Кистовидные просветления костной ткани что это такое
Только у нас: Введите до 31.03.2020 промокод бонус2020 в поле купон при оформлении заказа и получите скидку 25% на всё!
Кистозная перестройка костной ткани
Такая патология, как кистовидная перестройка, характеризуется образованием косных наростов в структуре сочленяющих элементов суставов. Основная первопричина болезненного состояния не установлена. Часто отмечается при систематическом травмировании сустава. Иногда развивается как сопутствующая патология при нарушении компенсационных процессов вследствие некрозного поражения тканей.
Что собой представляет?
Для кистовидной перестройки костей характерны дегенеративные и дистрофические изменения в их структуре, что развивается на фоне патологической регенерации клеток, которые были подвержены некрозу.
Начало недуга обусловлено поражением сочленяющих костных тканей с образованием наростов, что склонны к развитию и соединению между собой с внедрением в полость сочленения.
Нередко провоцирует возникновение вторичной формы остеоартроза, которая характеризуется поражением всех структурных элементов сустава и околосуставных мягких структур.
Разрушительные процессы в хрящевой и костной ткани отмечаются в самых подвижных участках сочленения, которые подвергаются систематическим нагрузкам.
Нарушение полноценной регенерации клеток хряща приводит к окостенению патологически измененных структур. Кистозная ткань разрастается, отмечается образование кист. Чаще поражаются мелкие суставы.
При воздействии на плечо, наросты формируются в области головки плечевой кости. Кисты в колене локализуются во внутреннем мыщелке.
Если патологический процесс отмечается в тазобедренном суставе, тогда происходит поражение головки бедренной кости и вертлюжной впадины.
Причины патологии
Перестройка костной структуры встречается не так часто, как артроз или некроз асептической формы. Формирование кист может быть как единичным, так и множественным. Одно структурное формирование склонно к быстрому росту и охватывает большой участок кости.
Основное место локализации наростов — суставные концы костей. При этом нередко отмечается наличие кистовидного просветления в их структуре. Этиология развития патологического процесса до конца не установлена.
Из-за тенденции активного образования кист в местах больших нагрузок на сочленение, одной из первопричин принято считать систематические микротравмы.
Существует ряд факторов и патологий, которые способны спровоцировать развитие недуга:
- профессиональные перезагрузки;
- дисфункция эндокринной системы;
- остеоартроз;
- нарушение обменных процессов;
- ранее перенесенный артрит;
- нарушение гемомикроциркуляции;
- гипоксия тканей.
Проявление патологии
Клиническая картина болезни зависит от стадии развития и выраженности патологического процесса:
По мере развития патологии боли в сочленении становятся все сильнее.
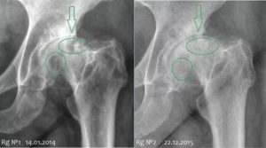
- Первая. Протекает практически бессимптомно. Отмечаются слабовыраженные неприятные ощущения, что сопровождаются чувством скованности при физической активности и легким нарушением подвижности пораженного сочленения. При рентгенографии диагностируется просветление с размытыми контурами и начальная стадия кистозных формирований.
- Вторая. Отмечается постепенное нарастание дискомфорта и болевых ощущений в дегенеративно измененном участке. При этом нарушается походка, человек прихрамывает, что связано с неполноценной подвижностью суставов. На снимке видны четкие контуры кист, отмечается место прорыва сочленения.
- Третья. Увеличивается интенсивность болей, которые приобретают хронический характер с отдачей в ближайшие сочленения. Отмечается развитие контрактуры и ригидность мышечных волокон. При возникновении вторичной формы остеоартроза симптоматика усугубляется. На рентгеновском снимке заметно уплотнение суставной поверхности и разрастание костных наростов на краевых участках кости.
Как проводится диагностика?
Чтобы поставить точный диагноз, врач собирает анамнез и устанавливает наличие сопутствующих болезней. Далее проводится внешний осмотр и пальпация пораженных участков. Самым информативным методом диагностики считается рентгенография. Стадии кистовидной перестройки костной структуры характеризуются определенными признаками, что указаны в таблице:
etosustav.ru
Ссылки по теме:
Воспаление костных тканей по мрт ; Протезирование зубов наращивание костной ткани ; Какая норма костной ткани у женщин ;
Только у нас: Введите до 31.03.2020 промокод бонус2020 в поле купон при оформлении заказа и получите скидку 25% на всё!
Источник:
Кистозная перестройка костной ткани
Такая патология, как кистовидная перестройка, характеризуется образованием косных наростов в структуре сочленяющих элементов суставов. Основная первопричина болезненного состояния не установлена. Часто отмечается при систематическом травмировании сустава. Иногда развивается как сопутствующая патология при нарушении компенсационных процессов вследствие некрозного поражения тканей.
Как проходит лечение?
На начальных этапах развития патологии применяются консервативные лечебные мероприятия. Изначально ограничивается подвижность пораженного сустава и снижаются физические нагрузки. Для лечения перестройки костей применяют медикаментозную терапию. Чтобы купировать боли, применяют остеотропные препараты.
Для нормализации регенерации клеток хряща используют «Хондроксид», который относится к хондропротекторам. Для улучшения структуры костей применяют витаминно-минеральные комплексы. Хороший терапевтический эффект оказывают физиотерапевтические процедуры. При существенном нарушении микроциркуляции, некрозе тканей и стремительном росте кист, показано оперативное вмешательство.
С такой целью применяют остеотомию и артропластику. На поздних стадиях используют эндопротезирование.
Источник:
Асептический некроз головки бедренной кости
Асептический некроз головки бедренной кости — тяжелое дегенеративно-дистрофическое заболевание, характеризуется нарушением процессов остеогенеза и резорбции, нарушением кровоснабжения и постепенной деформацией головки бедренной кости в местах приложения на нее наибольшей нагрузки. Ранними стадиями асептического некроза являются те этапы заболевания, на которых не выявляется деформация головки бедренной кости.
- Определение
- Причины и патогенез
- Диагностика
- Лечение
Классификации
Для более четкого определения ранних стадий АНГБК необходима четкая привязанность к одной из классификаций заболевания. Наиболее распространенная в России является система Ficat and Arlet 1980г.
| Стадия | Рентгенологические изменения |
| 1 | Нет изменений |
| 2 | Диффузный склероз, кисты |
| 3 | Субхондральная импресионная деформация головки бедренной кости |
| 4 | Коллапс головки, изменения в вертлужной впадине |
По классификации Ficat и Arlet ранними стадиями считаются 1 и 2 (а также стадия 0 в модификации 1985г.).
В классификации университета Пенсильвании, которая более известна в России как классификация Steinberg 1979 г., ранними считаются все стадии до III, так же как и в питсбургской классификации АНГБК и классификации ARCO.
Актуальность
Асептический некроз головки бедренной кости представляет значительную медико-социальную проблему. Особенностью данной патологии является то, что в большинстве случаев она поражает молодых работоспособных людей. Заболевание является наиболее частой причиной эндопротезирования тазобедренного сустава в раннем возрасте.
Асептический некроз головки бедренной кости — частый исход травм тазобедренного сустава, особенно с нарушением целостности сосудов (перелом шейки бедренной кости, травматический вывих бедра), химио, лучевой и гормонотерапии, заболеваний крови, печени, надпочечников, кессонной болезни, злоупотребления алкоголем и курением, метаболических остеопатий.

Поиск новых технологий в лечении асептического некроза головки бедренной кости обусловлен отсутствием эффективных методов консервативной терапии данного заболевания. Результаты ранее применяемых методик консервативного лечения ранних стадий асептического некроза головки бедренной кости нельзя считать удовлетворительными.
Большинство пациентов в течении 1-3 лет приходят к операции эндопротезирования тазобедренного сустава. Результаты эндопротезирования у больных с асептическим некрозом достоверно хуже, чем при идиопатическом коксартрозе.
Ни один из существующих методов консервативного лечения (физиотерапия, игло-рефлексо терапия, антикоагулянты) не предохраняют от деформации головки бедренной кости, а, следовательно, не избавляют больного от необходимости оперативного лечения.
Важно
Известно, что консервативная терапия может быть эффективной лишь до момента импрессионной деформации головки, после которого происходит резкое прогрессирование заболевания. Одной из ключевых проблем является отсутствие четкого алгоритма диагностики ранних стадий заболевания, до того момента когда нарушается сферичность головки.
Причины и патогенез
Если причина травматических АНГБК не вызывает сомнения — ишемия головки бедренной кости вследствие механического нарушения целостности сосудов, то в патогенезе нетравматического АНГБК непосредственного повреждения артерий нет. Вследствие действия различных неблагоприятных факторов (алкоголь, глюкокортикоиды, курение и др.
) угнетаются мезенхимальные стволовые клетки костного мозга, а также усиливается апоптоз остеобластов и остеоцитов. Активность остеокластов же наоборот повышается. Нарушается равновесие между костеобразованием и резорбцией. Костная ткань ослабляется и возникает несоответствие прочности кости нагрузке на нее.
Под нагрузкой появляются микропереломы трабекул головки бедренной кости, и из-за механического сдавления венозного русла возникает сначала венозный, а затем только артериальный стаз. Ишемия костной ткани усиливает некроз и резорбцию. Образуется порочный круг. Возникает импрессионный перелом головки и развивается деформирующий коксартроз.
Таким образом, по современным представлениям, ключевым моментом развития АНГБК является повышенная костная резорбция в очаге некроза.
Скачать клин. рек-ции
КЛИНИКА. Жалобы на боль в тазобедренном суставе, усиливающуюся при нагрузке, ограничение движений.
Особенности ортопедического статуса (укорочение конечности со стороны поражения, сгибательно–приводящая контрактура, гипотрофия мышц со стороны поражения, перекос таза) как правило, не наблюдаются на ранних стадиях.
В этом случае особое внимание уделяется анамнезу(уточнение наличия таких факторов риска как травма тазобедренного сустава, химио, лучевая и гормонотерапия, злоупотребление алкоголем и курение, наличие певичного или вторичного системного остеопороза).
Рентгенография .Наличие очагов остеосклероза, кистовидных просветлений головки характерно для поздних стадий асептического некроза головки бедренной кости. Рентгенологическая картина ранних стадий АНГБК малоинформативна.
Наиболее частой ошибкой является прекращение диагностического поиска после отсутствия, каких либо изменений на рентгенограммах В этих случаях. обязательным методом обследования является МРТ.
МРТ позволяет выявить внутрикостный отек, синовит тазобедренного сустава, неоднородный сигнал от головки бедренной кости.
При наличии изменений на МРТ необходимым является исследование маркеров резорбции крови и мочи.
Их повышение подтверждает диагноз и позволяет выбрать адекватную терапию.Кроме того,оценивается гомеостаз кальция (определяется уровень кальция крови и мочи).
Лечение
Большое значение для больных с АНГБК имеет исключение вредных привычек (прием алкоголя, курение), а также условия труда — не разрешается работа, связанная с переохлаждением, тяжелой физической нагрузкой и длительным пребыванием на ногах. Не реже 2 раз в год больные должны проходить обследование у ортопеда.
https://youtube.com/watch?v=VMngczznlnY
Первый компонент лечения — разгрузка пораженного сустава. Ходьба на костылях предполагается от 4 до 12 месяцев (прекращается спустя 2 месяца после нормализации маркеров резорбции и снижения болевого синдрома).
Разгрузка пораженного сустава является важным компонентом, так как препятствует деформации головки под весом собственного тела, способствует лучшему течению репаративного процесса, снижает болевой синдром, уменьшая патологическую афферентацию и мышечный гипертонус.
Следующим компонентом является фармакологическая терапия, которая имеет своей целью снижение интенсивности резорбции костной ткани головки бедренной кости, нормализацию процесса костеобразования и минерализации вновь образованной кости, что способствует увеличению массы костной ткани, улучшению ее качества, повышает прочность и препятствует развитию импрессионной деформации.
Фармпрепараты назначаются сразу же после подтверждения диагноза и биохимического обследования (или с целью профилактики при травме тазобедренного сустава или химиотерапии, но также после биохимического обследования).
«Бонвива» (активное действующее вещество – натрия ибандронат моногидрат 3,375 мг) ингибирует костную резорбцию, оказывая угнетающее воздействие на остеокласты, таким образом, инактивируется основное звено патогенеза асептического некроза, предотвращается деформация головки бедренной кости и создаются условия для восстановления костной ткани.
Форма препарата для внутривенного введения 3мг/3мл вводится 1 раз в 3 месяца.
Перед каждым введением ибандроновой кислоты следует контролировать маркеры костной резорбции (сrоss-laрs крови, ДПИД утренней мочи) и костеобразования (остеокальцин и щелочная фосфатаза).
Маркеры костеобразования не должны снижаться ниже референсных значений. Парентеральное введение препарата позволяет избежать диспепсических явлений, создает более высокую его концентрацию в патологическом очаге.
Активные метаболиты витамина Д3 (оксидевит, Альфа ДЗ ТЕВА) оказывают влияние на пролиферацию предшественников остеобластов, активизируют процессы костеобразования и улучшают минерализацию вновь образованной костной ткани (по данным гистоморфометрических исследований).
Улучшение абсорбции кальция в кишечнике способствует увеличению массы кости и положительным образом влияет на качество, в том числе и кортикальной ее составляющей , определяющей прочностные свойства данного отдела скелета. Все это является основанием для назначения активных метаболитов витамина Дз и препаратов кальция в комплексе фармакологической терапии.
Дозировка активных метаболитов витамина Дз определяется текущим уровнем Са крови и суточной мочи. Препарат принимается ежедневно весь курс терапии.
Остеогенон гидроксиаппатит — оссеиновый комплекс, является не только субстратом для образования новой костной ткани, но и достаточно действенным стимулятором костеобразования.
Кроме того, остеогенон компенсирует гипофосфатемию, развитие которой возможно при применении бисфосфонатов.
При нормальных значениях фосфора в биохимическом анализе крови следует назначать по 2 таблетки в сутки, при снижении ниже референсных значений — по 4 таблетки в сутки. Препарат принимается ежедневно весь курс терапии.
Внимание! информация на сайте не является медицинским диагнозом, или руководством к действию и предназначена только для ознакомления.
Источник:
Кисты тазобедренного сустава и вертлужной впадины: прогноз
Коксартроз представляет собой постепенное разрушение тазобедренного сустава: нарушение питания тканей, потеря прочности хрящевого слоя, разделение его на волокна, истирание. В результате головка кости остается без защиты. От постоянного травмирования о вертлужную впадину появляются костные наросты (остеофиты) как попытка организма компенсировать недостаток хрящевой ткани.
Нарушается структура костной ткани, возникает некроз бедренной головки и вертлужной впадины (уплотняются контуры головки и края впадины). На этой почве образуются кисты, в данном случае являющиеся прямым следствием коксартроза тазобедренного сустава.
В результате происходит ослабление двигательной функции вплоть до инвалидизации, когда единственным вариантом является эндопротезирование.
Киста на МРТ.
Механизм появления костной кисты
Костная киста − полость, образующаяся в кости в результате нарушения обменных процессов на фоне активизации деятельности лизосомных ферментов, которые расщепляют протеины. Происходит формирование полости с жидкостью с высоким давлением внутри, что способствует прогрессированию разрушения костной ткани. При коксартрозе могут возникать как одиночные, так и множественные костные кисты.

Появившиеся на фоне коксартроза кисты заполнить костной тканью при помощи консервативных методов не удается. Их наличие повышает хрупкость кости, осложняет проведение операции по эндопротезированию.
К данному виду вмешательства врачи обычно прибегают, когда практически полностью утрачивается подвижность сустава, присутствует постоянный болевой синдром. Хотя многие специалисты склонны к мнению, что производить замену сустава лучше на тех стадиях, когда разрушительный процесс еще не зашел далеко.
В итоге все зависит от состояния пациента, поскольку у некоторых и при 2 стадии коксартроза присутствуют боли, мешающие нормально двигаться.
Замена тазобедренного сустава при наличии кист
Перед операцией обязательно проводится тщательное обследование пациента:
- собирается анамнез на переносимость лекарственных препаратов;
- результаты лабораторных исследований должны соответствовать норме;
- обязателен осмотр сосудистого хирурга;
- перед заменой сустава необходимо пролечить все очаговые инфекции (кариес, тонзиллит).
Установка ацетабулярной чаши
Делается ряд рентген-снимков, на которых важно правильно определить и оценить признаки артроза, поскольку, например, для диспластического и гиперпластического коксартроза применяются разные методы фиксации эндопротезов.
Склероз и кисты непосредственно оказывают влияние на выбор техники эндопротезирования, в частности − на способ крепления чаши. В склерозированную кость, потерявшую упругость, невозможно интегрировать покрытие бесцементной чашки.
Для более надежной фиксации чаши впадина вычищается вплоть до уровня губчатого вещества, поскольку эта ткань способна эффективно участвовать в процессе остеоинтеграции. Цементная фиксация тоже устойчивее при посадке на губчатое вещество. Важно максимально удалить склерозированную ткань.
После обработки поверхности вертлужной впадины специальными фрезами до уровня губчатого вещества высверливаются отверстия для крепления чашки, а также вычищаются все кистозные образования.
Оставшиеся после выскабливания полости наполняются веществом, добытым либо из головки кости бедра, либо из костного канала. Впадина промывается, тампонируется, производится установка чаши.
При посадке на цемент учитывается необходимая толщина слоя мантии под чашей.
Если устанавливается чаша бесцементной фиксации при наличии кист, то после всех этапов очищения поверхности впадины от остеофитов и выскребания кистозных полостей оставшиеся дефекты заполняются спонгиозной аутокостью – веществом, добытым из головки, а также оставшимся при обработке костномозгового канала. Вещество трамбуется на дне впадины, укрепляя ее. Если собственной аутокости пациента недостаточно, то используется специальный синтетический гипоаллергенный материал. С целью повышения надежности чашу дополнительно закрепляют винтами.
Малоинвазивное эндопротезирование в Чехии: врачи, реабилитация, сроки и цены.
Узнать подробнее
Установка головки
При наличии кист, разрастаний и прочих дефектов костной ткани головки бедренной кости она удаляется, в кости при помощи специальных приспособлений формируется бедренный канал под ножку компонента эндопротеза.
Далее на дно канала устанавливается костная пробка, материалом для изготовления которой служит удаленная головка. Производится установка эндопротеза бедренной кости, использование цемента при этом определяется показаниями.
Головка погружается в сформированную вертлужную впадину. Производится ушивание капсулы, мышц, мягких тканей.
Реабилитация
Реабилитационный период не менее важен, чем грамотное проведение операции по замене сустава.
Не все клиники предлагают полную программу, ограничиваясь несколькими днями, а пациенты часто не достаточно сознательны, чтобы самостоятельно продолжать комплекс восстановления.
Поэтому после операции рекомендуется поехать в профильный санаторий, а лучше выполнить замену сустава в клинике, которая гарантирует не только качественно проведенное эндопротезирование, но и обеспечит полный реабилитационный курс.

Все это могут гарантировать профильные лечебные учреждения Чехии, где высокий профессионализм врачей, европейский уровень оказания услуг и наличие природных ресурсов для восстановления опорно-двигательного аппарата сочетаются с низкими для Европы ценами.
Компания «Артусмед» уже долгие годы занимается организацией лечения пациентов из РФ с ортопедическими проблемами в лучших клиниках Чехии. Клиент получает полное информационное сопровождение, помощь в оформлении документов и транспортировке.
Все финансовые вопросы обсуждаются предварительно, результаты фиксируются в договоре и больше не меняются на протяжении всего процесса лечения и реабилитации.
Источник:



