Мрт гипофиза с контрастом: положительные стороны видео
Магнитно-резонансная томография гипофиза – это неинвазивный, безболезненный и безвредный способ диагностики инструментальным методом. В процессе сканирования получается трехмерное изображение органа, что позволяет выяснить причины дисфункций гипофиза, поставить правильный диагноз и назначить компетентное лечение.
Магнитно-резонансная томография гипофиза – это неинвазивный, безболезненный и безвредный способ диагностики инструментальным методом
Исследование МРТ гипофиза с контрастом выявляет и детализирует все структурные деформации и выводит анализ ткани с помощью плоских и объемных изображений. Метод основан на магнитном излучении без использования рентгеновских лучей.
Данная процедура является высокоинформативным диагностированием и показывает наличие новообразований, точное расположение и состояние опухоли.
Важно! Выявить аденому гипофиза другим методом диагностики не всегда представляется возможным ввиду микроскопических размеров новообразования и неоднородности железистой ткани.
Характеристика гипофизарной железы
Выявить аденому гипофиза другим методом диагностики не всегда представляется возможным ввиду микроскопических размеров новообразования
Гипофиз представляет собой участок мозгового отростка с круглой формой, располагающийся в костном отверстии (турецкое седло) нижней области головного мозга, который производит гормональные элементы, отвечающие за развитие, метаболизм и репродуктивные функции человека.
Гипофиз – это центральный орган эндокринного аппарата, тесно взаимосвязанный с гипоталамусом.
При нарушении функциональности органа могут возникнуть патологические, необратимые изменения всего организма, поэтому любые дисфункции железы необходимо выявлять в самом начале заболевания.
Показания к диагностике
Все подозрения на патологические дисфункции гипофизарной железистой ткани являются показаниями для диагностирования. Развитие опухоли или патологии в селлярных областях выявляются с помощью проведения МРТ с контрастом, то есть — с применением раствора солей гадолиния, накапливающихся в тканях и позволяющих получить более четкое и сконструированное изображение.
Все подозрения на патологические дисфункции гипофизарной железистой ткани являются показаниями для диагностирования
Основные показания к магнитно-резонансному сканированию:
- Болезнь Кушинга – ожирение с выраженными отложениями жировой массы в определенных областях тела, появлением растяжек в области живота.
- Гипертрофированная активность гормонального фона.
- Превышение уровня пролактина.
- Патологии функциональности любых желез.
- Постоянные головные боли.
- Потеря зрения.
- Аномалии роста в ту или иную сторону.
- Сахарный диабет.
- Судорожный синдром.
- Нарушение работы вестибулярного аппарата.
- Разность амплитуды менструального цикла.
- Черепно-мозговые травмы.
- Предварительное диагностирование аденомы гипофиза.
Важно! Опухоль железы чаще всего доброкачественная, но для предотвращения преобразования аденомы требуются компетентная диагностика и лечение.
Магнитно-резонансная томография с контрастированием
Опухоль железы чаще всего доброкачественная, но для предотвращения преобразования аденомы требуются компетентная диагностика и лечение
Для повышения информативности диагностики применяют контрастное вещество на основе солей гадолиния:
- Вещество не имеет специфического фармакологического действия, биологически инертно.
- Гадодиамид (Омнискан) – парамагнитный препарат на основе гадолиния.
- Магневист – димеглуминовая соль гадопентетовой кислоты.
Раствор вводят внутривенно непосредственно перед обследованием или капельным путем в процессе диагностирования (болюсное контрастирование).
Контрастное вещество применяют после аллергической пробы на чувствительность к компонентам раствора за полчаса до начала процедуры. Время проведения магнитно-резонансной диагностики с контрастом составляет примерно один час при мощности томографа в 1,5 Тесла.

Обследование с применением контраста противопоказано при беременности и наличии патологических изменений в почках (почечная недостаточность).
Ограничения к применению магнитно-резонансной диагностики
Применение МРТ-сканирование недопустимо или производится с особыми рекомендациями и ограничениями по следующим причинам:
- Наличие в организме атравматических сосудистых лапароскопических клипс.
- Кардиостимуляторы, электростимуляторы, нейростимуляторы.
- Имплантаты внутреннего уха.
- Синдром психомоторного возбуждения.
- Фобия замкнутых или тесных пространств.
- Татуировки с применением металлических элементов.
- Несъемные зубочелюстные протезы или иные металломагнитные имплантаты.
- Беременность.
Применение сканирование недопустимо или производится с особыми рекомендациями
Подготовка к диагностированию
Специальные приготовления к сканированию без применения контраста не требуются. Единственное условие — это снять все имеющиеся металломагнитные изделия и смыть перманентный макияж.
При МРТ гипофиза с контрастом запрещено употребление пищи и воды в течение 6 часов до диагностирования.
Перед сканированием необходимо уведомить врача о наличии каких-либо фобий, имплантатов (в том числе и зубных вкладок), татуировок и других индивидуальных особенностей.
Процедура сканирования
При показаниях к проведению процедуры с применением контраста больному делают внутривенное вливание препарата или устанавливают капельницу для постоянного введения раствора.
Проблемы с вестибулярным аппаратом, клаустрофобией или иные особенности, препятствующие неподвижному пребыванию в течение длительного времени, купируются с помощью седативных средств или общего наркоза.
При диагностики гипофиза с контрастом запрещено употребление пищи и воды в течение 6 часов до диагностирования
После проведения всех подготовительных процедур пациента укладывают на выдвижное приспособление, голову фиксируют в валик, руки и ноги закрепляют ремнями, после этого стол автоматически задвигается в томограф.
В аппарате исследуемая зона окружается кольцом с модулями, сканирующими органы. Модули записывают показатели на магнитный носитель и отправляют данные на преобразователь.
Диагностирование длится от 30 минут, после этого аппарат отключают.
Результаты магнитно-резонансной томографии гипофиза
По полученному изображению определяются патология и степень поражения железы. При соответствии нормальному состоянию гипофизарная железа на уровне фронтального среза напоминает прямоугольник. Нижняя граница органа получается в форме седла, а верхняя: вогнутая, горизонтальная или выпуклая.
Боковые части органа идентичны фронтальному образу, вертикальный видоизменяется габаритами от 4 до 8 мм. В подростковый период вертикальная область гипофиза может достигать 10, а в период беременности — и 12 мм. Легкая асимметрия гипофиза не является патологией.
После проведения всех подготовительных процедур пациента укладывают на выдвижное приспособление, голову фиксируют в валик
Недостаточность диафрагмы турецкого седла выражается на снимках утонченностью, расположением гипофизарной железы по дну костной ткани. Субарахноидальная цистерна пролабирует в полость седла через отверстие в диафрагме. На снимках железистая ткань выглядит серпообразно.
Опухоль железы варьирует от 10 до 30 мм и характеризуется местом дислокации:
- Эндоселлярная: не заходит за пределы костной ткани.
- Супраселлярная: размером с саму цистерну, может врасти в третий желудочек.
- Параселлярная: разрастается в кавернозный синус.
- Инфраселлярная: врастает в пазуху костной ткани.
- Ретроселлярная: поражает кость и врастает в мостовую цистерну.
- Антеселлярная: гипофиз врастает в лобную долю и клетки решетчатых лабиринтов.
Дополнительными симптомами новообразования являются:
- неоднородность структуры железистой ткани;
- сильная асимметрия;
- смещение воронковой части седла;
- деформирование гипофизарного дна.
При недостаточности соматотропного гормона на снимках будут обнаружены несколько явно выраженных признаков аномальных изменений:
- эктопия нейрогипофиза;
- гипоплазия воронки гипофиза;
- гипоплазия аденогипофиза.
Важно! Только эти данные не могут быть заключительном результатом обследования, для выявления истинных причин заболеваний требуется комплексная диагностика.
Преимущества магниторезонансного сканирования
В сравнении с другими способами инструментального обследования, магнитно-резонансный томограф отличается способностью диагностировать уровень гормонального фона
Магнитно-резонансное сканирование позволяет получить четкие, с выраженными деталями картины диагностирования на основе соотношений магнитных полей. Сами томографы бывают трех видов, с высокими, низкими и средними полями.
Различие заключается в разности единицы напряжения. Высокое напряжение электромагнитной индукции позволяет получить наиболее качественные снимки со срезом менее 1 мм.
Самый высокоинформативный вариант томографа — это аппарат с единицей измерения до 3 Тесла.

В сравнении с другими способами инструментального обследования, магнитно-резонансный томограф отличается способностью диагностировать уровень гормонального фона, образований и развитие опухолевой ткани даже микроскопических размеров. Несмотря на высокую точность диагноза, определение уровня пролактина, тиреотропина, кортикотропина и других требует дополнительного анализирования.
МРТ гипофиза с контрастированием информирует о состоянии органа, анатомии тканей и любых видоизменениях. При определении опухоли устанавливается точное месторасположение, размер, гистологические особенности и гормональный фон.
Если МРТ противопоказан больному по каким-либо причинам, то для диагностики назначают компьютерную томографию или СКТ, в таком случае сканирование происходит с небольшой долей облучения пациента.
Заключение
Магнитно-резонансная томография гипофиза — это довольно дорогая процедура, но как правило, результативность метода полностью оправдывает потраченные на неё средства. Кроме гипофиза, в процессе проведения сканирования могут обнаружиться дополнительные патологии головного мозга: сосудистые дисфункции, воспалительные поражения и дистрофические аномалии.
При помощи диагностирования можно своевременно выявить проблемные участки после травматического повреждения головного мозга.
Источник:
Мрт гипофиза с контрастированием
Гипофиз — это микрожелеза, расположенная у основания головного мозга и оказывающая влияние на рост, развитие и обмен веществ организма. Она граничит со зрительными и глазодвигательными нервами, а также с крупными сосудами мозга. Дефицит или избыток гормонов гипофизарной железы влечет за собой развитие серьезных заболеваний.
Основной причиной гиперфункции этой железы чаще всего является аденом (доброкачественная опухоль). Как правило, клетки аденомы влияют на повышение уровня определенных гормонов, в то время как уровень всех остальных гормонов может значительно снижаться на фоне сдавливания оставшейся части железы. Диагностикой и лечением гипофизарных патологий занимается врач-эндокринолог.
В таком случае чаще всего назначается МРТ гипофиза с контрастом. Аденома — это железистая доброкачественная опухоль, но она может спровоцировать развитие серьезных заболеваний головного мозга. Без контраста трудно обнаружить микроаденому (заболевание на ранней стадии). Но не только аденома является серьезным поводом для проведения магнитно-резонансной томографии.
Усиление контрастом
Мрт гипофиза с контрастированием — это метод, который улучшает контрастность черно-белых изображений, повышая их ценность, с диагностической точки зрения. Как правило, во время этой процедуры используют контрастные препараты на основе гадолиния. Он представляет собой вязкий металл серебристого цвета, который мягко усиливает магнитный сигнал при выполнении МРТ.
Контрастное вещество могут вводить пациенту двумя способами:
- Однократное внутривенное введение. Расчет происходит в зависимости от массы тела пациента (0,2 мг/1 кг).
- Механически управляемая капельная инъекция. Контрастное вещество постепенно вводится на протяжении всего сканирования.
Пораженные ткани (опухоль) отличаются повышенным снабжением крови, поэтому парамагнитное контрастное вещество с положительной магнитной восприимчивостью активно в них накапливается, и в процессе диагностики усиливает магнитно-резонансный сигнал, повышая результативность обследования. Перед выполнением диагностики с контрастным усилением пациенту дополнительно назначают обследование почек, чтобы убедиться, что организм способен вывести контраст в положенное время.
Контрастное вещество с йодистой основой не применяется в МРТ
Показания и противопоказания
Основными показаниями для магнитно резонансной томографии гипофиза считаются такие:
- предполагаемый синдром гиперкортицизма;
- повышенная выработка определенных гормонов без установленной причины;
- повышенный пролактин;
- разнообразные эндокринные нарушения;
- частые головные боли, мигрени;
- различные варианты неврологических симптомов при отсутствии выраженных нарушений в работе мозга;
- резкое снижение остроты зрения по непонятным причинам;
- нарушение менструального цикла по непонятным причинам;
- беспричинный набор или потеря веса;
- расстройства эректильной функции;
- гигантизм или карликовость.
МРТ гипофиза с контрастом считается безопасным видом сканирования организма. Однако процедура имеет ряд достаточно серьезных противопоказаний.

Процедура абсолютно противопоказана в таких случаях: беременность на любом сроке ввиду эмбриотоксичности контрастных веществ, выраженная почечная недостаточность, импланты металлические ферромагнитного типа в теле, инсулиновые помпы, установленные кардиостимуляторы.
Кроме того, выделяют некоторые относительные противопоказания: сердечная недостаточность, проблемы в гепатобилиарной зоне, применение нервных стимуляторов, импланты с малым содержанием металла. Все чаще в ортопедии используют протезы с минимальным содержанием металла, но в таком случае перед проведением МРТ делают рентгенографию с целью идентификации металлической составляющей.
На аденомы гипофиза приходится около 15% всех опухолевых внутричерепных образований
Подготовка и ход процедуры
Какой-то специальной подготовки данный вид диагностики не требует. Однако при выполнении МРТ гипофиза с контрастом заранее проводят пробы на предмет аллергических реакций. Кроме того, специалист должен убедиться в отсутствии беременности, бронхиальной астмы или неврологических расстройств у пациента.
В день проведения обследования больному дают такие рекомендации:
- отказаться от употребления пищи за 3–4 часа до процедуры;
- непосредственно перед МРТ снять одежду, которая имеет металлическую фурнитуру, а также любые предметы с тела, имеющие в своем составе металл;
- если присутствует паника или сильное волнение, то возможен прием успокоительных средств.
Вредно ли делать МРТ головного мозга?
Размеры гипофиза очень малы, поэтому обследовать исключительно его не представляется возможным. Сканируется также и прилежащая область. Только изображения с максимальным разрешением позволяют с точностью определить изменения в отдельных частях этой железы. Диагностический протокол исследования гипофиза существенно отличается от протокола общего исследования головного мозга.
Пациента помещают внутрь МРТ установки и надежно фиксируют ему голову. Движения в процессе диагностики категорически запрещены. Как правило, резонансную томографию гипофизарной железы с контрастным веществом делают в течение 60 минут.
Расшифровка
После того как МРТ томограф заканчивает сканирование необходимой области, последовательные срезы тканей или органа воспроизводятся на мониторе компьютерного оборудования. Они понадобятся радиологу для анализа и составления расшифровки результатов обследования. Всю видеоинформацию записывают на цифровой носитель, чтобы в дальнейшем специалисты смогли снова ее оценить.
Гипофизарная железа в вертикальной проекции в норме должна иметь прямоугольную форму.
Нижнее очертание в норме должно напоминать форму турецкого седла, а верхняя граница может быть горизонтальной, слегка вогнутой или слегка выпуклой.
На срезах должны быть четко видны доли гипофиза в воображаемой вертикальной плоскости, которые делят объект на левую и правую часть. В поперечной оси гипофизарная железа симметрична.
Расшифровкой занимается лечащий специалист
В процессе исследования диагност разделяет выявленные образования с учетом их местоположения.
Если опухоль находится в углублении клиновидной кости черепа, то, скорее всего, в заключении будет указана — аденома гипофиза.
Если над углублением, то это может быть опухоль, которая имеет эмбриональное происхождение, опухоль оболочек головного мозга, аневризма или глиальная опухоль головного мозга, возникающая из астроцитов.
Основные признаки опухоли — асимметрические контуры гипофиза и его выпячивание, а также неоднородность структуры. МРТ с контрастированием позволяет диагностировать микроаденомы (до 6 мм в размере) на ранних стадиях. А это сильно увеличивает шансы пациента на благоприятный исход.
Источник:
Мрт гипофиза и мозга что показывает, заключение, пролактин
Здоровье стало подводить: частые головные боли, ухудшение зрения, снизилась сексуальная функция или нарушен менструальный цикл? Для постановки правильного диагноза необходимо посетить специалиста, который, скорее всего, направит на МРТ головного мозга и гипофиза.
Кратко о процедуре
Магниторезонансная томография является диагностикой, благодаря которой можно наиболее точно определить нарушения структуры органов и тканей, любую патологию и причину ее возникновения.
Томография головного мозга, как и гипофиза, помогает обследовать область турецкого седла. В первом случае полученной во время процедуры информации бывает недостаточно, и при постановке диагноза специалист может ошибиться.
МРТ железы гипофиз — это современный неинвазивный способ определения правильности работы органа. В результате обследования получается трехмерное его изображение.

При осмотре гипофиза таким способом можно выявить следующие патологии:
- аномалии развития;
- воспалительные заболевания;
- кисты;
- опухоли;
- нарушения работы сосудов.
Отличие МРТ головного мозга от томографии гипофиза заключается в следующем: разные объекты обследования, различные показания и технические параметры (проекция, толщина срезов, разрешение изображения). Остальное одинаково.
И еще о том, почему МРТ, а не рентген лучше выбрать. Во втором случае при прицельном снимке головы, используя увеличение, можно увидеть только свод черепа и клиновидную кость. Гипофиз находится вне зоны видимости.
Аппарат открытого типа
Людям, которые страдают клаустрофобией или имеют избыточный вес, а также детям, рекомендуется проводить обследование гипофиза с использованием МРТ на аппарате открытого типа.
Такое оборудование дает ощущение пространства, и приступ клаустрофобии случается довольно редко. Работают аппараты этого вида намного тише. Ребенок и родители могут видеть друг друга. К тому же благодаря широкому отверстию и крепкому столу получаются снимки высокого разрешения и у людей, имеющих массу тела более 150 килограмм.
Гормоны, выделяемые гипофизом
К передней доле органа относится:
- Тиреотропный гормон. Он отвечает за работу щитовидной железы.
- Адренокортикотропный гормон, он контролирует надпочечники.
- Соматотропный гормон способствует образованию белка и отвечает за рост организма.
- Лютеинизирующий — отвечает за работу половых желез.
- Фолликулостимулирующий, он способствует созреванию фолликулов.
К средней доле гипофиза относятся:
- Меланоцитстимулирующие гормоны. Их функции велики: регуляция артериального давления, пигментного обмена, процессов памяти, клеточного роста. Также они отвечают за работу желудка и кишечника, протекание иммунных реакций, деление клеток.
К задней доле относится:
- Антидиуретический гормон, который отвечает за работу почек и артериальное давление.
Повышенный пролактин
Гормоном гипофиза является и пролактин. Он синтезируется в передней его доле и сразу попадает в кровь. Пролактин обладает широким спектром действия, стимулирует созидательные процессы. Существует много заболеваний, которые зависят от его количества в организме. При его большом количестве в организме человека происходит сбой.
МРТ гипофиза при повышенном пролактине назначается для установления наличия/отсутствия опухоли. Повышение этого гормона приводит к аденоме гипофиза. Обнаружить ее возможно только при магнитно-резонансной томографии.
Это самый безопасный способ. Обычно используется контрастное вещество. Благодаря ему увеличивается информативность, достоверность полученных данных. Контрастирующее средство оседает в местах с повышенным кровоснабжением. Послойные изображения выполняются с разных сторон, а затем объединяются в общую картину.
Обследование гипофиза на МРТ назначается и при бесплодии. Пациенткам с повышенным пролактином сканирование поможет исключить наличие опухоли гипофиза.
Магнитно-резонансное исследование позволяет без хирургического вмешательства наблюдать за микроаденомой гипофиза и протекающими в ней процессами.
Показания и противопоказания
Томография отростка гипофиза назначается при:
- частых головных болях;
- подозрении на синдром Кушинга;
- повышенной активности гормонов некоторых групп;
- нарушении в работе желез;
- отклонении от норм веса;
- явно выраженной карликовости или гигантизме;
- патологии щитовидной железы.
Хотя данный вид сканирования и не опасен для здоровья человека, но противопоказания все-таки имеются.
К абсолютным можно отнести:
- наличие металлических и ферромагнитных имплантатов;
- присутствие инсулиновых помп и кардиостимуляторов.
К относительным:
- наличие имплантатов без металлических частей и нервных стимуляторов;
- сердечная недостаточность.
Людям, страдающим от ожирения или клаустрофобии, к данной процедуре стоит относиться с осторожностью.
Как проводится сканирование
Для того чтобы обследовать гипофиз на МРТ, специальной подготовки не требуется, если не используется контраст. Но есть ситуации, когда его обязательно применяют.

Если нужно сделать процедуру с контрастом, придется в течение пяти часов до сканирования не употреблять пищу. Теперь о самой процедуре:
- Доза контраста для каждого пациента рассчитывается индивидуально. Вводится она пациенту с использованием катетера.
- Больной помещается в аппарат. Для того чтобы предотвратить случайное движение человека, его необходимо зафиксировать.
- Сканирование начинается. Длительность обследования без контраста — от 20 до 25 минут. С использованием контрастирующего вещества — от 40 до 45 минут. Все это время пациент должен лежать неподвижно.
Во время процедуры врач находится в соседнем помещении. Следит за состоянием гипофиза на экране монитора. После процедуры пациенту на руки будут выданы снимок и его расшифровка.
Заключение врача
В течение часа после проведения процедуры специалист делает заключение. Однако в сложных случаях потребуется немного больше времени.
В расшифровке подробно описаны: форма, плотность, структура, размер, локализация железы и также тканей, окружающих ее. На основании полученных результатов указываются признаки болезни или отсутствие таковых.
Точный диагноз может поставить только лечащий врач. Получив описание снимка, сразу же отправляйтесь к специалисту. Он назначит своевременное правильное лечение.
Может ли МРТ ошибаться? Скорее всего, нет. Ошибается только врач.
К основным преимуществам сканирования гипофиза на магнитно-резонансном томографе можно отнести:
- возможность трехмерного обследования;
- на изображении отсутствуют посторонние элементы;
- точная диагностика;
- никакой опасности для организма человека.
Нормальное состояние гипофиза
Для того чтобы правильно расшифровать снимки, следует знать, как выглядит гипофиз без патологий. Для расшифровки используется пять критериев.
- Расположение и форма. Орган расположен в центре турецкого седла и имеет бобовидную форму. Верхний край выпрямлен или немного вогнут. Нижний край повторяет форму турецкого седла. Фронтальная область — прямоугольная, сагиттальная — эллипсоидная. На снимках форма — симметричная.
- Размер. Поперечно составляет 14 миллиметров (совпадает с размером турецкого седла). В переднезадней доле — 11 миллиметров. Высота по средневенечной плоскости — 8 миллиметров. В период беременности норма составляет 12 миллиметров. Вес не должен превышать 1 г.
- Контуры. Четкие, ровные.
- Плотность. Неизменна, гомогенная.
Надо ли делать МРТ гипофиза? На данный вопрос ответ может дать только специалист.
Источник:
Норма размеров гипофиза на МРТ
Заболевания головного мозга и гипофиза сложно диагностировать, черепная коробка надежно укрывает их и является непроницаемой преградой для традиционных методов обследования.
При подозрении на наличие патологических процессов врачи рекомендуют аппаратное исследование.
О возможных заболеваниях свидетельствуют нетипичные размеры гипофиза на МРТ, нарушение формы и структуры железы, изменение характера кровоснабжения данной области.
Гипофиз на снимке МРТ
Нормальные параметры гипофиза, определяемые при МРТ
Магнитно-резонансная томография показывает состояние внутренних органов и систем, она является современным информативным методом дифференциальной диагностики патологических процессов, протекающих преимущественно в мягких тканях.
Исследование основано на применении магнитного поля, безвредного для человека. Сканирование проводят с помощью томографа.
Это сложный аппарат, преобразующий изменения, вызванные электромагнитными импульсами, в серию послойных фото изучаемой зоны.
Гипофиз располагается в ямке турецкого седла, на нижней поверхности головного мозга. Это углубление в клиновидной кости черепа имеет диафрагму с отверстием, через которое железа соединяется с гипоталамусом. Вокруг гипофиза определяются пещеристые венозные синусы.
https://youtube.com/watch?v=ddkjqscCObU
Железа состоит из двух долей: передней (аденогипофиз, занимает 70-80%) и задней (нейрогипофиз). Задняя доля в верхней своей части заканчивается отростком, который переходит в воронку гипоталамуса. Это образование называют ножкой гипофиза.
На снимках в прямой проекции нижний мозговой придаток имеет форму, близкую к прямоугольнику. Верхняя граница может быть немного выгнута или вогнута – такое строение является вариантом нормы.
Нижняя граница повторяет очертания турецкого седла. На МРТ во фронтальной проекции гипофиз имеет симметричную форму, его размеры колеблются от 6 до 8 мм в высоту и от 3 до 5 мм в ширину.
На сагиттальном срезе отчетливо видны доли гипофиза, в норме длина органа составляет от 5 до 10 мм.
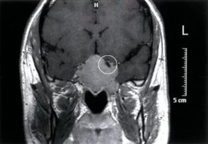
Аденома гипофиза, фото в прямой и боковой проекциях
Размеры органа индивидуальны: в детском возрасте, в период полового созревания и при беременности они колеблются, достигая верхних пределов нормы. Увеличение железы в любом направлении более 10 мм говорит о возможном патологическом процессе.
Что такое гипофиз и его значение для организма?
Гипофиз представляет собой отросток головного мозга, который является управляющим центром эндокринной системы. Это небольшая железа, ее вес не превышает 1 гр. Орган оказывает влияние на работу желез внутренней секреции, регулирует выработку половых гормонов, отвечает за рост организма и обменные процессы. Нарушение деятельности гипофиза приводит к серьезным патологическим состояниям:
- гигантизм
- карликовость;
- несахарный диабет;
- бесплодие;
- ожирение;
- болезнь Иценко-Кушинга;
- эректильная дисфункция;
- аменорея;
- гипотериоз;
- гипертиреоз;
- синдром Шихана;
- гипогонадизм;
- акромегалия и пр.
Влияние дисфункции нижнего мозгового придатка на организм зависит от локализации патологического процесса в нем. Поражение аденогипофиза сопровождается заболеваниями репродуктивной системы, нарушением роста и развития организма. Нейрогипофиз контролирует состояние гладкой мускулатуры и отвечает за тонус кровеносных сосудов, участвует в поддержании баланса жидкости и электролитов.
Гипофиз осуществляет нейрогуморальную регуляцию жизнедеятельности организма. Это происходит благодаря образованию в железистых клетках активных веществ.
Аденогипофиз отвечает за секрецию гормонов:
- тиреотропного – регулятор деятельности щитовидной железы;
- гонадотропных – контролируют работу женской и мужской репродуктивной системы;
- пролактина – отвечает за лактацию, стимулирует инстинкт заботы о потомстве, влияет на рост и обмен веществ;
- адренокортикотропного – усиливает деятельность коры надпочечников;
- соматотропного – стимулирует синтез собственного белка и глюкозы, обеспечивает катаболизм жиров, регулирует рост.
Избыток или недостаток гормонов передней доли ведет к дисфункции эндокринной системы.
Нейрогипофиз производит:
Вазопрессин действует на гладкую мускулатуру кровеносных сосудов, его повышенное содержание приводит к сужению просвета артериол. В отношении почек гормон вызывает реабсорбцию воды в собирательных трубочках, оказывая антидиуретическое действие.
Окситоцин вызывает сокращение гладкой мускулатуры матки (исключая I и II триместры беременности), способствует выделению молока из протоков грудных желез.
МРТ головного мозга в сагиттальной и аксиальной проекциях, магнитно-резонансная ангиография
Показания к проведению МРТ гипофиза
Наиболее частой патологией гипофиза является аденома – доброкачественная опухоль, которая нарушает секрецию необходимых гормонов. Локализация новообразования определяет клиническую картину. Показаниями к МРТ гипофиза служат:
- гиперсекреция эндокринных желез невыясненной этиологии;
- нарушения менструального цикла;
- беспричинное выделение молока из грудных желез;
- подозрение на синдром Иценко-Кушинга;
- снижение зрения;
- дисфункция щитовидной железы;
- нарушения в работе коры надпочечников;
- головные боли, мигрень;
- депрессивные состояния;
- нарушение сна неясной этиологии;
- скачки веса без объяснимой причины;
- нарушения роста и развития организма;
- задержка психо-эмоционального развития у детей;
- бесплодие;
- признаки акромегалии;
- эректильная дисфункция.
Нарушения в работе гипофиза влияют на весь организм, вызывая отклик со стороны сердечно-сосудистой системы, органов пищеварения, центральной нервной системы. Заболевания железы сопровождаются изменением ее структуры, формы и размера, что четко видно в результате МРТ.

Снимок аденомы гипофиза на МРТ
Как подготовится к МРТ гипофиза
Процедура магнитно-резонансной томографии не требует специальной подготовки. Пациенту нужно предупредить врача о наличии металлических протезов, имплантов, вживленных электрических устройств и кардиостимуляторов. Перед обследованием снимают верхнюю одежду и аксессуары.
Для повышения информативности метода проводят МРТ с внутривенным введением контрастного вещества. В этом случае нужно убедиться в переносимости используемого раствора. Пациентам, склонным к аллергическим реакциям, следует предупредить врача.
До прохождения процедуры доктор проводит беседу, объясняет, как проводят обследование, сколько времени оно занимает. Напоминает о необходимости сохранять неподвижность во время сканирования. Выполнение рекомендаций специалиста влияет на качество изображения и постановку диагноза.
Расшифровка данных МРТ головного мозга
Дисфункция гипофиза связана с патологическими процессами, следствием которых являются структурные изменения тканей железы. Дифференцировать заболевание, определить характер поражения и его локализацию поможет магнитно-резонансная томография. Метод позволяет визуализировать малейшие отклонения от нормы, благодаря МРТ возможна диагностика заболеваний гипофиза на ранних стадиях.
Синдром пустого турецкого седла характеризуется истончением железы, которая не заполняет гипофизарную ямку. На сагиттальном срезе орган имеет серповидную форму и занимает нижнюю часть костного кармана.
Пустое турецкое седло на МРТ
МРТ гипофиза выявляет также опухоли и кистозные образования, позволяя своевременно приступить к лечению патологии. Аденома на снимках МРТ определяется как участок с измененной структурой, чаще располагается в передней доле. Косвенно на наличие опухоли указывают следующие факторы:
- асимметрия железы, изменение формы и размера;
- нарушение границ, деформация костного кармана;
- смещение ножки гипофиза от центральной оси.
В зависимости от размера, новообразования делятся на:
- пикоаденомы (до 3 мм);
- микроаденомы (3-10 мм);
- макроаденомы (10-30 мм);
- гигантские аденомы (свыше 30 мм).
МРТ позволяет выявить опухоли небольшого размера, которые развиваются бессимптомно. Своевременная диагностика микроаденомы возможна во время нативного исследования, но при малых размерах опухоли, а также при подозрении на малигнизацию, необходимо введение контраста.
Характер кровоснабжения злокачественного образования имеет существенные отличия от аналогичного доброкачественного процесса. Раствор солей гадолиния подсвечивает сосудистую сеть, выявляя собственную систему аденокарциномы. На снимках опухоль имеет неоднородную железистую структуру, границы ее размыты.
В зависимости от расположения различают эндоселлярные и эндоэкстраселлярные опухоли. Первые не выходят за рамки турецкого седла, вторые разрастаются за пределы костного кармана.
Кисты гипофиза на МРТ имеют вид темных пятен (на Т1-взвешенных изображениях) с четкими границами. Их нужно дифференцировать с макроаденомами, которые представляют собой округлые образования с уплотненной оболочкой.
Недостаточная выработка соматотропина характеризуется гипоплазией аденогипофиза и воронки, атипичным расположением нейрогипофиза. Эти признаки помогают выявить причину гормональных нарушений и скорректировать работу железы при помощи медикаментозных средств, предупреждая возможные нарушения роста и развития организма.
Метод МРТ помогает провести дифференциальную диагностику поражений гипофиза с патологическими процессами, протекающими в окружающих тканях и имеющими схожую клиническую картину.
Источник:
Характеристика гипофиза
Гипофиз располагается в костной структуре, именуемой турецким седлом. Отдел мозга величиной с горошину управляет работой эндокринной системы. Гипоталамус в свою очередь контролирует деятельность питуитарной железы. Гипофиз разделен на две части – переднюю (около 80% объема) и заднюю доли.

Гормон роста, тиреотропный (стимулирует щитовидную железу к продукции гормональных веществ) и адренокортикотропный (стимулирует работу надпочечников к продукции кортизола – регулятора углеводного обмена) гормоны вырабатываются в течение дня с предсказуемой периодичностью фаз активности и замедления.
Питуитарная железа продуцирует гормон вазопрессин, который отвечает за поддержание водно-солевого баланса в организме. Вырабатываемые гипофизом гормоны пролактин, лютеинизирующий и фолликулостимулирующий гормоны, окситоцин участвуют в репродуктивных процессах.
Врач порекомендует сделать МРТ гипофиза с контрастом при подозрении на нарушения в работе железы. Патологии железы связаны преимущественно с формированием доброкачественной опухоли – аденомы. Новообразование может спровоцировать усиленную или недостаточную секрецию гормонов, что вызывает сбои в работе организма. В результате повышенной гормональной секреции развиваются заболевания:
- Акромегалия. Признаки: укрупнение отделов лица (надбровные дуги, губы, нос), увеличение размеров кистей рук и стоп ног, боли в области позвоночника и суставов, нарушения сердечной и дыхательной деятельности.
- Галакторея. Выделение молока из молочных желез женщины вне периода грудного вскармливания. Патология может развиваться у мужчин.
- Эректильная дисфункция.
Вследствие пониженной секреции возникают патологии – церебральный диабет несахарного типа (основными симптомами являются полиурия – увеличенное образование мочи, и полидипсия – постоянное, неутолимое чувство жажды), гипопитуитаризм (проявляется малым ростом, бесплодием, повышенной утомляемостью, расстройством чувствительности в зависимости от гормона, которого не хватает).
Любые изменения, которые произошли в морфологическом строении гипофиза, показывает исследование в формате МРТ с контрастом, что позволяет своевременно выявлять и устранять патологические процессы. В ходе исследования обнаруживаются такие изменения, как увеличение или уменьшение железы в размерах, наличие опухолевых очагов, трансформация морфологической структуры тканей.
Особенности МРТ гипофиза
Основная задача питуитарной железы сводится к регулированию репродуктивной функции. Гипофиз – малый отдел мозга, размеры которого равняются в сагиттальной плоскости 5-13 мм, в корональной плоскости – 6-8 мм, в аксиальной плоскости – 3-5 мм. Для получения точных сведений о наличии и характере патологических процессов необходимо контрастное усиление.
МРТ гипофиза с контрастом – это такое исследование, благодаря которому можно увидеть состояние кровеносной системы, снабжающей этот отдел мозга, что позволяет судить о скорости и объеме кровотока в этой части головы. Опухолевые процессы чаще поражают заднюю долю железы. Нейровизуализация с использованием парамагнитных препаратов позволяет различать новообразования диаметром от 3-4 мм.
Нейровизуализация с контрастным усилением дает возможность судить о деформации костной ткани турецкого седла, неоднородности структуры мозговой ткани, ассиметричных границах железы, смещении воронки. МРТ гипофиза без контраста показывает то же самое только нечетко и размыто, что препятствует визуализации патологических очагов малого диаметра.
Показания к проведению исследования
МРТ с контрастом назначают при подозрении нарушения функций гипофиза и, чтобы понять зачем требуется введение контрастного вещества, необходимо учитывать малые размеры этого отдела мозга. Обычно поводом к проведению инструментальной диагностики служат результаты анализа крови, которые показывают дефицит или переизбыток гипофизарных гормонов. Другие показания:
- Резкое, значительное увеличение массы тела.
- Расстройство менструального цикла.
- Симптомы нарушений в работе эндокринной системы (незначительное длительно текущее повышение температуры тела без выявленных патологических процессов соматического генеза, повышенное потоотделение, тремор кистей рук, перепады настроения – эмоциональная лабильность, нарушение сна).
- Зрительная дисфункция невыясненной этиологии.
- Головные боли регулярного характера.
Мрт гипофиза с контрастированием – это такое исследование, которое проводится для контроля терапевтического лечения гиперпролактинемии, синдрома персистирующей аменореи-лактореи, что обуславливает важную роль нейровизуализации в оценке достигнутых результатов.
Противопоказания
При подготовке к исследованию МРТ гипофиза с контрастом учитывают наличие противопоказаний, которые бывают абсолютные и относительные. В первую группу входят:
- Наличие в теле инородных предметов (сосудистые стенты и шунты, штифты, несъемные ортодонтические и ортопедические протезы, выполненные из материалов с ферромагнитными свойствами).
- Ношение медицинских устройств (инсулиновые помпы, кардиостимуляторы).
- Аллергическая реакция на контрастное вещество.
Воздействие электромагнитного поля в ходе проведения процедуры может привести к смещению в теле предметов, изготовленных из ферромагнитных материалов. Магнитное поле может влиять на программное обеспечение кардиостимулятора и других имплантируемых электронных устройств, что провоцирует сбой настроек. В числе относительных противопоказаний стоит отметить:
- Состояние беременности (I триместр).
- Психические расстройства, эпилепсия, протекающие в остром периоде.
- Почечная и сердечная недостаточность декомпенсированной формы.
МРТ гипофиза с контрастом не делают, если пациент пребывает в крайне тяжелом, терминальном состоянии или страдает такими заболеваниями, как апластическая и другие формы анемии, другие заболевания крови или клаустрофобия (боязнь пребывания в замкнутом пространстве).
Подготовка к процедуре
Пациент снимает украшения, изготовленные из металла, уведомляет врача о наличии татуировок, зубопротезных конструкций, ортопедических протезов, сосудистых стентов, ношении кардиостимулятора или другого медицинского устройства. Пациент заполняет анкету и переодевается в свободную одежду. Если человек испытывает страх перед предстоящим обследованием, врач может назначить седативное средство.
Методика проведения МРТ с контрастом
Разница между процедурой МРТ гипофиза с контрастом и без него заключается в введении парамагнитного вещества (преимущественно соли гадолиния – Гадодиамид, Омнискан, Магневист, Гадопентетиновая кислота, и препараты на основе йода) в первом случае, чем обусловлено получение более четкого изображения. Парамагнитные препараты изменяют восприимчивость клетки к электромагнитным волнам, уменьшая период релаксации предварительно возбужденных протонов.

Некоторые контрастные препараты способны накапливаться избирательно в опухолевых тканях. Количество препарата рассчитывается индивидуально и зависит от массы тела пациента.
Водорастворимое вещество выводится из организма естественным способом вместе с мочой. Длительность исследования обычно составляет около 30-60 минут.
После завершения обследования врач-рентгенолог составляет заключение, к которому прилагаются снимки-томограммы. Порядок процедуры:
- Внутривенное или капельное введение парамагнитного препарата.
- Фиксация головы пациента для обеспечения неподвижности.
- Помещение пациента внутрь тоннеля аппарата.
Внутривенное введение осуществляется однократно перед началом сканирования.
Капельное, болюсное введение предполагает использование специального инъектора, который в автоматическом режиме во время сканирования впрыскивает дозу вещества (объем 2-7 мл) каждую секунду.
Побочные реакции после применения контрастного вещества выражаются в виде тошноты, чувстве похолодания в руке, головной боли, незначительном понижении показателей артериального давления. Побочные эффекты возникают в 1-2% случаев.
Преимущества и недостатки диагностики
МРТ гипофиза с контрастом делается, чтобы обнаружить такие изменения, как малые очаги инфекции, опухолевые процессы, области некроза. Преимущества использования контрастирования:
- Четкая, детализированная визуализация структуры нормальной ткани и посторонних новообразований.
- Определение морфологического строения новообразования.
- Точное определение размеров и контуров опухоли.
- Исследование взаимодействия пораженных участков и здоровой ткани – связь с кровеносной системой, расположение и размеры зоны перифокального отека.
Микроаденому (опухоль малого размера) невозможно выявить без использования контрастного вещества, что позволяет судить об эффективности метода МРТ с контрастом в отношении ранней диагностики опухолевых процессов. К недостаткам стоит отнести риск возникновения аллергической реакции на введение парамагнитного вещества и наличие дополнительных противопоказаний.
К примеру, нарушение фильтрационной функции почек препятствует своевременному выведению вещества из организма. Цена МРТ гипофиза с контрастом выше, чем стоимость процедуры без использования парамагнитного препарата. Однако в случаях, когда требуется предельная четкость мелких деталей, контрастирование – единственный способ добиться желаемых результатов.
МРТ гипофиза с использованием контрастного вещества – информативный метод исследования, которые позволяет увидеть мельчайшие изменения структуры нормальной ткани. Контрастирование помогает выявлять патологии мозга на ранней стадии.
Источник:



