Гиперденсивное образование головного мозга
Цель визуализации у пациентов с острым инфарктом.
- 1) исключить кровотечение.
- 2) дифференцировать мертвую ткань головного мозга и ткань в риске-пенумбры.
- 3) выявить стеноз или окклюзию экстра- и интракраниальных артерий.
Пенумбра: Окклюзия в СМА. Черным указано ткань с необратимыми изменениями или мертвая ткань. Красным выделена ткань-риска или пенумбра.
Ранние признаки инсульта на КТ
КТ является золотым стандартом для выявления геморрагии в первые 24 часа. Геморрагии также выявляются на МРТ. На КТ возможно определить 60% инфарктов в первые 3-6 часов, остальную часть возможно выявить впервые 24 часа. Общая чувствительность КТ при диагностике инфаркта составляет 64% и специфичность 85%. Ниже представлены ранние признаки на КТ.
Кт ранние признаки инсульта
- — Зона с гиподенсной плотностью головного мозга.
- — Обскурация чечевицеобразных ядер.
- — Симптом плотной СМА.
- — Островковый ленточный симптом.
- — Потеря островковых очертаний.
Гиподенсная зона головного мозга
Причиной, по которой визуализируется зона ишемии с цитотоксическим отеком, является нарушение работы натрий-калиевого насоса, что в свою очередь связано со снижением количества АТФ.
Увеличение содержания воды в мозге на 1% приводит к снижению плотности головного мозга на КТ на 2,5 единицы Хаусфильда.
У пациента выше представленного гиподенсивная область головного мозга в правом полушарии. Вытекающий диагноз из данных находок — инфаркт так, как локализация средней мозговой артерии и вовлечение в патологический процесс белого и серого вещества, что типично для инфаркта.
Обнаружение в первые 6 часов гиподенсной зоны является специфичным признаком необратимого ишемического повреждения мозга.
У пациентов с клиникой инсульта и выявленным гиподенсной областью впервые 6 часов есть риск увеличения зона ишемии, ухудшения симптоматики и кровотечения, а также данная группа пациентов имеет более хуже ответ на проводимую медикаментозную терапию в сравнении с пациентами с клиникой инсульта, у которых данная область не выявлена.
Таким образом выявления гиподенсной зоны является неблагоприятным прогнозом. Соответственно, что если гиподенсная зона не выявлена, это благоприятный прогноз.
У данного пациента выявлен гиподенсная область — это инфаркт в области средней мозговой артерии — безвозвратная ишемия головного мозга.
Обскурация чечевицеобразного ядра
Обскурация чечевицеобразного ядра также ещё называют симптом расплывшегося пятна базальных ядер и является важным признаком инфаркта.
Данный симптом является одним из ранних изменений при инсульте и часто встречаемым признаком инфаркта. Базальные ганглии также часто поражаются при инсульте в средней мозговой артерии.
Обскурация чечевицеобразного ядра.
Островковый ленточный симптом
Данный симптом включает в себя: гиподенсную зону и отек коры головного мозга в области островка. Данный симптом также относится к ранним проявлениям ишемии в средней мозговой артерии. Область головного мозга, относящаяся к средней мозговой артерии, очень чув- ствительна к гипоксии в связи с тем, что СМА не имеет коллатералей.
Дифференциацию стоит проводить с поражением ГМ при герпесном энцефалите.
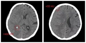
Симптом плотной СМА
Данный симптом проявляется в следствии тромбирования или эмболизации СМА.
У ниже представленного пациента симптом плотной СМА. На КТ ангиография визуализируется окклюзия СМА.
Гемморагический инсульт
По статистике 15% инсультов в бассейне СМА являются геморрагическими.
Геморрагии хорошо визуализируются на КТ, а также отлично на МРТ при использовании Gradient ECHO.
Кта и кт-перфузия
В данном случае признаки инфаркта едва уловимые. Гиподенсная зона в островковой области справа. В данном случае эти изменения соответствуют инфаркту, но у пожилых пациентов с лейкоэнцефалопатией тяжело отдифференцировать эти две разные патологии.

Вышележащие изображения — КТ-ангиография. После выполнения КТА — диагноз инфаркта в области СМА, как на ладоне.
КТ-перфузия (КТП)
При использовании КТ и МРТ-диффузии мы можем с уверенностью найти ту зону, которая ишемизирована, но не сможем сказать о зоне большой ишемической пенумбры (ткань риска).
При помощи перфузии можем ответить на вопрос, какая ткань находится в риске. По статистике 26% пациентам следовало бы выполнить перфузию для уточнения диагноза. Возможности МРТ перфузии и КТ сопоставимы.
Было проведено исследование для сравнения КТ и МРТ, при котором было установлено, что для выполнения КТ, КТА и КТП при условии, что у вас хорошо сложенная команда, требуется 15 минут.
В данном случае была выполнена только КТ так, как выявлено кровоизлияние.
В этом случае изначально выполнены КТ без контрастирования и КТ-перфузия так, как выявлен дефект перфузии было целесообразно выполнение КТ-ангиографии, на которой выявлено диссекция левой внутренней артерии.
Мрт при диагностике острого нарушения мозгового кровообращения
На PD/T2WI и FLAIR выглядит гиперинтенсивно. На PD/T2WI и FLAIR последовательностях возможно диагностировать до 80% инфарктов впервые 24 часа, но впервые 2-4 часа после инсульта изображение также может быть неоднозначным.
На PD/T2WI и FLAIR продемонстрировано гиперинтенсивность в районе левой средней мозговой артерии. Обратите внимание на вовлечение в процесс лентиформного ядра и островковой доли.
Область с гиперинтенсивным сигналом на PD/T2WI и FLAIR соответствует гиподенсивной области на КТ, что в свою очередь прямой признак гибели клеток мозга.
Диффузно-взвешенное изображение
DWI наиболее чувствительна к инсульту. В результате цитотоксического отека возникает дисбаланс внеклеточной воды к Броуновскому движению, поэтому данные изменения выявляются отлично на DWI. В норме протоны воды диффундируют внеклеточно, поэтому теряется сигнал. Высокая интенсивность сигнала на DWI указывает на ограничение протонов воды диффундировать внеклеточно.
Представлены ДВИ инфаркт передней, задней, средней мозговой артерии.
Обратите внимание на изображение и предположите, где патология.
После продолжите чтение.
Вывод:
Есть некоторая гиподенсность и отек в левой лобной доли со старостью борозд в сравнении с контр-латеральной стороной.
Далее DWI снимки того же пациента.
После просмотра DWI нет сомнения, что это инфаркт. Именно поэтому DWI называют инсульт последовательностью.
Когда мы сравниваем результаты на T2WI и DWI во времени, мы заметим следующее: В острой фазе T2WI норма, но со временем зона инфаркта станет гиперинтенсивной.
Гиперинтенсивность на T2WI достигает своего максимума между 7 и 30 дней. После этого сигнал начинает угасать.
На DWI гиперинтенсивная область в острой фазе, а затем становится более интенсивной с максимумом на 7 дней.
На DWI у пациента с инфарктом головного мозга визуализируется гиперинтенсивная область примерно на 3 недели после начала заболевания (при инфаркте спинного мозга на DWI визуализируется гиперинтенсивная область на одну неделю!).
На ADC будет сигнал низкой интенсивности с минимальной интенсивностью в первые 24 часа, после сигнал будет увеличиваться в интенсивности и, наконец, становится максимально интенсивным в хроническую стадию.
Псевдо-улучшение на DWI
Псевдо-улучшение наблюдается на 10-15 день.
Слева показана норма на DWI.
На T2WI там могут быть гиперинтенсивная область в правой затылочной доле в сосудистой территории задней мозговой артерии. В T1WI после введения контрастного препарата на основе гадолиния визуализируется повышение сигнала (зона инфаркта указана стрелкой).
Прежде считалось, что гиперинтенсивный сигнал на DWI — это мертвые ткани. Новейшие исследования доказывают, что некоторые очаги из них вероятно могут быть потенциально обратимым повреждениям.
Это наглядно показано, если сравнить изображения одного и того же пациента DWI в острейшую фазу и Т2WI в хроническую фазу. Размер поражения на DWI намного больше.
МРТ перфузия.
Перфузия на МРТ сопоставима с КТ-перфузией. При МР-перфузии используется болюс с контрастным веществом Gd-DTPA. Т2 последовательности более чувствительны к изменению сигнала, поэтому используются для МР-перфузии.
Зона с дефектом перфузии является безвозвратно ишемизированной тканью или зоной пенумбры (ткань риска). При комбинировании диффузно-взвешенного изображения и перфузии есть возможность отдифференцировать зоны пенумбры и зоны безвозвратной ишемии.

На нижележащих изображениях слева представлена диффузно-взвешенное изображение, на котором возможно выявить ишемизированную ткань. Среднее изображение соответствует мр- перфузии, на котором визуализируется огромная область гипоперфузии. На крайне правом изображении diffusion-perfusion mismatch визуализируется зона ткани-риска, которая отмечена синим и возможно будет сохранена после терапии.
Ниже представлены изображения пациента, у которого были установлены неврологические проявления около часа назад. Постарайтесь выявить патологические изменения, а после продолжите чтение.
Данные изображения соответствуют норме, поэтому следует перейти к диффузно-взвешенному изображению. Взгляните на следующие изображения.
Источник:
Базальные ядра головного мозга
20.03.2019
Базальные ядра головного мозга – это функционально и анатомически связанные скопления серого вещества в глубоких отделах мозга.
Эти структуры углублены в белое вещество, выполняющее функцию передатчика информации.
Еще в эмбрионе базальные ядра развиваются из ганглиозного бугорка, формируясь затем в зрелые мозговые структуры, выполняющие строго специфические функции в нервной системе.
Базальные ганглии расположены на линии основания головного мозга, находясь сбоку от таламуса. Анатомически высокоспецифичные ядра входят в совокупность переднего мозга, что располагается на грани лобных долей и стволовым отделом мозга. Часто под термином «подкорка» специалисты подразумевают именно набор базальных ядер головного мозга.
Анатомы различают три сосредоточения серого вещества:
- Полосатое тело. Под этой структурой разумеется набор двух не совсем дифференцированных частей:
- Хвостатое ядро головного мозга. Имеет утолщенную головку, образующую спереди одну из стенок бокового желудочка мозга. Тонкий же хвост ядра прилегает ко дну латерального желудочка. Также хвостатое ядро граничит с таламусом.
- Чечевицеобразное ядро. Эта структура идет параллельно предыдущему скоплению серого вещества и ближе к окончанию с ним же и сливается, образуя полосатое тело. Чечевицеобразное ядро состоит из двух белых прослоек, каждая из которых получило свое название (бледный шар, скорлупа).
Corpus striatum получило такое свое название из-за чередования расположения на его сером веществе белых полосок. В последнее время чечевицеобразное ядро утратило свой функциональный смысл, и называют его исключительно в топографическом разумении. Чечевицеобразное ядро, как функциональную компиляцию, называют стриопаллидарной системой.
- Ограда или claustrum – это малая тонкая серая пластинка, расположенная у скорлупы полосатого тела.
- Миндалевидное тело. Это ядро расположено под скорлупой. Также эта структура относится лимбической системе мозга. Под миндалиной разумеют, как правило, несколько отдельных функциональных образований, но их объединили по причине близкого расположения. Такая область мозга обладает множественной связной системой с другими структурами мозга, в частности с гипоталамусом, таламусом и черепно-мозговыми нервами.
Сосредоточением из белого вещества является:
- Внутренняя капсула — белое вещество между таламусом и чечевицеобразным ядром
- Наружная капсула — белое вещество между чечевицей и оградой
- Самая наружная капсула — белое вещество между оградой и островком
Внутренняя капсула делится на 3 части и содержит следующие проводящие пути:
Передняя ножка:
- Фронтоталамический путь — связь между корой лобной доли и медиадерзальным ядром таламуса
- Фронтомостовой путь — связь между корой лобной доли и мостом головного мозга
Колено:
- Корково-ядерный путь — связь между ядрами двигательной коры и ядрами двигательно-черепных нервов
Задняя ножка:
- Корково-спинномозговой путь — проводит двигательные импульсы от коры большого мозга к ядрам двигательных рогов спинного мозга
- Таламо-теменные волокна — Аксоны нейронов таламуса связаны с постцентральной извилинной
- Височно-теменно-затылочно-мостовой пучок — связывает ядра моста с долями головного мозга
- Слуховая лучистость
- Зрительная лучистость
Функции базальных ядер
Базальные ядра обеспечивают весь набор функций поддержания базовой жизнедеятельности организма, будь это процессы обмен веществ или основные витальные функции.
Как и всякий регуляторный центр в мозгу, набор функций определяется количеством его связей с соседними структурами. Стриопаллидарная система имеет множество таких связей с корковыми отделами и участками стволового отдела мозга.
Также система имеет эфферентные и афферентные пути. К функциям базальных ядер относится:
- контроль двигательной сферы: поддержание врожденной или выученной позы, обеспечение стереотипных движений, паттернов реагирования, регуляция мышечного тонуса в определенных позах и ситуациях, мелкая моторика и интеграция малых двигательных движений (каллиграфическое письмо);
- речь, словарный запас;
- наступление периода сна;
- реакции сосудов на изменения давления, метаболизм;
- теплорегуляция: теплоотдача и теплообразование.
- Кроме этого базальные ядра обеспечивают деятельность защищающих и ориентировочных рефлексов.
Симптомы нарушения работы базальных ядер
При повреждении или нарушении функции базальных ядер возникают симптомы, связанные с нарушением координации и точности движений. Такие явления именуются собирательным понятием «дискинезия», которое, в свою очередь, подразделяется на два подвида патологий: гиперкинетические и гипокинетические нарушения. К симптомам нарушения деятельности базальных ганглиев относится:
- акинезия;
- обеднение движений;
- произвольные движения;
- замедленные движения;
- повышение и понижение тонуса мышц;
- тремор мускулов в состоянии относительного покоя;
- десинхронизация движений, отсутствие между ними координации;
- обеднение мимики, скандированный язык;
- беспорядочные и аритмические движения мелких мышц кисти или пальцев, всей конечности или части целого тела;
- патологические непривычные для больного позы.
В основе большинства проявлений патологической работы базальных ядер лежит нарушения нормального функционирования нейромедиаторных систем мозга, в частности – дофаминэргической модулирующей системы мозга. Кроме этого, однако, причинами возникновения симптомов служат перенесенные инфекции, механические травмы головного мозга или врожденные патологии.
Патологические состояния ядер
Среди патологий базальных ганглиев чаще всего встречаются следующие:
Корковый паралич. Эта патология образуется вследствие поражения бледного шара и стриопаллидарной системы в целом. Паралич сопровождается тоническими судорогами ног или рук, туловища, головы. Больной с корковым параличом совершает хаотические медленные движения с небольшим размахом, вытягивает губы и двигает головой. На его лице выступает гримаса, он перекашивает рот.Болезнь Паркинсона. Эта патология проявляется мышечной ригидностью, оскудением двигательной активности, тремором и неустойчивостью положения тела. Современная медицина, к сожалению, кроме симптоматической терапии, не имеет других альтернатив. Препараты лишь снимают проявления болезни, не устраняя ее причину.Болезнь Гетингтона – генетически обусловленная патология базальных ядер. Кроме физических проявлений болезни (хаотичные движения, непроизвольные сокращения мышц, отсутствие координации, скачкообразные движения глаз), пациенты также страдают психическими расстройствами. С прогрессированием патологии больные претерпевают качественные изменения личности, ослабляются их умственные способности, теряется способность абстрагировано мыслить. На исходе патологии, как правило, перед врачами предстает депрессивный, панический, эгоистичный и агрессивный пациент с ослабевшими когнитивными способностями.
Диагностика и прогноз патологии
Диагностикой, кроме врачей-неврологов, занимаются врачи остальных кабинетов (функциональная диагностика). Основными методам выявления болезней базальных ядер являются:
- анализ жизни больного, его анамнез;
- объективный внешний неврологический осмотр и физикальное исследование;
- магнитно-резонансная и компьютерная томография;
- исследование структуры сосудов и состояния кровообращения в головном мозгу;
- УЗИ;
- визуальные методы исследования структур головного мозга;
- электроэнцефалография;
Прогностические данные зависят от множества факторов, таких как пол, возраст, общая конституция больного, момент заболевания и момент диагностирования, его генетических склонностей, течения и эффективности лечения, собственно патологий и ее деструктивных свойств. По данным статистики – 50% заболеваний базальных ядер имеют неблагоприятный прогноз. Остальная же половина случаев имеет шанс на адаптацию, реабилитацию и нормальную жизнь в обществе.
Не нашли подходящий ответ?
Найдите врача и задайте ему вопрос!
Источник:
Ишемия головного мозга — Визуализация при инсульте
Данный системный подход на основе презентации Majda Thurnher и адаптирован для Radiology Assistant Robin Smithus. Роль КТ и МРТ в диагностике инсульта.Ранние признаки инфаркта на КТ и МРТ.
Цель визуализации у пациентов с острым инфарктом.
- 1) исключить кровотечение.
- 2) дифференцировать мертвую ткань головного мозга и ткань в риске-пенумбры.
- 3) выявить стеноз или окклюзию экстра- и интракраниальных артерий.
Пенумбра: Окклюзия в СМА. Черным указано ткань с необратимыми изменениями или мертвая ткань. Красным выделена ткань-риска или пенумбра.
МРТ перфузия.
Перфузия на МРТ сопоставима с КТ-перфузией. При МР-перфузии используется болюс с контрастным веществом Gd-DTPA. Т2 последовательности более чувствительны к изменению сигнала, поэтому используются для МР-перфузии.
Зона с дефектом перфузии является безвозвратно ишемизированной тканью или зоной пенумбры (ткань риска). При комбинировании диффузно-взвешенного изображения и перфузии есть возможность отдифференцировать зоны пенумбры и зоны безвозвратной ишемии.

На нижележащих изображениях слева представлена диффузно-взвешенное изображение, на котором возможно выявить ишемизированную ткань. Среднее изображение соответствует мр- перфузии, на котором визуализируется огромная область гипоперфузии. На крайне правом изображении diffusion-perfusion mismatch визуализируется зона ткани-риска, которая отмечена синим и возможно будет сохранена после терапии.
Ниже представлены изображения пациента, у которого были установлены неврологические проявления около часа назад. Постарайтесь выявить патологические изменения, а после продолжите чтение.
Данные изображения соответствуют норме, поэтому следует перейти к диффузно-взвешенному изображению. Взгляните на следующие изображения.

На DWI выявляется зона ограничения диффузии, и если после выполнения перфузии не будет выявляться зона перфузии, то следовательно нет смысла выполнять тромболизис.
На выше лежащих изображениях визуализируется инфаркт в бассейне СМА. На КТ четко визуализируются необратимые изменения. Далее представлены DWI и перфузия. При сопоставлении зон становится ясно, что не нужно выполнять тромболизис
Выше представлены ADC и DWI map.
При ознакомлении с перфузионными изображениями, то визуализируется несоответствие. В левом полушарии выявлена область гипоперфузии. Данный пациент абсолютный кандидат на тромболитическую терапию.
Источник:
Гиподенсная зона головного мозга что это
Гиподенсные образования — что это? как диагностировать? как лечить? Термин гиподенсный произошел от латинского слова «hypo» «пониженный» и английского слова «density», которое переводится как «плотность».
Соответственно, когда говорят о гиподенсном образовании, это означает, что в органе, который исследовался, обнаружился участок ткани с пониженной плотностью. Обычно об этом узнают после диагностики с помощью методов визуализации.
Это может быть УЗИ, компьютерная томография или МРТ.
Может быть выявлено гиподенсное образование печени, почки, поджелудочной железы, щитовидной железы, костей и других органов и тканей.
Что может означать обнаружение гиподенсного образования?
Если после диагностической процедуры в заключении вам написали, что обнаружено гиподенсное образование, то это указывает на наличие патологического процесса. Но гиподенсное образование – это не окончательный диагноз.
Пониженная плотность ткани может указывать на наличие:
Для того чтобы выяснить, какая именно патология имеет место, необходимо провести дополнительное обследование. Это могут быть лабораторные исследования, биопсия и другие более специфические методы, которые позволят точно диагностировать болезнь.
Как лечат гиподенсивные образования в Германии?
Любое из заболеваний, которое «скрывается» под формулировкой «гиподенсивное образование» лечат в Германии. Разработаны методики, которые позволяют наиболее эффективно лечить доброкачественные и злокачественные опухоли различных органов.
В немецких клиниках лечат рак поджелудочной железы, рак печени и внутрипеченочных протоков, меланому, неходжинскую лимфому, рак желудка и многие другие злокачественные болезни. Разработаны методики лечения даже для самых редких заболеваний.
В зависимости от конкретного вида болезни лечение может включать медикаментозное лечение, оперативное вмешательство, лучевую терапию, таргетную терапию.
У вас обнаружено гиподенсное образование какого-то органа? Не отчаивайтесь. Вы можете поехать в Германию на лечение, выяснить, что конкретно за патология у вас имеется и подобрать оптимальное лечение для вашего заболевания.
Лечение гиподенсивного образования в Германии – это возможность как можно раньше поставить точный диагноз и подобрать наиболее эффективное лечение. Обратитесь к нам за консультацией. Мы проводим запись на диагностику каждый день в рабочее время.
Новости
- Лучше клиники Германии
- Только профильные врачи
- Индивидуальный подход
- Быстрая обратная связь
- Врачебная тайна
- Взаимодействие с клиентом
- Клиентская поддержка 24/7
- Возврат платежа в случае отказа клиники
- Юридическая ответственность врача
- Медицинский перевод выписок
- Независимое мнение нескольких врачей
- 100% конфиденциальность
Какие виды лечения в Германии организует EMEX Medical?
Немецкая медицинская компания EMEX Medical GmbH предоставляет максимально широкий спектр услуг, касающихся лечения в Германии. Мы сотрудничаем с клиниками, которые специализируются на лечении самых разных направлений: кардиология, гастроэнтерология, офтальмология, хирургия, онкология, ортопедия.
Помимо этого, лечение в Германии доступно не только взрослым, но и детям – с учетом всех возрастных особенностей. Конечно же, перед началом лечения необходимо пройти диагностику – с этим профессионально справятся немецкие врачи, при помощи новейших диагностических процедур и технологий.
Если Вы хотите не только получить высококачественное лечение и диагностику в Германии, но и провести для себя профилактические меры, связанные с предотвращением возможных осложнений к болезням, к которым у Вас есть предрасположенность – обращайтесь к команде профессионалов EMEX Medical.
Остались вопросы? Консультанты нашего центра с радостью предоставят всю необходимую информацию, касающуюся лечения в Германии, а также организационных процедур. Для этого воспользуйтесь кнопкой обратной связи, размещенной на нашем сайте.

В результате нарушения гематоэнцефалического барьера в подострой стадии инфаркта при контрастной КТ или МРТ отмечается контрастное усиление его очага. Контрастирование очага инсульта возникает позднее появления зоны гиподенсности.
Наибольшая частота контрастирования и его выраженность отмечаются в течение от 2-й до 3-й недель. Затем контрастное усиление очага инсульта ослабевает и редко наблюдается после 10 нед.
Так же редко оно наблюдается в течение 1 -й недели, в связи с чем проведение КТ с введением контрастного вещества в течение первых 5 дней инфаркта.
Иногда большой инфаркт мозга может выглядеть как опухоль или абсцесс. В случае сомнения следует учитывать, что выраженность контрастирования и масс-эффекта имеет тенденцию уменьшаться с течением времени при инфаркте, в то время как при опухоли или абсцессе обычным является постепенное увеличение выраженности патологических изменений.
При инфаркте локализация зоны поражения и ее увеличение соответствуют определенному сосудистому бассейну. Зона контрастирования затрагивает серое вещество, при опухолях контрастируется и белое вещество.
В таких случаях зона гиподенсности имеет вид, повторяющий границы белого вещества (вазогенный отек). Гиподенсность, наблюдаемая при инфаркте, обычно имеет форму клина (цитотоксический отек).
КТА или МРА позволяют обнаружить окклюзию мозговой артерии.
Геморрагические инсульты возникают вследствие реперфузии зоны предыдущего ишемического инфаркта.
На более поздних стадиях инсульта — с 4-й по 6-ю неделю — масс-эффект исчезает, и пораженная область визуализируется на компьютерной томограмме как четко очерченный очаг гиподенсности или кистозная полость. Контрастное усиление его обычно отсутствует.
Патологический очаг трансформируется в остаточную кистозную полость с той же плотностью, что и у спинномозговой жидкости (СМЖ). Наблюдаются потеря объема вещества мозга и глиоз. Границы гиподенсного очага в бассейне сосудистого поражения становятся четкими.
Происходит подчеркивание прилегающих кортикальных борозд, часто наблюдается последовательное расширение соседнего желудочка. Этот эффект объясняется потерей объема мозговой ткани. Четко очерченная зона гиподенсности является отражением фокальной энцефало-маляции.
Потеря части ткани мозга приводит к гидроцефалии.
Источник:
Что собой представляют базальные ядра
Серое вещество в виде отдельных скоплений располагается в толще основания переднего отдела головного мозга. Там оно образует базальные ядра: парные структуры, части которых симметричны между собой. Физиологически они связаны с белым веществом мозга и медиобазальными отделами коры.
Базальные ядра координируют передачу импульсов от одного полушария к другому, тем самым способствуют скоординированной работе органа. Связь с остальными отделами мозга осуществляется при помощи длинных отростков – аксонов.
К базальным ганглиям головного мозга относятся:
- Миндалевидное тело. Располагается в толще височных долей больших полушарий. Принадлежит к структурам лимбической системы головного мозга, которая отвечает за выработку гормона настроения – дофамина. Так миндалевидное тело обеспечивает контроль над эмоциональной составляющей состояния человека.
- Полосатое тело. Его образуют хвостатое и чечевицеобразное ядро головного мозга. На разрезе эта структура представляет собой чередующиеся полосы белого и серого вещества, из-за чего и получила такое название. С помощью него осуществляется регуляция мышечного тонуса в сторону ослабления; контролируется работа внутренних органов; реализуются поведенческие реакции и формируются условные рефлексы.
- Ограда. Представляет собой тонкую пластинку серого вещества, которая прилегает к внутреннему слою новой коры (неокортекс) в центре головного мозга. Также относится к лимбической системе. Некоторые ученые полагают, что ограда участвует в формировании сексуальных чувств.
Подкорковые ядра головного мозга функционально объединены в две системы. Первая группа представляет собой ее стриопаллидарную часть. К ним относятся хвостатое ядро, скорлупа и бледный шар. А вторая – экстрапирамидная – помимо оставшихся базальных ядер включает в себя продолговатый мозг, мозжечок, черную субстанцию и структуры вестибулярного аппарата.
Последствия патологий базальных ганглий
Проявления патологии даже при удачном лечении будут сопровождать заболевшего всю жизнь и могут быть причиной инвалидизации. Развитие болезни чаще всего корректируется приемом лекарственных препаратов, физиотерапевтическими процедурами, физическими упражнениями, укреплением нервной системы.

Как известно, адаптационные силы организма велики. Но при этом заболевшему и его близким нужно запастись терпением и выполнить все назначения специалистов: от этого зависит эффективность реабилитационных мер и будущая адаптация в обществе.
Базальные ядра головного мозга Ссылка на основную публикацию
Источник:



