакс
Во время менопаузы прекращается обновление эндометрия, и у женщины не идут менструации. Кроме того, гормональные изменения воздействуют на проницаемость стенок матки и клеточных мембран. Всё это способно вызвать развитие серозометры.
Тем не менее гормональная дисфункция во время климакса — не единственный провоцирующий фактор. Если в целом женщина здорова, у неё не было серьёзных гинекологических проблем и она ведет здоровый образ жизни, вероятность накопления жидкости в матке невелика.
Есть ряд дополнительных факторов, которые значительно повышают риск развития серозометры. В первую очередь это уже перенесённые заболевания и операции.
Если учесть, что огромное количество взрослых женщин имеет за плечами аборт (и не один), а после выскабливания стенок матки орган травмируется, то получится, что все эти факторы вместе (гормональный и механический) становятся причинами развития серозометры, и жидкость в матке в пожилом возрасте диагностируется почти у 40% женщин.
К группе риска также можно отнести женщин, которые часто меняют сексуальных партнёров, курят, неправильно питаются, мало двигаются или принимают неподходящие гормональные препараты.
Частые половые связи приводят к травмированию влагалища, появлению сухости и неприятных ощущений, что, в свою очередь, ведёт к негативным изменениям в микрофлоре. Развивается дисбактериоз, и активизируются патогенные микроорганизмы. Это может стать причиной развития эндометрита и прочих опасных состояний.
Серозометра в данном случае будет проявлением возникшей патологии матки.
Курение и алкоголь негативно влияют на гормональный фон и ведут к сосудистым нарушениям. Неправильное питание тоже становится пусковым механизмом для развития болезни, потому что организм недополучает нужные ему вещества в полном объёме.
В период климакса нужно особенно тщательно продумывать своё меню и обязательно включать в рацион продукты, в которых содержится много клетчатки, одновременно снижая потребление жиров.
Отсутствие регулярных физических тренировок также чревато изменениями в гормональном балансе и нарушением кровоснабжения, поэтому спортзал в период климакса становится не вопросом хорошей формы, а необходимостью для поддержания здоровья на должном уровне.
Бесконтрольное употребление гормональных препаратов также может спровоцировать серозометру, если женщина снимает климактерические проявления, не проконсультировавшись с врачом и самостоятельно назначая себе курс лечения. В этом случае гормональный сбой может усугубиться, особенно если самолечение затянулось на длительный срок.
Симптомы серозометры
Выявить серозометру можно только путём тщательной диагностики. Самостоятельно женщина может обратить внимание на следующие тревожные признаки:
- Постоянные боли внизу живота. Чем больше жидкости скапливается в матке, тем сильнее она увеличивается, и тем интенсивнее боли.
- Боль и дискомфорт во время секса. При половом контакте обычная тянущая боль становится интенсивнее.
- Увеличение живота, также связанное с увеличением размеров матки. В особо тяжёлых случаях матка может увеличиться настолько, что женщина выглядит беременной.
- Проблемы с мочеиспусканием и затруднение дефекации. Оба симптома связаны с тем, что увеличенная матка давит на другие органы, в результате чего страдают мочевой пузырь и прямая кишка.
- Частые и обильные выделения сероватого цвета. Несмотря на то, что большая часть жидкости не может покидать пределы маточной полости, какое-то количество секрета всё же выходит в качестве выделений. Особенно заметными и интенсивными они становятся после секса.
- Постоянно повышенная температура. Обычно она незначительная, но держится в течение долгого времени.
При появлении таких симптомов необходимо срочно обратиться к врачу и пройти обследование.
Диагностика серозометры
Перечисленные выше симптомы не являются достаточным основанием для диагностики серозометры, потому что многие гинекологические заболевания характеризуются похожими проявлениями.
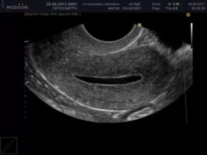
Чтобы выявить скопление жидкости, обязательно ультразвуковое обследование. Только оно способно точно определить серозометру.
Следующий шаг – дополнительные анализы, цель которых – выявление причины скопления жидкости и её природы.
https://youtube.com/watch?v=Q3p4o7JF1Iw
Для того, чтобы подтвердить диагноз, следует сдать общий анализ крови, анализ мочи, кровь на гормоны и на онкомаркеры, а также мазок из влагалища. Только после этого можно назначить подходящее лечение.
Лечение серозометры
Если случай серозометры не запущен, её можно успешно лечить медикаментозно, и хирургическое вмешательство не требуется. Матке помогают избавиться от накопившейся жидкости.
К операции прибегают только в крайних случаях, когда в результате застойного процесса серозная жидкость оказывает давление на другие органы и не поддаётся лечению.
Установленной программы лечения серозометры не существует, так как заболевание может иметь разные причины и характер. Однако на начальных стадиях обычно назначают:
- физиотерапию;
- витаминные комплексы (В, С);
- рассасывающие препараты;
- средства для стимуляции кровообращения и усиления регенерации эндометрия.
Если жидкость носит гнойный характер, к вышеперечисленному добавляется курс антибиотиков (амоксициллина, моксифлоксацина, цефазолина или орнидазола).
При необходимости врач может также прописать обезболивающие препараты.
Когда симптомы снимаются, женщине назначается восстанавливающая терапия, задачи которой – нормализация микрофлоры, регенерация тканей и предупреждение повторного развития болезни.
Лечение народными средствами
Если серозометра матки вовремя выявлена, и у женщины нет ярко выраженных симптомов (например, сильных болей), некоторые врачи воздерживаются от медикаментозного лечения и концентрируются на восстановлении гормонального фона, предлагая лечение народными средствами.
Некоторые травы способствуют эффективному лечению и помогают избавиться от серозометры.
- Настой, сделанный из боровой матки, следует принимать по 50 мл три раза в день на протяжении двух недель.
- Алоэ – ещё одно проверенное народное средство. Измельчённые охлаждённые листья перемешиваются со сливочным маслом и мёдом. Смесь принимают по одной чайной ложке в день.
- 4 степень глухотыТугоухостьКто из нас не испытывал чувство растерянности и беспомощности, когда по какой-то причине не мог…
- Краснуха болеют ли повторноОсобенности краснухи и можно ли ей заболеть повторноКраснуха – острое вирусное заболевание, распространенное среди детей,…
- Бебикалм для новорожденныхБейбикалм для новорожденных – помощник в борьбе с коликами15484 1 Бебикалм для новорожденных является препаратом,…
Источник:
Серозометра — жидкость в матке причины и лечение
Многие женщины пожилого возраста сталкиваются с термином «серозометра». Что это такое? Это не диагноз, а состояние, которое характеризуется скоплением серозной жидкости в матке.
Оно становится следствием гинекологических заболеваний или перенесённых операций. Накапливаться жидкость в матке может по ряду причин, поэтому серозометра требует тщательной диагностики.
В каждом конкретном случае лечение подбирается индивидуально.
Серозометра в постменопаузе — что это такое? Код по МКБ-10
Женская репродуктивная система – это очень многогранный механизм. Его слаженная работа обеспечивается правильным гормональным уровнем и другими факторами.
Иногда со стороны половой системы наблюдаются некоторые сбои. Заболевания развиваются по разнообразным причинам. Одно из них – серозометра. Часто патология возникает в постменопаузе.
Что это такое и какой код болезни по МКБ-10? Давайте разбираться.
Определение патологии
Серозометра – это женская патология, при которой у пациентки наблюдается свободна жидкость в полости матки. Между мышцами детородного органа и эндометрием расположена серозная мембрана.
Она содержит огромное количество кровеносных сосудов. Серозная жидкость представляет собой прозрачную плазму крови, которая имеет светло-желтый оттенок.
Именно эта жидкость поступает в слой матки с кровеносными сосудами.
Из-за наличия в стенках матки большого количества рубцов выход серозной жидкости нарушается. Это ведет к развитию серозометры. Иногда жидкость начинает собираться в области канала шейки матки. Такой вид заболевания носит название серозоцервикс. И та, и другая патология требует немедленного медицинского контроля, так как нарушение может привести к развитию тяжелых осложнений.

Кодировка по МКБ-10 — другие болезни матки, не воспалительного характера, за исключением шейки матки — N85.
Связь с менопаузой
Репродуктивный возраст женщины продолжается приблизительно с 15 до 45 лет. В этот период организм приспособлен для зачатия, вынашивания и рождения ребенка.
Приблизительно к 45-50 годам наступает менопауза. При этом эндометрий детородного возраста теряет способность к обновлению. На этом фоне у женщины прекращаются месячные.
В менопаузе из-за физиологических изменений в организме может развиться серозометра.
Почему возникает болезнь?
Маточный эндометрий имеет способность постоянно обновляться. Он содержит большое количество сосудов и желез, вырабатывающих серозный биологический материал.
У здоровой женщины эта жидкость выделяется самостоятельно с вагинальными выделениями и во время месячных. Этот процесс обеспечивает защиту органа от воспалительных процессов и повреждений. При нарушении этого процесса могут возникнуть различные заболевания.
Одно из них – серозометра. Некоторые считают, что в постменопаузе – это норма, однако, это ни так.
Рассматриваемая патология чаще всего возникает у представительниц прекрасной половины в период развития климакса. Это связано с тем, что эндометрий перестает обновляться.
Менопауза – это не единственная первопричина, которая может спровоцировать болезнь. К распространенным провоцирующим факторам в гинекологической практике относят различные состояния.
Стеноз цервикального канала
Под этим термином в гинекологической практике подразумевают врожденное или приобретенное заболевание, при котором у женщины наблюдается сращение стенок цервикального канала. При этом диагностируется его частичная или полная непроходимость. Основные причины болезни – гормональные нарушения, травмы органа, перенесение воспалительных процессов и инфекционных заболеваний.
Возможно, вам будет интересно: Беременность 44 недели
Новообразования в области матки и ее шейки
Опухоли в области детородного органа могут спровоцировать данное нарушение у представительницы прекрасной половины.
Серозометра нередко возникает на фоне развития полипов, миомы, злокачественных образований в матке и на ее шейке.
Спровоцировать болезнь также могут синехии, развивающиеся у женщины вследствие перенесения болезней воспалительного типа, абортов и других медицинских манипуляций.
Неправильный образ жизни
Многие женщины невнимательно относятся к своему организму. Такое безответственное повеление нередко ведет к развитию различных патологий, в частности, к появлению серозометры.
Причинами заболевания здесь выступают такие провоцирующие факторы:
- Беспорядочная половая жизнь.
- Употребление спиртных напитков и наркотиков.
- Табакокурение.
- Неправильное питание.
- Недостаточный сон, переутомление.
- Отсутствие двигательной активности, что ведет к избыточной массе тела.
Все это ведет к риску развития эндокринных нарушений в организме, что влечет за собой различные болезни репродуктивной системы.
Усиленная секреция серозной жидкости
Иногда при обследовании гинеколог диагностирует у пациентки такое состояние, как гиперсекреция серозной жидкости. Это может произойти на фоне различных патологий. К ним относят:
- Патологические изменения в тканях эндометрия.
- Развитие эндометриоза.
- Полипоз.
- Аденокарциному.
- Внематочное крепление плодного яйца.
- Аднексит.
- Злокачественные или доброкачественные образования в придатках.
Вышеуказанные патологии провоцируют нарушение нормального функционирования матки. При этом развивается серозометра и другие болезни.
Малая физическая активность
Из-за отсутствия физической активности в женском организме происходит нарушение обменных процессов. В области органов малого таза развиваются застойные процессы. Иногда серозометра диагностируется у женщин после родов в связи с длительным отсутствием менструального кровотечения.
Нередко патология становится следствием хирургического выскабливания при замирании беременности или ее искусственном прерывании.
Более, чем в 75% случаев патология развивается у женщин вследствие наступления менопаузы. В 10% случаев серозометра является следствием развития новообразований в полости матки и лишь 15% приходится на другие причины.
Связь патологии и менопаузы?
В период постменопаузы у рассматриваемое заболевание может возникнуть под влиянием таких провоцирующих факторов:
- Травмы, полученные женщиной во время родов, аборта или других медицинских манипуляций.
- Стеноз стенок маточного канала.
- Новообразования в области матки, которые имеют как злокачественный, так и доброкачественный характер.
- Развитие стриктур цервикального канала.
- Синехии в области детородного органа.
Нередко серозометра возникает вследствие гиперсекреции экссудата, а также при его проникновении в область маточных труб.
Диагностика
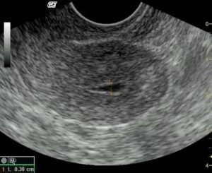
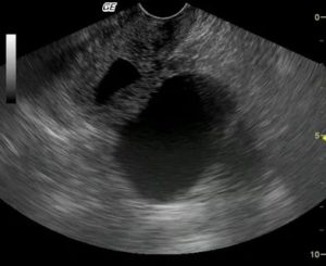
Что делать, для обнаружения патологии? Существует ряд заболеваний, которые по своей симптоматике очень похожи между собой. Для выявления серозометры используются такие методы диагностики, как УЗИ и гинекологический осмотр.
Возможно, вам будет интересно: Полисорб при беременности на ранних сроках
Для более детальной диагностики женщине также могут назначить такие методы обследования, как:
- Проведение томографии. Техника используется для визуализации внутренних органов.
- Выполнение гистероскопии. Процедура позволяет оценить состояние стенок детородного органа и взять жидкость для проведения анализа.
- Анализ на биопсию. Эта диагностическая методика представляет собой забор образца биологического материала женщины для его дальнейшего изучения.
- Анализ крови на наличие в ней онкометров. Позволяет заподозрить наличие новообразований в организме.
Перед тем как поставить диагноз специалист оценивает полученные данные в совокупности. После этого гинеколог принимает решение о том, какой из видов лечения следует выбрать в индивидуальном случае.
Возможно, вам будет интересно почитать о других гинекологических заболеваниях. Вся нужная информация на нашем сайте.
Осложнения серозометры
Часто случается так, что заболевание некоторое время протекает без видимых симптомов. Женщины обнаруживают его, обратившись к врачу совершенно по другому поводу или во время профилактического осмотра.
Опасность болезни заключается в риске развития гнойного процесса. При этом симптоматика имеет ярко выраженный характер.
Появляются дискомфортные ощущения в нижней части живота, выделения приобретают гнойный желтоватый или зеленоватый оттенок, возникают признаки общей интоксикации организма.
При отсутствии должной терапии гнойный процесс может перейти на близлежащие органы, что только осложняет ход течения болезни. Из-за воспалительного процесса матка становится больше, что ведет к развитию отечности в области нижних конечностей.
Важно отметить, что серозометра не представляет собой конкретное заболевание. Это состояние лишь указывает на развитие определенных патологий в организме, которые и спровоцировали нарушение оттока серозной жидкости из матки.
В чем выражается болезнь?
Как уже было сказано, серозометра часто протекает у женщин без видимых симптомов. Заболевание нередко обнаруживается во время профилактического осмотра во время проведения ультразвукового исследования. Клиническая картина у пациентки может быть следующей:
- Сильные или умеренные болевые ощущения в области живота.
- Влагалищный секрет приобретает патологический характер.
- Частое мочеиспускание.
- Нарушение дефекации – трудности с опорожнением или, наоборот, диарея.
- Болезненность во время полового акта.
- Боль и дискомфорт появляется при физических нагрузках, поворотах, наклонах.
- Если развивается гнойный процесс, влагалищный секрет приобретает неприятный запах, желтый или зеленоватый оттенок.
Нередко ухудшается общее самочувствие женщины, появляются признаки интоксикации, повышается температура тела, возникает слабость, апатия, сонливость, раздражительность.
При появлении вышеописанной симптоматики нельзя заниматься самолечением и пускать болезнь на самотек. Необходимо как можно быстрее обратиться в гинекологию.
Способы лечения
Описываемая патология чаще всего диагностируется у представительниц прекрасной половины в пожилом возрасте из-за наступления менопаузы, но бывает и так, что на фоне различных провоцирующих факторов болезнь диагностируется и у более молодых пациенток. Как бы там ни было, важно своевременно поставить диагноз и начать правильное лечение патологии. Только в этом случае прогноз для больной будет иметь благоприятный характер.
Возможно, вам будет интересно: 10 неделя беременности
Как лечить заболевание с помощью медикаментов?
Медикаментозные препараты используются для борьбы с болью, воспалительным процессом и инфекцией. Часто среди женщин с таким диагнозом применяются такие препараты, как Фибс или Детралекс. Они благоприятно влияют на состояние сосудов и помогают наладить микроциркуляцию крови в органах малого таза.
Если заболевание развивается на фоне поражения матки болезнетворными агентами, пациентке назначается лечение с помощью антисептических средств. Нередко применяются антибактериальные препараты. Они подбираются лечащим врачом в зависимости от данных лабораторных анализов и возбудителя инфекции.
Выполнение пункции матки
Пункция матки выполняется для забора биологического материала. Это позволяет провести гистологический анализ. Кроме этого, такая процедура позволяет понять, есть ли у женщины скопление свободной жидкости в брюшине. Этот анализ необходим для своевременной диагностики онкологических заболеваний.
Оперативное лечение
Многих женщин интересует вопрос о том, надо ли удалять серозометру хирургическим путем? Стоит отметить, что выскабливание является наиболее эффективной терапевтической методикой. Это позволяет полностью удалить патологическую жидкость, которая скапливается в матке.
Благодаря выскабливанию и раскрытию цервикального канала удается освободить путь для серозной жидкости, и она беспрепятственно выходит наружу. Чистку проводят в условиях стационара под общим наркозом. После операции пациентке необходимо пребывание в больнице под наблюдением медицинского персонала. Через несколько суток женщина может отправляться домой, если не возникают осложнения.
Народные методы лечения
Серозометра относится к серьезным гинекологическим патологиям, поэтому использование народной медицины в качестве основного метода терапии считается нецелесообразным. Нетрадиционная медицина может использоваться лишь в качестве дополнительного лечения.
Натуральные травы и некоторые продукты позволяют насытить организм витаминами, снять воспаление и боль. Внутрь можно принимать отвары таких трав:
- Ромашка.
- Календула.
- Тысячелистник.
- Зверобой.
- Череда.
- Мать-и-мачеха и другие.
Готовится отвар из расчета столовая ложка травы на стакан кипятка. Пить такое лекарство рекомендуется дважды на протяжении дня по половине стакана. Для улучшения эффекта можно чередовать травы.
Некоторые растения вызывают аллергию. Для предотвращения этого побочного эффекта лечение следует начинать с малых доз.
Методы профилактики заболевания
Каких-то особенных методов предупреждения рассматриваемой патологии не существует. Для профилактики гинекологических заболеваний женщине следует придерживаться следующих советов:
- Вести подвижный образ жизни, выполнять зарядку.
- Правильно питаться и много отдыхать.
- Постараться исключить стрессы.
- Отказаться от вредных привычек.
- Вести избирательную половую жизнь.
- Следить за интимной гигиеной.
- Своевременно лечить острые и хронические заболевания инфекционно-воспалительного характера.
- Совершать профилактические гинекологические осмотры хотя бы раз в год.
В связи с тем, что рассматриваемое заболевание развивается, как правило, в период постменопаузы, женщине необходимо регулярно посещать врача хотя бы дважды в год.
Это поможет своевременно выявить и начать лечение тех или иных патологий и предотвратить возможные осложнения. Желаем вам крепкого здоровья и удачи.
Дополнительную информацию на заданную тему вы сможете получить, просмотрев этот небольшой видеоролик.
Источник:
Серозометра в полости матки после 60 лет
Общие сведения о серозометре
Скопление серозных масс в матке в климактерический период обуславливается двумя причинами — наличием препятствия для их выхода или чрезмерным продуцированием секрета. Продуцирование жидкости в репродуктивном возрасте происходит в эндометрии, и этот процесс считается физиологически нормальным. Вырабатываемый секрет вместе с вагинальными или менструальными выделениями выходит из матки.
После наступления менопаузы слой эндометрия вследствие снижения выработки гормонов истончается, что приводит и к уменьшению секреторной активности желез. Но это случается только при нормальном протекании климакса. В противном случае эндометрий продолжает выделять жидкость, которая задерживается в полости матки и вызвать сопутствующие изменения.
Серозометру не относят к самостоятельным заболеваниям, накопление экссудата в маточной полости указывает на гормональный дисбаланс, воспаление в половых органах или инфекционные процессы в них.
Развитие серозометры возможно при наступлении менопаузы уже после 45 лет, но в большинстве случаев патология выявляется в постменопаузу у пациенток старше 60 лет. Болезнь в этом возрасте диагностируется у 40% женщин. Серозная жидкость может скапливаться не только в самой матке, но и в цервикальном канале.
Патология в этом случае обозначается термином серозоцервикс, это более тяжелое по сравнению с серозометрой состояние.
Причины заболевания
- Сужение или полное заращение цервикального канала. Возникает при атрофии ткани, что в свою очередь обуславливается уменьшением выработки гормонов. Реже проходимость канала изменяется на фоне цервицита или аномалий развития органов.
- Новообразования. Оттоку секрета нередко препятствуют полипы, мелкие миомы в матке или одна крупная, злокачественные образования, локализующиеся внутри маточного зева или в области перешейка.
- Синехии и стриктуры, находящиеся в матке и в цервикальном канале. Образуются после абортов, воспалительных и инфекционных заболеваний, лечебно-диагностических выскабливаний.
- эндометриозе, эндометрите, гиперплазии слизистой вследствие дисфункции гормонального фона;
- внематочной беременности;
- аднексите;
- опухолях яичников и труб.
Определение основной причины серозометры является первостепенной задачей диагностики. Лечение будет эффективным только в том случае, если удастся устранить влияние первопричины скопления жидкости в матке.
Предрасполагающие к болезни факторы
Вероятность развития серозометры в период менопаузы повышена, если женщина злоупотребляет алкоголем, много курит, ведет беспорядочную половую жизнь. Вредные привычки постепенно истощают ресурсы эндокринной, нервной и иммунной систем, что в пожилом возрасте может неблагоприятно отразиться на функционировании всего организма.
- гиподинамию;
- нерациональный рацион с преобладанием жирной пищи;
- бесконтрольный прием гормональных средств;
- частые аборты в анамнезе;
- обменные нарушения;
- операции на органах малого таза.
В группу риска по развитию серозометры входят и женщины, имеющие несколько детей, так как частые роды ухудшают гормональный фон.
Признаки серозометры
Патология долгое время женщину может не беспокоить. Признаки чрезмерного образования секрета в маточной полости нередко выявляются случайно при проведении планового или диагностического УЗИ.
Серозометра, протекающая с накоплением жидкости в полости органа, приводит к значительному увеличению живота.
- боли, локализующиеся в нижних отделах живота и в области поясницы;
- ощущение давления на матку и прямую кишку;
- учащение мочеиспускания;
- запоры.
Болезненность нарастает во время сексуальных контактов, при выполнении физической работы. Отмечается и общее ухудшение самочувствия — недомогание, слабость, может повыситься температура тела.
При полном или частичном сохранении проходимости шейки матки женщины отмечают появление обильных водянистых выделений из влагалища. По цвету они светло-серые или полностью прозрачные, иногда с примесью крови.
Скопление жидкости в матке создает оптимальную среду для размножения патогенных микроорганизмов. В связи с этим при серозометре очень часто развиваются воспалительные процессы.
На них указывает высокая температура тела, усиливающиеся боли, слабость, головокружение.
Возможные осложнения
Основная опасность серозометры — воспаление, протекающее с нагноением. Сопровождается системами интоксикации, усиливающимися болями, выделением гнойного секрета желтоватого или зеленоватого цвета.
Инфекционный процесс может распространиться и на прилегающие органы, что только ухудшает самочувствие женщины.
Возрастающая в размерах матка вызывает давление на тазовые структуры и нарушает отток крови из нижних сосудов, что приводит к отекам на ногах.
Серозометра не является самостоятельным заболеванием, чрезмерное образование секрета указывает на определенные заболевания. Их необходимо своевременно выявить, так как причиной серозометры могут быть злокачественные опухоли и воспалительные процессы, требующие лечения на ранней стадии развития.
Особенности лечения
Схема лечения подбирается после тщательного диагностического обследования.
- препараты, улучшающие кровообращение в тазовых органах;
- рассасывающие медикаменты;
- средства, усиливающие регенерацию тканей.
Показано использование физиотерапевтических методов воздействия. Обязательно необходим периодический контроль, заключающийся в проведении УЗИ и осмотре у гинеколога.
При воспалении серозного содержимого в матке пациентке проводится антибактериальная терапия. В нее входит применение антибиотиков широкого спектра действия (Цефотаксим, Орнидазол), противовоспалительных средств.
При выраженных болезненных ощущениях необходимы анальгетики.
Дополнительно назначают иммуномодулирующие медикаменты, пробиотики для восстановления микрофлоры во влагалище.
Лечение дополняют вагинальными гелями или суппозиториями с эстрадиолом (Климен, Дивигель, Овестин).
Требуется и применение поливитаминных комплексов, в составе которых обязательно должны быть витамины группы В и аскорбиновая кислота.
Хирургическое вмешательство
При неэффективности консервативных методов терапии и в тех случаях, когда отток жидкости вследствие заращения шейки матки затруднен или секрета скапливается более 6 мл, женщине назначают операцию.
- Сначала проводится расширение просвета — бужирование. Удаляются рубцы, полипы.
- Откачивается серозная жидкость. Образец экссудата отправляется на гистологию.
- Следующий этап — гистероскопия с выскабливанием стенок матки. Кусочки тканей также отправляются на гистологическое исследование.
После проведенной операции женщине проводится противовоспалительная и антибактериальная терапия. Гормональная заместительная терапия назначается по показаниям.
В тяжелых случаях нельзя отказываться от обширного хирургического вмешательства, так как удаление матки предотвращает развитие злокачественных процессов.
Дальнейшая тактика ведения пациенток подбирается исходя из результатов гистологического исследования. Если в биоматериале обнаруживаются раковые и атипичные клетки, то необходимо полное удаление матки и придатков.
Прогноз протекания серозометры
Благоприятный исход патологического состояния зависит от нескольких факторов. Это своевременность лечения, основная причина патологии, наличие сопутствующих заболеваний. Вовремя проведенная консервативная терапия при незначительных изменениях в матки и отсутствии выраженных симптомов практически полностью решает проблему.
Специфических мер профилактики, предупреждающих возникновение серозометры, нет. Снизить вероятность патологии помогает здоровый образ жизни, отказ от вредных пристрастий, рациональное питание, достаточная для возраста женщины физическая активность.
Регулярно нужно обследоваться у гинеколога и при необходимости своевременно проходить соответствующее выявленным изменениям лечение.
Серозометра — недуг, который длительное время может протекать скрыто. Но скопление жидкости в полости матки не является нормой и поэтому может привести к крайне нежелательным последствиям. Поэтому женщинам даже с наступлением климакса нельзя игнорировать регулярное посещение гинеколога.
Пожалуйста оцените статью,
мы старались:
Источник:



