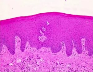
Гиперкератоз плоского эпителия вульвы
Гиперкератоз вульвы – гинекологическое заболевание, которое сопровождается уплотнением верхнего слоя эпителия наружных половых органов. Сопровождается появлением на поверхности вульвы бляшек белого цвета.
Чаще всего заболевание диагностируют у женщин в постклимактерический период. Хотя в последние годы наблюдается омоложение данного недуга. Основной опасностью гиперкератоза является то, что он считается предраковым состоянием. Если вовремя не обратиться к специалисту и не начать адекватное лечение, болезнь может привести к образованию злокачественных новообразований.
- 1 Причины
- 2 Симптомы
- 3 Диагностика
- 4 Лечение
Причины
Хроническое воспаление слизистой половых органов считается основной причиной развития гиперкератоза. Нарушения в обмене веществ, сбои в работе эндокринной системы, а также иммунные нарушения в организме женщины также часто становятся пусковым механизмом для данного заболевания.
На сегодняшний день точные причины развития гиперкератоза вульвы не определены. Но точно известны некоторые основные факторы, которые могут привести к его появлению:
- Период менопаузы. Гормональный сбой, который происходит в организме женщины в это время, нередко становится причиной недуга.
- Провокаторами могут быть некоторые хронические заболевания, например, сахарный диабет, вирус папилломы человека, нарушения в работе щитовидной железы, генитальный герпес, дисплазия шейки матки.
- Частое травмирование зоны бикини.
- Оперативные вмешательства, например, выскабливание.
- Частой причиной развития заболевания является недостаток витамина А в организме.
- Наиболее распространенной причиной считается эндометриоз.
Все процессы, которые провоцируют снижение иммунитета, также способствует развитию многих заболеваний. Неправильный образ жизни, вредные привычки и ожирение могут провоцировать появление различных гинекологических заболеваний, в том числе и гиперкератоза вульвы.
Симптомы
Обычно заболевание начинается бессимптомно. Женщину ничего не беспокоит, и она может даже не подозревать о серьезности своего состояния. На более поздних стадиях заболевание можно выявить даже при обычном осмотре у гинеколога. На слизистых малых половых губ появляются бляшки белого или светло-желтого цвета. Со временем они начинают уплотняться.
Процесс формирования этих бляшек может сопровождаться зудом и жжением при мочеиспускании в области малых половых губ и клитора. В некоторых случаях неприятные симптомы очень сильные, что доставляет женщине дискомфорт. При длительном течении заболевания бляшки могут превратиться в кровоточащие эрозии.
Такие язвы могут быть одиночными, в некоторых случаях они соединяются между собой. При этом границы поражения стираются и язвочки превращаются в большие ранки. Это может быть очень опасно, так как через такие пораженные места женщина может занести инфекцию.
Диагностика
Для того чтобы диагностировать гиперкератоз вульвы, необходимо пройти полное гинекологическое обследование и сдать необходимые лабораторные анализы. Также нужно сдать мазок для определения микрофлоры влагалища. Пройти ультразвуковое обследование органов малого таза, чтобы определить, нет ли каких-то заболеваний половой системы.
Чтобы поставить окончательный диагноз, следует пройти все дополнительные обследования. Ведь симптомы данного заболевания очень схожи с симптомами некоторых других гинекологических патологий. Поэтому перед началом лечения необходимо четко знать, с чем придется иметь дело.
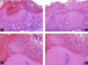
Для диагностирования гиперкератоза плоского эпителия вульвы обязательно проводят кольпоскопию. Это исследование необходимо для того, чтобы изучить досконально строение слизистой поверхности шейки матки, а также проследить изменения, которые происходят в тканях и эпидермисе слизистой. При помощи кольпоскопии можно обнаружить предраковое состояние.
Лечение
Первым этапом в лечении гиперкератоза вульвы считается устранение причины, спровоцировавшей его развитие. Основу медикаментозного лечения составляет противовоспалительная терапия. Также назначаются препараты, помогающие избавиться от зуда и неприятных ощущений.

Обязательным является прием гормональных средств, при помощи которых происходит нормализация уровня эстрогенов в женском организме. Для повышения уровня иммунной защиты многие доктора рекомендуют применение специальных поливитаминных комплексов.
Немалую роль в лечении гиперкератоза играют физиотерапевтические процедуры. Чаще всего в данном случае применяют ультрафонофорез и оксигенотерапию.
В наиболее тяжелых случаях доктора прибегают к оперативным вмешательствам. Суть операции состоит в максимально щадящем иссечении всех пораженных тканей слизистой поверхности вульвы.
Для достижения максимально положительных результатов, кроме медикаментозной терапии, женщина должна соблюдать и другие рекомендации врача. Хорошее влияние на организм оказывает специальная лечебная физкультура. При этом необходимо строго соблюдать диету.
При гиперкератозе вульвы следует соблюдать все правила личной гигиены.
Гигиенические процедуры в данном случае проводятся без использования косметических средств, которые являются дополнительным раздражающим фактором, воздействующим на слизистую оболочку вульвы.
Рекомендуется принимать ванны с добавлением отваров лечебных трав. Но это возможно лишь в том случае, если на такие отвары не отмечается появление аллергических реакций.
Женщинам с гиперкератозом вульвы нужно обратить особое внимание на ежедневный рацион питания. Нужно употреблять как можно больше свежих овощей и фруктов. Хорошее влияние на организм оказывают кисломолочные продукты. Следует ограничить употребление свободных жиров и углеводов.
Только при соблюдении всех рекомендаций врача можно добиться быстрого выздоровления и стойкого результата лечения. Чем раньше будет выявлена патология, тем раньше начнется ее лечение. Именно поэтому, для своевременной диагностики развития кератоза нужно обязательно раз в полгода проходить обследование у гинеколога.
Источник:
Крауроз вульвы
- разрастание грубой соединительной ткани;
- гиперкератоз и атрофия плоского эпителия.
В результате развивается деформация, уменьшаются наружные гениталии, нарушаются их функции.
Наиболее часто болезнь крауроз влагалища и вульвы диагностируют у пациенток старше 45-50 лет (после наступления климакса), однако, не исключено ее развитие и в более молодом возрасте. У детей крауроз вульвы – редкое явление.
Условно процесс развития патологии в гинекологии делят на три стадии:
- Наблюдается нарушение микроциркуляции, гипоксия тканей. В результате возникает отек и покраснение половых органов.
- Проявляется пигментация. Кожа становится неэластичной, сухой, шероховатой. На слизистых оболочках образуются тонкие белые чешуйки. Большие и малые половые губы значительно уплощаются.
- Развивается рубцовый склероз и полная атрофия наружных гениталий. Склерозированные ткани вульвы сильно сморщиваются, малые и большие половые губы уменьшаются в размерах. Сужается влагалище, анальное отверстие и наружное отверстие уретры. На третьей стадии крауроза вульвы, согласно отзывам больных женщин, во время полового акта возникает сильная боль. Затрудняются акты мочеиспускания и дефекации.
Причины крауроза вульвы
Крауроз вульвы – патологическая реакция поверхностных слоев плоского многослойного эпителия на воздействие различных внешних и внутренних факторов. К причинам заболевания врачи относят:
- короткий репродуктивный период (если у женщины уже наступила менопауза);
- оперативные вмешательства, проведенные на половых органах;
- нейроэндокринные болезни (нарушение биоэлектрической активности коры мозга, гипофункция яичников, надпочечников, щитовидной железы);
- воспалительные болезни вульвы (генитальный герпес, вирус папилломы человека);
- снижение иммунной защиты;
- длительное пребывание в состоянии депрессии, психосоматические расстройства;
- отсутствие половой жизни.
Иногда заболевание крауроз вульвы и влагалища становится следствием химического ожога.

Среди провоцирующих гинекологическую патологию факторов: сахарный диабет, ожирение, несоблюдение элементарных правил личной гигиены.
Симптомы крауроза вульвы
Первый симптом крауроза вульвы – парестезии — легкие покалывания в области наружных половых органов. Также на начальном этапе болезни могут проявиться:
- чувство сухости;
- стягивание кожи половых губ;
- жжение во влагалище.
Главный признак крауроза влагалища и вульвы – приступообразный зуд, который обостряется в ночное время, после физической нагрузки и принятия горячей ванны.
Дискомфорт объясняется изменениями, происходящими в рецепторах и нарушающих проведение нервных импульсов.
Постоянный зуд вульвы провоцирует бессонницу, снижает работоспособность, приводит к развитию психоэмоциональных и сосудистых расстройств.
Женщин, болеющих краурозом вульвы, нередко беспокоят:
- боли, возникающие во время полового акта и мешающие ведению активной половой жизни;
- нарушение дефекации;
- нарушение мочеиспускания (дизурия);
- трещины и расчесы, воспалительные поражения кожных покровов в области гениталий.
Развитие патологического процесса приводит к тому, что половые губы становятся отечными, гиперемированными. Потом становится шероховатой кожа, пересушиваются слизистые оболочки. Начинают выпадать лобковые волосы (данный симптом легко заметить, просмотрев фото крауроза вульвы). Просвет влагалища и мочеиспускательного канала резко уменьшаются (иногда наблюдается полная их облитерация).
Если Вы обнаружили у себя схожие симптомы, незамедлительно обратитесь к врачу. Легче предупредить болезнь, чем бороться с последствиями.
Диагностика крауроза вульвы
Диагностика крауроза вульвы не представляет сложностей. В ее основе – лабораторное, физикальное и инструментальное обследование.
Первичный диагноз врач может поставить сразу после осмотра пациентки на гинекологическом кресле.
Чтобы оценить характер патологических изменений кожи и слизистых оболочек, проводится вульвоскопия – исследование наружных половых органов с помощью оптического прибора.
При краурозе в стадии полной атрофии никакая дифференциальная диагностика не проводится. При первых симптомах гинеколог исключает ряд заболеваний:
Обязательная диагностическая процедура при заболевании – исследование на наличие вируса папилломы человека методом полимеразной цепной реакции. Чтобы обнаружить атрофию/атипию и наличие пораженных вирусом эпителиальных клеток, осуществляется цитологическое исследование (цитология) мазков, отпечатков со слизистой вульвы.
С целью исключения малигнизации (развития раковых клеток) возможно взятие биопсии с последующим гистологическим изучением полученного материала.
Как вылечить крауроз вульвы
Лечение крауроза вульвы достаточно сложное. Оно требует комплексного и грамотного подхода. Упор гинекологи делают на консервативную терапию – использование таблеток, мазей и свечей, направленных на:
- устранение симптомов;
- улучшение трофики тканей;
- блокирование воспалительного процесса;
- устранение психоэмоционального напряжения.
Обычно пациентке назначаются:
- Антигистаминные препараты (Тавегил, Диазолин, Супрастин).
- Седативные таблетки (Аминазин, Седуксен).
- Спиртоновокаиновые блокады полового нерва.
- Гормональные мази, в состав которых входят эстрогены (Премаорин, Эстрадиоладипропионат,Эстриол), андрогены, прогестерон, кортикостероиды.
Схема лечения крауроза вульвы во многом зависит от возраста. Женщинам до 40 лет препараты с эстрогеном не рекомендованы. Во второй фазе менструального цикла они могут пользоваться кремами с прогестероном.
Пожилым пациенткам часто назначают Синестрол внутримышечно либо Эстриол перорально, после Норколут перорально либо Оксипрогестеронакапронат внутримышечно.
Наилучших результатов при выраженном зуде помогают добиться мази с андрогенами.

Достаточно хорошо в лечении крауроза влагалища и вульвы зарекомендовали себя кортикостероидные мази с преднизолоном, гидрокортизоном, бетаметазоном. Они оказывают стабилизирующее, десенсибилизирующее и противовоспалительное действие. В случае присоединения к основному заболеванию микробной инфекции показана местная антибиотикотерапия.
Лечить болезнь можно и методом гомеопатии, но это очень длительное занятие, поэтому при запущенных формах заболевания гинекологи рекомендуют прибегнуть к более интенсивной терапии. Для начала гомеопатического лечения можно принимать препарат Меркуриуссолюбилис 6. Рекомендованная дозировка – по 1 грануле вне еды перед сном.
Инвазивные методы и хирургия
Если консервативные методы лечения оказываются неэффективными, проводится хирургическое лечение. При этом могут использоваться разные методы:
- лазерная абляция («выпаривание» патологических очагов с пораженной поверхности);
- денервация вульвы (ликвидация нервных окончаний в тканях вульвы с целью устранения боли и зуда);
- криодеструкция пораженных тканей («заморозка» очагов).
Если есть подозрение на развитие ракового заболевания, проводится вульвэктомия – поверхностное иссечение кожи вульвы.
Лазеротерапия при краурозе вульвы
При лечении крауроза вульвы лазером используется вынужденное низкоинтенсивное излучение светового диапазона. Для устранения всех симптомов необходимо от 15 до 30 сеансов (в идеале они должны проводиться ежедневно).
Воздействие на пораженные ткани гелио-неонового лазера позволяет улучшить состояние слизистых оболочек, нормализовать кровоснабжение, рассосать соединительную ткань и снизить уровень гликогена. Лазерная терапия может проводиться до начала приема лекарственных препаратов. При краурозе вульвы ее можно сочетать с:
- бальнеологическими процедурами;
- рентгенотерапией;
- рефлексотерапией;
- фотодинамической терапией.
Лечение крауроза вульвы народными средствами
Средства народной медицины имеют вспомогательное значение при болезни. С их помощью можно устранить зуд, воспаление и жжение.
- Льняное масло. При краурозе вульвы льняное масло можно мазать ватным диском на пораженные ткани 2-3 раза в день.
- Ванночки с аптечной ромашкой. Температура воды должна быть 38-39оС. Стакан сухой аптечной ромашки заварить 3 стаканами кипящей воды. Настаивать в течение 30 минут. Процедить. Сесть в таз с отваром.
- Дегтярное мыло. Развести ложку пищевой соды в литре теплой воды. Подмываться содовым раствором 2 раза в день с использованием дегтярного мыла. После процедуры обрабатывать кожу облепиховым маслом.
- Чистотел. Срезать цветущую траву чистотела, измельчить и поместить в пол-литровую банку. Залить водкой. Настаивать 3-4 дня. Полученной настойкой смазывать очаги крауроза каждый день. После высыхания кожи желательно наносить мазь Синафлан 0,25%.
Любой рецепт народной медицины следует согласовывать с лечащим врачом.
Диета при краурозе вульвы
При краурозе вульвы следует ограничить употребление:
- кофе;
- алкогольных напитков;
- острых блюд;
- сладостей.
В ежедневный рацион необходимо ввести соки сырых овощей (картофельный, свекольный) и фруктов, оливковое/кукурузное масло.
Опасность крауроза вульвы
Крауроз вульвы создает благоприятные условия для развития онкологических заболеваний. Согласно статистическим данным, рак у женщин, которым был поставлен данный диагноз, развивается в 35% случаев.
Также при запущенных формах болезни могут образовываться глубокие, плохо заживающие трещины. К ним нередко присоединяются инфекции.
Группа риска
В группу риска по краурозу вульвы входят женщины:
- имеющие лишний вес;
- с нарушением функций щитовидной железы;
- болеющие сахарным диабетом первого/второго типа;
- со сниженным иммунитетом;
- страдающиеот заболеваний пищеварительной системы;
- болеющие кандидозом, бактериальным вагинозом;
- не соблюдающие правил личной гигиены;
- не имеющие постоянного полового партнера.
Профилактика крауроза вульвы
К первичным профилактическим мерам относятся:
- интимная гигиена;
- правильное питание;
- ношение нижнего белья из натуральных тканей.
Вторичная профилактика подразумевает:
- постоянное наблюдение у гинеколога;
- прохождение процедуры вульвоскопии каждые полгода с целью снижения риска развития онкологии.
Данная статья размещена исключительно в познавательных целях и не является научным материалом или профессиональным медицинским советом.
Источник:
Лейкоплакия вульвы: лечение заболевания и что это такое, симптомы, диагностика, применение медикаментов и народных методов + отзывы
Лейкоплакия наружных пол. органов у женщин — широко распространенное гинекологическое заболевание, которое характеризуется поражением слизистой оболочки. Болезнь проявляется в виде белесоватых наростов на слизистой.
Помните. Лейкоплакия вульвы у детей очень редко диагностируется, однако в последнее время прослеживается тенденция к омоложению болезни.
По сути, лейкоплакию половых губ можно рассматривать как предраковое состояние. Как и чем лечить лейкоплакию вульвы, будет указано ниже. Анализ статистических данных показал, что патология диагностируется приблизительно у 5% женщин, однако ее злокачественная трансформация наблюдается у 15-30% пациенток. Недуг у женщин чаще всего выявляется случайно — во время прохода профосмотра.
Лейкоплакия вульвы, как правило, развивается на фоне гормонального дисбаланса, поэтому чаще всего указанная аномалия наблюдается у женщин в период менопаузы и климакса
Что такое «лейкоплакия вульвы»?
Лейкоплакия – дистрофический процесс слизистой вульвы, который протекает в хронической форме. При лейкоплакии выражена пролиферация тканей, а также происходит чрезмерное ороговение эпителия, что впоследствии приведет к структурным изменениям и склерозированию

Лейкоплакия заметна как визуально, так и обнаруживается после инструментальных и лабораторных анализов. Это состояние считается предраковым и часто имеет неблагоприятный прогноз. Лечения, которое могло бы восстановить здоровье тканей, еще разработали, поэтому терапия несет больше поддерживающий характер (если не применяют хирургическое вмешательство).
Многослойный эпителий вульвы может поражаться по разным причинам, однако точной взаимосвязи с каким-либо фактором пока не обнаружено. Дистрофические изменения со временем приводят к образованию рогового слоя и гиперкератоза.
Это заболевание поражает преимущественно женщин, которые входят в период менопаузы или уже испытывают гормональную перестройку.
Лейкоплакия часто наблюдается одновременно с краурозом вульвы – ее атрофическими изменениями.
Дистрофические процессы, которые происходят в органе, в несколько раз повышают риск развития рака, поэтому своевременная диагностика очень важна для сохранения здоровья пациентки.
Виды и формы заболевания
Существует несколько вариантов течения, каждый из которых имеет специфическую симптоматику, особенности лечения и прогноз.
Плоская
Данный вариант – самый распространённый. В 90% случаев патология выявляется при профилактических осмотрах или во время обращения к стоматологу по поводу других заболеваний. Клинических проявлений длительное время нет. Спустя несколько месяцев возникает чувство жжения, давления и втянутости.
При поражении языка, за счёт перерождения эпителия вкусовых сосочков, теряется вкусовая чувствительность.
Плоская лейкоплакия представляет собой сухую шероховатую поверхность, которую невозможно удалить
Очаги лейкоплакии могут иметь любую форму и размеры (описаны случаи, когда вся слизистая оболочка подверглась дискератозу). На слизистой оболочке щёк чаще всего поражается область вокруг выводных протоков слюнных желёз.
Локализация на языке, нёбе или дне ротовой полости обуславливает появление белых полос с участками более тёмного окраса. У 50% больных образования возвышаются над поверхностью на 1-3 мм.
Характерно появление налёта, который не соскабливается шпателем.
Цвет бляшек: белый, серый или молочный. Инфицирования обычно не возникает, так как деятельность иммунных барьеров не нарушена.
Веррукозная
Данный тип – следующий, после простой формы. При дальнейшем продолжении воздействия провоцирующих факторов (курение, употребление алкоголя и острой пищи) отклонение неуклонно прогрессирует. Гиперкератоз становится более выраженным. Верхние слои эпителия уплотняются и значительно возвышаются (на 3-5 мм). При ощупывании они плотные, твёрдые и немного подвижные. Боль не характерна.
Вариант веррукозной лейкоплакии, возникшей на нижней части языка
Цвет постепенно сменяется на желтоватые оттенки. Типичные жалобы: сильное жжение при воздействии воды и пищи, ощущение стянутости и шероховатости, дискомфорт в ротовой полости.
Характерная особенность – частое перерождение в онкопатологию.
Эрозивная
Простой и веррукозный варианты в 25-30% случаев, при отсутствии лечения, переходят в данную форму. На патологических образованиях появляются множественные трещины и язвочки, вызывающие резкую боль. Размер открытых ран постепенно увеличивается, достигая значительных размеров. Приём пищи, речь, движения в нижнечелюстном суставе становятся практически невозможными.
Дополнительно может произойти инфицирование и появление воспалительных процессов в ротовой полости (гингивит, стоматит и т. п.).
Лейкоплакия Таппейнера
Такая форма обычно преследует лиц, злоупотребляющих курением. Доказано, что использование 10 сигарет в день повышает риск развития лейкоплакии Таппейнера в 50 раз. Очаги локализуются на мягком и твёрдом нёбе, крайне редко – на дёснах.
Лечение лейкоплакии Таппейнера заключается в полном отказе от курения
Слизистые оболочки приобретают серый или синеватый окрас, становятся складчатыми. Из-за обструкции протоков слюнных желёз секрет скапливается в тканях, приводя к застою и инфицированию. Клинически это проявляется появлением множественных красно-бордовых узелков и частыми инфекционно-воспалительными заболеваниями полости рта.

После прекращения воздействия табачного дыма очаги могут подвергнуться регрессированию и полностью исчезнуть.
Мягкая
Данный вид – доброкачественная опухоль слизистой оболочки полости рта. Поражённые участки сильно шелушатся, характерно отпадение целых кусков ороговевшего эпителия. На очагах формируются множественные трещины и язвы, которые могут привести к кровотечениям. Опухоль может достигать значительных размеров – до 4-5 см в диаметре и до 1 см в высоту.
Мягкая форма лейкоплакии представляет собой доброкачественное новообразование
Предполагаемая причина – хронические стрессы, депрессия, а так же резкие колебания гормонального фона (например, после отмены глюкокортикостероидной терапии).
Стадии заболевания
Изменения при лейкоплакии происходят медленно. Без адекватного лечения проявления заболевания усугубляются, а прогноз ухудшается. В зависимости от стадии клинической картины, выделяют три формы лейкоплакии:
- Плоская. На вульве появляются белые бляшки, которые можно удалить ватным тампоном, но затем они возникают вновь. Кроме этого, видимых изменений в пораженной области нет. Площадь поражения может быть разной – от ограниченного участка до покрытия всей вульвы.
- Гипертрофическая. Пятна приобретают серо-белый оттенок. Ткани вульвы становятся выпуклыми в некоторых местах, а воспаленные очаги сливаются в большую область поражения. На этой стадии удалить пятна с поверхности слизистой невозможно.
- Бородавчатая. НА этом этапе лейкоплакию расценивают как предраковое состояние. Пятна превращаются в бородавки белого цвета и заметно выступают над поверхностью. Из-за выпуклого строения образования могут повреждаться, что приводит к появлению ссадин, трещин, усилению воспалительного процесса или инфицированию.
Крем Иранский шафран при лейкоплакии
Можно сказать, что в Пекинском научно-исследовательском институте произошел прорыв медицины — получено не гормональное средство, которое в 98% случаев дает 100% устранение лейкоплакии. Набор крема Иранский шафран предусматривает не 1, а 2 средства:
- Лосьон для вымывания (оказывает очищающее и антисептическое действие).
- Биоактивный крем (питает и восстанавливает пораженные зоны).
У средства нет противопоказаний или побочных эффектов. Единственным последствием может быть индивидуальная непереносимость. Для проверки, перед началом регулярного применения, нанести небольшое количество средства на тыльную поверхность кисти и подержать 10 минут. Если в течение суток нет аллергической реакции — крем можно смело использовать.
После острой фазы крем Иранский шафран при лейкоплакии вульвы рекомендуется продолжать использовать в целях профилактики.
Таким образом, лейкоплакия в настоящее время успешно лечится и диагностируется. Выбор метода устранения недуга зависит от степени поражения. Самолечение может быть опасным и привести к не желаемым последствиям, поэтому обязательно нужна консультация специалиста.
На видео о лечении лейкоплакии вульвы у женщин и крауроза методом ФДТ:
Источник:
все о лечении гиперкератоза вульвы
Лейкоплакия вульвы – хронический дистрофический процесс слизистой оболочки вульвы, выражающийся пролиферацией и повышенным ороговением многослойного плоского эпителия и дальнейшим склерозированием тканей. Лейкоплакия вульвы проявляется наличием белесых бляшек на слизистой, зудом, жжением, болью в области наружных гениталий.
Лейкоплакию вульвы диагностируют с помощью гинекологического осмотра, вульвоскопии, проведения Шиллер-теста, прицельной биопсии.
Лечение лейкоплакии вульвы направлено на уменьшение выраженности ее проявлений и поддержание иммунной защиты; включает гормонотерапию, физиотерапию; по показаниям — хирургическое иссечение единичных очагов или экстирпацию вульвы.
Лейкоплакия вульвы
Лейкоплакия вульвы является основным проявлением плоскоклеточной гиперплазии — дистрофического заболевания вульвы с поражением многослойного плоского неороговевающего эпителия.
При лейкоплакии вульвы наблюдается появление в норме отсутствующих в эпителии рогового и зернистого слоев, развитие пара- и гиперкератоза, акантоза (без клеточной и ядерной атипии или с атипией).
Чаще всего лейкоплакия вульвы наблюдается в период климакса и в менопаузе.
Лейкоплакия вульвы может предшествовать или сочетаться с краурозом вульвы ; в последнее время их количество возрастает, причем среди молодых пациенток.
При лейкоплакии вульвы существует риск развития клеточной атипии и потенциальная возможность ее перерождения в рак вульвы (от 5 до 35 % случаев), а при сочетании с краурозом этот риск повышается.
Классификация форм лейкоплакии вульвы
По степени выраженности гиперкератоза выделяют три формы лейкоплакии вульвы: плоскую (простую), гипертрофическую и бородавчатую. Плоская лейкоплакия вульвы характеризуется появлением на поверхности вульвы плоских гладких белесоватых пятен без видимых явле

Источник
Гиперкератоз — это состояние поверхностного слоя кожи, выражающееся в увеличении количества кератиновых клеток рогового слоя эпидермиса без изменения их строения, приводящее к утолщению кожного покрова пораженной области. При гиперкератозе кожа теряет эластичность, становится малорастяжимой (ригидной), снижается ее чувствительность к внешним раздражителям.
Понятие гиперкератоз связано не только с изменениями кожи. При развитии патологического процесса в эпителиальных клетках, выстилающих шейку матки, так же говорят о наличии гиперкератоза.
Практически у любого человека с возрастом или под влиянием неблагоприятных факторов может отмечаться усиление физиологического ороговения кожи стоп и ладоней. Люди, страдающие внутренними обменными заболеваниями, а особенно сахарным диабетом, подвергаются более высокому риску развития гиперкератоза.
Широко распространен гиперкератоз при самом частом кожном заболевании – грибковом поражении кожи и грибке ногтей, имеющееся у каждого пятого человека на Земле.
Распространенный или диффузный – поражены большие поверхности, например кожа стоп, спина, конечности или все тело, что наблюдается при ихтиозе.
Причины гиперкератоза
Эндогенные факторы, то есть имеющие происхождение внутри организма, способствуют изменениям в работе клеток поверхностного слоя кожи. На этот процесс можно повлиять только лечением причинного заболевания, что позволит замедлить скорость образования ороговевающих клеток и улучшить их отшелушивание.
Экзогенные факторы, то есть находящиеся вне организма и не зависящие от него, наиболее распространенны. Самой частой причиной является избыточное давление на клетки кожи, стимулирующее рост кератиновых клеток и приводящее к утолщению кожи.
Особенно активно провоцирует ра
Источник
Гиперкератоз – патологическое утолщение рогового слоя эпидермиса. Он возникает в том случае, когда клетки крайнего слоя делятся с большой скоростью, а отшелушивание ороговевших клеток, наоборот, замедленно. Вследствие этого и происходит уплотнение участков кожи.
Причины развития гиперкератоза
Внешние причины – неправильно подобранная, слишком тесная обувь или одежда, которые натирают кожу, тем самым травмируя ее.
Симптоматика
Основные признаки гиперкератоза – избыточная сухость кожи, ее утолщение. Кожные покровы становятся неровными, бугристыми, могут покрываться мелкими пятнышками от желтого до ярко-красного цвета. В более запущенных случаях образуются папулы, которые самостоятельно не проходят.
Классификация
Фолликулярный гиперкератоз. Развивается вследствие закупорки фолликулярных протоков чешуйками ороговевшей кожи.
Основные симптомы – на месте фолликул появляются небольшие красные прыщики, а сама кожа становится шероховатой. Затрагивается в основном кожа локтевых и коленных суставов, внутренней и внешней поверхностей бедер.
При дальнейшем развитии заболевания оно распространяется на верхние и нижние конечности.
Гиперкератоз кожи головы. Чаще всего протекает бессимптомно, основной жалобой при нем является сухость кожи.
При гиперкератозе лица отмечаются высыпания в виде небольших пятнышек и прыщиков, при повреждении волосистой части головы – перхоть, секущиеся слабые волосы, а при отсутствии лечения может произойти частичное облысение.
При этом, после устранения заболевания, выпавшие волосы не отрастают, так как происходит вымирание волосяных луковиц.
Гиперкератоз стоп. Он проявляется увеличением ороговения кожи в области подошв, толщина которого может колебаться от нескольких миллиметров до нескольких сантиметров. Если лечение не было проведено вовремя, на подошвах стоп могут об
Источник
Периоды менопаузы и климакса всегда сопряжены с гормональной перестройкой организма женщины и нередко осложняются появлением различных неприятных симптомов и заболеваний.
Одним из таких гинекологических недугов, относящихся к предраковым состояниям, является лейкоплакия вульвы.
Вначале это заболевание может протекать абсолютно бессимптомно, а при отсутствии своевременного лечения может приводить к развитию онкологического процесса.

Лейкоплакия вульвы (или склеротический лишай) является дистрофическим заболеванием вульвы с проявлениями плоскоклеточной гиперплазии выстилающего вульву многослойного плоского эпителия.
При этом заболевании наблюдается появление в тканях вульвы в норме отсутствующих роговых и зернистых слоев, которые приводят к развитию акантоза, пара- и гиперкератоза.
Это заболевание может сочетаться с краурозом вульвы, и такие клинические случаи в последние годы все чаще наблюдаются в практике гинекологов.
При лейкоплакии вульвы озлокачествление клеток и развитие рака вульвы наблюдается у 13-30% пациенток, а при сочетании с краурозом риск появления раковой опухоли повышается. К сожалению, врачи отмечают и тот факт, что это гинекологическое заболевание становится «моложе» и все чаще выявляется и у женщин молодого возраста.
В этой статье мы ознакомим вас с причинами, симптомами, способами диагностики, лечения и профилактики лейкоплакии вульвы. Эта информация позволит вам вовремя начать лечение и предупредить развитие тяжелых осложнений.
Причины
Пока современная медицина не может дать точного ответа о причине развития лейкоплакии вульвы в каждом конкретном клиническом случае, но врачам хорошо известны те факторы, которые могут привести к изменениям в клеточном составе эпителия вульвы. К ним относят:
Психиатры рассматривают лейкоплакию как психосоматическое забо
Источник
Гиперкератоз – это патология кожи, которая характеризуется чрезмерной скоростью деления клеток рогового слоя и одновременно нарушением их слущивания. Сам термин является симбиозом двух греческих слов – hyper («много») и keratosis («кератин»).
Причины заболевания
Причины возникновения гиперкератоза делятся на две большие группы – внешние или экзогенные и эндогенные или внутренние.
Нарушение кровообращения в различных участках тела (чаще всего – в нижних конечностях) – варикозное расширение вен, облитерирующий атеросклероз.
Внешние причины особенно актуальны для возникновения гиперкератоза стоп. Основным пусковым механизмом данной формы патологии является слишком долгая или чрезмерная нагрузка на нижние конечности:
Какова бы ни была изначальная причина, развитие заболевания происходит из-за нарушения трофики в верхнем слое кожи – эпидермисе, а также ее иннервации. Результат не заставляет себя долго ждать – клетки рогового слоя продолжают делиться в обычном или ускоренном режиме, а вот процессы слущивания тормозятся, что приводит к утолщению эпидермиса.
Клиническая картина
Эта форма патологии возникает при недостатке витаминов А и С, а также при несоблюдении правил личной гигиены. Генетическая предрасположенность также играет существенную роль в развитии данной патологии.
Из-за нарушения отслойки ороговевшего эпителия протоки фолликулов волос закупориваются и приобретают вид бугорков или прыщиков. Чаще всего поражаются те участки кожного покрова, которые склонны к сухости – это область локтей, коленей, ягодиц и наружной поверхности бедра.
онемение бедер и слабость в ногах
Симптом, когда немеет нога от бедра до стопы встречается довольно часто. Но мало кто знает о причинах этого симптома и правильном лечении патологии, связанной с онемением ног.
Симптомы онемение ноги
Если болезнь не лечить и не устранить влияние неблагоприятных факторов (низкие температуры, неудобная одежда), гиперкератоз захватывает все большую площадь. Постепенно вокруг фолликулов
Источник как можно лечить шрамы от ожога
Ожоги являются коварными травмами, так как после их излечения на теле остаются рубцы. Современная мазь от рубцов от ожогов помогает в лечении шрамов еще до момента их формирования.
Кроме мазей, помочь в лечени
Здравствуйте! Скажите в каком возрасте может развится лейкокрауроз вульвы? И какие признаки этого заболевания должны присутствовать при этом (кроме зуда), и какие изменения вульвы могут произойти за год при таком заболевании? Разъясните мне мою ситуацию, которая мучает меня на протяжении года.
Сейчас мне 27 лет, а год тому назад было 26 лет. Мне после 2 родов прописал гинеколог принимать ОК, « Линдинет 20», несмотря на то что у меня кандидоз. С приходом месячных я начала их принимать, и через месяц принятия таблеток у меня начался зуд вульвы, сперва я не обращала внимания т.
к раньше тоже такое было из-за молочницы, продолжала принимать таблетки на протяжении 3 мес. зуд продолжался, были выделения молочные, когда я посмотрела что там, то увидела на большёй половй губе, между слизистой и волосянным покровом выше к лобку, небольшёе белое пятнышко.
После подмывания его видно сильнее, а ужев течении дня очень плохо, как будьто оно проходит. Обратившись к гинекологу, он взял анализы, мазки на онко и простой, и сделал отпечаток с вульвы. Анализы показали: Мазки, онко цитограмма без особенностей, простой, дрожжи и мабилункус. А отпечаток, гиперкератоз плоского эпителия.
Мне сказали что у меня лейкокрауроз вульвы. Но ведь это болезнь развивается в период климакса, а мне 26 лет, регулярные меаячные. Я поехала в Тюмень, гинеколог- кандидат мед. наук Лтенкова Надежда Юрьевна.
Она сделала мн пробу, окрасила вульву раствором напоминающий йод, и сказала, что никокого лейкокрауроза у меня нет, что всё окрасилось, а свой отпечатки выкинуть, и поставила диагноз хр. кандидоз вульвы, хр. урогенит. Назначила лечение мне и мужу, пролечившись стало легше зуд прошёл, но пятнышко сохраняется, меня оно в принципе не беспокоит, но мысли постоянно сидят в голове, о плохом. Переодически дрожжи обостряются и сово вызывают дискомфорт, я сново ездила к Ла

Источник
Дословный перевод с греческого термина «гиперкератоз» – «много кератина». Гиперкератоз стоп – чрезмерное ороговение и утолщение эпидермиса в области подошвенной поверхности стоп.
Такая патология – неопасное состояние для здоровья, является косметическим дефектом и причиняет неудобства во время ходьбы.
Но не стоит относиться к этому слишком легкомысленно, так как проблемы с кожей отражают общее состояние организма.
Диагностика гиперкератоза основывается на внешнем осмотре стоп дерматологом, подологом или ортопедом, результатах биопсии кожи с последующим гистологическим исследованием материала.
Осложнениями такой патологии становятся точечные кровоизлияния, язвочки, появляющиеся из-за повышенного давления на стопу, мягкие и твердые мозоли, изъязвление кожи стоп, что требует проведения специальных процедур.
Причины гиперкератоза стоп
Гиперкератоз стоп развивается по многим причинам. В медицине их принято делить на экзогенные и эндогенные, то есть внешние и внутренние.
Гиперкератоз кожи может возникнуть при ношении грубой одежды или обуви, которая сильно давит или трет кожу. Защищая внутренние органы, организм ускоряет деление клеток и замедляет процессы слущивания.
Самое большое давление приходится на стопы, именно в этой зоне чаще всего происходит нежелательное огрубление кожи. Если долго носить узкую или тесную обувь, кожа на отдельных участках стопы станет грубее и толще.
Но носить старую стоптанную обувь или же туфли, не подходящие по размеру, не менее вредно;
Туфли на высоких каблуках обеспечивают распределение давления не по всей стопе, а лишь на пятку и основание пальцев. Именно поэтому процент женщин, страдающих начальными признаками гиперкератоза, гораздо больше, чем мужчин.
Врожденные и приобретенные деформации стопы (плоскостопие, косолапость, изменения стопы после тра
Источник
Источник:
Причиныи предрасполагающие факторы заболевания
Развитиекрауроза вульвы в основном связано снейроэндокринными нарушениями. Чащевсего данная патология встречается впре- и постменопаузальном периодах,когда снижается и прекращается выработкаэстрогенов.
Такжепричиной заболевания в репродуктивномвозрасте может стать недостаточнаядеятельность (гипофункция) корынадпочечников, яичников или щитовиднойжелезы. Удаление яичников в молодомвозрасте зачастую приводит к возникновениюкрауроза вульвы. Кроме того, развитиезаболевания нередко связывают с ожирениемили сахарным диабетом.
Не отрицаетсяроль и инфекций, в частности длительноперсистирующих в организме вирусапапиломмы человека или простого герпеса.Нередко причиной развития патологииявляются хронические воспалительныепроцессы органов малого таза (эндометрит,аднексит).
К факторамриска развития заболевания относятсямногочисленные аборты (приводят кнарушению гормонального фона), частыеспринцевания (это не только подавляетнормальную микрофлору влагалища ивульвы, но и ведет к ожогам слизистойоболочки).
Диагностикакрауроза вульвы.
- Вульвоскопия (безболезненный осмотр с помощью кольпоскопа — специальный микроскоп для исследования шейки матки, влагалища и вульвы);
- Биопсия — забор кусочка (фрагмента) подозрительной ткани с последующим гистологическим исследованием оперативного материала;
- Микроскопическое исследование на флору мазка из уретры, шейки матки и влагалища, цитологическое исследование соскобов шейки матки и цервикального канала на атипичные клетки;
- Исследование мазков методом ПЦР на вирус папилломы человека высокого онкогенного риска;
- Клинический анализ крови;
- Иммунограмма;
- Консультации у специалистов: дерматовенеролог, эндокринолог, психотерапевт, сексопатолог, аллерголог.
Лечение крауроза
Послеустановки окончательного диагнозавыбирается один из вариантов лечения:
- Медикаментозная методика: включает в себя сочетание гормонозаместительной и симптоматической медикаментозной терапии, а также применение плацентарной терапии (препарат «Мэлсмон») и плазмотерапии PRP (применение аутоплазмы, обогащенной тромбоцитами).
- Лазерная методика воздействия по технологиям IntimaLase и IncontiLase аппарата Fotona.
- Сочетанная методика: включает в себя сочетание медикаментозной методики с методиками лазерного воздействия IntimaLase и IncontiLase аппарата Fotona на ткани наружных половых органов.
Милые женщины! Приглашаем Вас посетить нашу клинику эстетической медицины, косметологии и гинекологии «SOLA», пройти необходимое обследование и задать все интересующие вопросы врачу гинекологу-эндокринологу, специалисту в эстетической гинекологии.
Наша цель – помогать нашим пациентам совершенствовать здоровье и красоту, а значит повышать качество жизни. И заслужив доверие однажды, мы сделаем все от нас зависящее, чтобы сохранить его навсегда!
Рекомендуем
Источник:



