Гиподенсивные образования в печени: что это такое, диагностика и лечение
Гиподенсивные образования в печени возникают по различным причинам, это могут быть метастазы, кисты, опухоли, злокачественные новообразования. Если очаг превышает диаметр 4 сантиметра, показано проведение биопсии, сдача анализов крови на наличие маркеров гепатита для исключения онкологических заболеваний.
Характеристики печеночных очагов
Все объемные новообразования, определяемые при проведении компьютерной томографии, разделяют в зависимости от ряда параметров: плотность, структура, форма, контуры, размер, локализация.
Плотность
Плотность – это основная характеристика любой ткани, измеряется на компьютерной томографии в единицах Хаунсфилда. По плотности бывают очаги гиподенсивные, гиперденсивные, изоденсные. По показателю плотности есть основания предполагать, что находится в структуре очага, присутствует ли жидкость, кровь, мягкотканные компоненты.
Структура
Кисты подразделяют на многокамерные и однокамерные, в них присутствуют или отсутствуют видимые стенки, содержится желчь. Внутри определяется инородное тело либо паразит, мягкотканный или кистозный компонент.
При некрозе может быть неоднородная структура, о длительности патологического процесса свидетельствует выявление кальцинатов, извести.
Форма и контуры
По форме образования приближаются к шару вытянутой, неправильной формы. Контур:
- неровный или ровный;
- нечеткий или четкий;
- видимый по всему периметру либо только на ограниченном участке.
Размер
Измерение образования проводится на аксиальном срезе, при необходимости контрольного исследования выбирают так называемый маркерный очаг. Динамика изменения размеров очага оценивается спустя время.
Локализация
Чтобы врач видел всю картину, в описании компьютерной томографии необходимо указать локализацию патологии. Очаг может быть расположен:
- в глубине печени;
- около с венами;
- рядом с желчным пузырем и протоками.
Такая информация наводит на мысли об этиологии проблемы.
Количество
Численность патологических участков может варьироваться. Солитарный очаг в печени всегда одиночный, при раке таких измененных участков множество. При выявлении одного метастаза врач ставит стадию М1 (по системе измерения TNM).
Но при этом необходимо помнить, что множественные очаговые образования далеко не всегда являются метастазами. Доктору потребуется еще провести дифференциальную диагностику, тщательно сопоставив все имеющиеся признаки.
Особенности накопления контрастного вещества
Чем выше накопление контрастного вещества, тем лучше ткань снабжается кровью. И наоборот, чем медленнее паренхима накапливает контраст, тем хуже развита сосудистая сеть.
Чем активнее падает плотность тканей после завершения введения вещества, тем интенсивнее кровоток в пораженных местах печени.
Что такое гиподенсивность, когда она проявляется
Под термином гиподенсивность необходимо понимать снижение плотности тканей печени. Каждая ткань человеческого организма отличается определенной плотностью, что видно на томографических и рентгеновских снимках. При патологиях печени структура органа становится неоднородного цвета, присутствуют затемненные участки. Обнаружение такого очага говорит о развитии заболевания.
Подобные изменения плотности могут быть симптомом любой патологии, от доброкачественных новообразований и до опасных для жизни злокачественных опухолей с метастазами. В ряде случаев гиподенсивные образования обусловлены наличием врожденных патологий.
Медицине известно большое количество болезней, при которых в ходе диагностики выявляются гиподенсивные образования. Нарушение является симптомом гемангиомы, аденомы печени, очаговой узловой гиперплазии, жировой инфильтрации, например, от неправильной диеты при сахарном диабете первого и второго типа.

Кроме этого, уплотнения в печени определяются при состояниях:
- очаговая узловая гиперплазия;
- билиарная гамартома;
- печеночная лимфома;
- гепатома.
Гиподенсивный очаг в печени диагностируют при гемангиосаркоме печени, внутрипеченочной холангиокарциноме, метастазах, простых кистах печени, кистозных новообразованиях общего желчного протока, поликистоза печени.
По гиподенсивных образованиях определяют глистные инвазии (эхинококкоз), гнойный, амебный, грибковый абсцесс, инфаркт или разрыв печени, инкапсулированную гемангиому, болезнь Кароли.
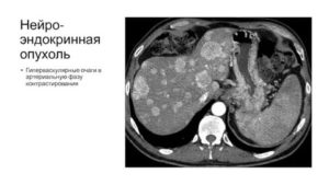
Гиперваскулярное образование
Противоположностью гиподенсивным образованиям являются гиперденсивные ткани. Плотность элемента намного выше остальных участков печени. При проведении томографии подобные образования выглядят более светлыми.
Гиперваскулярный очаг в печени связывают с формированием доброкачественных или злокачественных опухолей. Патологическое состояние характерно для метастазирования из внутренних органов, расположенных рядом: кишечник, молочные железы, легкие, половые органы, грудная клетка.
План терапии определяется причинами возникновения проблемы, поскольку изменения тканей нельзя назвать самостоятельным заболеванием, они являются только проявлением какого-либо недуга.
Уплотнения характеризуют два вида гиперплазии:
- классическая;
- неклассическая.
Классическая гиперплазия определяется примерно в 70% случаев патологии, для него характерна аномальная структура, центральный рубец. При неклассической форме диагностируется гиперплазия желчных протоков, изменение состояния кровеносных сосудов. Чаще нарушение наблюдается у женщин в возрасте 35-50 лет.
Первое время симптомов заболевания вовсе не возникает, определить проблему можно только при проведении диагностики.
Заболевания при гиподенсивных образованиях в печени
Такой симптом как гиподенсивные образования диагностируются при аденоме, жировой дистрофии печени, гемангиоме, холангиокарциноме.
Гемангиома
Гемангиома – доброкачественное образование, возникает в результате расширения кровеносных сосудов, размер может достигать от 2 до 13 сантиметров. Длительное время очаг развивается бессимптомно, первые дискомфортные ощущения появляются в тот момент, когда опухоль достигает внушительных размеров. Не исключается перерождение в злокачественное образование.
Аденома печени
Аденома печени является опухолью, которая состоит из эпителиальных клеток, отгороженных от остальных тканей капсулой. Среди симптомов, по которым можно заподозрить заболевание:
- постоянная жажда;
- болезненность под правым ребром;
- бледность кожных покровов.
Обычно недуг обнаруживается у женщин, длительное время принимавших оральные противозачаточные препараты.
Жировая дистрофия
Жировая дистрофия отличается нарушением функций гепатоцитов, дополнительно у пациента появляются проблемы с аппетитом, изменяется работа кишечника.
Гемангиосаркома печени
При гемангиосаркоме здоровые гепатоциты замещаются злокачественным образованиями. Заболевание становится частым спутником мужчин, длительное время злоупотребляющих алкогольными напитками.
Метастазирование
Метастазы являются вторичным очагом злокачественной опухоли любой этиологии и локализации. Метастазирование в печень свидетельствует о раке:
- желудка;
- поджелудочной железы;
- молочных желез;
- легких.
Как правило, метастазы появляются на поверхности левой доли печени, так как именно этот участок располагается максимально близко к поджелудочной железе.
Холангиокарцинома
Холангиокарцинома – это злокачественное новообразование, поражающее печень, желчные протоки. Вероятность возникновения патологии увеличивается у курильщиков, пациентов с синдромом Крона, гепатитом C, ВИЧ-инфицированных.
Что необходимо для дополнительной диагностики
Если в заключении компьютерной томографии указано, что присутствует гиподенсивное образование, пациенту назначают дополнительные исследования. Принимая во внимание внушительный перечень возможных причин патологического состояния, показана комплексная диагностика.

Для начала сдают общий, биохимический анализ крови. Затем пациенту назначается магнитно-резонансная и компьютерная томография с применением контрастных веществ. Чтобы процедуры были максимально информативными, к ним необходимо правильно подготовиться.
Компьютерная томография – это современный высокочастотный метод диагностики, основанный на применении рентгеновских лучей. Поскольку процедура при частом проведении несет опасность для здоровья, ее проходят строго по показаниям. Без крайней необходимости облучаться не стоит.
Несомненным плюсом компьютерной томографии следует назвать высокую стандартизацию метода, снимки получаются качественными независимо от квалификации доктора, проводившего исследование. Доза облучения, которую больной человек получает при проведении КТ, при разумном применении не способа причинить вред.
Если сравнивать компьютерную томографию и ультразвуковое исследование, выбор делают в пользу первого метода.
Для получения качественных снимков и точных результатов пациенту за несколько часов до КТ запрещено употреблять пищу. Перед манипуляцией необходимо снять с себя все металлические предметы:
Не менее важно поставить в известность врача о наличии кардиостимулятора, аллергических реакциях на введение контрастного вещества.
Магнитно-резонансная томография показана для исследования состояния печени с использованием ядерно-магнитного резонанса. Процедура также проводится при наличии строгих показаний. Как и КТ, МРТ является высокочастотным стандартизованным методом диагностики, но преимущество заключается в отсутствии облучения.
МРТ проводится всегда только на голодный желудок, последний прием пищи должен быть не позднее, чем за 5 часов до исследования. Перед процедурой с тела снимают все металлические предметы.
Как устранить патологию?
Лечение гиподенсивных образований в печени проводится сразу же после визуализации, подтверждения предполагаемого диагноза. В таком случае риск возникновения различных опасных осложнений, перерождения доброкачественных форм опухолей в злокачественные новообразования минимален.
При обширном поражении предусмотрено проведение хирургического вмешательства, в противном случае пациента могут ожидать серьезные осложнения функционирования фильтрующего органа, есть большой риск разрыва новообразований. Когда очаг покрывает две доли печени, операцию проводить нельзя. Единственным вариантом становится пересадка органа от донора.
Восстановительный период накладывает серьезные и весьма строгие ограничения в питании. Пациенту необходимо постоянно придерживаться здорового образа жизни, полностью отказаться от употребления алкогольных напитков, поскольку они становятся источником вредных токсических веществ. Пагубно на организме после перенесенного лечения скажется и курение.
Из рациона требуется исключить жареные, острые, жирные блюда, полуфабрикаты, консервы. Благодаря правильному питанию легко можно снизить вероятность рецидива патологии. Также время от времени необходимо обследоваться у доктора, чтобы выявить отклонения от нормы как можно раньше.
Источник:
Гиповаскулярные очаги в печени что это
Опухоль печени бывает как доброкачественная, так и злокачественная, причем частота опухолей с метастазами в десятки раз больше, чем первичных.
Все опухоли печени делятся на три вида:
- Доброкачественная опухоль печени или гиповаскулярное образование – это гемангиома, встречается до 3% от всех случаев заболевания, и не требует основного лечения;
- Злокачественная или первичная опухоль – гепатоцеллюлярная карцинома возникает из печеночных клеток, которая развивается на фоне хронических болезней печени, таких как цирроз и холангиоцеллюлярный рак.Эти заболевания развиваются из внутрипеченочных клеток желчного протока. Иногда опухоль имеет признаки обоих типов – смешанный рак. В некоторых случаях клетки трудно определить и дифференцировать, и генез болезни очень размыт, это говорит о не дифференцированной форме рака;
- Самыми частыми формами являются метастатические опухоли, имеющие злокачественные образования в печени. Все симптомы протекают в скрытой форме, кроме гепатоцеллюлярной карциномы. Все опухоли обычно диагностируются при УЗИ органов брюшной полости, случайным образом, в частности при ежегодных медосмотрах, бывают встречаются и у беременных.При подозрении на раковую опухоль требуется диагностика, на наличие паразитарных кист и абсцессов, которые на УЗИ по размеру и объему очень схожи с этим смертельным заболеванием.
Для точной постановки диагноза при опухоли печени необходимо использовать методы исследования печени на КТ, МРТ, УЗИ, также прибегают к гистологическому методу забора материала при помощи открытой биопсии.
Классификация опухолей печени по гистологическому исследованию:
- Доброкачественное эпителиальное образование в печени – аденома внутрипеченочных клеток желчных протоков, цистаденома желчных протоков и печеночноклеточная аденома;
- Злокачественное эпителиальное образование в печени – холангиокарцинома, гепатоцеллюлярный рак, цистаденокарцинома протоков в желчном пузыре, гепатобластома (злокачественные опухоли печени у детей) и недифференцированный рак;
- Опухоли безэпителиальные – гемангиома, гемангиосаркома, эмбриональная саркома, инфантильная гемангиоэндотелиома и другое;
- Другие формы опухолей – тератомы, карциносаркомы;
- Образование в печени без квалификации;
- Рак кроветворной и лимфоидной ткани.
Причины, приводящие к раку печени
- Хронический вирусный гепатит В, С;
- Цирроз печени;
- Хронический алкоголизм;
- Паразитарные болезни (описторхоз, шистосомтоз);
- Гемохроматоз (избыток железа в организме);
- Алкоголизм и курение;
- Длительное воздействие канцерогенных веществ (пестициды, афлатоксины);
- Анаболические продукты, которыми пользуются спортсмены.
Симптомы метастатических поражений печени или mts
Все процессы в печени на начальном этапе протекают бессимптомно, наблюдаются незначительные проявления в виде тошноты, рвоты, общей слабости, потери аппетита, тяжести в правом подреберье. Чуть позже развивается анемия, тупые ноющие боли в области печени, человек сильно худеет.
С развитием заболевания развивается желтуха и сильно увеличивается печень, она может выступать из-под реберной дуги, и при пальпации – имеет очень плотную, бугристую эхогенную структурную поверхность.
При приеме пищи имеется чувство переполненности желудка, даже при малом количестве еды, на фоне заболевания развивается сильная депрессия, с нарушением психики, позже в области живота – асцит и холемические кровотечения.
Симптомы опухоли сопровождаются повышенной температурой и изменения цвета глазного белка до желто-зеленого оттенка. При увеличении опухоли в печени она может сильно сдавливать протоки желчного пузыря, что может вызывать в этом органе застой и приводить к его обострению.
Диагностика
- Выявить природу и характер (первичный или метастатический) тип опухоли;
- Очаговые образования в печени;
- Морфологическая структура;
- Локализация образования левой или правой доли печени;
- Имеются ли отдаленные, множественные метастазы;
- Наличие жидкости в брюшной полости (асцит);
- Сопровождается ли инвазии, рядом с паренхимой печени в окружающие органы и ткани;
- Выяснить наличия поражения кавальных и портальных ворот пораженного органа.
Методы исследования
- УЗИ способно дифференцировать все образования, жидкость, выявить кисты и злокачественные опухоли. Такой метод очень высокоинформативный, а главное недорогой и щадящий. При этом методе можно обнаружить в печени, гиперэхогенное объемное образование (гемангиому) в печени, а также могут выявиться изоэхогенные метастазы, которые можно увидеть по гипоэхогенным контурам.
- МРТ или магнитно-резонансная томография помогает обнаружить внутрипеченочные отсевы развивающейся опухоли и ее дальнейшее распространение на ворота печени. Также этот метод позволяет выявить гиперваскулярное образование печени (узловые гиперплазии, гемангиомы, аденомы, разрывы).
- Пункционный тонкоигольный метод цитобиопсии – при помощи специальных игл 10-15 см, берется специалистом в амбулаторных условиях.
- Ангиография – это рентгенологический способ исследования сосудов печени, дает очень полную информацию о характере опухоли и метастазах внутри органа и за его пределами. Четко просматриваются все артерии, воротные вены, ворота пораженного органа, что позволяет судить о резектабельности всех процессов в печени.
- Лапароскопический метод, который помогает выявить образование в печени, а также на поверхности органа и в области брюшной полости распространенности метастаз. Это пункционная биопсия с отличной видимостью, которая помогает ставить точный диагноз, чтобы не допустить нежелательной операции (лапаротомии), с массой неприятных последствий (кровотечений и т.д. ).
Лечение
Основной метод лечения злокачественной опухоли только хирургическая операция, дающая возможность больному прожить значительное время.
Делается резекция органа или частично его сегментов, где находятся метастазы. Но главным методом, в лечении остается химиотерапия, которая дает временный результат, улучшая ненадолго общее состояние больного.
Лучевая терапия при таких метастазах используется очень редко.
Источник:
Гиперваскулярные образования печени
В основном гиперваскулярное образование печени не является отдельным недугом, а развивается на фоне сопутствующих патологических процессов, что затрагивают функциональность и структуру органа.
Для патологии характерно уплотнение отдельных участков паренхимы, что заметно при проведении рентгеновского исследования. Основным признаком такого нарушения является дискомфорт в правом подреберье.
Особенности и причины патологии
Гиперваскулярные очаги в печени указывают на развитие патологического процесса в организме, поэтому требуют дополнительной диагностики. Назначение лечебной терапии проводится после консультации с онкологом, гастроэнтерологом или гепатологом.
Гиперваскулярное патологическое состояние характеризуется изменением структуры тканей печени с существенным уплотнением в некоторых участках органа. Очаг хорошо заметен на рентгеновском снимке, так как отличается усиленным отражением лучей и повышенной эхоплотностью. Диагностируется как белое вкрапление в структуре печени.
Для измененных тканей характерно скапливание жидкости из-за развитой сосудистой сетки.
Гиповаскулярные очаговые образования отличаются снижением плотности паренхимы и на рентгене выглядят как затемнения в органе.
Причины развития
Печень поражается в следствии метастазов в пораженном органе.
Наличие гиперваскулярного уплотнения свидетельствует о развитии сопутствующего патологического процесса в организме.
Как правило, подобное состояние отмечается при инфекционном поражении или образовании опухоли в других органах с метастазами в печень. При этом сами очаговые уплотнения могут иметь как доброкачественный, так и злокачественный характер.
Метастазные образования поражают печень, если развивается опухоль молочной железы, мочеполовой системы, желудка, органов брюшной полости и легких.
Самой опасной причиной возникновения гиперваскулярных образований считается гепатоцеллюлярное злокачественное новообразование в структуре внутреннего органа. Опухоль развивается из основных клеток паренхимы и отмечается как последствие активности цирроза печени.
Провоцирующим фактором выступают вирусные формы гепатита, злоупотребление алкоголем и систематический прием некоторых лекарственных препаратов. Злокачественное поражение чаще диагностируется у пожилых мужчин.
В основном гиперваскулярное состояние тканей имеет доброкачественное течение и развивается вследствие следующих патологических состояний:
- уплотнение клеток паренхимы (аденома);
- сосудистое скопление (гемангиома);
- повышение давления в некоторых участках ткани (гиперплазия).
Основная симптоматика
Прогрессирование болезни имеет ярко выраженные симптомы.
Все структурные и функциональные нарушения в печени на начальных этапах развития не имеют клинического проявления. При гиперваскулярных изменениях симптоматика слабовыраженна.
Изначально проявляются признаки общего недомогания в виде слабости и быстрой утомляемости. Основным симптомом патологического состояния является чувство тяжести и распирания в правом боку. Иногда отмечается иррадиация в эпигастральную область.
Проявления изменения структуры тканей печени развиваются на фоне обширной симптоматики основного недуга.
Диагностические методы
Важно диагностировать патологию на ранних сроках развития, чтобы она не трансформировалась в злокачественное образование. Для установления диагноза врач собирает анамнез и проводит пальпацию брюшины. Далее назначаются исследования, что указаны в таблице:
| Процедура | Что показывает |
| КТ и МРТ | Устанавливают точную локализацию опухолевых образований, их границы и размеры |
| УЗИ | Определяет структурные изменения в органах |
| Биохимия крови | Диагностирует количественное соотношение важных элементов и функциональность печени |
| Гистологическая проба | Устанавливает наличие раковых клеток |
Как проходит лечение?
В ходе операции пораженные участки иссекают.
При гиперваскулярных образованиях медикаментозная терапия не является действенным методом. В основном очаговые уплотнения подлежат удалению оперативным путем. Для устранения образований с небольшим диаметром, менее 40 мм, проводится пункция тканей. Для удаления более крупных экземпляров используют резекцию пораженных участков печени.
При злокачественном течении патологического состояния требуется воздействие в виде лучевой терапии. При метастазах используется монохимиотерапия. По окончании основной терапии важно проходить профилактические обследования во избежание рецидивного возникновения недуга или распространения метастазов.
Особую роль играет реабилитационный период после проведения основного лечения. Проводится изменение питания и образа жизни. Из рациона исключаются жареные, соленые, копченые и жирные блюда. Вводятся овощи, фрукты и молочная продукция. Полностью прекращается употребление алкогольных напитков и курение. Обязательно проводится контроль жидкости в организме с коррекцией питьевого режима.
Источник:
Опухоль печени (гиповаскулярный очаг в онкологии, гиподенсное, очаговое образование): симптомы, лечение, сколько живут
Печень — орган, который больше всех подвержен развитию ряда новообразований различного характера. Но все они требуют незамедлительного лечения, так как могут стать причиной развития опасных осложнений.
Что такое опухоли печени
Новообразования, сформированные на тканях печени, состоят в основном из мутированных клеток. Специалисты выделяют две основные формы заболевания в зависимости от характера течения: доброкачественные и злокачественные.
Но все опухоли могут привести к развитию серьезных осложнений. Опасность патологии состоит в том, что симптомы длительное время не проявляются.
Это обусловлено тем, что печень не имеет собственных нервных окончаний. В результате болезненные ощущения проявляются уже при запущенном процессе. Таким образом, диагностика на ранних стадиях усложнена.

В соответствии со статистикой, чаще всего диагностируются злокачественные опухоли, поражающие печень. В группу риска входят пациенту пожилого возраста, люди, работающие на вредном производстве и злоупотребляющие спиртными напитками.
Классификация
В зависимости от наличия или отсутствия мутированных клеток в составе новообразования выделяют доброкачественные и злокачественные опухоли. Они имеют определенные особенности.
Злокачественные
Заболевание всегда сопровождается выраженными признаками, а образование стремительно увеличивается в размерах. В медицине выделяют первичные, когда патологический очаг находится в печени, и вторичные образования, возникшие в результате метастазирования иных опухолей.
Специалисты выделяют несколько форм злокачественных образований, поражающих печень.
Печеночно-клеточный рак
Образуется из паринхематозной ткани органа. Относится к наиболее часто встречающемуся типу первичной опухоли печени.
Отличается агрессивным течением и возникновением осложнений уже на ранних этапах развития.
Холангиокарцинома
Раковое образование, формирующееся в области протока печени.
Патология выявляется примерно у 10% пациентов, преимущественно у мужчин в возрасте от 45 до 75 лет.
Ангиосаркома
Образование начинает формироваться из эндотелиальных клеток. Представляет собой опухоль с гипоэхогенным ободком, который выявляется при проведении УЗИ. Устанавливается в редких случаях.
Заболевание плохо поддается медикаментозному лечению и становится причиной распространения метастатических поражений.
Гепатобластома
Диагностируется преимущественно у детей. Патология проявляет себя в виде неприятных симптомов в возрасте от 1 до 5 лет.
Гиподенсное образование поражает печень и стремительно распространяется на здоровые ткани.
Доброкачественные
В медицине выделяют несколько форм образований доброкачественного характера:
- Ангиолипома. Формируется из жировой ткани.
- Липома. Способна поражать слизистые оболочки любого органа.
- Лейомиома. Диагностируется в редких случаях.
- Ангиомиолилома. Зачастую патологический процесс затрагивает почки, но может распространяться на печень.
- Эпителиома. Новообразование часто перерождается в злокачественную опухоль.
- Фиброма. Образуется из соединительной ткани, отличается волокнистой структурой и способна перерастать в фибросаркому.
- Гемартома. Имеет вид полой кисты и склонна к мутированию в раковую форму.
- Гемангиома. Новообразование разрастается медленно, имеет бессимптомное течение.
- Цистаденома. Диагностируется в редких случаях. По внешнему виду напоминает папиллому.
Опухоли доброкачественного течения, поражающие печень, могут длительное время не проявлять признаков. При этом патологический процесс распространяется на здоровые ткани, а клетки начинают мутировать.
Причины
Специалисты не установили точные причини развития опухолей печени. Но на основе исследований был выделен ряд провоцирующих факторов. Чаще всего они воздействуют комплексно.
По мнению специалистов, спровоцировать развитие патологического процесса могут генетическая предрасположенность, плохая экологическая обстановка в районе проживания.
Отрицательное воздействие на организм оказывает и продолжительный прием гормональных препаратов, вредные привычки, такие как курение и употребление спиртных напитков.
Также ученые предполагают, что провоцирующим фактором может стать неправильное питание, когда в рационе присутствует большое количество продуктов, содержащих красители, консерванты и другие искусственные вещества.
Исследования позволили установить, что увеличить риск развития новообразований на тканях печени различного характера могут такие заболевания, как цирроз, наросты в толстой кишке, гепатит В, сахарный диабет и гельминтоз.
Симптомы
Клиническая картина зависит не только от стадии развития патологии, но и от характера течения новообразования. Доброкачественные опухоли длительное время не проявляют признаков и выявляются случайным образом при проведении диагностики по поводу других заболеваний.

Раковые образования на начальном этапе своего развития также не сопровождаются симптомами. По мере увеличения размеров устанавливаются болезненные ощущения, локализующиеся в правом подреберье. По мере развития опухоли носят постоянный ноющий характер.
Пациенты жалуются на ухудшение аппетита и снижение массы тела, слабость, тошноту и повышенную утомляемость. Наблюдаются вздутие живота, повышение температуры тела.
В отдельных случаях могут возникать кровотечения из носовой полости и диарея. Кожный покров приобретает желтый оттенок.
Интенсивность симптомов зависит от особенностей организма, формы и стадии развития заболевания.
УЗИ
Ультразвуковое исследование печени направлено на установление вида, формы, размера и месторасположения новообразования. На снимках определяются гиперэхогенные или изоэхогенные новообразования.
Но с помощью УЗИ врач не сможет определить характер течения патологического процесса. Именно поэтому методика не является достаточно информативной.
МРТ
Магнитно-резонансная томография относится к самым точным способам диагностики. С помощью специального аппарата происходит послойное сканирование тканей новообразования, что позволяет изучить их структуру.
МРТ назначается для определения размеров, формы и локализации очагового образования. Но также как и УЗИ, не позволяет определить доброкачественность или злокачественность процесса.
Рентгенологическое исследование, перед проведением которого вводятся специальные вещества, содержащие радиоактивный йод.
Методика используется для уточнения расположения опухоли и выявления метастатических поражений.
Является единственным методом определения доброкачественности или злокачественности процесса. Суть процедуры заключается в осуществлении забора образцов тканей образования.
Полученный материал направляют на цитологическое исследование. Изучение биопата под микроскопом позволяет определить наличие раковых клеток и установить точный диагноз.
Лабораторные исследования
Кроме инструментальных методов диагностики, пациенту назначаются анализы крови и мочи.
Лабораторные исследования позволяют определить наличие и количество белковых соединений, уровень гормонов, лейкоцитов, тромбоцитов и других веществ.
Оперативное вмешательство
Узлы или образование удаляются с помощью скальпеля. Операция проводится при наличии образований больших размеров.
Недостатком процедуры является длительный период восстановления.
Лучевая терапия
На патологический очаг воздействуют при помощи ионизирующего излучения. Метод позволяет снизить риск развития осложнений.
Методика может применяться при множественных очаговых образованиях. После лучевой терапии возможно развитие побочных эффектов.
Химиотерапия
Химиотерапевтические препараты используются с целью замедления процесса распространения раковых клеток и уменьшения размера образования.
Но после курса химиотерапии также возникает ряд побочных эффектов.
Эмболизация
В сосуды, питающие новообразование, вводятся специальные частицы, которые называются эмболы. Они способствуют закупорки сосудов.
В результате прекращается кровоснабжение опухоли, а недостаток питательных веществ приводит к гибели мутированных клеток.
Также для лечения опухоли печени могут быть использованы такие методики как криобляция и химиоэмболизация. Но их применение возможно только в случаях, когда размер новообразований составляет не более 5 см.
Выбор метода терапии осуществляется лечащим врачом на основе результатов инструментальных и лабораторных методов диагностики.
Возможные осложнения
Если не лечить заболевание, с течением времени возникают осложнения. В результате разрастания опухоли отмечается нарушение работоспособности органа.
У пациентов отмечается проявление асцита, когда в брюшной полости накапливается жидкость. Также среди осложнений наблюдаются желтуха, внутренние кровотечения в результате разрыва селезенки. В отдельных случаях отмечается нарушение метаболизма.
Прогноз
То, сколько живут при опухолях печени, зависит от характера течения заболевания, формы и стадии развития. В случае когда новообразование не имеет в составе раковых клеток, прогноз благоприятный.

Но при установлении злокачественного образования достаточно часто наблюдается летальный исход в результате развития осложнении. После проведения операции по удалению образования средняя продолжительность жизни составляет три года.
Меры профилактики
Для того чтобы снизить риск развития образований на тканях печени, следует соблюдать ряд мер профилактики. В первую очередь необходимо сбалансировано питаться. Из рациона нужно убрать все жирные, соленые, жареные и копченые продукты. Ежедневно надо употреблять свежие фрукты и овощи.
Также специалисты рекомендуют отказаться от вредных привычек, таких как курение и употребление спиртных напитков.
Важно заниматься спортом, вести активный образ жизни, исключать стресс и своевременно лечить все воспалительные заболевания органов брюшной полости.
При работе на вредном производстве необходимо пользоваться специальными средствами индивидуальной защиты. Они позволят снизить риск негативного воздействия на организм.
Пациентам следует раз в год проходить профилактические осмотры и при возникновении неприятных симптомов обращаться к врачу.
Опухоли, поражающие печень, могут иметь как доброкачественное, так и злокачественное течение. В первом случае они развиваются медленно и обнаруживаются случайным образом, так как не сопровождаются симптомами.
Но раковые образования не только характеризуются ярко выраженными признаками, но и опасны для жизни и здоровья человека. Именно поэтому при установлении заболевания не стоит откладывать лечение. Снизить риск осложнений и летального исхода поможет только своевременная терапия.
Источник:
Гиперваскулярный очаг это
На почках, как и на других органах могут появляться новообразования. Доброкачественные отличаются тем, что не склонны к метастазированию и не вызывают сбои в работе почек.
Во время диагностики очень важно определить природу опухоли, чтобы назначить соответствующее лечение. Одним из признаков злокачественного новообразования является большое количество сосудов, находящихся рядом с опухолью. Такое новообразование называется гиперваскулярным.
Причины появления
Появлению такого образования способствуют провоцирующие факторы. Самыми распространенными являются:
- Отягощенная наследственность.
- Врожденные патологии почек.
- Последствия инфекционного процесса.
- Большое количество воспалительных заболеваний.
- Травмы почек.
- Вредные привычки.
- Ожирение.
- Гемодиализ.
- Гормональные нарушения у женщин после 45 лет.
Если опухоль появилась на правой почке, то при росте она передавит нижнюю полую вену. В дальнейшем это может привести к тромбоэмболии легочной артерии. При объемном образовании на левой почке нарушается венозный кровоток.
Механизм развития
Рак развивается под воздействием вышеперечисленных факторов. В эпителии возникает перерождение. Эпителиальная клетка приобретает другую структуру. По истечению времени она не отмирает, а наоборот, начинает стремительно расти.
Некоторые клетки отрываются и с кровотоком присоединяются к другим органам. На них они также разрастаются и это называется метастазированием. Такой процесс происходит в течении всего лишь нескольких месяцев.
Разновидности
Если диагностировано гиперваскулярное образование на почке, то следует для начала разобраться в разновидностях, чтобы понять что это такое.
Рак лоханки
Самое частое новообразование. Сначала протекает без симптомов. По мере увеличения опухоли проявляется соответствующая симптоматика. Начальным проявлением является небольшое поднятие температуры тела, которая продолжается долгое время. Затем присоединяются другие симптомы, говорящие о наличии злокачественной опухоли.
Гипернефрома
Является самой опасной из опухолей. Локализуется в ткани нефрона. При диагностике нужно проводить гистологическое исследование. Является гиперваскулярным образованием, так как окружено множеством сосудов.
Саркома почки
Образование опасно для жизни и поражает преимущественно почки детей. Если саркома обнаружена на одной почке, то в скором времени возникнет и на второй. При такой опухоли метастазы довольно быстро поражают другие органы. Частичная резекция органа способствует ускорению разрастания раковых клеток. Поэтому, при наличии саркоме показано полное удаление органа.
Клиническая картина
Пока опухоль малых размеров, то она может не проявлять себя. Однако с ее увеличением могут возникать симптомы, которые указывают на злокачественный характер новообразования:
- Снижение массы тела при полноценном питании.
- Интоксикация, характеризующаяся необоснованной слабостью и упадком сил.
- Гематурия неизвестной природы.
- Лихорадка.
- Бледность кожных покровов.
- Артериальная гипертензия.
- Отеки ног.
- Увеличение лимфатических узлов.
- Боли в пояснице.
Данные симптомы наблюдаются при значительном размере опухоли. Главной проблемой является не сама опухоль, а ее метастазирование, которое вызывает проблемы в работе других органов.

Иногда опухоль маскируется под другие заболевания. При давлении на другие органы может происходить симуляция симптомов.
Важно знать, что при макрогематурии без почечных колик следует провести обследование на предмет злокачественных опухолей.
Методы диагностики
Если наблюдаются симптомы, говорящие о возможном наличии злокачественной опухоли, то следует обратиться к врачу. Сначала врач проводит общий осмотр пациента и пальпацию. Иногда опухоль больших размеров можно обнаружить с помощью пальпации. Далее проводится ряд инструментальных и лабораторных исследований, в которые входят:



