Желтое тело в яичнике (правом или левом) на УЗИ: что это такое, размеры по дням, когда оно появляется после овуляции
Что имеют в виду гинекологи и узисты, когда говорят, что в яичнике желтое тело? Что это такое, каким оно должно быть (и должно ли быть вообще), какую функцию выполняет в женском организме?
Функции желтого тела
Организм здоровой женщины — это своеобразный отлаженный механизм, который каждый месяц циклично выполняет свою работу: попытку зародить новую жизнь.
Если оплодотворения не случилось, созревшая яйцеклетка, оставшись неоплодотворенной, покинет организм, выйдя с менструальными выделениями.
А через месяц ситуация повторится, и это повторение — закономерность, подтверждающая, что женщина здорова, и вполне способа к деторождению.
Но не только яйцеклетка созревает каждый цикл. Для наступления потенциальной беременности необходимо еще и желтое тело.
Желтым (или иначе — лютеиновым) телом называется временная эндокринная железа яичника, которая получила такое название из-за желтоватого оттенка содержащегося в ней вещества — особого гормона беременности. Иногда для краткости его называют ЖТ.
Образуется желтое тело после овуляции. При выходе зрелой яйцеклетки из яичника разрывается содержавший ее фолликул, и в лютеиновой фазе цикла гранулезные фолликулярные клетки начинают образовывать желтое тело, на УЗИ этот процесс заметен практически сразу после овуляции.
Желтое тело проходит несколько этапов развития:
- Первый этап — это размножение клеток лопнувшего фолликула (фолликолоцитов), он запускается непосредственно после овуляции;
- Второй этап характеризуется процессом разрастания в тканях тела кровеносных сосудов;
- На третьем этапе желтое тело на яичнике начинает выработку гормонов. Данный процесс стартует примерно через семь дней после выхода из фолликула яйцеклетки, когда железа достигает максимального размера: начинается продуцирование прогестерона и эстрогена. Эти гормоны желтого тела берут на себя роль подготовителей организма к вынашиванию беременности: активируют рост эндометрия в матке для того, чтобы возможная имплантация эмбриона прошла успешно.
- Четвертый этап зависит от того, наступило ли зачатие или нет. Это и определяет продолжительность жизни ЖТ.
Как долго оно живет
Сколько живет желтое тело? В том случае, если яйцеклетка не оплодотворилась, через несколько суток оно начинает уменьшаться, перерождаясь в рубцовую ткань, замедляется производство прогестерона, что служит сигналом к началу менструации: с кровью выходят и не пригодившаяся яйцеклетка, и отторгнутые клетки эндометрия. Перерожденное ЖТ в гинекологии называется беловатым телом, оно постепенно исчезает, а на яичнике появляется очередной рубец. Благодаря чему структура яичников — характерная рубцовая.
А если оплодотворение случилось, «жизнь» этой эндокринной железы продлевается примерно на три месяца, пока сформировавшаяся плацента со второго триместра беременности не возьмет на себя функцию выработки гормонов.
При этом происходит своеобразная защита от наступления новой беременности на фоне уже имеющейся. Этот контроль тоже выполняет лютеиновое тело: образуется своеобразная блокировка созревания и выхода новых яйцеклеток.
Читайте о ЖТ при беременности на ранних сроках.
Размеры ЖТ
Наблюдение за этим процессом осуществляется при помощи такого простого метода как ультразвуковое исследование. Обычного это необходимо на этапе планирования и в первые недели наступившей беременности, а также при лечении бесплодия или прочих патологиях яичников.
Самым благоприятным временем по дням цикла для исследования является вторая неделя (7-10 день с момента последней менструации). При необходимости более точного контроля работы яичников и развития фолликулов УЗИ проводят троекратно, примерно по следующей схеме:
- сразу после окончания месячных;
- в дни овуляции (14-17 сутки);
- на 22-23 день начала цикла.
Размеры желтого тела сразу после овуляции составляют около 12 — 20 миллиметров. С каждым днем цикла ЖТ увеличивается в размерах, которые достигают своего пика к концу цикла, на 19-28 день. В это время нормальный размер ЖТ – 23-29 мм.
Жт на узи
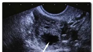
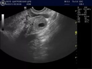
На УЗИ желтое тело определяется как округлое неоднородное образование.
Его видно и при методике исследования через брюшную стенку (трансабдоминальная методика УЗИ), но более достоверные результаты диагностики получают при трансвагинальном методе с использованием внутривагинального датчика.
Процедура эта безболезненна, может доставить разве что психологический дискомфорт. Какой результат дают данные гинекологические исследования?
Если в яичнике на УЗИ ЖТ визуализируется, это подтверждает, что овуляция произошла, но вовсе не означает, что беременность наступила. Железа лишь обеспечивает благоприятные условия для зачатия и делает его наступление возможным: прогестерон запускает подготовку маточного эпителия к прикреплению эмбриона. Она образуется даже у девственниц.

Обнаружить можно желтое тело в правом яичнике, и это говорит о том, что именно с правой стороны яичник в этом цикле был активен, а если образовалось желтое тело в левом яичнике, это значит, что доминантный фолликул созрел с левой стороны.
Очередность активности яичников не всегда последовательная, в норме овулируют оба — через цикл каждый. Но может быть и так, что несколько циклов подряд, а то и вовсе постоянно, за овуляцию отвечает лишь один из этих парных органов, и тогда образуется желтое тело либо справа, либо слева.
На зачатие расположение активного яичника не влияет.
Если же ЖТ не было обнаружено, то, вероятнее всего, овуляции в этом месяце не было. Такой «пустой» цикл называется ановуляторным.
Это можно считать нормой в переходные для женского организма этапы развития: в период установки цикла в юношеском возрасте, после родов при лактации, во время менопаузы.
В репродуктивном же возрасте ановуляция говорит о гормональных нарушениях и патологиях половой системы.
Случается и так, что отследить, когда появляется желтое тело, не получилось, но беременность наступила. Такое возможно лишь в том случае, если специалист, проводивший диагностику, был невнимателен или аппарат устарел. Без ЖТ беременность не может прогрессировать: при отсутствии гормональной подпитки плод погибнет.
Патологии
Патологии состояния ЖТ немногочисленны, но встречаются довольно часто, являясь распространенной причиной бесплодия. К патологиям относятся, прежде всего:
- отсутствие железы;
- недостаточность (гипофункция);
- киста.
Отсутствие ЖТ
Отсутствие ЖТ — это и признак отсутствия овуляции, что означает невозможность зачатия. Даже при ЭКО желтое тело необходимо, и врачи могут вызвать его искусственно – гормональной стимуляцией.
Недостаточность ЖТ
Недостаточность тела не означает его отсутствия, но такой диагноз ставят при низкой выработке прогестерона. В этом случае нормально функционирующий яичник с желтым телом выпускает полноценную яйцеклетку, способную к оплодотворению. Но из-за недостатка прогестерона возникает угроза прерывания беременности.
По УЗИ диагностировать данную патологию можно при несоответствии размеров железы положенным (менее 10 миллиметров). Для уточнения диагноза пациентке проводят лабораторное исследование крови на концентрацию прогестерона.
Киста ЖТ
Если же размеры желтого тела превышают норму (30 мм и больше), доктор может диагностировать кисту. В этом случае железа не угасает, продолжая вырабатывать прогестерон. А это означает, что беременность на фоне кисты вполне возможна, и ее развитие может протекать нормально.
Киста желтого тела обычно не приносит женскому организму вреда, так как исчезает вместе с постепенно угасающим желтым телом. Но в редких случаях осложнения все же возможны, поэтому при подобном диагнозе наблюдение у специалиста необходимо.
К патологиям не относятся:
- наличие «старого» желтого тела, не успевшего переродиться в беловатое, которое не влияет на работу своевременно образовавшегося нового тела, так как попросту не функционирует;
- два желтых тела: они могут формироваться одновременно в разных яичниках или в одном, и это является подтверждением одновременного созревания двух фолликулов, что повышает шанс развития многоплодной беременности при успешном оплодотворении сразу обеих яйцеклеток.
При подозрении на патологии в период планирования беременности следует обязательно пройти УЗИ и сделать лабораторные исследования крови.
Несмотря на то, что ЖТ — совсем небольшая, да еще и временная, железа внутренней секреции, она выполняет важную роль в женском организме. Месяц за месяцем благодаря этой вспомогательной железе появляется возможность зачать и выносить малыша.
Вопрос-ответ
На вопросы пациенток отвечает акушер-гинеколог Елена Артемьева.
— Мне 28, диагноз — бесплодие, эндометриоз. Прошла лечение: сначала лапароскопия, потом лекарства. Прошла УЗИ-диагностику, вот результат. Контуры матки четкие. Эндометрий — секреторного типа, М-эхо 15 мм.
, Левый яичник 60х41х53 мм, V-70 см куб., с округлым гипоэхогенным образованием с сетчатой внутренней структурой. Правый яичник 27х14х20 мм, V-40 см куб., с фолликулами до 12 мм.
Заключение: признаки кистозного образования левого яичника (киста жёлтого тела). Это очень опасно?
— В норме в яичнике каждый месяц растет доминантный фолликул, в овуляцию он лопается, оттуда выходит яйцеклетка. Киста ЖТ – это такое образование, которое остается от лопнувшего фолликула после овуляции. Сделайте еще раз УЗИ на 8-9 день цикла. Если это киста, то она «рассосется», от нее не будет никакого вреда.
— На 12 день цикла у меня обнаружили доминантный фолликул 23 мм. А на 23 день — желтое тело 12 мм с кровотоком. Я беременна?
— УЗИ показывает, что была овуляция. Есть ли беременность, говорить пока рано. Но в этом цикле она возможна, ведь овуляция была. Сдайте кровь на ХГЧ.
— У меня отсутствует овуляция, давно наблюдаюсь у врача, прохожу курс лечения (пью курантил, актовегин и др.). В течение последнего цикла трижды ходила на УЗИ. Доминантный фолликул у меня не увидели, говорили, что беременности быть в этом цикле не может. Но на 23 день УЗИ показало желтое тело 22 мм. Как это могло произойти?
— Значит, узисты «просмотрели» ваш доминантный фолликул, так иногда бывает. ЖТ образуется на яичнике на месте созревания фолликула. Значит, овуляция у вас была, и был шанс забеременеть в этом цикле. Но даже если на этот раз вы не забеременели, возможно, и в следующем цикле овуляция будет, так что надейтесь на лучшее.
Источник:
Желтое тело на УЗИ в яичнике после овуляции — что означает и как выглядит?
Главным органом женской репродуктивной системы являются яичники. Их непростое строение и сложный механизм функционирования создают условия для зачатия. В яичниках ежемесячно происходит развитие фолликулов и овуляция.
Для сохранения возможности зачатия в яичнике самостоятельно зарождается и развивается вспомогательная железа — желтое тело.
С помощью ультразвукового исследования можно отслеживать его изменения и, следовательно, корректировать работу репродуктивной функции.
Что такое желтое тело?
Желтое тело – это железа, образующаяся на месте лопнувшего фолликула сразу после овуляции яйцеклетки, выполняющая эндокринную функцию и имеющая временное существование. Этот процесс помогает подготовить матку к закреплению плодного яйца. В тканях этой уникальной железы внутренней секреции присутствует пигмент желтого цвета — лютеин, этим и обусловлено ее название.
Строение яичника и наличие в нем желтого тела
Эта железа, в основном, синтезирует женский гормон прогестерон и в малых частях производит выработку гормонов эстрогенов, андрогенов, релаксина, ингибина, окситоцина.
По своей природе этот маленький орган исключительный, отличается от всех желез внутренней секреции, он зарождается во время овуляции и самостоятельно ликвидируется с наступлением менструации.
Если произошло оплодотворение яйцеклетки, желтое тело продолжает свое существование до момента, когда полностью сформированная плацента не начнет выработку гормона прогестерона, необходимого для полноценного развития плода.
Механизм зарождения и развития желтого тела
Механизм развития временной железы и выполняемые ею функции контролируются яичниками, гипофизом и иммунной системой. Его можно разделить на четыре стадии:
- Пролиферация. Когда яйцеклетка оказывается в матке, содержание лютеина в крови значительно повышается. В этот момент начинает образовываться желтое тело. Края разорвавшегося фолликула образуют складки, полость заполняется кровью, и начинается процесс активного деления клеток, выстилающих полость.
- Васкуляризация. На этой стадии происходит прорастание кровеносных сосудов в размножающиеся клетки. Это обеспечивает достаточное кровоснабжение и полноценное функционирование железы.
- Расцвет. Для этой стадии характерна наивысшая степень активной работы железы. Она немного возвышается на поверхности яичника и становится багрового оттенка. В случае ненаступления беременности ее активная работа длится около 10 дней и постепенно идет на спад.
- Регресс (угасание). Если в какой-то из этих 10 дней не произошло зачатие, клетки железы претерпевают дистрофические видоизменения. Желтое тело выглядит, как рубец, который затем самостоятельно рассасывается. В этот период резко снижается уровень половых гормонов, происходит отделение эндометрия, наступает первый день менструации. Одновременно с началом угасания функций железы в яичниках начинается следующее фолликулярное созревание.
Узи желтого тела как методика диагностики
Проведение УЗИ яичников позволяет изучить все параметры этой железы. Желтое тело на УЗИ имеет вид округлого неоднородного мешочка. С особым вниманием относятся к нему при следующих физиологических состояниях женского организма:
- при планировании беременности;
- в начале беременности;
- при бесплодии;
- при подозрении на кисту.
УЗИ матки и яичников при планировании беременности позволяет отследить точное время овуляции
Самым удачным периодом для осуществления УЗИ женских репродуктивных органов считается 7-10 день после начала менструации. Функция яичников, развитие фолликулов и состояние желтого тела исследуется 2 – 3 раза на протяжении одного цикла. В этом случае УЗИ рекомендуют делать после окончания менструального кровотечения, затем на 15 – 16 день, т. е. после овуляции, и на 22 – 23-й день цикла.
Существует две методики проведения ультразвукового исследования женских половых органов, в том числе структуры яичников и состояния желтого тела: трансабдоминальная и трансвагинальная.
- Трансабдоминальное исследование. Проводится через кожный покров нижнего отдела живота и лобковой области. Для получения более достоверной информации нужен заполненный мочевой пузырь.
- Трансвагинальное исследование. Для получения более информативных результатов процедуру советуют делать на 14 – 15 день цикла. Проводится при помощи специального датчика. Предварительно на вагинальный датчик надевают презерватив и вводят во влагалище. Обычно процедура исследования не вызывает никаких болезненных ощущений.
Какой результат может иметь УЗИ желтого тела? Необнаружение желтого тела при задержке начала менструации означает наличие заболеваний эндокринной системы или патологических процессах в органах репродукции. Если на УЗИ замечен плод и беременность подтверждается, а желтое тело не обнаружено, то высока вероятность выкидыша.
Вопрос отсутствия или наличия желтого тела стоит обсудить с врачом-гинекологом
Наличие желтого тела — признак беременности?
Ошибочным считается мнение, что желтое тело в яичнике является показателем наступления беременности. Эта эндокринная железа появляется только после выхода из фолликула созревшей яйцеклетки. Ее присутствие в яичнике лишь указывает на возможность зачатия.

Отсутствие желтого тела говорит о том, что в этом цикле овуляции не было, и зачатие невозможно. Если делать УЗИ в последний день цикла, перед предполагаемым началом менструации, и по его показаниям регресс железы не замечен, то тогда это может свидетельствовать о беременности.
Постоянное существование желтого тела – симптом кисты
Периодичность появления и самоликвидация железы предусмотрена природой для полноценной работы женского организма. Однако существуют случаи, когда организм дает сбой – желтое тело продолжает развиваться и вырабатывать прогестерон постоянно, вне зависимости от физиологического состояния организма.
Такое явление считается показателем кистозного процесса. При этом характерные симптомы схожи с признаками беременности: задержка месячных, выраженные болевые ощущения в низу живота.
Обычно киста желтого тела не угрожает здоровью женщины, но требует постоянного внимания со стороны врачей, необходимо регулярно делать УЗИ и принимать адекватное лечение.
Источник:
Желтое тело в яичнике: на УЗИ, что значит, симптомы, когда появляется и исчезает
Желтое тело в яичнике развивается только после овуляции.
Как только стенки фолликула разрываются, и сформировавшаяся в нем яйцеклетка выходит, из оставшихся гранулезных клеток начинает образовываться лютеиновая железа.
Увидеть образование можно при проведении ультразвуковой диагностики. При его небольшом размере по результатам УЗИ врач может диагностировать гормональную недостаточность.
Желтое тело в яичнике: что это значит
Если женщина пойдет на УЗИ во второй половине цикла, то врач должен увидеть временную лютеиновую железу. Ее наличие свидетельствует, что яйцеклетка уже созрела и вышла из фолликула.
Появляется лютеиновое образование под воздействием лютеинизирующего гормона, который секретируется в передней доле гипофиза.
В этот период в гранулезных клетках активно разрастается сосудистая система и образовывается желтое тело яичников, которое вырабатывает прогестерон.
Указанный гормон требуется, чтобы подготовить эндометрий к имплантации яйцеклетки и поддерживать развитие беременности в первые недели.
Важно! Отсутствие лютеиновой железистой структуры во 2 фазу менструального цикла свидетельствует, что овуляции не было.
Мнение о том, что эндокринное образование появляется только при беременности, ошибочно. Оно формируется из клеток лопнувшего фолликула (его зернистого слоя) после выхода яйцеклетки.
Когда образуется желтое тело в яичнике
Становится видно желтое тело в яичнике после завершения овуляции. После выхода яйцеклетки фолликулярная жидкость выливается, полость фолликула смыкается. В ней сразу формируется железистая эндокринная структура, в первые дни она небольшого размера.
Это временное образование увеличивается постепенно. Его диаметр напрямую связан с гормональной активностью. Чем больше размер, тем больше прогестерона оно вырабатывает.
Признаки желтого тела в левом яичнике
Только с помощью УЗИ можно установить наличие желтого тела в яичнике. Самостоятельно невозможно определить, появилось ли оно во 2 половине цикла. Временная структура, отвечающая за продуцирование прогестерона, формируется и исчезает бессимптомно, никаких видимых изменений не происходит.
Если во время овуляции женщина чувствовала боли или покалывания в левой нижней части живота, то можно предположить, что появится временная гормональная железа слева.
Если на УЗИ видно, что желтое тело в левом яичнике диаметром 18 мм, это означает, что яйцеклетка вышла из левой женской половой железы. Такой размер соответствует 2 фазе цикла.
При планировании беременности лучше, чтобы его диаметр был более 20 мм. Это является косвенным подтверждением того, что прогестерон продуцируется в достаточном количестве.
При размере гормонального образования менее 16 мм говорят о недостаточности 2 фазы.
Может ли болеть желтое тело в яичнике
Сформировавшаяся на месте разорвавшегося фолликула эндокринная железа не должна провоцировать появление болей. Хотя некоторые пациенты гинекологов говорят о появлении пульсации и неприятных ощущений внизу живота, которые концентрируются с одной стороны.

Сильные боли возникают, как правило, при формировании кисты. Это состояние характеризуется тем, что к моменту начала менструации временный орган не уменьшается в диаметре, а продолжает расти. В нем начинается накапливаться внутриклеточная жидкость. В диаметре кисты могут достигать 8 см. В 90% случаев они рассасываются сами на протяжении нескольких месяцев.
Внезапная острая боль может свидетельствовать, что лопнуло желтое тело в яичнике. Это патология, которую медики называют апоплексией.
Состояние требует немедленной госпитализации и операции во время которой проводят резекцию или полное удаление проблемного органа.
Из-за разрыва кровь начинает скапливаться в брюшной полости, отсутствие своевременной медицинской помощи провоцирует развитие серьезных последствий.
Желтое тело в яичнике и задержка
При появлении задержки менструации при проведении УЗИ врач должен оценить размеры и структуру образования, которое появляется во 2 фазе. Отсутствие месячных в срок при наличии лютеиновой железы может быть обусловлено беременностью. В норме размер ее должен быть 20-30 мм. На УЗИ она выглядит как гиперэхогенное образование с неоднородным содержимым.
При задержке менструации на УЗИ врач может увидеть анаэхогенное округлое образование с однородной структурой – кисту. Ее диаметр варьируется от 30 до 80 мм. Для нормализации состояния пациенткам назначают препараты прогестерона коротким курсом. Спустя несколько суток после их отмены должна начаться менструация.
Возможна ситуация, при которой задержка вызвана персистенцией желтого тела в правом или левом яичнике. Персистенция незрелой гормональной железы характеризуется пониженным уровнем лютеинизирующего гормона. Временный орган не может полностью дозреть, из-за этого удлиняется 2 фаза цикла.
При персистенции зрелой железы она не уменьшается в размерах к началу месячных, а переходит в следующий цикл. При этом наблюдается полноценная фолликулярная фаза и удлиненная лютеиновая. Она продолжается 20-25 дней и сопровождается гиперпродукцией прогестерона.
Желтое тело в яичнике без беременности
Если проблем с репродуктивным здоровьем нет, и овуляция происходит регулярно, то во 2 половине цикла в одной из половых желез должно образоваться временная эндокринная структура. При отсутствии беременности она уменьшается в размерах и перерождается к началу менструации.
Что значит желтое тело в правом яичнике
При проведении УЗИ врач может обнаружить лютеиновую железу. Увидев желтое тело размером 22 мм в правом яичнике, доктор сможет подтвердить, что овуляция произошла справа.
Что означает желтое тело в левом яичнике
Выявление гиперэхогенного округлого образования слева свидетельствует, что произошла овуляция в левой половой железе. При отсутствии проблем с репродуктивными органами нет разницы, с какой стороны выйдет яйцеклетка.
Если у женщины удалена либо непроходима какая-то из маточных труб, тогда важно отслеживать овуляцию. Беременность может наступить при условии, что яйцеклетка вышла с той стороны, где находится здоровая фаллопиева труба.
Два желтых тела в одном яичнике
Достаточно редко в естественных циклах без стимуляции овуляции случается ситуация, при которой выходит 2 яйцеклетки. Ведь норме в организме должен сформироваться и лопнуть 1 доминантный фолликул.
Если в цикле высвободилось 2 яйцеклетки, то на их месте будут сформированы 2 временных железистых органа. Такая ситуация часто встречается в случаях, когда овуляцию стимулируют с помощью специальных препаратов.
При стимуляции или в естественном цикле возможно появление двух желтых тел в разных яичниках. При отсутствии беременности они регрессируют к началу менструации. При появлении задержки их наличие может свидетельствовать о развитии многоплодной беременности. Такая ситуация складывается в случаях, когда оплодотворяется сразу 2 яйцеклетки.
Белое тело в яичнике: что это
Если оплодотворение не произошло, начинается стадия обратного развития временной гормональной железы перед менструацией.
Клетки этого образования гибнут, а соединительная ткань, которая находится в центральном рубце, рассасывается. В результате на его месте остается образование беловатого цвета.
Оно существует около 5 лет, затем начинает постепенно рассасываться, перерождаясь в рубец из соединительной ткани.
Желтое тело в яичнике: размеры
Процесс формирования железистой структуры из гранулезных клеток лопнувшего фолликула запускается после овуляции. При разрыве фолликула и высвобождении созревшей яйцеклетки из поврежденных кровеносных сосудов выделяется кровь. Она накапливается в центре формирующейся временной железы.
В этом же месте формируется стигма – соединительно-тканный рубец, вокруг него начинают размножаться клетки зернистого слоя. Они покрываются густой сетью капилляров. Эта стадия называется пролиферацией и васкуляризацией. Размер гормонального образования в этот период составляет 12–15 мм.
Затем гранулезные клетки начинают накапливать лютеин (пигмент, придающий характерный желтый окрас) и перерождаться в железистые клетки – зернистые лютеоциты. Тека-лютеоциты формируются из клеток внутренней папки. Эта стадия носит название железистого метаморфоза.

Продуцирование прогестерона начинается на 3 стадии расцвета. В указанное время временный орган достигает в диаметре 24 мм. В этот период врачи называют сформировавшуюся железистую структуру циклической или менструальной.
За 2-3 суток до менструации она уменьшается до 12-15 мм, из нее формируется рубцовая ткань. Это приводит к уменьшению выработки прогестерона и началу месячных.
Если оплодотворение произошло, и сформировался эмбрион, то стадия расцвета продолжается 10-16 недель. Гормон, вырабатываемый желтым телом яичника, требуется для поддержания и нормального развития плода.
При беременности размер желтого тела в яичнике достигает 30 мм. Со временем его функции переходят плаценте, он начинает регрессировать.
Сколько живет желтое тело в яичнике
Если проблем с репродуктивным здоровьем нет, то временное гормональное образование появляется сразу после выхода яйцеклетки и продолжает развиваться на протяжении 12-14 дней. Если в этот период яйцеклетка оплодотворилась и начала имплантироваться в стенку матки, то оно будет продолжать развиваться. Срок жизни желтого тела в левом яичнике при беременности может продлиться 16 недель.
Какой гормон способствует регрессу желтого тела яичника
Процесс формирования и регресса временной лютеиновой железы находится под контролем гипофиза, факторов роста и иммунной системы. Лютеолитическим действием характеризируются радикалы О2, цитокины, простагландин F2α, пролактин, окситоцин.
Желтое тело в правом (левом) яичнике при беременности нужно для выработки пептидов и стероидов, необходимых для сохранения и развития эмбриона. При оплодотворении и имплантации яйцеклетки в организме начинается синтез ХГЧ. Этот гормон влияет на сформировавшуюся структуру, провоцируя усиление процесса выработки прогестерона.
При отсутствии беременности начинается стадия обратного развития. Уменьшается продуцирование прогестерона, ингибина А и эстрадиола. Благодаря снижению концентрации ингибина А устраняется его блокирующее действие на гипофиз. В результате возобновляется секреция фолликулостимулирующего гормона. Этому способствует также уменьшение концентрации прогестерона и эстрадиола.
Желтое тело в яичнике образуется сразу после выхода яйцеклетки. Благодаря его наличию можно подтвердить прохождение овуляции. При оплодотворении и формировании эмбриона в текущем менструальном цикле лютеиновая железа сохраняется, разобраться с особенностями ее влияния на организм можно, посмотрев видео:
Если оплодотворение не произошло, то она регрессирует.
Источник:
Что значит желтое тело в правом или левом яичнике на УЗИ: функции, показатели нормы, фазы
На снимках УЗИ желтое тело во время функционирования выглядит неодинаково. Его размер влияет на способность выносить ребенка, подсказывает о причинах бесплодия, развитии гинекологических болезней или эндокринных патологий. При отклонениях от нормы после сонографии женщину обследуют другими методами.
Как выглядит желтое тело на изображениях УЗИ
Желтым телом (ЖТ) называют лютеиновую железу, которая временно образуется в яичнике в опустевшем фолликуле после выхода из него яйцеклетки. Она начинает расти в день овуляции, продуцирует прогестерон. Гормон стимулирует утолщение эндометрия и формирование плаценты.
В гинекологии по размеру желтого тела в яичнике на УЗИ определяют степень готовности матки к вынашиванию ребенка. Если оплодотворения не было, ЖТ регрессирует (уменьшается), окончательно рубцуется через несколько дней. В случае зачатия железа функционирует первый триместр беременности, может остаться до родов или конца периода лактации.
Описание лютеиновой железы на УЗИ:
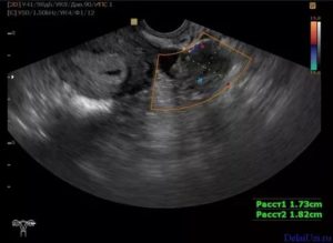
| Параметры | Эхопризнаки | Как выглядит |
| Внешний вид | Гетерогенное анэхогенное образование | На яичнике округлое темно-серое пятно с черными вкраплениями и единичными белыми точками |
| Структура | Гиперэхогенное образование с крупными зонами низкой плотности (гипо- или анэхогенными очагами) | Серое пятно с большой площадью затемнений. Окрашены черным места скопления крови, локализации сосудов |
| Размер | В норме до 30 мм, при образовании кисты – более 3 см | Диаметр ЖТ сверяют с нормой по фазам желтого тела |
Если диагност выявил два желтых тела или больше, в протоколе УЗИ описывается каждое образование. Растущая и угасающая железа неодинаково выглядит. С началом регрессии она уменьшается, светлеет. Черное пятно без вкраплений – эхопризнак жидкостной кисты.
Какие есть лютеиновые фазы
Цикл ЖТ начинается в овуляционный период. Лютеиновая железа быстро нарастает от стенок фолликула с момента выхода зрелой яйцеклетки. По ее наличию не определяется беременность. На раннем сроке зачатие подтверждают только анализом ХГЧ, на УЗИ яичника плодное яйцо не видно.
Выделяют 3 фазы временной железы:
- формирование + развитие сосудов для кровоснабжения ЖТ;
- секреторная стадия;
- регресс (угасание, перерождение в белое тело).
Вначале оболочка разорванного фолликула смыкается, ускоряется рост оставшихся гранулезных клеток. Они образуют неплотную ткань. Кровеносные сосуды обильно прорастают внутрь железы. Эти две фазы длятся 3–4 суток.
Если на УЗИ не видно в правом и/или левом яичнике желтого тела, это означает, что у женщины нарушен овариальный цикл на фоне гинекологических или эндокринных болезней.
После достижения размера 1.5–2.5 см активно вырабатывается прогестерон в течение 1.5–2 недель. Цикл завершается в последний день перед менструацией. Если яйцеклетка оплодотворилась – секреторная стадия продолжается до 2-го триместра.
Как выглядит железа в овуляторный период
Овуляция приходится ровно на середину менструального цикла. УЗИ делают через пару суток после выхода яйцеклетки и за 0.5–1 неделю до предположительного начала месячных. Под ультразвуком железу не видно во время овуляции – она тонкая. Спустя 2–3 дня ЖТ уже заметно глазу в том яичнике, где лопнул зрелый фолликул.
Нормой считают созревание 1 яйцеклетки за овариальный цикл. Допустимы овуляции и рост желтых тел одновременно в правом и левом придатке или в 1 яичнике. К расстройствам относят образование ЖТ в нелопнувшем фолликуле (диаметр меньше 15 мм, отсутствие регрессии дольше 3 месяцев).
Вы можете посмотреть видео УЗИ, что происходит после овуляции:
Как выглядит железа во время беременности
Желтое тело в норме формируется независимо от оплодотворения яйцеклетки. Но после зачатия в женском организме появляется хорионический гонадотропин человека. Гормон ХГЧ стимулирует рост лютеиновой железы и не позволяет ей регрессировать.
Желтое тело при беременности называют гравидарным ЖТ. После оплодотворения видно анэхогенное (темное) образование размером 2.5–3 см. Регресс начинается после 10-й недели гестации.
Выявление на УЗИ нескольких ЖТ повышает шанс многоплодной беременности. Но количество детей зависит от того, сколько яйцеклеток успело оплодотвориться.
На какой день менструального цикла делают сонографию
Для выяснения функций яичника сонографию придатков делают несколько раз в промежутке между менструациями. Начинают на УЗИ отслеживать созревание лидирующего фолликула после месячных, а рост желтого тела – в постовуляторной фазе.
Сонографию ЖТ проводят:
- через 2 недели от 1-го дня менструации;
- спустя 23 дня от начала менструального цикла;
- в конце 1-го триместра (в случае оплодотворения).
На УЗИ у небеременных женщин желтое тело по размеру одинаковое за 2 дня после овуляции и перед месячными. В этот период ЖТ меньше 15 мм. Между пиком развития и регрессией диаметр равен 18–25 мм. Увеличение до 3 см считается эхопризнаком внематочной или полноценной беременности, более 4 см – симптомом кисты.
Нормальная длительность менструального цикла
У женщин детородного возраста нормальный цикл равен четырем неделям. Не считается отклонением короткий или длинный МЦ в пределах 21–35 дней между менструациями. К нарушениям относят неодинаковую продолжительность циклов у одной пациентки. Сбой графика допускается только в предменопаузальный период после 40 лет.
При исследовании желтого тела учитывается фаза МЦ. УЗИ проводить нецелесообразно девочкам после первой менструации и женщинам во время месячных, до овуляции в период менопаузы.
Как выглядит киста
Диагностируют кисту (жидкостную полость) желтого тела на УЗИ при размере железы больше 3 см с одновременным появлением черного пятна без светлых вкраплений. Это образование на зачатие и беременность не влияет, может само регрессировать (исчезнуть). Женщину наблюдают 3 месяца. В случае быстрого роста кисты начинают лечение.
Жидкостную полость могут обнаружить в левом или в правом яичнике, где нет желтого тела. В этом случае черное пятно в придатке относят к признакам фолликулярной кисты, поликистоза.
Смотрите в видео как выглядит киста желтого тела на УЗИ:
Что означает отсутствие железы
В норме на УЗИ не выявляют лютеиновой железы в правом яичнике, потому что фолликул созрел в левом придатке (и наоборот). Отсутствие желтого тела в обеих гонадах относится к признакам ановуляторного цикла, дисфункции гипофиза. В этом месяце женщина забеременеть не сможет, поскольку нет созревшей яйцеклетки.

Желтое тело видно на УЗИ в промежутке между овуляцией и месячными следующего цикла. Размер ЖТ в рамках 18–25 мм означает, что матка готова к имплантации плодного яйца и вынашиванию ребенка.
Обнаружить железу не могут из-за устаревшего аппарата, неопытности диагноста, наличия болезни. Если ее не видно, делают контрольное УЗИ на другом сонографе.
При отсутствии ЖТ женщину дообследуют и назначают лечение.
В дополнение смотрите обзор доктора на тему нарушений цикла:
Источник:
Желтое тело при беременности
В организме женщины ежемесячно совершаются сложные циклические процессы, направленные на созревание яйцеклетки и выход её из яичника.
Именно благодаря им женщина способна зачать и выносить ребенка и ощутить самое большое счастье на свете — радость материнства. Если оплодотворение яйцеклетки не происходит, то она погибает, а у женщины начинается очередная менструация.
Если же беременность наступает, то в организме начинают происходить гормональные изменения, способствующие её сохранению, росту и развитию плода.
Желтое тело как признак беременности
Некоторые женщины ошибочно полагают, что если при проведении ультразвукового исследования у них в яичнике обнаруживают желтое тело, то это является точным признаком беременности. Однако это не так.
На самом деле, желтое тело образуется в яичнике после овуляции, и оно может свидетельствовать только о том, что яйцеклетка созрела и организм женщины готов к возможной беременности. То есть, если желтое тело находится в яичнике, значит беременность вполне возможна.
Ну, а если желтого тела нет, то значит, овуляция в этом менструальном цикле не произошла, и никакой беременности быть не может.
Предположить наличие беременности можно только в том случае, когда за 1 — 2 дня до начала предполагаемой менструации желтое тело хорошо определяется при ультразвуковом исследовании и его размеры не уменьшаются.
Опасности, связанные с желтым телом
Быстрая навигация по статье «Опасности, связанные с желтым телом»:
Размер желтого тела при беременности
Основной задачей желтого тела является выработка гормонов, необходимых для дальнейшего развития беременности. Поэтому на разных сроках оно будет иметь разные размеры.
В первые дни своего возникновения желтое тело имеет диаметр 15 -20 мм. Затем оно увеличивается в размерах до 25 — 27 мм и остается таким примерно до 15 недели беременности.
После чего его функции постепенно прекращаются, а размеры уменьшаются.
У некоторых женщин размер желтого тела при беременности может быть более 30 мм, в этих случаях говорят о кисте желтого тела. Впрочем, для волнений нет причин — эта киста не представляет опасности для здоровья и не нарушает течение беременности, т. к. точно также выделяет прогестерон.
Некоторые будущие мамы пугаются, если при проведении УЗИ врач не обнаруживает у них желтого тела. Но, как правило, проблема совсем не в женщине — чаще всего такое случается при проведении исследования на старом оборудовании, имеющем низкую разрешающую способность, или если УЗИ проводит недостаточно неквалифицированный врач.
Просто повторите процедуру в другом медицинском учреждении.
В любом случае, не стоит переживать и волноваться понапрасну. При возникновении вопросов не стесняйтесь задавать их своему гинекологу и не отказывайтесь от назначаемого им лечения. Оставайтесь рассудительной и спокойной, и тогда ваша беременность пройдет легко и благополучно, и очень скоро вы станете самой счастливой мамой долгожданного малыша!
Благодаря этому к нам заглядывают специалисты и дают ответы на наши вопросы!А еще, вы можете задать свой вопрос ниже. Такие как вы или специалисты дадут ответ.Спасибки ;-)Всем здоровых малышей!
Пс. Мальчиков это тоже касается! Просто девочек тут больше
Gnomik.ru ©
Источник:



