Что такое коккобациллярная флора в мазке
В лабораторной диагностике применяется классификация микроорганизмов, которые можно обнаружить в биоматериале, по внешнему виду клеток. Поэтому в заключении по исследованию можно встретить такие формулировки: кокковая флора в мазке у женщин, палочковая флора, коккобациллярная флора, смешанная флора.
Микроскопия мазка – важный способ диагностики множества патологий
Кокки в мазке у женщин являются шарообразными бактериями, бациллы имеют палочковидную организацию, а коккобациллы имеют промежуточный вид. К этим микроорганизмам относятся гарднерелла, хламидии. Их появление может свидетельствовать о дисбиозе влагалища или об активном инфекционно-воспалительном процессе.
По каким причинам в мазке могут появиться коккобациллы?
Неконтролируемый прием антибиотиков без мер для предупреждения дисбактериоза – одна из причин появления коккобацилл в мазке
Коккобациллярная флора в мазке у женщин может выявляться из-за того, что во влагалище создались благоприятные условия для роста и размножение соответствующих микроорганизмов. Это может быть из-за:
- несоблюдения правил личной гигиены;
- несоблюдения правил предупреждения заболеваний, передающихся половым путем (пренебрежение барьерными средствами контрацепции, частая смена партнеров);
- некорректное проведение спринцевания;
- установка внутриматочной спирали;
- неконтролируемый прием антибиотических препаратов;
- гормональный дисбаланс;
- прогрессирующий дисбиоз влагалища.
Обильная коккобациллярная флора в мазке может обнаруживаться в мазке и у мужчин. В таких ситуациях причины – пренебрежение правилами гигиены, заражение при половом контакте.
Чем опасны коккобациллы?
Если выявлены коккобациллы в мазке у женщины, меры должны предприниматься своевременно, иначе могут развиться опасные, а иногда и необратимые последствия: инфекционный процесс распространится на другие органы репродуктивной системы, разовьется бесплодие.
Наиболее опасными из коккобацилл являются хламидии. Они могут попасть в половые органы во время соития, но не исключены и случаи бытового заражения. Прогрессирование хламидиоза у женщин может привести к воспалению маточных труб, спаечному процессу, бесплодию. У мужчин болезнь может спровоцировать воспаление предстательной железы и бесплодие.
В здоровом состоянии коккобациллы отсутствуют и у женщин, и у мужчин. Преобладающая флора у женщин – лактобациллярная, у мужчин – кокковая.
Правильная подготовка к исследованию
Для получения достоверного результата исследования мазка на флору следует ознакомиться с некоторыми правилами:
- Половые контакты за два дня до взятия биоматериала должны быть исключены.
- Не стоит приходить на процедуру непосредственно до начала менструального кровотечения или сразу вслед за его окончанием.
- За день до взятия материала нельзя принимать ванну, гигиенические процедуры можно проводить под душем.
- Исключены спринцевания, применение вагинальных препаратов (свечи, таблетки) за день до исследования.
- Не посещать туалет за 3 часа до взятия мазка.
Что такое анализ на скрытые инфекции и как его сдать
Соблюдение перечисленных рекомендаций позволит получить наиболее корректные результаты анализа мазка. Если подготовка к исследованию была неправильной, результат может быть неверным, что повлечет постановку некорректного диагноза.
Инструменты для взятия биоматериала для получения мазка
Сама процедура взятия биоматериала безболезненна, но может спровоцировать небольшой дискомфорт.
Для взятия мазка женщина должна расположиться на гинекологическом кресле, а специалист при помощи инструмента берет материал и наносит его на стекло.
После этого стекло доставляется в лабораторию, где подвергается фиксации, окрашиванию и исследованию. На конечном этапе полученный результат анализа передается лечащему врачу, который интерпретирует его и назначает необходимое лечение.
Как расшифровывается результат мазка на флору
В бланке, который выдает лаборатория, можно встретить такие формулировки:
- Грамвариабельная флора. Это значит, что в мазке обнаружены как грамотрицательные, так и грамположительные микроорганизме.
- Полиморфная флора. Такое определение говорит о том, что выявляется много разных форм микроорганизмов.
- Умеренная коккобациллярная флора (бывает еще и обильная). Означает, что в мазке присутствуют коккобациллы в том или ином количестве. Выявление такой картины – повод для назначения дополнительного исследования при помощи полимеразно-цепной реакции или бактериального посева.
Ключевые клетки в гинекологическом мазке
Если коккобациллами в мазке являются гарднереллы, то в мазке могут быть обнаружены ключевые клетки. Они представляют собой эпителиальные клетки, “усеянные” этими микроорганизмами, и их обнаружение – яркий наглядный признак гарднереллеза (который также называют бактериальным вагинозом).
Тактика терапевтической коррекции
При обнаружении коккобацилл в мазке врач должен назначить определенный спектр дополнительных исследований крови, мочи. Это важно для обнаружения других инфекций, которые передаются половым путем. После постановки конкретного диагноза специалист назначает комплексное лечение.

В случае дисбактериоза влагалища назначают такие меры:
- диета с включением кисломолочных продуктов;
- пробиотики в разных формах, как для внутреннего приема, так и для локального применения – в форме свечей;
- витаминотерапия.
Расшифровка результатов кольпоскопии шейки матки
При установленном заболевании, передающемся половым путем, врач назначает противомикробное лечение, включающее сульфаниламиды, антибиотические медикаменты. При этом также рационально применение лекарственных форм и для локального применения, и для приема внутрь.
Антибиотикотерапия требует одновременного назначения пробиотических средств для предотвращения прогрессирования дисбактериоза.
В случае обнаружения коккобацилл в мазке при беременности лечение должно строго контролироваться специалистом: многие препараты в этой ситуации противопоказаны.
Самолечение в любых ситуациях недопустимо. Только квалифицированный врач после комплексной диагностики может назначить верный курс терапевтической коррекции состояния.
Профилактические мероприятия
Регулярное посещение гинеколога – важный элемент профилактики
Для того, чтобы минимизировать риск роста и размножения коккобациллярной флоры, нужно соблюдать определенные профилактические меры. В их перечень входят следующие:
- Соблюдение правил личной гигиены. Необходимо регулярно проводить гигиенические процедуры, рекомендуется при этом использовать специальные средства – гели, жидкие мыла, пенки и иные продукты для интимной гигиены (Лактацид, Эпиген и другие).
- Использование барьерных средств контрацепции и внимательное отношение к своей интимной жизни в целом. Личное остается личным, но все же частая смена половых партнеров довольно опасна и может привести к внушительному спектру неблагоприятных последствий.
- Регулярное посещение гинеколога даже в отсутствие каких-либо признаков патологии. Исследование мазка может подтвердить норму или же выявить заболевание на ранней стадии, что сделает лечение наиболее эффективным.
- Укрепление иммунной системы. Предполагает регулярный прием иммуномодулирующих средств, витаминов. Такой подход предупреждает возможность прогрессирования инфекционно-воспалительных заболеваний.
- Рациональное питание. Диета должна быть сбалансированной, включать в себя все необходимые витамины и микроэлементы. Также не стоит пренебрегать кисломолочными продуктами.
- При необходимости антибиотикотерапии различного рода инфекционных заболеваний следует сразу же начинать прием пробиотических и комбинированных (содержащих и пребиотики, и пробиотики) препаратов. Конкретный медикамент должен подобрать врач.
- Соблюдение правил проведения спринцевания, введения тампонов, применения вагинальных свечей и таблеток.
Смешанная флора: вариант нормы или нарушение?
Нужно понимать, что означает обнаружение коккобациллярной флоры в мазке, что это – признак патологического процесса, требующего незамедлительных мер терапевтической коррекции. А внимательное отношение к собственному здоровью позволит предотвратить рост и размножение патогенной флоры, своевременно выявить нарушения и предпринять лечебные меры.
Подробно о дисбактериозе влагалища можно узнать из видео:
Источник:
Коккобациллярная флора в гинекологическом мазке у женщин
29.01.2018
9 тыс.
6 тыс.
5 мин.
Время чтения: 5 мин.
Нормальная микрофлора влагалища женщины является важнейшим фактором защиты от патогенных микроорганизмов. Однако ее состав не является постоянным и зависит от уровня половых гормонов, состояния здоровья организма в целом, наличия скрытых половых инфекций.

При развитии воспалительного процесса или дисбактериоза в гинекологическом мазке появляется коккобациллярная флора. Коккобациллы — это бактерии, имеющие особую форму, они напоминают и кокки, и палочки одновременно.
В организме женщин регулярно происходят изменения, связанные с гормональным фоном. Различный уровень гормонов в течение менструального цикла, беременность, период климакса приводят к изменениям в составе вагинальной микрофлоры.
В начале цикла под действием эстрогенов происходит усиленное накопление гликогена в клетках эпителия. Слущенный эпителий является питательной средой для лактобактерий, которые в норме должны преобладать. Во вторую фазу доминирует прогестерон.
Он способствует усиленной десквамации эпителия, за счет метаболизма гликогена во влагалище поддерживается кислая среда. В этот период наблюдается сокращение количества микроорганизмов.
При этом минимум наблюдается непосредственно перед менструацией. Кровь, которая выделяется во время месячных, является питательной средой для микроорганизмов, причем как для нормальных, так и для патогенных.
Во время беременности увеличивается скорость колонизации грибками рода Кандида и лактобактериями, но одновременно наблюдается уменьшение разнообразия флоры. По данным исследований, разница в количестве лактобактерий по сравнению с небеременными женщинами может доходить до 10 раз.
При снижении иммунной защиты, присоединении патогенной флоры состав биоценоза также изменяется.
Обязательным этапом обследования у врача-гинеколога является мазок на степень чистоты. Выделяют 4 степени, в зависимости от количества лактобактерий, лейкоцитов, слизи, эпителия и бациллярной, кокковой флоры. Расшифровка степеней чистоты приведена в другой статье (перейдите по внутренней ссылке).
Если в результате анализа появилась строчка о выявлении большого количества коккобациллярной флоры, то это, как правило, свидетельствует о дисбиотических изменениях во влагалище, нарушении баланса микрофлоры. В бланке в этой ситуации пишут — «обильная», «значит.». Важно обратить внимание на наличие других микроорганизмов и количество лейкоцитов.
Коккобациллы – это бактерии, которые имеют промежуточную форму между шаровидными кокками и удлиненными палочками.
К ним относятся:
В обычных мазках из влагалища хламидии выявляются крайне редко. Поэтому для диагностики хламидиоза этот метод не используется, для подтверждения диагноза необходим ПЦР. Гемофильная палочка часто является спутником неспецифического кольпита, иногда выявляется при гонорее, трихомониазе и других ИППП.
В большей степени при выявлении коккобациллярной флоры подозревают бактериальный вагиноз.
2. Какие симптомы могут быть у женщины?
Симптомы бактериального вагиноза тяжело спутать с проявлениями других патологий. Течение его может быть бессимптомным или с ярко выраженными клиническими признаками.
Второй вариант связан с появлением обильных выделений, которые соответствуют следующим параметрам:
Иногда выделения появляются или усиливаются перед менструацией, после секса или смены полового партнера. Болезнь может существовать долгое время, с периодами относительной ремиссии.
Выделения могут изменить свой характер: цвет становится желтовато-зеленым, консистенция – вязкой, тягучей, но при этом они способны пениться. Их количество может быть умеренным или значительным.
Для бактериального вагиноза не характерны воспалительные изменения со стороны половых путей. Но на его фоне могут развиться сальпингит, эндометрит. Чаще всего их провоцируют инвазивные внутриматочные манипуляции.
3. Причины нарушений
Изменение микробиоценоза влагалища может происходить под влиянием различных факторов. Основными причинами являются:
- чрезмерное увлечение средствами для интимной гигиены, спринцевания без назначения врача;
- нарушение правил гигиены секса, неправильное чередование разных видов секса в пределах одного полового акта;
- неблагоприятные социально-бытовые условия;
- лечение антибиотиками;
- иммуносупрессивная или гормональная терапия;
- внутриматочные контрацептивы;
- нейроэндокринные заболевания и нарушение работы яичников;
- экстрагенитальные инфекции;
- хирургические вмешательства;
- состояние после лучевой терапии.
Бактериальный вагиноз расценивается как нарушение баланса микрофлоры (дисбиоз) и не считается инфекцией. Однако на его фоне происходит значительное уменьшение числа лактобацилл и замещение их другими микроорганизмами.

Среди большого количества факторов, провоцирующих баквагиноз, первое место занимают все-таки гормональные нарушения. Не отрицается связь с заболеваниями пищеварительного тракта, мочевыделительной системы. Иногда точную причину подобных нарушений установить не удается.
4. Методы диагностики
Для диагностики баквагиноза у женщин имеет значение правильно собранный анамнез. Часто патология сочетается с нарушениями менструального цикла, протекающими по типу недостаточности лютеиновой фазы и олигоменореи.
При осмотре в зеркалах заметны характерные бели, при этом слизистая влагалища не выглядит отечной и воспаленной.
Выделения могут быть очень обильными и свободно стекать по стенкам в область преддверия. Во время осмотра врач может оценить по цвету, запаху и консистенции характер отделяемого.
Критерии Amsel используются для подтверждения диагноза бактериального вагиноза. Они включают 4 пункта:
- 1Обильные выделения из влагалища с характерным «рыбным» запахом.
- 2В мазках при микроскопии обнаружены «ключевые» клетки.
- 3рН влагалищной среды более 4,5.
- 4Аминный тест положительный.
Учитывается наличие трех из четырех перечисленных признаков, что говорит в пользу бактериального вагиноза.
Исследование нативных мазков является обязательным этапом диагностики. При баквагинозе в них обнаруживаются характерные признаки:
- 1Количество лейкоцитов минимально или их нет.
- 2Флора обильная, представлена коккобациллами, кокками, вибрионами, покрывающими большую часть поля зрения.
- 3Лактобациллы практически отсутствуют.
- 4Обязательно наличие «ключевых» клеток – это эпителий, на поверхности которого адгезированы бактериальные клетки.
Кислотность вагинального содержимого определяют с помощью лакмусового индикатора, который должен показать защелачивание среды.
Дополнительно проводится аминовый тест: к выделениям добавляется несколько капель 10% КОН. При этом появляется яркий запах «тухлой рыбы». Он возникает при реакции щелочи с продуктами жизнедеятельности анаэробных микробов, представленных соединениями летучих аминов.
ПЦР имеет вспомогательное значение и не используется для постановки диагноза «баквагиноз». Выявление гарднерелл у небеременных женщин или ребенка (девочки) при отсутствии жалоб и симптомов не является показанием к лечению.
Однако ПЦР необходим для диагностики хламидиоза, микоплазмоза, гонореи, трихомониаза и других ИППП, которые нарушают баланс флоры во влагалище.
5. Лечение баквагиноза
Лечение бактериального вагиноза направлено на восстановление баланса микрофлоры влагалища. При наличии лабораторных изменений без симптомов дисбактериоза женщину нужно лечить только в следующих случаях:
- 1Постановка ВМС.
- 2Перед операциями на малом тазу, в том числе перед абортом.
- 3Беременность (в анамнезе были выкидыши, преждевременные роды, неблагополучные исходы).
Терапия беременных и небеременных женщин отличается. В первом случае применяются только местные средства. В первой половине беременности используют крем Клиндамицин, свечи Гексикон.
Во вторую половину гестации допускается лечение свечами Тержинан, Нео-пенотран, вагинальным гелем Метрогил. Вне беременности список препаратов значительно шире. Допустимо применять таблетки Орнидазол внутрь в качестве препарата первой линии (классификация FDA, США).
Альтернативой являются Метронидазол, свечи Тержинан, Нео-пенотран и крем Клиндамицин.
Дисбактериоз считается излеченным при исчезновении клинических симптомов патологии. Для мужчин-половых партнеров терапия не предусмотрена, но паре нужно отказаться от половых контактов на весь период лечения.
При рецидивирующем вагинозе у женщины может использоваться вакцина Солкотриховак. Также доказана эффективность применения вагинального 5%-го линимента Циклоферона. Отвары трав и спринцевания, проводимые в домашних условиях, малоэффективны.
- 1Гинекология. Национальное руководство/ В.И. Кулаков, Г.М. Савельева, И.Б. Манухин. – М.: ГЭОТАРМедиа, 2011
- 2Ефимов Б.А., Тютюнник В.Л., Бактериальный вагиноз: современный взгляд на проблему // РМЖ. – 2008. – Т. 16, № 1
- 3Бактериальный вагиноз. И.С. Сидорова, И.О.
Макаров. «РОССИЙСКИЙ ВЕСТНИК АКУШЕРА-ГИНЕКОЛОГА», №6, 2006г.
- 4Клинические рекомендации по диагностике, лечению и профилактике вагинитов в общей врачебной практике. Ассоциация врачей общей практики (семейных врачей) Российской Федерации, 2014.
- 5Федеральные клинические рекомендации по ведению больных бактериальным вагинозом. Российское общество дерматовенерологов. Российское общество акушер-гинекологов. Москва – 2015.
- 6Воспалительные заболевания женских половых органов. Брошюра практического гинеколога. А.Л.
Тихомиров, С.И. Сарсания. Москва – 2007.
Источник:
Коккобациллярная и кокковая флора в мазке
Коккобациллы – это смешанная форма бактерий, которая представлена бациллами и кокками. Мазок может показать коккобациллярную флору, что свидетельствует о бактериальном вагинозе или скрытых инфекциях половой сферы. Без сдачи мазка на флору диагностика ЗППП невозможна.
Что такое коккобациллярная флора?
Мазок на флору – важный метод диагностики мочеполовой системы, который является частью профилактического обследования у гинеколога.
Для анализа производится забор материала из мочеиспускательного канала у мужчин, а у женщин со стороны шейки матки и слизистой оболочки влагалища.
Цель анализа – это оценка состояния микрофлоры в половой и мочевыделительной системах, которые образуют мочеполовой аппарат.

Мазок выявляет патогенные микроорганизмы, атипичные клетки, определяет гормональный фон. Часто встречающиеся представители коккобациллярной флоры – это гарднереллы, хламидии, гемофильные палочки.
Показаниями для проведения анализа также могут стать жалобы пациентов, касающиеся болезненных ощущений внизу живота, зуда, жжения в области влагалища, выделений, которые могут быть следствием воспаления.
Мазок на наличие смешанной микрофлоры рекомендуют проводить, когда планируется беременность или закончен курс антибиотикотерапии, чтобы исключить молочницу.
Когда микроскопия биологического материала показывает коккобациллярную микрофлору, такое явление может быть следствием ряда причин:
- беспорядочных связей – когда женщина имеет несколько половых партнеров, автоматически повышается риск возникновения бактериального вагиноза, на фоне которого размножается коккобациллярная флора;
- злоупотребления спринцеванием – это нарушает полезную микрофлору влагалища, что провоцирует развитие болезней. В такой ситуации наличие постоянного партнера не будет препятствием для проникновения патогенных микроорганизмов;
- выбора варианта контрацепции – внутриматочной спирали. Результатом установки может стать бактериальный вагиноз. Развитие заболевания исключает фактор частой смены партнеров, поэтому мазок покажет умеренную коккобациллярную микрофлору;
- гормонального дисбаланса – наиболее распространенная причина проблем со здоровьем. Бактериальный вагиноз – это диагноз, который ставят исключительно женщинам репродуктивного возраста. Поэтому логично предположить, что способствуют размножению коккобацилл именно гормональные сбои.
Чтобы предотвратить появление патологической флоры, необходимо соблюдать гигиену и своевременно посещать гинеколога. Такой анализ, как мазок на флору, обеспечивает уверенность в состоянии женского здоровья.
Что такое анализ мазка на кокковую флору?
Кислая среда микрофлоры влагалища является нормой. Когда в мазке выявляют вредные бактерии – кокки, это свидетельствует об изменении щелочного баланса. Кокковая флора становится причиной дисбаланса во влагалище, дисбактериоз которого зачатую сопровождается воспалением. Без своевременного лечения, развивается эндометриоз, что приводит к эрозии шейки матки.
Функции лейкоцитов – обеспечивать защиту организма, предотвращая возможность проникновения болезнетворных бактерий. Если мазок показывает повышенный уровень лейкоцитов – это указывает на наличии в организме различных инфекционных заболеваний. Повышенная кокковая флора требует лечения, учитывая разновидность обнаруженных патогенных микроорганизмов:
- гонококков;
- стрептококков;
- стафилококков;
- пневмококков;
- тетракокков.
Проведение анализа на шигеллы и сальмонеллы
Повышенные показатели кокков выражаются проявлением характерных симптомов, которые могут проявляться далеко не сразу, в чем и заключается опасность такого заболевания как гонорея. Организм женщины отреагирует сухой слизистой влагалища, зудом, жжением, появлением специфических выделений.
Реакцией мужского организма на присутствие гонококков будет отек тестикулы, желтые или зеленые выделения из полового члена, мочеиспускание, сопровождающееся режущей болью. Диагностировать гонорею дает возможность сдача мазка на кокковую флору, когда забор биоматериала производится из мочеиспускательного канала.
патологической микрофлоры в мазке помогает обнаружить микроскопическое либо бактериологическое исследование. Гарантией достоверности результата является соблюдение некоторых рекомендаций, касающихся подготовки к сдаче анализа.
- Исключить интимную близость за два дня.
- Нельзя осуществлять забор биоматериала в дни, которые предшествуют началу месячных.
- Не рекомендуется за день до сдачи мазка купаться в ванной.
- Нельзя спринцеваться.
- Не рекомендуется принимать вагинальные свечи, таблетки.
- Исключить использование гигиенических средств, для подмывания использовать исключительно чистую теплую воду.
- Постараться посетить туалет за три часа до процедуры.
При самом заборе материала отсутствуют болевые ощущения, вся процедура заключается в простых манипуляциях врача. В норме мазок должен показывать лактобактерии 95%. Благодаря этим микроорганизмам осуществляется синтез молочной кислоты для поддержки нужной кислотности, что обеспечивает защиту половой сферы, предотвращая доступ возбудителей инфекций.

Если в микрофлоре обнаружено незначительное содержание гарднереллы и кандид – это норма. Одно из последствий синдрома хронической усталости, эмоционального перенапряжения, воспалительных процессов, беременности – пониженный иммунитет. Такое состояние способствует активному размножению гарднереллы с кандидой, в результате чего развивается дисбиоз влагалища, бактериальный вагиноз, кандидоз.
Мазок на коккобациллярную и кокковую флору: расшифровка
В результатах анализа встречаются различные заключения, которые достаточно трудно понять:
- наличие грамвариабельной флоры указывает на грамположительные плюс грамотрицательные бактерии, которые определяю посредством окрашивания в лаборатории;
- обнаружение полиморфной флоры свидетельствует о наличии большого количества микроорганизмов – это вирусы и бактерии;
- выявление умеренной коккобациллярной флоры либо значительной доказывает наличие инфекционного заболевания, которое идентифицируется дополнительными исследованиями. Проводят полимеразную цепную реакцию либо бакпосев.
Каждый показатель анализа обозначает латинская буква, что упрощает работу медикам и значительно экономит время:
- V, C, U соответствуют местам забора материала – влагалищу, цервикальному каналу, мочеиспускательному каналу;
- L – показывает содержание лейкоцитов;
- Эп – показатель эпителия;
- Gn – значение микроорганизма гонококка;
- Trish – это показатель микроорганизма трихомонады;
- pH – значение нормы уровня кислотности во влагалище.
| Значение | Нормальные показатели | Наличие отклонений | ||
| V | C | U | ||
| лейкоциты | 0-10 (0-20 у беременной) | 0-30 | 0-5 | Повышенный уровень – результат воспаления |
| эпителий | 5-10 | 5-10 | 5-10 | Повышенное содержание -следствие воспаления |
| слизь | Умеренное кол-во | Умеренное кол-во | X | Большое кол-во – указывает на инфекцию |
| гонококки | X | X | X | Наличие –признак гонореи |
| трихомонады | X | X | X | Наличие – признак трихомониаза |
| Ключевые клетки | X | X | X | Наличие – признак бактериального вагиноза |
| кандиды | X | X | X | Наличие – признак кандидоза |
| микрофлора | Повышенное содержание палочек Дедерлейна | X | X | Наличие патогенов указывает на соответствующее заболевание |
Источник:
Коккобациллярная флора в мазке у мужчин и женщин, беременных и детей
В нормальном состоянии микрофлора влагалища состоит из пептострептококков, лакто и бифидобактерий. Они предотвращают развитие патогенных состояний влагалища. Если мазок показывает наличие коккобациллярной флоры – признак проблем со здоровьем женщины.
Коккобациллярная флора – что это?
Представляет разновидность бактерий, сочетающих две патогенные формы микроорганизмов – кокки, бациллы. Наиболее распространенной, известной формой коккобаллярных бактерий является гемофильная палочка, которая провоцирует развитие гемофильной инфекции.
Что же делать в такой ситуации ? Для начала советуем почитать эту статью. В данной статье подробно описываются методы борьбы с паразитами. Также рекомендуем обратиться к специалисту. Читать статью >>>
Кокки
Бациллы
К таким бактериям также относятся возбудители гарднреллеза – гарднереллу вагиналис, а также возбудитель хламидиоза – хламидия трахоматис.
Обильная и скудная коккобациллярная флора в мазке
При обнаружении патогенной микрофлоры в мазе основное внимание уделяют ее количеству. Отсутствие или скудное количество бактерий считается нормой. Если в гинекологическом мазке наблюдается обильное количество бацилл – признак проблем со здоровьем, которые могут сопровождаться слизистыми, гнойными влагалищными выделениями, болью в животе, нарушением менструального цикла.

Характеристика количественных показателей патогенной флоры:
| Незначительное | меньше 0,5-1% |
| Умеренное | 2-8% |
| Повышенное | 8-50% |
| Обильное | более 50% |
Коккобациллярная флора в мазке у женщины
Нормальное состояние микрофлоры влагалища женщины является важнейшим фактором защиты от патогенных микроорганизмов.
Однако ее состав не постоянный, поскольку он зависит от гормонального фона, состояния иммунной системы, наличия половых инфекций. Развитие воспалительных процессов, дисбактериоз влагалища становиться причиной появления в мазке коккобациллярной флоры.
В мазке могут обнаружить:
- гемофильную палочку;
- гарднереллу вагиналис;
- хламидии трахоматис.
В обычных мазках хламидии встречаются крайне редко, для их диагностики необходим анализ ПЦР. Гемофильная палочка часто становиться причиной неспецифического кольпита, встречается при гонорее, трихомониазе и множества других ИППП.
Важно! Чаще всего при обнаружении коккобациллярной флоры подозревают бактериальный вагиноз.
К причинам появления патогенной микрофлоры относятся:
- чрезмерная интимная гигиена, самостоятельное спринцевание без консультации с врачом;
- чередование разных видов секса во время одного полового акта без соблюдения правил гигиены;
- социально-бытовые условия неблагоприятного характера;
- прием антибиотиков;
- гормонозаместительная, иммуносупрессивная терапии;
- использование внутриматочных контрацептивов;
- заболевания эндокринной, нервной систем, нарушения функций яичников;
- экстрагенитальные инфекции;
- хирургическое вмешательство;
- перенесенная лучевая терапия.
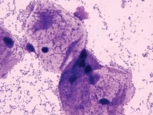
Коккобациллярная флора в мазке у женщины под микроскопом
Таблица нормальных показателей мазка у женщин
| Показатели | Уретра (норма) | Вагина (норма) | Цервикальный канал (норма) |
| Лейкоциты | 0-5 в п/з | 0-10 в п/з | 0-15-30 в п/з |
| Эпителий | Умеренный или 5-10 в п/з | Умеренный или 5-10 в п/з | Умеренный или 5-10 в п/з |
| Слизь | Умеренно/отсутствует | Умеренно | Умеренно |
| Гонококки | Не выявлено | Не выявлено | Не выявлено |
| Трихомонады | Не выявлено | Не выявлено | Не выявлено |
| Дрожжевые грибы (Candida) | Не выявлено | Не выявлено | Не выявлено |
| Микрофлора | Отсутствует | Палочка в большом количестве или лактобациллярная | Отсутствует |
| Ключевые клетки | Отсутствуют | Отсутствуют | Отсутствуют |
Любые отклонения от нормы – признак патологических, воспалительных процессов. Для постановки точного диагноза врачу необходимо трактовать совокупность анализов.
Незначительные завышения нормы могут трактоваться индивидуальной нормой, особенно если у пациента нет жалоб, не проявляются никакие симптомы.
Коккобациллярная флора в мазке у мужчин
Если анализы мазка показывают наличие коккобациллярной флоры – признак развития в организме венерических заболеваний, например, трихомнониаза. Также такие анализы могут свидетельствовать о заболеваниях, не передающихся половым путем.
Присутствие патогенной флоры может сигнализировать о гормональном сбое, нарушении работы иммунной системы, перенесенное аллергическое заболевание, прием сильнодействующих антибиотиков. Такие факторы значительно повышают вероятность развития коккобациллярной микрофлоры.
В мазке мужчины всегда наблюдается минимальное количество кокков, которые не угрожают его здоровью. Пренебрежение правилами гигиены, ослабленный иммунитет провоцируют активное развитие этих бактерий.

В результате наблюдаются различного рода воспалительные процессы, общее ухудшение состояния. При появлении любых симптомов мужчине нужно обратиться к урологу для обследования.
Важно! Опасность наличия патогенной флоры заключается в длительном бессимптомном течении. Большинство мужчин не подозревают, что являются переносчиком микроорганизмов отвечающих за развитие патологий.
При сбоях в работе организма активность коккобациллярных микробов повышается, что может вызывать такие симптомы:
- зуд, жжение в паху;
- сухость слизистой оболочки;
- гнойные выделения с неприятным запахом;
- нарушение и боль во время мочеиспусканий;
- повышенная температура;
- общая слабость.
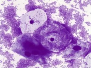
Коккобациллярная флора в мазке у мужчин
Таблица нормальных показателей мазка у мужчин
| Показатели | Уретра (норма) |
| Лейкоциты | 0-5 в п/з |
| Эпителий | 5-10 в п/з |
| Слизь | Умеренное количество |
| Кокки | Единичные |
| Дрожжевые грибы | Отсутствуют |
| Гонококки | Отсутствуют |
| Трихомонады | Отсутствуют |
Коккобациллярная флора в мазке при беременности и после родов
Беременная женщина сталкивается с ослаблением иммунитета, гормональными перестройками, повышенным чувством беспокойства, что является идеальной средой для нарушения микрофлоры влагалища. Поэтому риск развития коккобациллярной флоры значительно повышается, что может серьезно навредить матери и будущему ребенку.
Помимо неприятных симптомов в виде обильных выделений, жжения и сухости влагалища, инфекция препятствует процессу вынашивания плода. Повышается вероятность:
- выкидыша;
- кровотечения;
- отслоения плаценты;
- преждевременных родов.
Также наличие патогенной флоры в мазке становиться причиной различных осложнений беременности. Помимо внутриутробного заражения, инфекция может передаваться ребенку во время родов, негативно отразившись на его развитии, здоровье.
По этой причине, во время протекания беременности врач дважды берет мазок у женщины. Первый при постановке на учет, второй на 30-й неделе беременности. При необходимости сдачу анализа могут назначить внепланово.
Даже после родов женщине необходимо проходить регулярные осмотры, ведь присутствие патогенной флоры требует применения определенных методов лечения. Бактерия может навредить матери и новорожденному малышу.
Нарушения у ребенка
Довольно часто у детей, чаще у девочек обнаруживают коккобациллярную флору в мазке. Такое явление связано с неокрепшим организмом, что влечет за собой склонность к инфицированию различными микроорганизмами.
Также такое состояние может наблюдаться при неправильном питании, повышенных интеллектуальных, физических нагрузках, игнорировании правил гигиены.
Для предотвращения инфицирования, необходимо придерживаться профилактических мер:
- исключить употребление ребенком некачественных продуктов;
- научить малыша правилам ухода за своим телом.
При обнаружении инфекции, ребенку могут назначить подмывания лечебными отварами, ванночки с хлорофилиптом, прием препаратов с лактобактериями.
Методы лечения
Если количество бактерий в мазке незначительное и не сопровождается негативными симптомами, назначение специальной терапии не потребуется. Однако при этом требуется регулярное посещение врача и сдача мазков для контроля активности микрофлоры.
Если в мазке обнаруживают большое количество патогенных микроорганизмов, пациенту назначают специальные анализы для точного определения возбудителя. По результатам анализов появляется возможность правильно подобрать антибактериальные медикаменты тетрациклиновой группы, макролидов, фторхинолонов. Перед назначением препаратов назначаются анализы на чувствительность бактерий к антибиотикам.

Местное лечение с использованием свечей на основе метронидазола или мазей с клотримазолом проходит под наблюдением врача. Помимо медикаментозного лечения, могут применяться спринцевания травяными отварами.
Своевременное обнаружение болезни является залогом быстрого излечения. Чтобы предотвратить инфицирование нужно соблюдать профилактические меры, регулярно посещать врача для сдачи анализов, мазков.
Антипаразитарный комплекс® — Надежное и безопасное избавление от паразитов за 21 день!
- В состав входят только природные компоненты;
- Не вызывает побочных эффектов;
- Абсолютно безопасен;
- Защищает от паразитов печень, сердце, легкие, желудок, кожу;
- Выводит из организма продукты жизнедеятельности паразитов.
- Эффективно уничтожает большую часть видов гельминтов за 21 день.
Сейчас действует льготная программа на бесплатную упаковку. Читать мнение экспертов.
Источник:
Коккобациллярная флора в мазке у женщин — что это такое и нужно ли лечить?
Коккобациллы — особый вид бактерий, относящийся к патогенной флоре в мазке. Их наличие в мазке из половых путей не является вариантом нормы, может свидетельствовать о развитии у женщины бактериального вагиноза и венерических болезней.
Что означает кокковая, бациллярная и коккобациллярная флора в мазке у женщин, в том числе при беременности, каковы причины обильной и скудной микрофлоры, чем лечить такое состояние?
Что значит такая флора в гинекологическом анализе
При определенных факторах соотношение микроорганизмов меняется, полезная флора вытесняется или погибает. Здоровье женской репродуктивной системы подрывается из-за развивающихся патологий (дисбактериоза, ЗППП).
Такое соотношение не позволяет патогенным микробам негативно влиять на женское здоровье.
Кокковая
Что означают кокки в мазке на флору у женщин? Кокковая флора относится к разряду условно-патогенной и включает обширную группу микроорганизмов.
Самые распространенные представители микрофлоры:
- стафилококки;
- менингококки;
- стрептококки;
- гонококки.
Если в мазке на флору обнаружены кокки, самые опасные — первые два микроба из-за способности вызывать тяжелые инфекционные болезни, поражающие кишечник, мозг, другие органы.
Гонококки провоцируют развитие венерических болезней. Особенность кокковой флоры — в высокой устойчивости к антибиотикам и нагреванию.
Бациллярная
Бациллярная флора в мазке — что это такое? Разновидность микрофлоры включает как полезные, так и патогенные палочковидные микроорганизмы.
Молочная кислота поддерживает оптимальный биоценоз во влагалище, не допуская роста вредных бактерий, грибка.
К опасным представителям бацилл в мазке на флору относят мелкую палочковую флору — грамотрицательные микробы, способные вызывать воспалительные реакции и дисбактериоз половых путей.
Мелкопалочковая флора понижает общий и местный иммунитет, замедляя процесс выздоровления.
Коккобациллярная
Коккобациллярная флора в мазке — что это такое? Коккобациллярная флора характеризуется значительным недостатком полезных микробов и наличием в большом количестве бактерий, объединяющих два рода патогенных микроорганизмов — бацилл и кокков.
Коккобациллярная флора может быть представлена хламидиями, гемофильной палочкой, гарднереллой.
Такие микроорганизмы вызывают серьезные заболевания, трудно поддающиеся лечению, — хламидиоз, гемофильную инфекцию, кольпиты, гарднереллез.
При обнаружении коккобациллярной микрофлоры нужно обратиться за медицинской помощью.
Варианты нормы и отклонений
При обнаружении подобной микрофлоры в мазке ведущую роль отводят количеству патогенов.

Количество коккобацилл в мазке на флору может быть охарактеризовано как:
- незначительное — менее 0,5-1%;
- умеренное — от 2 до 8%;
- повышенное — от 8-10 до 50%;
- обильное — больше 50% либо полное отсутствие лактобактерий.
Отсутствие или скудное содержание коккобациллярной флоры — вариант нормы.
Если флора бацилл обильно представлена в гинекологическом мазке, это тревожный признак, сопровождающийся отклонениями в женском здоровье: выделениями слизистого или гнойного характера, болью в животе, дискомфортом, сбоями менструального цикла.
Дополнительная диагностика
Главный способ подтверждения избыточной коккобациллярной флоры — взятие мазка для лабораторного исследования.
Мазок берется из влагалища и шейки матки. Это необходимо для выявления степени активности патологии.
В качестве дополнительных методов диагностики используют:
- кольпоскопию в целях диагностического осмотра вульвы, влагалища, его стенок для выявления изменений в слизистой;
- УЗИ органов малого таза в целях выявления состояния внутреннего слоя матки;
- ПЦР-диагностику возбудителя инфекции;
- общий анализ крови, как показатель общего состояния.
Результаты всех диагностических процедур сводятся воедино и анализируется, затем выставляется диагноз с указанием причины болезни.
Лечение патологии
Лечить коккобациллярную флору необходимо, иначе возможно развитие неблагоприятных последствий для здоровья, самое опасное из которых — бесплодие.
Терапия назначается после результатов обследования и включает:
- подавление и уничтожение патогенных микроорганизмов антибиотиками, антисептиками;
- заселение «правильной» микрофлорой;
- восстановление местного иммунитета и общего.
На первом этапе назначают:
- Метронидазол (при наличии гарднерелл) — по 500 мг дважды в сутки, курс приема составляет 7 дней;
- Цефтриаксон внутримышечно (при хламидиях, гонококках) — по 0,5 г дважды в сутки курсом в 7-10 дней;
- Тержинан (при влагалищном дисбактериозе) в виде вагинальных таблеток — по одной штуке в дозировке 500 мг на ночь курсом в 10 дней;
- Амоксиклав перорально по 0,5 г 2 раза в сутки курсом в 7 дней.
Следующий этап не менее важен, его цель — создание оптимального биоценоза во влагалище.
Наиболее результативные препараты — Ацилакт, Вагинорм-С, Вагилак.
Не менее эффективны тампоны, пропитанные раствором Лактобактерина и Бифидумбактерина. Курс для восстановления флоры длится не менее 14 дней.
Третий этап направлен на повышение местного и общего иммунитета. Применение иммуномодуляторов (местно и перорально, в виде инъекций) на протяжении 10-14 дней скорректирует иммунные возможности в сторону усиления.
Применяются следующие медикаменты:
- Генферон или Виферон (суппозитории);
- Интерферон (внутримышечно);
- Вобэнзим (перорально).
Уровень опасности при беременности
Обнаружение коккобациллярной флоры в мазке у женщин в положении — не редкость, что обусловлено гормональным дисбалансом и понижением иммунитета.
Лечение требуется обязательно, иначе велик риск передачи инфекции ребенку (при прохождении через родовые пути), развития у плода гипоксии, серьезного воспаления матки у женщины вплоть до метроэндометрита.
Терапия включает щадящие антимикробные препараты в виде медикаментов для наружного применения: Клацид гель и Метронидазол в виде свечей.
После подавления вредных бактерий необходимо применение средств с содержанием лакто- и бифидобактерий (суппозитории и лечебные тампоны).
Дополнительно беременным назначают витаминные комплексы (Элевит, Компливит мама) и эубиотики (Линекс, Бифиформ) для общего укрепления организма и профилактики дисбиоза.

Что такое кокковая, бациллярная и коккобациллярная флора в мазке у женщин, в чем заключается лечение подобного состояния, мы рассмотрели.
Обнаружение коккобациллярной флоры указывает на серьезные неполадки в женской репродуктивной системе.
Наличие инфекционных болезней или дисбактериоз половых органов — повод для немедленного обследования и лечения.
При своевременном обращении к гинекологу от патогенной флоры можно успешно избавиться за месяц без негативных последствий.
Источник:



