Метод извлечения сломанного эндодонтического инструментария из корневого канала зуба (часть 1) — Укрдентал
- Уважаемые коллеги!
- Но, как говориться — c’est la vie! (Такова жизнь!). Вот эта-то «силяви» меня и перестала устраивать.
- Но все же, эндодонтический инструмент остается холодным металлом и никто не застрахован от его поломки в канале корня зуба
- Сначала хочу немного ознакомить вас с некоторыми существующими, на сегодняшний день, методами извлечения сломанного инструментария, чтобы сказать о кое-каких их недостатках
- Самым распространенным есть метод — не вынимать, а обойти и включить обломок в пломбировочный материал
- Второй наиболее распространенный метод — это попытка освободить обломанный инструмент за счет расширения стенок корневого канала вокруг него и попытаться ухватить обломок каким-либо тонким пинцетом
- Следующий метод виден на приведенном рисунке 5.
Эту, на мой взгляд, поучительную и полезную историю начну пожалуй, с небольшой пред истории.
В те не столь еще далекие годы, когда металлокерамика наконец-то вырвалась к нам из стен четвертой управы и у нас с вами появилась реальная возможность делать поистине красивые, надежные и долговечные цельнолитые конструкции мостовидных протезов, я как и многие из вас захотел приобщиться к этому мастерству. Я занимался только ортопедической стоматологией, руки были заточены нормально и в том, что справлюсь с этим видом протезирования, я не сомневался.
Но я совсем не подозревал тогда, что меня поджидают обстоятельства, которые в корне изменят всю специфику моей работы. Как и большинство врачей-ортопедов я пользовался услугами своих коллег терапевтов, для подготовки зубов к предстоящему протезированию.
Конечно же терапевтам было не привыкать к процедуре депульпирования зубов, но все же к такой массе, вдруг навалившейся на их плечи совершенно здоровых зубов, которые им предстояло депульпировать, они были не очень-то готовы.
К тому же в то время с хорошим эндодонтическим инструментом, мягко говоря, были проблемы.
Инструменты начали трещать в каналах как орехи. Поломка инструмента в канале приводила, в лучшем случае, к предупреждению пациента о «не очень хорошем зубе» и о его недолговечности или к острым осложнениям через весьма непродолжительное время «залеченного» зуба и к удаления оного, к переделки мостов или к полной смене конструкций протезов вплоть до съемных пластинчатых.
Но, как говориться — c’est la vie! (Такова жизнь!). Вот эта-то «силяви» меня и перестала устраивать
Кто-то может заметить, что мне не повезло с врачом-терапевтом, но значит не мне одному, а если говорить еще с большей уверенностью, то дело здесь совсем не в везении.
Сейчас, наконец-то, стали очень много, что и радует, уделять внимания этой области терапевтического лечения зуба.
Но все же, эндодонтический инструмент остается холодным металлом и никто не застрахован от его поломки в канале корня зуба
Кстати, на прошедшей в Москве выставке «СТОМА-98» врач — один из разработчиков и исследователь представляющий эндодонтический наконечник «Canal Leader 2000» — Dr. Wm. Ben Johnson произнес, на мой взгляд, очень хорошую фразу — «…
и если ко мне подходит врач и говорит, что он ни разу не ломал инструмент в канале, то я считаю, что на это есть три причины: или он никогда не занимался эндодонтией, или он просто плохо старался, или он попросту говорит не правду…
« (дословно — из уст переводчика).
Ну, а если теперь о главном, то вот именно с этого момента, когда устал от c’est la vie и всех ее последствий, я постепенно стал вникать во все коварство и прелесть этой чудесной девушки Эндодонтии.

А начал я с того, что изо дня в день перекапывал все имеющееся свое мозговое вещество с одной мыслью — как его от туда?! Но неожиданного открытия не получилось.
Мне просто пришлось потратить массу времени на исследовательскую работу со всевозможными существующими технологиями, проводить уйму замеров, разбираться в свойствах применяемых инструментов и металлов, пытаться и разочаровываться, и опять при первом же предоставленном случае снова и снова пробовать.
И как результат, в конечном итоге — самостоятельно под микроскопом создать совершенно новый инструмент.
Как вы надеюсь уже поняли, в противном случае вы сейчас не читали бы этой статьи, время было потрачено не зря — у меня получилось приспособление или точнее сказать небольшой набор инструментов, который и дает возможность извлечь любой обломанный и оставшейся на любом уровне в канале, т.е не зависимо от глубины его залегания, эндодонтический инструмент. А значит и сохранить тот самый зуб, ради которого мы все с вами и существуем.
Самым распространенным есть метод — не вынимать, а обойти и включить обломок в пломбировочный материал
По-моему каждый, кто хоть раз сталкивался с этой проблемой, пытался это сделать и в некоторых случаях это выручает.
Однако нельзя не заметить тот факт, что успех данной методики во многом зависит не от вашего желания и мастерства, а скорее от кривизны и ширины корневого канала, от конкретно обломанного инструмента (его размер и форма) и конечно же от расположения самого зуба, т.е анатомия корневого канала и зуба, в данной процедуре — основной управляющий фактор.
| Рис. 1 | На первом представленном R-снимке (рис. 1) видно, что удалось обойти обломок инструмента и все каналы зуба готовы к последующей пломбировке. На втором R-снимке (рис. 2) также виден обходной путь, канал запломбирован и обломанный инструмент включен в пломбировочную массу. | Рис. 2 |
Второй наиболее распространенный метод — это попытка освободить обломанный инструмент за счет расширения стенок корневого канала вокруг него и попытаться ухватить обломок каким-либо тонким пинцетом
Пытаются использовать при этом и ультразвук (кстати, никогда не пытайтесь приспособить ультразвук, ну если только для промывки, не хочу преподносить прописные истины физики ультразвука, а если сами немного подумаете, то поймете, что он лишь сможет усугубить ситуацию). А насчет пинцета, то представьте с какой силой он должен ухватить заклинившейся обломок, чтобы смочь извлечь его и где вы в корне найдете столько места, чтобы просто ввести пинцет разжатым в канал?!
| Рис. 3 | На представленных снимках, обломанный инструмент (рис. 3) был извлечен из канала путем расширения просвета вокруг обломка. На рис. 4 тот же зуб с запломбированным каналом и как осложнение при данной манипуляции видна перфорация в области бифуркации корня. | Рис. 4 |
В моей практике встречалось одно очень печальное событие, правда оно случилось не со мной хотя я и имел к этому некоторое отношение. Этот случай напрямую связан с попыткой врача извлечь сломанный инструмент подручными средствами и потому я считаю нужным рассказать вам о нем.
87 год, я работал в одной из детских клиник Москвы.
Пациент десятилетний мальчик, обломанный центральный резец, не предвещавшая никаких неожиданностей обычная предпломбировочная манипуляция по чистке канала, но случайная неосторожность и перфорирование апикального выхода приводит к заклиниванию инструмента и поломке последнего у самого основания головки.
Видимо сказалось и усталость инструмента и чрезмерно большие обороты машины. Но как бы там ни было, а инструмент был заподлицо с обломанным зубом.
Врач пытается расширить канал и при помощи пинцета вынуть этот дрильбор, но после тщетных попыток и проталкивания инструмента еще на 5 мм за апекс он начинает осознавать всю безвыходность данного положения. Я уже тогда, правда с переменным успехом, мог извлекать обломки инструментов.
Коллеги зная об этом пригасили меня, но за отсутствием нужных приспособлений я осмотрел и посоветовал прикрыть временной повязкой и оставить до следующего дня, тем более что сильных болевых ощущений у пациента это не вызывало. Каково же было мое жуткое удивление когда на следующее утро я встретил мальчика изнемогающего от боли, с сильным отеком в области носа и с рентгеновским снимком по которому было видно, что инструмента в зубе нет, точнее в апикальной части корня оставалось максимум 0.5 — 1 мм инструмента, остальное было там — в проекции носа.

К этому печальному состоянию привели все последующие действия моего коллеги с попытками все же достать злосчастный обломок, а вот чем и как он это делал — это будет следующий метод доставания — описанный в нашей профессиональной литературе. Как вы понимаете, закончилась данная процедура в ЦНИИСе с долгой госпитализацией пациента, так как даже после удаления зуба инструмент извлечь не удалось.
Следующий метод виден на приведенном рисунке 5
| Рис. 5 | И название у данного метода присутствует — «Braiding-Technik». Но во-первых: именно это и привело к выше описанному печальному факту, во-вторых: где во рту взять столько места, когда порой и с одним-то инструментом не развернешься, в-третьих: визуальный контроль рабочего поля в данной ситуации напрочь отсутствует, так что уважаемые мои коллеги, если есть желание попробуйте — может что и выйдет, если к тому же рот большой и время есть. Суть данного метода заключается в все в том же расширении просвета между стенками корня и обломком инструмента, но извлекается обломок не при помощи пинцета, а посредствам введения на максимальную глубину в образовавшийся просвет трех Hedstrem-File, с перекруткой последних вместе с обломком и попыткой извлечения вей этой конструкции из зуба. На мой взгляд, слишком заманчиво это предложение и потому позволю себе еще одно лирическое отступление. |
Стюардесса делает объявление на борту самолета: — Граждане пассажиры, вы находитесь на борту Суперавиолайнера, на первом этаже которого находится багажное отделение, на втором этаже библиотека на 10 000 томов книг и читальный зал, на третьем ресторан и коктейль бар — где вы сможете расслабится и культурно провести часы досуга предстоящего полета, на четвертом этаже этого чудо-самолета сейчас находимся мы с вами… ну, а теперь пристегнитесь и командир экипажа пилот Сидоров попробует всю эту … поднять в воздух!
На следующих страницах я познакомлю Вас с методом, технологией и инструментами, которыми я уже в течении многих лет (в основном выручаю коллег) успешно извлекаю любой обломок, на любом уровне и из любого канала зуба. Хотя, может быть, не все так и просто!
Источник:
Сломали инструмент в канале зуба при лечении, последствия и извлечение обломка
Бродский Сергей Евгеньевич
Заместитель главного врача, кандидат медицинских
наук по специальностям: стоматология и медицинская микробиология
Обломок инструмента в канале зуба, оставшийся после лечения, крайне неприятное осложнение, которое встречается в практике любого, даже имеющего высокую квалификацию и многолетний опыт работы, дантиста. Само по себе такое осложнение эндодонтического лечения вреда не приносит, т. к.
сплав, применяемый для изготовления файлов (специальные иглы для прохождения каналов зуба) достаточно инертный и не вызывает аллергии. Однако проблема, связанная с поломкой инструмента в канале зуба, существует.
Она заключается в том, что металлические обломки закупоривают канал зуба, и врач не может качественно его очистить.
Основные способы попадания обломков стоматологического инструментария в зубные каналы
Сломанный инструмент в канале зуба может появиться вследствие непосредственного влияния нескольких причин, и напрямую связано с процедурой лечения.
Чаще всего такая ситуация возникает при удалении отмершего нерва или сосудов – в зубе остаётся обломок инструмента, который по решению стоматолога может быть удалён или оставлен, в зависимости от имеющихся у пациента показаний.
Также причиной того, что в канале зуба остался инструмент, может быть:
- При прохождении стоматологом искривленных и узких каналов стоматологический инструментарий может не выдержать напряжения, спровоцированного их изгибами.
- При использовании только ручных инструментов надлом наконечника происходят вследствие металлургического дефекта или из-за усталости металла.
Ситуация, при которой в канале зуба остается инструмент, при эндодонтическом лечении не обязательно имеет связь с обработкой корневых каналов, однако такая возможность – это одна из актуальных проблем клинической стоматологии.
Последствия проблемы
Современный инструментарий эндодонтистов нередко ломается, причем не допустить, чтобы сломался инструмент в канале зуба, заранее не может ни один специалист.
Не поможет в этом ни тщательный визуальный осмотр инструментария, ни ограничения в его использовании – внезапно сломаться может и новый инструмент.
Если произошел отлом файла инструмента в канале зуба, это может оказать негативное влияние на последующие стоматологические манипуляции. В большинстве случаев инструмент, оставшийся в канале зуба, дальней его части, приносит следующие последствия:
- Кусочки файла, оставшиеся после того, как сломали инструмент в канале зуба, могут подвергнуться коррозионным процессам, в результате чего происходит раздражение стенок корневого канала, способное привести к потере зуба.
- Если оставили инструмент в канале зуба, он может спровоцировать воспалительные явления, особенно если на отломленном фрагменте или под ним сохранились частички инфицированной пульпы.
- Оставленный инструмент в канале зуба не позволяет запломбировать оставшуюся его часть.
Эндодонтический прогноз в этих ситуациях имеет непосредственную зависимость от того, на каком этапе обработки зубного канала произошла поломка инструментария.
Процедура удаления обломков инструмента из зубного канала
Если стоматолог находит или сам оставляет инструмент в канале зуба, что делать в этой ситуации становится для него самым актуальным вопросом.
Когда при расширении и очистке зубного канала или при удалении из него нерва в зубе остается инструмент, тактика его извлечения должна подбираться индивидуально для каждого пациента, в зависимости от того, в какой части произошла неприятность.
Самым первым шагом, который должен выполнить дантист, является информирование человека о возникшей проблеме. Само удаление инструментов из канала зуба предусматривает выполнение врачом ряда последовательных манипуляций:
- К отломившемуся куску файла с помощью специальной дрели подходящего размера и под контролем стоматологического микроскопа, увеличивающего обзор операционного поля в 30-40 раз, создается прямой доступ.
- Специалист проводит непосредственное высвобождение кончика обломка из окружающего его дентина. Для этой цели применяют ультразвуковой инструмент, с несколькими сменными насадками.
- Высвобожденный из дентина кончик обломка зажимают системой IRS и вытаскивают из канала.
Однако если обломили инструмент в апексе канала зуба, в наиболее удаленной его части, необходимость попытки удаления частицы файла ставится под сомнение. Стоматологи-эндодонтологи обычно оставляют обломок на месте, «обходя» его, а далее выполняют обычное традиционное лечение. Как показывает клиническая практика, такие зубы хорошо стоят на протяжении нескольких лет.
https://youtube.com/watch?v=yjM6NTIwydM
Избежать неприятной ситуации, спровоцированной тем, что у пациента обломился инструмент в канале зуба, можно только при обращении за достаточно сложным эндодонтическим лечением в стоматологические клиники с отличной репутацией.
Посещение таких стоматологий дает гарантию качества манипуляций, проведенных дантистом. Одной из лучших стоматологий Бирюч считается клиника Партнер-мед. Огромное количество Бирюч уже оставило положительные отзывы о качестве проводимого в ней эндодонтического лечения.
Кроме этого клиника Партнер-мед имеет еще ряд неоспоримых преимуществ:
- в соматологии Партнер-мед всегда проводятся подробные консультации перед лечением;
- стоматологи, работающие в клинике, отлично знают, как не допустить ошибок при лечении каналов зуба;
- в своей работе дантисты, практикующие в этой стоматологии, используют только новейшие инструменты и аппаратуру, а также самые современные и безопасные медикаментозные средства.
Заместитель главного врача, кандидат медицинских наук по специальностям: стоматология и медицинская микробиология
Стаж работы: с 1999г.
Главный врач, стоматолог-ортопед, гнатолог, челюстно-лицевой протезист
Стаж работы: с 1988г.
Врач-стоматолог, хирург-имплантолог, ортопед, терапевт
Стаж работы: с 2000г.
Гигиенист, ассистент-стоматолога
Стаж работы: с 1994г.
Хирург-имплантолог
Стаж работы: с 2004г.
Врач-стоматолог, ортодонт, терапевт
Стаж работы: с 2016 г.
Врач стоматолог-терапевт-эндодонт
Стаж работы: с 2006г.
Стоматолог-остеопат
Стаж работы: с 1998г.
врач стоматолог-ортопед, терапевт
Стаж работы: с 2001г.
ЗАПИСАТЬСЯ НА КОНСУЛЬТАЦИЮ И ПОЛУЧИТЬ ДЕТАЛИЗИРОВАННЫЙ ПЛАН ЛЕЧЕНИЯ
БЕСПЛАТНО
Наша клиника
Источник:
Сломанный Инструмент В Канале
У вас прекрасный день, и вы чувствуете себя совершенно спокойно, проводя эндодонтическое вмешательство в нижнем моляре. Все этапы проходят правильно: пульповая камера вскрыта грамотно, соблюдая все правила консервативного лечения.
Вы обнаружили все корневые каналы, ориентируясь по топографическим данным. Затем вы приступаете к медикаментозной и механической обработке.
Чувствуете, что победа на вашей стороне: лезвия рабочих инструментов настолько острые, что удаление дентина выглядит как разрезание масла теплым ножом. Внезапно ваш ротационный файл продолжает вращаться без особых усилий.
Вы чувствуете некое сокращение в желудке: останавливаетесь, извлекаете файл из канала и замечаете, что ваш 25-миллиметровый инструмент теперь длинной в 20 мм. На рентгенограмме Вы видите сломанный инструмент в канале и теперь вам придется сообщить об этом пациенту…
Zaher Al-Taqi
ЧТО ЖЕ ДЕЛАТЬ???
Как вы будете теперь справляться с этой ситуацией?
Перелом эндодонтических инструментов в корневом канале является неприятным явлением, которое может препятствовать работе в корневом канале и негативно влиять на последующее лечение. Но поломка самого инструмента не может быть причиной для прекращения работы в канале.
Однако кусочки файла, оставшиеся в корневом канале, могут привести к трудностям при расширении канала. Общий эндодонтический прогноз вероятно будет зависеть от этапа, степени подготовки и медикаментозной обработки корневого канала во время поломки инструмента.
Основной прогнозирующий фактор в данном случае – наличие или отсутствие преоперативных изменений в периапикальных тканях.
Ранее в таких случаях предлагалось оставлять сломанный инструмент в канале, объясняя это тем, что данная манипуляция не повлияет на дальнейший прогноз, а извлечение обломка сопряжено с очень высоким риском (1,2).
Однако этими рекомендациями пользовались до возникновения и последующего внедрения в практику дентальных микроскопов и специализированных ультразвуковых приемов, которые устраняют риск возникновения осложнений.
Итак, согласно современным подходам в случае обламывания инструмента, у нас есть две тактики решения данной проблемы:
- Обхождение (байпассинг);
- Удаление инструмента.
РИС.1 ОБХОЖДЕНИЕ СЛОМАННОГО ИНСТРУМЕНТА
Техника обхождения в сравнении с другими рассматривается как наиболее консервативная относительно количества удаляемого дентина, особенно когда фрагмент инструмента расположен в апикальной трети или за пределами изгиба канала. Сообщалось, что если фрагмент файла будет обойден, то качество обтурации не нарушится (3).
Эта техника заключается в нахождении крошечного пространства позади обломанного инструмента и применении k-файла малого размера (6, 8, 10), предварительно подвергшегося прекурвингу. Движения при этом должны быть по часовой стрелке, а сами файлы предварительно смочены в геле ЭДТА. Эти простые советы облегчат нам задачу.
В момент нахождения этого пространства и внедрения файла в этот крошечный промежуток можно добавить небольшие клюющие движения, а также движения по часовой стрелке, пока мы не достигнем верхушки. Байпассинг следует проводить до k-файла 20 или 25 размеров (также рекомендуется использовать рентгендиагностику после смены размера файла).
После этого, у нас есть 2 тактики завершения формирования корневого канала: ручными инструментами и техникой step-back либо используя ротационные инструменты, однако есть небольшой риск (в данном случае предпочтительна небольшая конусность, как правило 4% достаточно для обеспечения качественной обтурации корневых каналов).
После окончания формирования активация ирригационных растворов с помощью ультразвуковых наконечников за сломанным файлом может привести к его удалению, если вам повезет.
РИС.2
УДАЛЕНИЕ СЛОМАННОГО ФАЙЛА
Сообщалось, что при наличии периапикальных поражений эндодонтическое лечение, скомпрометированное неудачами и ошибками, такими как сломанный инструмент, показывает более низкие результаты лечения (4).
По-видимому, удаление сломанного файла будет способствовать правильному контролю рабочей длины (при условии, что кривизна канала минимальна), формированию и эффективному обтурированию корневых каналов (5). Возможность удаления фрагмента колеблется от 53% до 95% (6,7).
Такое большое расхождения в результатах исследования объясняется многими факторами, влияющими на удаление сломанных инструментов, а именно:
- расположение, длина, тип и материал обломанного инструмента;
- вовлеченный зуб/канал;
- клинические навыки и доступный инструментарий (микроскоп, ультразвук и другие устройства для инструментального удаления).
РИС.3 МЕТОДЫ УДАЛЕНИЯ
Существует огромная вариация техник для возможности легкого удаления сломанного инструмента. Их можно разделить на следующие:
- ультразвуковая техника;
- техника захвата, так например при помощи микротрубных устройств, петли, микропинцета, цанги/щипцов (что будет описано в другой части этой статьи).
Не существует какой-то одной техники или устройства, которые могли бы быть использованы для всех случаев обломанного инструмента, каждую клиническую ситуацию следует хорошо оценить, прежде чем сделать свой выбор в пользу какого-либо метода удаления.
Успех выбранной техники был подробно представлен в случае выбора ульразвукового удаления (5,8), но, к сожалению, многие из микротрубочных систем имеют недостаточную научную оценку.
Для клиницистов это представляет некоторые трудности в оценке их относительной эффективности.
РИС.4 А) УЛЬТРАЗВУКОВАЯ ТЕХНИКА УДАЛЕНИЯ:
- рентгенологическая оценка (расположение инструмента, длина, кривизна); КЛКТ обеспечивает более детальную оценку в таких случаях;
- доступ к инструменту (прямой доступ к фрагменту при помощи Gates Glidden.2, 3 без модификации для сохранения как можно большего количества тканей зуба, либо использование больших размеров вращающихся файлов, пока инструмент не станет различим под микроскопм);
- следует использовать очень тонкие ультразвуковые насадки для освобождения фрагмента сломанного инструмента: ультразвуковое препарирование должно проводиться только по внутренней стенке кривизны корня (9);
- после ультразвукового препарирования, ирригирующий раствор, такой как ЭДТА, может использоваться с ультразвуковой активацией для легкого движения инструмента в сторону пульповой камеры.
— Выше представлены поэтапные изображения описанных выше манипуляций –
РИС.5 После удаления старой гуттаперчи инструмент был найден при помощи Gates Glidden.3 и стал визуализироваться под микроскопом (второе изображение).
Ультразвуковое препарирование для создания промежутка и освобождения инструмента от стенок дентина (третье изображение).
ПРИМЕЧАНИЕ: ультразвуковую обработку проводили только по внутренней стенке без движений против часовой стрелки для большего сохранения дентина (проследите на рентгеновском снимке после операции на предыдущем изображении).
РИС.6 – Верхний 7ой зуб с 2 сломанными инструментами в средней трети дистального канала. 2 фрагмента были успешно удалены с помощью увеличения и ультразвука. После подготовки крошечного пространства на внутренней стенке раствор ЭДТА был использован с ультразвуковой активацией для легкого продвижения инструмента в сторону пульповой камеры.
РИС.7 – ПРИМЕЧАНИЕ: ультразвуковая подготовка пространства на внутренней стенке (второе изображение, желтая стрелочка).
РИС.8 – Нижний моляр с двумя сломанными файлами, один в передне-щечном канале, другой – в задне-щечном корне.

Мезиальный был удален описанным выше методом. Дистальный расположен глубже апикально, поэтому в данном случае предпочтительна техника обхождения для сохранения как можно большего количества тканей дентина. После долгих попыток инструмент был обойден k-файлами, начиная с 6,8 номера и заканчивая 25ым. Завершение формирования канала осуществляем при помощи вращающихся файлов.
В этом случае наблюдалась перфорация в области фуркации, которая была закрыта при помощи МТА (обратите внимание на постоперативную рентгенограмму и изображения клинической ситуации).
РИС.9 – Изображения клинического случая, описанного выше: до начала лечения, удаление сломанного файла, обнаруженный срединный медиальный канал (ММ), перфорации закрыты при помощи МТА, обтурация выполнена в технике непрерывной волны.
РИС.10 – Когда фрагмент сломанного инструмента расположен в искривлении корневого канала, достаточно сложно увидеть его корональную часть под микроскопом, но с помощью изогнутой тонкой ультразвуковой насадки, помещенной на внутреннюю стенку кривизны, и с подготовкой небольшого пространства по этой стенке, инструмент можно извлечь.
Удаление сломанного инструмента
Обломанные инструменты могут быть успешно удалены при помощи различных методов, таких например как применение тонких ультразвуковых насадок. Микроскопическое наблюдение существенно помогает в извлечении сломанного файла из корневого канала. Так как удаление сломанного инструмента связано со значительным риском, следует также учесть возможность обхождения фрагмента (байпассинг).
Перевод выполнила Шинкевич Т. специально для сайта OHI-S.COM. Пожалуйста, при копировании материала не забывайте указывать ссылку на текущую страницу.
Источник:
Удаление сломанной верхушки зуба
В практике каждого врача-стоматолога часто случается такое, что во время удаления зуба в лунке остается верхушка корня этого самого злополучного зуба. Что делать — работа врача, особенно, врача-хирурга – это риск. А, как известно, кто не рискует – тот не пьет Трихопол.
Что же делать?
Перво-наперво, нужно решить: а стоит ли вообще за нее бороться?
Не забывайте, что любое наше действие – это дополнительная травма. И, подчас, эта травма может вести к осложнениям. Если зуб находится в той зоне, где в будущем вероятна имплантация (а может – и в день удаления), если зуб удаляется из-за осложнений кариеса, то апекс оттуда удалить стоит.
В каких же случаях удалять корень не стоит? Это случаи, когда в этой зоне не планируется имплантация, злополучная верхушка корня находится в непосредственной близости к крыло-небной ямке, нижнечелюстному каналу. При удалении зубов по ортодонтическим показаниям, к данным противопоказаниям добавляется еще и риск повреждения корней соседних зубов.
Перед тем, как выбрать один из описанных ниже способов, нужно изучить рентгеновские снимки этого зуба и сделать новый, чтобы определиться с размером, положением, количеством верхушек, а также оценить расстояние до важных соседних анатомических образований, чтобы последующими действиями не повредить их.
Итак, какие же есть способы извлечения верхушки корня?
1. Удаление апекса люксатором/периотомом/элеватором
Принцип у всех этих инструментов один – движением, наподобие работы штыковой лопатой необходимо провести инструмент в периодонтальную щель между стенкой лунки и корнем. После чего вывихивать корень до его извлечения.
РИСКИ.
При данной методике гораздо проще попасть на торец корня, чем в периодонтальную щель, и при давлении протолкнуть верхушку еще глубже, что, как минимум, приведет к вколачиванию в лунку, а как максимум – к миграции корня в соседние анатомические области (верхне-челюстной синус, крыло-нёбная ямка, клетчаточные пространства, нижнечелюстной канал). Удаление корней апикальными крючками я не рассматриваю в виду риска перелома самого крючка в момент удаления и миграции его в соседние пространства.
2. Удаление ультразвуком
Длинной насадкой на ультразвуковом наконечнике также попасть в периодонтальную щель и, постепенно увеличивая мощность, внедриться вдоль щели. Апекс, имеющий коническую форму, в определенный момент потеряет прикрепление к лунке, после чего его можно поддеть пинцетом, элеватором или хирургическим отсосом.
РИСКИ.
При неправильной форме верхушке (отличной от конической), может сохраниться ретенция.
3. Удаление эндодонтическим инструментом
Данный метод требует хороших навыков в эндодонтии (годится для стоматологов общей практики), великолепного освещения рабочего поля и, желательно, средств увеличения (бинокуляры, микроскоп).
Для этого нужно подобрать файл нужного типа (К-файл, Mtwo, Protaper и т.д.) и нужного размера — достаточно тонкого, чтобы проникнуть в корневой канал, и достаточно толстого, чтоб в этом канале заклиниться и не сломаться при вытяжении верхушки.

Выбранный файл мы вставляем в корневой канал, вкручиваем по часовой стрелке до заклинивания, затем вертикальным движением извлекаем инструмент вместе с верхушкой.
РИСКИ.
При промахе в корневой канал можно попасть в периодонтальную щель и в стенку альвеолы, чем увеличить наполнение лунки кровью, а это приведет у ухудшению обзора во время манипуляций и при наличии инфекции в удаляемом зубе – риск альвеолита увеличивается.
4. Извлечение при помощи хирургического бора
Для данного метода понадобится хирургический бор на длинной ножке по типу фрезы Линдеманна. Быстрее и надежнее всего использовать повышающий наконечник. В отличие от турбины он не теряет обороты при контакте с твердыми тканями и не нагнетает воздух в рану. А от обычного углового наконечника его выгодно отличает скорость вращения (200000 против 40000).
Бор также направляем в периодонтальную щель и делаем круговой пропил вокруг верхушки, погружая бор на 1-3 мм.
После этого, в зависимости от длины верхушки, мы либо получаем удобный желоб для внедрения элеватора/периотома/люксатора, либо вся верхушка окажется лишена окружающих стенок.
У желоба, помимо размещения элеватора, есть еще одна задача – со стороны, противоположной той, куда мы вводим инструмент, этот желоб играет как свободное пространство, куда будет смещаться верхушка при давлении инструментом.
РИСКИ.
При работе без охлаждения можно получить перегрев кости и, как следствие – альвеолит. Кроме того, при недостаточных мануальных навыках можно повредить подлежащие или соседние анатомические образования.
5. Удаление фрезами из имплантационного набора
Если вместе с удалением зуба запланирована одномоментная имплантация, то хирургический набор для установки имплантатов у вас уже готов, если же нет, то придется взять из набора пару фрез и произвести препарирование лунки в области верхушки.
Критерий для установки глубины сверления – потеря тактильного сопротивления тканей, что свидетельствует о прохождении дентина и погружении в губчатую кость. В финале можно получить два результата. Первый (при небольшой верхушке) – полное уничтожение верхушки корня.
Второй (при достаточной длине и конусности корня) – остаток корня в виде цилиндра внутри и конуса снаружи в средней части лунки. Такой остаток легко извлекается любым подручным инструментом с предварительной фрагментацией или без таковой.
РИСКИ.
Те же, что и при работе с бором.
6. Удаление трепаном
Если в кабинете есть цилиндрические трепаны для забора костных блоков, то можно использовать и его. Используется узкий трепан (около 3-4 мм в наружном диаметре) и производится забор костного блока со дна лунки.
Глубина погружения выбирается такая же, как при работе бором. Результат должен получиться таким же. Либо извлечение верхушки вместе с блоком, либо создание кругового желоба, в который потом можно погрузить элеватор.
РИСКИ.
Те же, что в предыдущих способах. Кроме того, больший диаметр лопастей может привести к вибрации и потере контроля направления. Поэтому, первые движения стоит делать прерывисто, до устойчивого вращения трепана.
7. Резекция верхушки корня (латеральная апексэктомия)
Данная операция знакома всем стоматологам. И, собственно, предлагаю провести именно ее. Единственная разница с классической операцией в том, что оставшаяся часть зуба не сохраняется, а уже удалена.
В каких случаях актуален именно этот способ? В области передних зубов верхней челюсти, когда вестибулярная стенка очень тонкая, а корень очень длинный (например, клык).
Производим полулунный разрез в проекции верхушки корня (в указанной зоне они достаточно легко пальпируются через мягкие ткани). По выпуклости кости определяем место, где располагается отломок. Создаем доступ к нему бором или ультразвуком. После чего извлекаем верхушку либо через лунку, либо через окно доступа. После чего лоскут укладываем на место и накладываем швы.
РИСКИ.
В связи с дополнительной травмой в месте с ярко выраженной васкуляризацией, повышается вероятность гематомы или послеоперационного кровотечения.

На этом пока все.
Надеюсь, что представленные способы помогут Вам в ежедневной практике. И превратят предынфарктные моменты в обычную рутину.
А если есть еще вопросы, жду вас на курсе Удаление зубов в аспекте современной стоматологии в Учебном центре «Стомпорт».
Источник:
Перелечивание каналов зуба с микроскопом в сложных случаях
Продолжим разговор о расширенных возможностях стоматолога при лечении каналов с помощью операционного микроскопа. И в этом блоке я покажу несколько клинических случаев из своей практики, в которых доктору без мощного увеличения практически нечего ловить.
Поломка инструмента в канале — вещь крайне неприятная. В практике любого стоматолога, занимающегося лечением каналов, такое осложнение происходило не раз.
Чем же это плохо? Сам по себе металлический отломок внутри зуба никакого вреда принести не может — в аэропорту звенеть вы не будете, сплав, из которого сделаны файлы («иголочки для каналов») вполне инертный, аллергия на него тоже маловероятна.
Так в чем же проблема? Проблема в том, что эти отломки закупоривают корневой канал и стоматолог не может нормально очистить пространство за инструментом. От этого могут быть проблемы в будущем.
Извлечь отломок из канала без применения микроскопа можно, только если он находится у самой поверхности. Да и то, в случае удачи это стоит признать большим везением. А вот если «облом» случился в глубине канала, то вслепую там делать нечего. Скорее можно наломать новых дров.
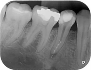
Итак, в этом случае мы видим на снимке «спиральку» в одном из каналов… Она показана стрелкой. Точками обведен воспалительный очаг вокруг корня зуба.
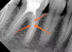
Чтобы хорошо очистить корневые каналы, стояла задача удалить этот отломок. При этом он находился довольно глубоко и имел небольшие размеры. Без вооруженного микроскопом глаза задача была бы трудновыполнимой. На фото ниже красной стрелкой показан отломок в глубине канала. Видя его, стоматологу уже намного легче обломок убрать и вывести наружу (зеленая стрелка).
В конечном счете инструмент был удален, а каналы полностью очищены и запломбированы.
Теперь нет сомнений, что гранулема, выросшая на корне зуба и грозившая его удалением, уйдет через несколько месяцев. И существованию зуба более ничего не будет угрожать.
2. Закрытие перфораций зуба
Перфорация — это дырка в зубе, причем искусственная. Возникает она, если доктор слишком ретиво и неаккуратно работал с зубом. Наиболее часто случается при подготовке каналов под установку различного рода штифтов.
В нашем случае нижний жевательный зуб был после лечения восстановлен пломбой на штифте… да не на одном. Видимо, работал принцип «кашу маслом не испортишь».
Но то каша, а вот для зуба «многоштифтов» обернулось фактически убийством: один из штифтов был установлен мимо корневого канала и пробил дно насквозь.
Возможно, зуб был подвижный и доктор хотел таким образом его немного укрепить но тогда стоило выбрать штифт подлиннее…
Вот на фото после удаления старой пломбы обнаруживаются 2 штифта, вкрученные в зуб (слева), а после их удаления мы видим дно полости зуба в пробоинах (справа).
Как выяснилось, одна из этих пробоин получилась, как сказали бы моряки, «ниже ватерлинии». Говоря языком стоматологическим — та самая перфорация корня. Канал зуба в одну сторону (каналы показаны зелеными стрелками), дырка под штифт — совершенно в другую (перфорация показана красной стрелкой).
Лужица крови как бы намекает, что здесь имел место криминал. Доктор-киллер пытался засверлить зуб насмерть и ему это почти удалось. Чаще всего зубы с перфорациями отправляются стоматологами на удаление. Но при хорошей визуализации, которую дает операционный микроскоп, вполне реально аккуратно обработать нанесенные зубу раны и заштопать беднягу. Что и было сделано.

На рентгене эта же картина выглядела вот так: красными линиями показаны 3 корневых канала, черным пунктиром — зона перфорации, закрытая специальным материалом, красным пунктиром — воспалительный процесс в костной ткани вокруг зоны перфорации.
После закрытия перфорации корня, основной проблемы этого зуба, которая вела его прямиком в руки хирурга, были перелечены корневые каналы и корень, таким образом, остался сохраненным для последующего протезирования.
3. Ступени в корневых каналах
Во многих наших зубах корневые каналы не прямые, а изогнутые.
И если у доктора недостаточно навыков и/или нет необходимого инструментария, то при попытке очистить корневой канал, имеющий приличный изгиб, у него нередко получаются т.н.
ступеньки (красной стрелкой показан обработанный стоматологом участок канала, синей — направление истинного корневого канала, зеленым — сформированная врачом искусственная ступенька).
Такое осложнение приводит к тому, что врач теряет направление канала и часть его остается необработанной. В этом пространстве потом и селится микрофлора, приводящая к возникновению хронических воспалительных процессов на корнях зубов.
Вот и наглядный пример. Перелечивание каналов зуба с микроскопом, не так давно леченного по поводу пульпита. Что мы видим на начальном снимке? Один из каналов запломбирован не до конца. Чтобы было наглядно видно, на правом снимке схематично показаны контуры корней и каналов в них. Синим — корень с незапломбированным до верхушки каналом.
Фото при вскрытии полости зуба…
…показывает оранжевые точки — это гуттаперча, пломбировочный материал. Полость зуба не очень хорошо очищена от остатков пломбировочного материала.
После удаления массы старого пломбировочного материала из пройденной части канала мы утыкаемся в ступеньку (красная стрелка), дальше которой не смог пройти инструментом предыдущий стоматолог.
С микроскопом становится возможной четкая визуализация направления изгиба канала. Это вкупе с правильными инструментами позволяет обойти ступеньку и нащупать истинный ход корневого канала (снимок справа с введенным на всю длину инструментом).
Дальше становится возможной полная очистка канала от распада, который служил пищевым складом для существования микробов. После завершения очистки остается только полностью герметично запломбировать все каналы и восстановить зуб. Теперь гуттаперча плотно заполнила все пространство каналов.
Снимки до и после лечения. В корневых каналах этого зуба не осталось пустот, в которых могут жить микробы, попутно провоцируя воспалительный процесс.
Итак, мы разобрали основные критичные ситуации, в которых доктор без микроскопа подобен слепому котенку. Рассчитывать на успех своих манипуляций в подобных случаях ему крайне сложно. А потому такие зубы часто становятся «добычей» хирургов-стоматологов.
Применение операционного микроскопа в случаях сложного повторного лечения каналов делает вмешательство более предсказуемым, а его результат значительно более успешным.
В конечном итоге пациент получает возможность сохранить свои зубы, которые еще вчера признавались (да и сегодня продолжают признаваться многими стоматологами) безнадежными.
Даже несмотря на бурное развитие имплантологии, без тени сомнения можно сказать, что лучший имплант — это свой зуб. Лечение каналов с применением увеличения сделало большой рывок в сторону сокращения количества зубов, требующих замены на титановые шурупы-протезы.
Источник:



