Диета и препараты при оксалатах в моче у ребенка
Оксалаты в моче у ребенка свидетельствуют о возможных заболеваниях внутренних органов или неправильном питании.
Причиной становится щавелевая кислота, соли которой способны накапливаться в организме и откладываться в виде песка и камней, вызывая мочекаменную болезнь и почечную недостаточность.
Что такое оксалурия?
Данное заболевание характеризуется повышенным содержанием в моче ребенка солей щавелевой кислоты (оксалатов), которые выпадают в виде осадка. Это становится причиной развития других патологий. Основной причиной появления оксалатов в моче служит употребление продуктов богатых щавелевой кислотой и нарушение обмена веществ.
Оксалаты плохо растворимы в воде, поэтому имеют тенденцию выпадать в осадок и кристаллизоваться. Они оседают в почках, мочевом пузыре и на стенках других органов мочевыделительной системы в виде песка и камней. В результате развивается заболевание – оксалатная кристаллурия (оксалурия или оксалатурия).
Если длительное время употреблять большое количество пищи с высоким содержанием щавелевой кислоты, то возможно появление гипероксалурии.
Оксалаты не успевают выводиться организмом, и возникает острое отравление данными соединениями. Для детей смертельная доза щавелевой кислоты составляет 5-20 г. У больного нарушаются функции почек, происходит некроз тканей печени и развивается сердечная аритмия. В самых тяжелых случаях возможен летальный исход.
Норма оксалатов в моче
Для определения уровня оксалатов следует собрать суточный анализ мочи. Первую утреннюю порцию не берут. Забор начинается со второго мочеиспускания и заканчивается утренним сбором на следующий день.
Мочу собирают в стерильную тару и хранят в холодильнике. После окончания сбора необходимо тщательно взболтать содержимое и отмерить 100 мл для анализа. Далее биоматериал отправляется в лабораторию с указанием общего количества мочи за сутки.
У детей разных возрастов нормы отличаются:
- дети до 3-х лет – 0,5 мг/кг в сутки;
- 3-5 лет – ~12 мг/кг в сутки;
- старше 5 лет – не более 20 мг/кг в сутки.
Однократное превышение уровня оксалатов не всегда является патологией.
Это может быть связано с употреблением продуктов с повышенным содержанием щавелевой кислоты накануне. Для подтверждения необходимо сделать повторный анализ.
Низкий уровень оксалатов, как считает доктор Комаровский, имеется в моче у всех категорий населения и вреда не несет.
Причины отклонения от нормы
Существует целый ряд причин, которые могут вызвать повышение уровня оксалатов в моче:
- врожденные генетические нарушения (связаны с усвоением кальция);
- избыточное употребление продуктов с высоким содержанием щавелевой кислоты;
- обезвоживание или недостаточное потребление жидкости;
- нарушение обмена веществ;
- нарушение работы органов пищеварения;
- хронические заболевания ЖКТ;
- избыток аскорбиновой кислоты;
- заболевания внутренних органов;
- недостаток ферментов;
- избыток или недостаток витаминов группы В;
- злоупотребление солью и солеными продуктами;
- неправильное питание;
- дисбактериоз кишечника.
Повышение уровня оксалатов в моче не всегда связано с избытком щавелевой кислоты в пище. Причины могут крыться в самом организме, который не способен выводить продукты распада данного органического соединения.
В данном случае возможно нарушение обмена веществ или слабость выделительной системы ребенка, которая не справляется даже с небольшим количеством оксалатов. В результате происходит их накопление и периодический выброс вместе с мочой.
У грудничков патология связана с питанием матери, что сказывается на составе грудного молока. Если не придерживаться рациона и злоупотреблять фруктами, зеленью и овощами с высоким содержанием щавелевой кислоты, то это может отразиться на грудном ребенке. Даже крепкий чай и кофе являются потенциально опасными продуктами.
Сопутствующие симптомы
Основным симптомом служит нарушение нормального мочеиспускания. У ребенка могут возникать частые позывы помочиться. При этом количество мочи постоянно отклоняется в разные стороны.
Параллельно с этим возможно изменение цвета мочи – она становится яркой и насыщенной из-за наличия большого количества солей и приобретает характерный резкий запах.
Вместе с этим дети становятся более капризными и вялыми. У них нарушается сон и появляются боли в животе. Наблюдается общая слабость, апатия и снижение аппетита. Груднички могут отказываться от кормления грудью.
Возможные осложнения
Отсутствие лечения приводит к накоплению солей в организме ребенка. В результате образуются песок и камни в органах мочевыделительной системы, и развивается мочекаменная болезнь. Это может стать причиной почечной недостаточности, нарушения обмена веществ и закупорки каналов выделительной системы.
Острые края кристаллов повреждают окружающие ткани, вызывая боль и внутренние кровотечения. В такой ситуации повышаются шансы на проникновение инфекции через порезы, поэтому патология часто сопровождается пиелонефритом и другими заболеваниями с воспалением внутренних органов и тканей.
В самых тяжелых случаях возможна почечная недостаточность с последующим летальным исходом.
Симптомы почечной недостаточности узнайте в нашей статье.
Как нормализовать уровень?
Терапия заболевания должна быть комплексной и включать в себя применение медицинских препаратов одновременно с лечебной диетой.
Это необходимо для снижения поступления в организм вместе с пищей щавелевой кислоты и нормализации обмена веществ.
Препараты
В лечении используются следующие препараты:
- Мембраностабилизаторы – предотвращают накопление в клетках солей кальция и стимулируют их выведение (витамин А, витамин Е, Димефосфон).
- Ксидифон – регулирует уровень кальция в организме и препятствует отложению оксалатов.
- Энтеросорбенты – способствуют выведению оксалатов из кишечника (Энтеросгель, уголь активированный, Смекта).
- Пробиотики – оказывают благоприятное влияние на микрофлору кишечника и нормализуют обмен веществ.
Диета
Питание является одним из важнейших элементов терапии оксалурии.
Для начала следует давать ребенку побольше жидкости, чтобы ускорить выведение солей. Затем следует исключить из рациона питания следующие продукты:
- щавель;
- шпинат;
- ревень;
- какао и шоколад;
- инжир;
- копчености;
- пряную пищу;
- соль и соленые блюда;
- маринады;
- продукты с содержанием желатина;
- жирные супы и бульоны.
Выведению оксалатов способствуют продукты с высоким содержанием витамина В6, поэтому их необходимо обязательно включить в рацион ребенка:
- морская капуста;
- чернослив (сухофрукт);
- гречка;
- пшено;
- перловка;
- овсянка.
Следует быть умеренным в употреблении следующих продуктов:
- картофель;
- морковь;
- томаты;
- свекла;
- чеснок;
- лук;
- сливы;
- смородина;
- черника.
Для получения организмом белковой пищи рекомендуется употреблять нежирные сорта мяса и рыбы. Готовить пищу лучше в вареном виде, затем можно слегка обжарить. Допускается тушить продукты, но предварительно все равно нужно отварить. Это необходимо для снижения образования в продуктах количества пуриновых соединений.
При этом питаться следует понемногу, но часто (6-8 раз в день). Небольшие порции пищи быстрее усваиваются и не перегружают организм. Приемы пищи должны сопровождаться обильным питьем через 30-40 минут после трапезы. Для этого лучше всего использовать следующие напитки:
- компоты из сухофруктов;
- березовый сок;
- отвар из трав (кукурузные рыльца или укроп);
- свежие фруктовые или овощные соки;
- фильтрованную и кипяченую вода;
- специальную диетическую воду для детей в бутылях.
Оксалаты в моче у ребенка – опасное явление. Это может быть симптом серьезного заболевания, поэтому необходимо тщательно обследоваться и вылечить болезнь. Если вовремя не принять мер, есть риск нарушения работы внутренних органов, а в самых тяжелых случаях возможен летальный исход.

От каких продуктов образуются в моче ураты и оксалаты, узнайте от Елены Малышевой:
Источник:
Причины и симптомы превышения нормы оксалатов в моче у ребенка
Контроль состояния здоровья малыша важен на любом этапе его роста и развития, и наиболее информативным способом осуществления данной задачи является анализ урины.
Полученные результаты свидетельствуют о вероятном течении воспалительного процесса, возникновении более серьезных патологий. Определить оксалаты в моче у ребенка тоже можно с помощью лабораторного исследования.
Наличие солей щавелевой кислоты не вызывает беспокойства у родителей, но их избыток в течение длительного времени должен их насторожить, поскольку часто указывает на врожденную патологию почек.
В моче у ребенка выявлены оксалаты: что это значит
Основная функция мочевыделительной системы заключается в выведении из организма продуктов обмена, многие из которых оказывают токсичное воздействие.
Ненужные компоненты отфильтровываются почками из кровеносного русла, в результате чего образуется моча, имеющая относительно постоянный состав. При этом количество и качество ее может изменяться.
Одним из показателей является избыток оксалатов.
Представление об оксалатах
В медицине термином оксалаты принято называть органические соли, которые выпадают в осадок вследствие химического взаимодействия кальция и щавелевой кислоты. В большинстве случаев они являются основой образования почечных камней. Избыточное содержание данных веществ в моче свидетельствует о нарушениях процесса их выведения.
В большом количестве оксалаты производятся растениями. Их можно выявить в листьях, плодах, орехах, фруктах и овощах, поэтому растительная пища по праву считается основным источником поступления оксалатов.
Новорожденный получает данные элементы от матери при грудном вскармливании или в результате биохимических реакций, протекающих в организме.
Если при расшифровке в моче постоянно повышены оксалаты у ребенка, медики говорят о нарушении обмена веществ и функциональности выделительной системы.
Показатели нормы и отклонения у детей разного возраста
По утверждению медиков оксалаты в моче у грудничка и младенца, находящегося на искусственном вскармливании, являются вариантом нормы, если у него хорошее самочувствие, качественный сон и здоровый аппетит.
Наличие солей обусловлено тем, что маленький организм до года находится в стадии активного развития, и не все системы «научились» полноценно функционировать.
Это относится к мочевыделительному аппарату, в частности, почкам, у которых отсутствует способность вырабатывать все необходимые для нормальной работы ферменты.
У детей до 14 лет анализы должны быть «чистыми» или с незначительными примесями кристаллического осадка. Показателем является значение, полученное в мкмоль/сутки. Но при отклонении в результатах родители начинают проявлять беспокойство по поводу повышенного содержания оксалатов в моче у ребенка, и интересуются у врача, что это значит, и не опасно ли это.
Суточная норма оксалатов в моче у ребенка увеличивается с возрастом, и согласно таблице выглядит следующим образом:
| От 0 до 3-х | 0,5 мг/кг веса младенца в сутки |
| 3-5 | 10-12 мг |
| От 5 и старше | Менее 20 мг |
солей в результатах анализа определяется по знакам «+», «++». Один плюс означает норму.
Причины развития камня
Оксалатурия у детей может возникнуть по многим причинам, которые специалисты выделяют в две основные группы: внешние (возможно устранить самостоятельно в домашних условиях), и внутренние, обусловленные состоянием организма. Повышенная концентрация кристаллов солей в урине у детей может возникать на фоне таких факторов:
- употребления пищи с избыточным содержанием щавелевой кислоты и витамина С;
- воспалительных заболеваний кишечника или почек;
- интоксикации;
- стресса, шокового состояния;
- развития сахарного диабета;
- камней в почках;
- имеющихся сопутствующих патологий;
- недостаточного поступления в организм витаминов группы В;
- врожденных нарушений обменных процессов, в которых принимает участие щавелевая кислота.
Появление оксалатов в моче часто бывает связано с обезвоживанием, к которому приводит повышенная потливость, недостаточный питьевой режим, диарея, вызванная кишечной инфекцией, лихорадка с гипертермией, длительное пребывание в жарких условиях. В зависимости от преобладания веществ, которые вызывают формирование кристаллов, различают соли кальция, натрия, калия, аммония.
Тревожные симптомы
Как правило, о повышении суточного количества выделяемых солей и развитии патологии родители узнают после получения результатов анализов. Но в некоторых случаях о наличии в моче кристаллов оксалата кальция у ребенка свидетельствуют следующая симптоматика:
- Увеличение частоты мочеиспускания.
- Сокращение объема суточного диуреза при стабильном количестве поступающей в организм жидкости.
- Изменение цвета мочи на темно-желтый или даже бурый, появление резкого неприятного запаха.
- Снижение двигательной активности, общего тонуса организма.
- Возникновение нарушений желчевыводящих путей.
Довольно часто дети жалуются на появление ноющих или приступообразных болей в животе и поясничном отделе. У них отмечается слабость, быстрая утомляемость, отсутствие настроения, плаксивость. Возникает беспричинное беспокойство, нарушается сон, снижается аппетит, груднички отказываются от груди.
Степень опасности
Избыточное выделение оксалатов с мочой на протяжении длительного времени может привести к различным осложнениям. Наиболее распространенными из них считаются:
- пиелонефрит;
- мочекаменная болезнь;
- почечная недостаточность в острой или хронической форме.
Одновременно в организме ребенка нарушаются обменные процессы, происходит кристаллизация оксалатов, формирование камней значительных размеров, что часто приводит к закупорке мочевыводящих протоков, и возникновению приступообразных болей.
Диагностические методы
Для выявления истинной причины, которая спровоцировала сбой в работе мочевыделительной системы, маленьким пациентам назначается ряд диагностических манипуляций. Они проводятся в стенах медицинского учреждения.

Доктор Комаровский утверждает, что точным показателем определения верного диагноза является общий клинический анализ мочи.
- Суточный анализ мочи, проба по Зимницкому и Нечипоренко. Назначается в случае определения повышенного содержания солей в первичном или повторном исследовании биоматериала.
- Общее и биохимическое исследование крови. Определяется состав и его возможные изменения.
- Бактериологический посев урины. Позволяет определить наличие патогенной микрофлоры и чувствительность к некоторым видам антибиотиков.
- Рентгенография почек. Обзорный снимок для визуализации парного органа.
- Экскреторная урография. Введение контрастного вещества дает возможность рассмотреть структуры почки.
- УЗИ – ультразвуковое исследование мочевыводящих органов. Позволяет определить степень запущенности процесса камнеобразования.
Чтобы получить достоверный результат, мочу нужно собрать утром и доставить в лабораторию не позже чем через 1,5 часа после сбора. Для транспортировки материала следует использовать пластиковые или стеклянные контейнеры, которые продаются в аптеках.
Необходимость лечения
Если выявление большой концентрации оксалатов в моче было лишь однажды, значит, причиной являлись погрешности питания, коррекция которых позволила устранить проблему.
О нарушениях в работе организма ребенка врачи говорят лишь при сохранении прежних результатов после повторно проведенного исследования.
В этом случае назначается комплексное лечение с коррекцией питания, питьевого режима, применением высоко эффективной медикаментозной терапии и поддержкой природными средствами.
Составление диеты для ребенка
Составление ежедневного рациона питания предполагает строгие ограничения. Придерживаться диеты рекомендуется до полной стабилизации всех показателей анализа мочи. После этого можно перейти на нормальное питание, но диету повторить через месяц.
Из меню следует убрать исключить продукты с избыточным содержанием щавелевой кислоты и витамина С:
- зелень – петрушка, сельдерей, шпинат, щавель. ревень;
- овощи – чеснок, лук, морковь, свекла, томаты, фасоль;
- фрукты и ягоды – слива, цитрусовые, клюква, крыжовник, смородина черная и красная;
- перец, горчица;
- жареный картофель, экстрактивные бульоны, полуфабрикаты;
- молоко и каши на его основе.
Рацион следует обогатить такими продуктами:
- овощи – баклажаны, огурцы, капуста, горох, кукуруза, картофель;
- фрукты и ягоды – бананы, виноград, яблоки, персики, абрикосы, малина, ежевика;
- бахчевые культуры – арбуз, дыня;
- отруби и ржаной хлеб;
- сухофрукты;
- тощие сорта рыбы и мяса.
Разрешается кушать первые блюда, постные или приготовленные на овощных бульонах.
Совет! Чтобы максимально снизить нагрузку на почки нужно ограничить потребление соли. Если повышенным содержанием солей страдает младенец, рацион питания должна пересмотреть и изменить кормящая мама.
Правила питьевого режима
Важным дополнением диеты считается правильно выбранный питьевой режим. Суточный объем употребляемой влаги должен составлять не менее 1,5-2 литра. Сюда входят первые блюда, а также свободная жидкость. Разрешается пить чистую воду без газа, соки, морсы, компоты из свежих или сухих фруктов, травяные отвары.
Чай черный или зеленый, сладкая газировка категорически противопоказаны. Соки следует готовить непосредственно перед употреблением, так в них сохранится максимальное количество витаминов. Магазинные напитки для этих целей считаются бесполезными.
Основную часть жидкости рекомендуется выпивать во второй половине дня, чтобы снизить риск оседания оксалатов.
Целесообразность лекарственных средств
В случае отсутствия желаемого результата на протяжении месяца, врач может принять решение о проведении медикаментозного лечения. Комплексного воздействия возможно добиться с помощью следующих групп препаратов:
- пробиотики и энтеросорбенты;
- диуретики;
- витамина А и группы В;
- минеральные добавки – калий, магний;
- антиоксиданты (антиокислительные средства);
- мембраностабилизирующие препараты;
- литолитические средства;
- противовоспалительные и антибактериальные медикаменты;
- комплексные растительные лекарства со спазмолитическим и мочегонным эффектом.
При обнаружении конкрементов значительных размеров врач выполняет специальную процедуру, которая направлена на дробление и выведение их составляющих.
Помощь народной медицины
Оксалатные камни неплохо поддаются растворению, поэтому для этих целей рекомендуется использовать настои и отвары из лекарственных трав. Как дополнение к основному лечению, они способны сократить сроки терапии и добиться положительного результата.

Для расщепления конкрементов подходящими считается такой мочегонный сбор:
- зверобой;
- спорыш;
- душица;
- мелисса;
- шалфей.
Все составляющие следует тщательно измельчить и смешать, взяв по 60 г каждого вида сырья. Шесть столовых ложек заварить 1,5 стакана кипящей воды. Выпивать по 100 мл средства перед каждым приемом пищи, добавив для улучшения вкусовых качеств ложку меда. Курс составляет не меньше недели. Принимать настой следует через соломинку, чтобы сохранить эмаль зубов.
В качестве альтернативы можно использовать и другой рецепт: корень марены, пустырник, бессмертник, донник, брусника. Заварить в 250 мл кипятка сбора (по 2 ст. л.), процедить и принимать пять раз в день по 80 мл.
Превентивные меры
Профилактика избыточного количества оксалатов в детской моче направлена на предупреждение их образования. Она предполагает соблюдение основ правильного питания и питьевого режима. С этой целью родителям рекомендуется:
- свести к минимуму употребление продуктов с избыточным содержанием щавелевой кислоты;
- строго следить за приемом витамина С;
- исключить полуфабрикаты, фастфуд, сладкую газировку;
- обеспечить насыщенное витаминами и сбалансированное питание;
- проводить больше времени в движении – дома, на свежем воздухе;
- привить любовь к спорту, физическим упражнениям;
- создать условия для полноценного отдыха и продолжительного здорового сна.
В качестве профилактики болезни рекомендуется ребенку отвары из листьев черной смородины. груши. Эффективной считается минеральная вода «Ессентуки-20».
Заключение
Соли оксалаты в моче у ребенка являются поводом для беспокойства. Но соблюдение вышеперечисленных рекомендаций, адекватно проведена терапия (в случае необходимости), как правило, помогает добиться положительных результатов и устранить проблему. Все, что требуется от родителей – это внимание к малышу и владение информацией о симптомах болезни.
Источник:
Оксалаты в моче у ребенка: 8 причин появления, методы лечения
Диагностика множества заболеваний проводится по результатам анализа мочи. В этот раз более подробно речь пойдёт о том, каким образом обнаруживаются оксалаты в моче у ребенка, о чём это свидетельствует, чем грозит, если ничего не предпринимать.
Оксалаты представляют собой соли щавелевой кислоты. Эта кислота содержится в продуктах питания. Больше всего её в пище растительного происхождения. Появление солей щавелевой кислоты в моче принято называть оксалатурия или оксалурия.
Соли щавелевой кислоты плохо растворимы в воде, поэтому при избытке их в организме они усиленно выводятся через мочевыделительную систему, что приводит к их оседанию в моче.
Также соли щавелевой кислоты могут оседать по ходу всей мочевыделительной системы: в мочевом пузыре, мочеточнике, вызывая повреждение их стенок. В результате чего могут возникать кровотечения.
Таким образом, оксалурия у детей не должна оставаться без внимания со стороны лечащего врача.
Каким методом обнаруживаются в моче?
В отсутствии симптомов поражения мочевыделительной системы первое обнаружение солей щавелевой кислоты в моче происходит при проведении общего анализа мочи (ОАМ).
Общий анализ мочи – это комплексное исследование физических и химических свойств мочи, которое включает в себя микроскопическое исследование осадка.
Поэтому соли оксалаты в моче у ребёнка изначально могут быть обнаружены при микроскопии мочи.
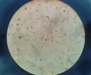
Оксалаты в моче выглядят в виде прозрачных конвертов, призм, гирь.
После того как врач заметил появление оксалатов в моче у ребёнка, он может назначить определение солей щавелевой кислоты в суточной моче.
Как правильно собрать анализ?
Для получения достоверных результатов исследования важно правильно подготовиться. Мочу для общего анализа мочи необходимо собрать в чистую стерильную ёмкость. Важно провести туалет наружных половых органов. Для получения достоверных результатов исследования моча должна быть собрана сразу же после пробуждения.
Утренняя моча более концентрированная. Так как в норме позывов ночью к мочеиспусканию быть не должно. Исключение составляют малыши без контроля этого процесса.
Если же пациенту был назначен сбор суточной мочи, нужно также правильно подготовиться к этому. В первый день утреннюю мочу собирать не надо. Все последующие акты мочеиспускания, соответственно всю мочу необходимо собирать в один единый контейнер.
Стоит обратить внимание на то, что в течение суток у разных возрастов выделяется разное количество мочи. Ознакомьтесь с примерными данными и подготовьте соответствующую тару. Собранная моча должна храниться в холодильнике.
Заканчивается сбор суточной мочи утренней порцией 2 дня. Вся собранная моча перемешивается. Отливают 100 миллилитров и несут в лабораторию. Обязательно надо указать объём мочи за сутки, чтобы правильно был посчитан показатель.
Нормальные показатели оксалатов в моче у ребёнка
Для каждого возраста у детей имеются свои нормы. Так, у детей трёх лет нормальное содержание оксалатов в суточной моче составляет 0,5 миллиграмм (мг) в сутки. У детей от трёх до пяти лет допускается содержание солей щавелевой кислоты до 12 мг/сутки. Для ребёнка 5 лет и старше норма оксалатов в суточной моче составляется 20 мг/сутки.
Отклонения от нормы
Как уже было сказано, обнаружение оксалатов в моче называется оксалурия. Однако не всегда соли оксалаты в моче у ребёнка будут явным признаком патологии.
Лабораторные значения
Обнаружение солей щавелевой кислоты 5 – 20 грамм является опасной концентрацией для жизни. Такие цифры говорят о том, что оксалаты не выводятся организмом, а откладываются на стенках органов и тканей. Это может привести к летальному исходу.
Как уже было упомянуто ранее, появление солей щавелевой кислоты в моче не всегда будет указывать на патологию в организме. Оксалаты будут повышаться в моче при употреблении пищи растительного происхождения. Поэтому для выяснения причин оксалатурии назначается диета, о которой чуточку позднее.
У грудничков оксалурия может также наблюдаться в результате того, что мама налегла на растительную пищу. Корректировка питания снизит содержание оксалатов в организме и уменьшится их выведение с мочой.
Имеется ряд патологических состояний, при которых появляются оксалаты в моче. Среди них могут быть:
- дегидратация организма или, иными словами, обезвоживание;
- нарушение работы желудочно-кишечного тракта;
- избыток солей кальция в организме способствует кристаллизации оксалатов;
- гиповитаминоз;
- мочекаменная болезнь;
- сахарный диабет;
- нарушение количественного и качественного состава микрофлоры кишечника;
- нерациональное питание.
При каких симптомах доктор отправит на анализ?
Подозрение на избыточное отложение солей в моче у доктора возникнет при следующих симптомах:
- моча станет более насыщенного янтарного цвета, может появиться резкий запах;
- наличие кровотечения в мочевыделительной системе в результате отложения камней или песка, что может быть замечено по ультразвуковому исследованию;
- болевой синдром – локализация в области живота, почек;
- капризность ребёнка является признаком недомогания.
Как уже говорилось, обезвоживание может привести к оседанию солей щавелевой кислоты. Поэтому родители должны следить за тем, сколько ребёнок выпивает жидкости.
Во избежание влияния пищевого рациона на появление оксалатов в моче важно пересмотреть пищевые привычки ребёнка. Лучше всего перед следующим анализом мочи соблюсти диету:
- ограничить продукты, содержащие щавелевую кислоту (зелень, щавель, шпинат и другие);
- ограничить употребление копчёных, солёных продуктов питания;
- ввести в питание продукты богатые витаминами группы В, так как они помогают вывести оксалаты из организма;
- с овощами следует быть осторожными, полностью нельзя их исключать из рациона, но и злоупотреблять ими тоже не стоит;
- мясо рекомендуется употреблять в тушенном или варенном виде.
Напоминаю, что мамам грудничком тоже стоит придерживаться примерного питания.
Лекарственные препараты
Терапия избыточного отложения солей щавелевой кислоты должна проводиться в комплексе с диетой и питьевым режимом. Категорически не рекомендуется самолечение. Только врач имеет права назначить вам лекарство, которое сможет снизить уровень оксалатов в моче. Подумайте о здоровье вашего ребёнка, так как самолечение может привести к ещё большим осложнениям.
Могут ли быть осложнения?
При отсутствии терапии отложение солей оксалатов может привести к развитию мочекаменной болезни, закупорке мочевыводящих путей камнем, что в дальнейшем может привести к почечной недостаточности. Также при повреждении стенок мочевыделительной системы могут возникать кровотечения и присоединяться инфекция. Это приводит к развитию воспалительных процессов, например, пиелонефриту.
Причины появления оксалурии у детей и ее лечение
Появление кристаллов оксалата определенного типа в моче малыша можно трактовать различным образом. Иногда для устранения этого состояния достаточно изменить рацион питания ребенка.
Если же возникает устойчивая тенденция, и добавляются патологические симптомы, то медлить с обследованием и лечением не стоит.
Что это такое оксалаты и чем они опасны
Под этим общим названием понимают соли щавелевой кислоты. Основным источником ее появления в организме служат определённые группы продуктов питания. Данное вещество имеет склонность связываться с катионами кальция (в большей степени), магния, железа, образуя нерастворимые осадки. Это процесс абсолютно естественен, в норме оксалаты кальция выводятся из организма, не принося вреда.
При наличии генетически обусловленных предпосылок, неправильном питании или нарушении обменных процессов возможно появление кристаллов оксалата кальция в урине в чрезмерном количестве – оксалатурии.
Выводимый с мочой избыток оседает в тканях почек в виде кристаллического песка.
Если причину процесса не устранить, то кристаллы постепенно образуют плотные камни с шероховатой поверхностью, травмирующие мочевые пути.

Избежать этого можно, вовремя диагностировав патологическую (не временную) оксалатурию и обеспечив комплекс терапевтических и профилактических мер.
Так же возможно редкое аутосомно-рецессивное заболевание под названием гипероксалурия, при этом она делится на такие типы:
- гликолевая ацидурия;
- глицериновая ацидурия.
Для выявления гипероксалурии требуется пройти дифдиагностику, что бы исключить повторное повышенное поглощения этих кислот из кишечника.
Нормы оксалатов в моче у детей
Следует различать обозначение нормальных показателей в общем и суточном анализе мочи. Если речь идет о первом, то обнаруженные лаборантом оксалаты в мочевом осадке фигурируют в бланке как «кристаллы солей» или «crist». В норме они либо отсутствуют вовсе либо помечаются как «+» или даже «++», что тоже отклонением не является.
Однако даже если зафиксировано значительное повышение, врач в первую очередь интересуется особенностями питания ребенка. При необходимости назначается повторный анализ в условиях скорректированного рациона. Если норма превышена вторично, требуется целевой анализ мочи на наличие солей за сутки.
Его нормы представлены в следующей таблице:
| от 0 до 3-х лет | 0,5 мг/кг веса ребенка в сутки |
| от 3-х до 5-и лет | 10-12 мг в сутки |
| от 5 лет | менее 20 мг в стуки |
При диагностике оксалатурии учитываются и другие показатели исследования, например, pH. Ведь именно отклонение от нормы кислотности является фактором, ускоряющим образование камней.
Причины оксалатурии у ребенка
Повышенная концентрация кристаллов солей в моче может возникать без нарушения механизмов метаболизма и выведения продуктов обмена на фоне:
- особенностей климата, к которым добавляется неправильный питьевой режим;
- аномально высокого потоотделения;
- интоксикации;
- состояния обезвоживания;
- стресса, шокового состояния;
- поступления в организм витамина С в избыточных количествах и/или недостатке витаминов группы В;
- потреблении в большом количестве ряда пищевых продуктов либо воды с высокой долей растворенных минеральных солей – это касается и питания матери, если речь идет о грудном ребенке.
В перечисленных случаях оксалатная кристаллурия у детей носит функциональный характер и исчезает при устранении причины. Важно дифференцировать ее от патологической оксалатурии, источником которой служат первичные либо вторичные нарушения.
Врожденные предпосылки для избытка выводимых солей заключаются в дефекте ферментной системы, приводящем к повышению концентрации в урине щавелевой кислоты.
Первичная оксалатурия выявляется у мальчиков до 5 лет и сопровождается пороками развития, дефектами костной системы, проявлениями остеопороза.
К счастью, подобная ситуация, единственным выходом из которой является пересадка органа, возникает в педиатрической практике редко.
Вторичная оксалатурия чаще возникает у детей старше 6 лет на фоне нарушений обмена или работы почек, таких как:
- сахарный диабет;
- нефротический синдром;
- дисметаболическая нефропатия;
- воспалительные заболевания кишечника и дисбактериоз;
- нарушения в работе печени и поджелудочной железы;
- заболевания почек, в том числе пиелонефрит и гломерулонефрит;
- сбои в работе почечных канальцев;
- нарушение оттока мочи и моторики мочевыводящих путей;
- изменение в работе паращитовидных желез;
- травматические поражения почек.
Иногда в качестве причины упоминают и нефролитиаз – мочекаменная болезнь, хотя правильнее назвать ее следствием оксалатурии.
Симптомы при содержании солей в урине
Кроме повышения суточного количества выделяемых с мочой оксалатов о развитии патологии говорят следующие признаки:
- учащенные позывы к мочеиспусканию;
- нестабильный объем суточного диуреза без изменения количества поступающей в организм жидкости;
- изменение цвета урины на более темный, возможно появление резкого запаха;
- жалобы малыша на боли в животе или пояснице, как резкие и кратковременные, так и продолжительные;
- слабость и вялость днем может соседствовать с плохим сном ночью;
- возможно снижение давления, физического и эмоционального тонуса;
- грудные дети становятся капризными, отказываются от вскармливания.
Методы диагностики
Независимо от того, имеются ли у ребенка симптомы или обследование является профилактическим, алгоритм будет таким:
- Первичный общий анализ мочи – если соли повышены, делается вторичный с учетом рекомендаций врача, касающихся диеты.
- Вторичный – если в нем нарушение выявлено вновь, тем более, при наличии симптомов болезни, назначается суточный анализ.
- Анализ мочи на содержание солей за сутки.
- УЗИ мочевыводящих органов – позволяет определить, насколько далеко зашел процесс камнеобразования.
Исключение составляют груднички – здесь врач может назначить УЗИ даже на основе однократного превышения нормы.
Рекомендации по лечению
Терапевтические меры могут ограничиваться диетой и приемом витаминных комплексов (это предпочтительный вариант, возможный при своевременном обращении к врачу), либо включать в себя средства для устранения симптомов и лечения вторичной патологии.
Диета при превышении нормы оксалатов в моче
Здесь принцип понятен – нужно убрать из меню (или ограничить потребление) продукты, с которыми в организм поступает чрезмерное количество щавелевой кислоты и витамина С, а именно:
- шпинат, петрушка, ревень, щавель, сельдерей;
- какао и цикория;
- томаты, свекла, морковь, лук-репка, чеснок;
- фасоль;
- жареный картофель;
- цитрусовые фрукты и сливы;
- смородина (красная и черная), крыжовник, клюква;
- горчица и перец;
- мясные полуфабрикаты и бульоны;
- яйца (ограничить);
- молоко и молочные каши.
При этом увеличить количество или ввести в рацион следует:
- овощи: огурцы и баклажаны, зеленый лук, тыкву и картофель, кукурузу и горох, капусту – белую и цветную;
- фрукты: сладкие яблоки, абрикосы и персики, груши., виноград и бананы;
- бахчевые культуры – арбузы и дыни;
- малину, ежевику, чернику;
- сухофрукты, в том числе в виде компотов;
- ржаной хлеб и отруби;
- овощные и фруктовые соки, детскую бутилированную воду;
- небольшие порции нежирного мяса и рыбы.
Непременной составляющей диеты будет питьевой режим, объем потребляемой чистой воды должен быть не менее 1,5 литра.

Если оксалаты обнаружены у грудничка, то изменения стоит внести в организм матери.
Медикаменты и витамины
Если соблюдение диеты на протяжении 3-4 недель результата не приносит, назначаются препараты следующих групп:
- энтеросорбенты;
- минеральные добавки – магний- и калийсодержащие:
- витамины группы В, витамин А;
- диуретики (Канефрон, Фитолизин);
- антиоксидантные (противоокислительные препараты);
- мембраностабилизирующие лекарства (Димефосфон);
- комплексные растительные препараты, сочетающие мочегонные и спазмолитические свойства (Уролесан, Урохолесан, Цистон);
- литолитические средства (Уралит, Цималон) – следует понимать, что оксалаты подвержены растворению плохо, прием таких препаратов будет скорее профилактической мерой;
- противовоспалительные и антибактериальные препараты – уместны при наличии инфекции или воспаления;
- пробиотики.
Наличие крупных камней потребует выполнения специальных процедур для их дробления и вывода.
Успех терапии функциональной и вторичной оксалатурии напрямую зависит от стадии выявленного нарушения. Все, что потребуется от родителей – это немного внимания и владение информацией о симптомах заболевания. Тогда проблему легко решить с помощью временной диеты и более полноценного постоянного рациона.
Рекомендуем другие статьи по теме
Источник:
Что означает наличие оксалатов в анализах мочи у детей на грудном вскармливании
При подготовке к проведению прививки или во время какого-либо заболевания родители обращаются к педиатру. Он проводит осмотр и, если необходимо, выписывает направление на сдачу общего анализа мочи (ОАМ).
Благодаря такому исследованию, доктор сможет правильно оценить общее состояние организма, а также проконтролировать правильное функционирование мочевыводящей системы младенца. Родителям сложно разобраться в результатах проверки и определить, что это может значить, и все ли в порядке.
К одним из непонятных значений относится содержание в моче оксалатов.
Анализы в специальном контейнере
Что такое оксалаты
Оксалаты в моче у ребенка что это – кальциевая и аммониевая соли органической щавелевой кислоты. Эти вещества содержатся в урине, и определенное их количество будет в моче ребенка.
Оксалаты под микроскопом
Каким методом обнаруживаются в моче
Почему у ребенка в год нет зубов — сроки появления
Если отсутствуют симптомы, указывающие на то, что поражена мочевыделительная система, то обнаружить соли щавелевой кислоты в моче можно во время проведения общего анализа мочи (ОАМ). Общий анализ мочи – проведение комплексного исследования физических и химических свойств мочи, которое также включает микроскопическое исследование осадка. Оксалаты в моче у малыша часто обнаруживаются при проведении микроскопии мочи.
Обратите внимание! От того, правильно ли был собран материал для проведения исследования, зависит, каким получится состав мочи. Стоит прислушаться к совету Комаровского и не использовать для сбора пустые баночки из-под продуктов питания или лекарств. Собирать мочу на анализ нужно только в специальные емкости, которые можно приобрести в аптеке.
Норма оксалатов в моче у грудничка
Рвота водой у ребенка до 1 года — что делать когда тошнит
Как и для любых показателей, для оксалатов в моче есть определенные нормы содержания, они напрямую зависят от возраста ребенка:
- Для малыша до одного года норма – 1-1,3 мг/кг в день;
- Для деток до 3 лет немного – 0,5 мг/кг в день.
Дополнительная информация. Повышенные оксалаты в моче грудничка могут быть обнаружены после того, как кормящая мама накануне съела соленую или острую пищу.
Это будет означать, что педиатр должен назначить повторный анализ и проконсультировать маму касательно ее рациона перед его сдачей.
Если после второго анализа диагноз будет подтвержден, доктор должен назначить лечение маленькому пациенту.

Оксалаты в моче появляются не только из-за протекающей болезни в организме, они могут быть обнаружены и по другим причинам. При сборе урины для исследования нужно внимательно отнестись к подготовке сдачи анализа на наличие оксалатов. Для этого следует:
- Собирать всю суточную мочу только в одну, абсолютно стерильную емкость;
- Первую утреннюю порцию мочи собирать не нужно, начинать забор только со второго мочеиспускания;
- Последнюю порцию мочи следует собрать на следующий день утром;
- Далее нужно смешать всю суточную мочу в одной емкости, взять 100 мл и перелить в специальный контейнер для сдачи анализов;
- Контейнер с мочой отнести в лабораторию и написать на нем общее количество мочи за сутки.
Причины появления солей оксалатов
У деток, находящихся на грудном вскармливании, оксалаты в моче чаще всего появляются из-за неправильного питания кормящей матери, но также это может указывать на патологию метаболических процессов в организме малыша. Кроме этого, излишек солей щавелевой кислоты в моче может возникать из-за врожденного заболевания почек.
Запор у 7-11 месячного ребенка — причины и виды
Оксалатурия разделяется на два вида:
Первичная – считается врожденной, она возникает из-за наследственного нарушения обмена щавелевой кислоты в организме. Вторичная – появляется по причине развития некоторых заболеваний или употребления определенных продуктов питания.
Непатологическая причина оксалатурии – употребление кормящей мамой продуктов, которые богаты на щавелевую кислоту. К ним можно отнести чай, шпинат, ревень, свеклу, шоколад.
Важно! Кормящая мама должна знать, что в ее молоко попадают все питательные и ядовитые вещества из употребляемых ею продуктов.
Также к причинам появления более чем умеренного количества оксалатов в моче у ребенка относятся:
- Врожденные нарушения в обменных процессах, в которых принимает участие щавелевая кислота. В результате нарушается ее выведение из организма;
- Воспаление почек или кишечника;
- Сахарный диабет;
- Камни в почках;
- Различные хронические патологии;
- Недостаток витаминов группы В;
- Дисметаболическая нефропатия. Она появляется из-за наследственной предрасположенности или определенных мутаций в генах младенца;
- Обезвоживание, к которому приводят длительное нахождение на жарком солнце, кишечная инфекция, лихорадка с повышенным потоотделением и недостаточный питьевой режим грудничка.
Оксалатурия
Симптомы оксалатурии у детей
Родители должны обратить особое внимание на здоровье младенца в таком случае:
- Моча грудничка приобрела резкий неприятный запах;
- Цвет урины без причины поменялся со светло-желтого на темно-желтый;
- У малыша возникают очень частые позывы к мочеиспусканию, в то время как общее количество мочи заметно уменьшилось;
- Кроха часто плачет, так как его беспокоит резкая боль в пояснице или внизу живота, которая может свидетельствовать о почечной колике;
- У ребенка ухудшилось общее состояние, возникла апатия, нарушился сон, и пропал аппетит.
Обратите внимание! При возникновении даже некоторых вышеуказанных симптомов родителям нужно как можно скорее обратиться за консультацией к педиатру и попросить направление на общий анализ мочи. Если диагноз «оксалатурия» подтвердится, следует сразу же принять соответствующие меры и начать лечение.
Профилактика, особенности диеты на ГВ
Повышенное количество оксалатов может быть выявлено независимо от возрастных особенностей. Очень часто их обнаруживают в анализе ребенка, находящегося на грудном вскармливании.
Оксалурия очень тесно связана с рационом питания кормящей мамы, ведь все употребляемые ею продукты поступают в организм малыша с грудным молоком.
Также избыточное образование оксалатов может произойти при патологических процессах в почках, врожденных нарушениях обменных процессов, неблагоприятных наследственных факторах.

Очень мало кормящих мам, которые в период грудного вскармливания соблюдают определенный рацион. Еда у них привычная, без ограничения в чем-то, они не соблюдают ни какую диету. В результате у младенца может подняться выше нормы количество оксалатов.
Если малыш находится на грудном вскармливании, кормящая мама должна придерживаться правильного и сбалансированного рациона питания, чтобы не причинить вред организму своего ребенка.
При обнаружении оксалатов у ребенка маме стоит исключить из своего рациона питания источники щавелевой кислоты:
- Ревень;
- Щавель;
- Шпинат;
- Свеклу;
- Продукты, содержащие какао;
- Петрушку;
- Лук;
- Редис; брюкву;
- Цитрусовые;
- Кислые ягоды;
- Сливы;
- Миндаль;
- Зеленую фасоль.
Кроме того, стоит отказаться от кислых фруктов, томатов, печени, кофе, крепкого чая. Не менее важно уменьшить потребление соли. Если болезнь сильно прогрессирует, нужно ограничить в рационе пищу, которая содержит кальций в больших количествах: молочные продукты, зелень, бобовые, крупы, мучные изделия. Минимальный срок для соблюдения диеты – две недели.
В рационе мамы обязательно должны присутствовать такие продукты, которые содержат витамины А и группы В, магний, калий, белок. Очень важно употреблять виноград, айву, капусту и картофель, бананы, огурцы и тыкву, сухофрукты, груши и абрикосы, растительные масла и мясо.
Важно! Ребенку родители должны организовать правильный режим сна и отдыха, который предусматривает достаточную активность, обязательны прогулки на свежем воздухе. Детскую комнату стоит сделать прохладной и в меру влажной. Что касается окружающей обстановки, важно обеспечивать ребенку психологический комфорт.
Оксалаты в анализе мочи у грудных деток выявляются очень часто. Родителям не нужно сразу же беспокоиться. Такое бывает при нарушении диеты мамой малыша или неправильном сборе мочи для проведения анализа. Если диагноз будет подтвержден повторно, важно выполнять все рекомендации доктора: соблюдать правильную диету и принимать лечебные препараты.
Источник:



