Что такое метаплазия желудка и можно ли ее вылечить
Когда в эпителии желудка образуются клетки разнообразных органов желудочно-кишечного тракта, к примеру, толстого или тонкого кишечника, речь идет о желудочной метаплазии.
Данная проблема проявляется на фоне другой патологии, когда погибают здоровые клетки, расположенные в эпителиальной оболочке.
Новообразованные клетки начинают выполнять физиологичные функции кишечника, что сопровождается потерей свойств желудка.
Особенности заболевания
Что собой представляет метаплазия желудка? На метаплазию желудка указывает патологический процесс, при котором особые клетки эпителия желудка существенно повреждаются из-за воздействия неблагоприятных факторов.
Через определенный промежуток времени на данном месте образуются клетки, которые специфичны для другого органа ЖКТ.
Это приводит к тому, что желудок не справляется со своими функциями, так как обнаруженные клетки выполняют новые функции.
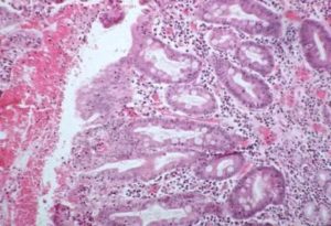
Кишечная метаплазия желудка – это процесс перерождения железистого эпителия желудка в кишечник. Обкладочные клетки, отвечающие за кислотность, утрачивают свои установленные функции, в результате чего наблюдается пониженный уровень кислотности желудочного сока, нарушается переваривание пищи.
Желудочно-кишечный тракт претерпевает кардинальные трансформации, способные понизить его функционирование, поэтому требуется неотложное лечение, диета. При кишечной метаплазии нарушается обмен веществ.
Наблюдается низкий уровень деятельности желудка, вследствие которого человек находится в опасном, но излечимом состоянии. Когда начинают размножаться клетки толстой кишки, состояние можно назвать предраковым. Не следует самостоятельно назначать себе симптоматические препараты.
При обнаружении признаков болезни, необходимо обратиться к квалифицированному врачу.
Следует понимать, что вылечить данное заболевание можно. Однако необходимо начинать терапию на ранних стадиях недуга, пока не начались осложнения.
Метаплазия не является самостоятельным заболеванием. Как правило, она сопровождает течение другого недуга.
Когда на человеческий организм оказывают влияние неблагоприятные факторы в течение длительного времени (нерациональное питание, курение, медикаменты, спиртные напитки), в слизистой желудка можно обнаружить изменения. Вначале проявляется воспалительный процесс в желудке.
Если не начать своевременное правильное лечение, то процесс приобретет хронический характер. После того, как клетки потеряют все свои функции, они атрофируются. Если вовремя не обнаружить патологию, явление может перерасти в дисплазию и рак.
Причины развития воспалительного процесса могут быть самые разные. В основном, это язвенный недуг двенадцатиперстной кишки и желудка, гастрит, спровоцированные особой бактерией – Хеликобактер Пилори. Частота вспышек заболевания достаточно высокая, что связано с халатностью большинства больных, а также несвоевременным обращением к доктору.
Вторая наиболее распространенная причина недуга – рефлюксная болезнь, при которой содержимое желудка забрасывается в пищевод, либо желчь проникает в желудок, так как пилорический отдел не функционирует должным образом. Третья причина воспаления – регулярное раздражение, негативное воздействие на слизистую желудка, различные болезни, нарушения гормонального фона.
Разновидности патологии
В медицине различается два вида метаплазии желудка: толстокишечная неполная, тонкокишечная полная.
Учитывая площадь видоизменений, степень распространения поражения, можно выделить такие формы: легкая (5% поражений), умеренная (20%), выраженная (более 20%).
Что касается степени тяжести атрофии железистого слоя, выделяют такие разновидности, как: полная (С), промежуточная (В), незначительная (А).
Тонкокишечную метаплазию, в отличие от толстокишечной формы, не следует относить к предраковым недугам.
Это обусловлено тем, что тонкокишечной метаплазии желудка присуща трансформация одного органа на другую форму секреции, но функции клеток сберегаются.
Толстокишечная метаплазия сопровождается нарушением в процессах дифференцирования клеток, поэтому данные трансформации имеют все признаки дисплазии, что указывает на злокачественность.

По характеру поражения различают реснитчатую, антральную и панкреатическую форму. Еще интересного — о полипах антрального отдела желудка можно прочитать в статье по теме. Опасность патологии заключается в том, что отсутствуют специфические признаки. Обнаружить недуг можно, основываясь на проявлениях основного заболевания, вызвавшего патологические процессы в желудочно-кишечном тракте.
При гастрите с повышенной кислотностью преобладают болезненные ощущения натощак, голод в ночное время и постоянная изжога.
Что касается язвенного заболевания, то боль локализуется в желудке на голодный желудок, обострения происходят весной, осенью.
Если причиной развития метаплазии выступает рефлюксный недуг, то симптоматика будет следующей: рвота, боли, горечь в ротовой полости, изжога, отрыжка.
Диагностика метаплазии
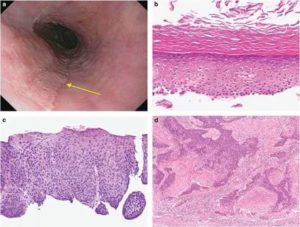
Основной способ постановки диагноза – гистологическое обследование. Его проводят с помощью диагностической фиброэзогастродуоденоскопии с биописей. Простыми словами, прибор возьмет немного измененных тканей, чтобы провести глубокий анализ.
Поставить точный диагноз можно на фоне проявления клеток специфического характера, которые синтезируют сульфамуцин, а также новых антигенов на клеточных поверхностях. Сульфамуцин – это особое вещество, способное связывать канцерогены. Лечащий врач обязан указать месторасположение, размеры опухоли. В качестве дополнительного варианта диагностики используется эндоскопия хроматическая.
Патологические ткани необходимо окрасить особым красителем, а именно – синим метиленовым. В результате трансформированные клетки получат специфический окрас. Данный метод способен обнаружить не только наличие метаплазии желудка, но и ее степень (выраженную, слабую и умеренную).
Лечебные рекомендации
Лечение назначает лечащий врач, основываясь на полученных результатах обследования. Очень важно вовремя обнаружить метаплазиию и начать курс терапии. Лечебный курс состоит из диеты, коррекции режима дня и применения медикаментов, а также народных средств и профилактических мероприятий.
В первую очередь нужно лечить основной недуг. Если имеется хронический гастрит, обнаружена бактерия Хеликобактер, понадобится эрадикационная терапия и контроль лечащего доктора. Если причина воспалительного процесса кроется в рефлюксной гастроэзофагеальной болезни, то нужно пить препараты, способные нормализовать секрецию желудочного сока, такие как:
- ингибиторы помпы протонной: Рабепрозол, Омепразол;
- антацидные средства: Маалокс, Магнагель, Фосфалюгель;
- Н2-гистаминоблокаторы: Фамотидин, Ранитидин, Циметидин.
Помимо этого, необходимо принимать репаранты (Солкосерил, Сукральфат), а также прокинетики (Домперидон).
Хорошо зарекомендовали себя проверенные народные средства, а именно травяные отвары. Можно приготовить отвар из корня алтея, календулы, ромашки, тысячелистника.
Для этого нужно взять по одной чайной ложке каждой из указанных трав, заварить крутым кипятком. Настаивать на протяжении одного часа. Пить трижды в день за 30 минут до приема пищи по тридцать миллилитров.
Данный способ можно использовать по согласованию с врачом.
Важно подкорректировать режим питания, дня. Длительность здорового сна должна составлять не менее семи-восьми часов. Что касается питания, оно должно быть дробным, сбалансированным и здоровым. Питаться показано не менее пяти раз в день, не допуская продолжительных перерывов.
Из рациона исключается острая, соленая, жирная, копченая, жареная пища, крепкий чай, молоко и кофе, алкогольные и газированные напитки. В рационе должны преобладать овощи, фрукты, каши. Пациент должен придерживаться строгого режима, чтобы избежать осложнения патологии.
При диагнозе метаплазия желудка очень важно своевременно начать терапию и придерживаться строгой диеты. Больного ставят на диспансерный учет. Необходимо регулярно проходить обследование, чтобы контролировать недуг и избежать осложнений.
Источник:
Сколько живут с метаплазией желудка. Метаплазия желудка, ее причины и симптомы — Новая медицина
Представляет собой хроническое прогрессирующее воспалительное поражение слизистой желудка, на фоне которого постепенно утрачиваются обкладочные железы желудка и развивается атрофия с последующей метаплазией участков его слизистой.
Причины
Атрофия слизистой желудка отличается медленным прогрессированием. Заболевание развивается на фоне длительно текущей хеликобактерной инфекции и аутоиммунных процессов, при которых собственные антитела повреждают G-клетки желудка, которые являются основной составляющей обкладочных желез.
H.pylori провоцирует хроническое повреждение клеток, тем самым ослабляя местные защитные свойства слизистой желудка, вследствие чего токсины и свободные радикалы беспрепятственно проникать в ткани и повреждают ядра клеток. В результате таких процессов формируются гибридные клетки, которые могут перерождаться в раковые, в результате чего возникает кишечная метаплазия.
На начальных этапах заболевания такие участки слизистой приобретают вид тонкокишечного эпителия, а с течением времени – толстокишечного.
[stextbox id=’info’]Чем тяжелее протекает процесс метаплазии, тем выше риск возникновения аденокарциномы желудка, в следствии чего хеликобактерная инфекция попала в список биологических канцерогенов, ведь без качественного лечения у больного со временем развивается рак желудка.
[/stextbox]
При атрофическом гастрите, возникшем на фоне аутоиммунных процессов в следствии нарушения работы иммунной системы, образуются антитела, которые воспринимают собственные ткани желудка как чужеродные. В большинстве случаев антитела вырабатываются к G-клеткам и фактору Касла, отвечающим за абсорбцию витамина В12.
Вследствие таких процессов отмечается постепенное снижение кислотности желудка, такие клетки перестраиваются и начинают продуцировать слизь вместо соляной кислоты. В результате таких патологических процессов нарушается адсорбция железа и витаминов, что вызывает развитие тяжелой пернициозной анемии.
Если аутоиммунный гастрит сочетается хеликобактерной инфекцией, предраковое состояние возникает намного быстрее.
Атрофический гастрит может возникать на фоне бесконтрольного приема медикаментов, алкоголизма, стрессов и выраженного физического переутомления, различных профессиональных вредностей, наследственных особенностей работы пищеварительной системы и тяжелых фоновых заболеваний.
Симптомы
Атрофический гастрит отличается медленным течением. На начальном этапе в патологический процесс вовлекается дно желудка, после чего изменения происходят в теле, а потом распространяются и на всю остальную слизистую.
На начальных этапах заболевание может никак не проявлять себя, что затрудняет диагностику и препятствует раннему началу лечения. Полная клиническая картина заболевая, характеризуется появлением нескольких симптомокомплексов.
Анемический синдром возникает в результате нарушения всасывания железа и витаминов, в первую очередь В12 и фолиевой кислоты в просвете желудка. Такие больные жалуются на слабость, утомляемостью, сонливостью, постоянную усталость, вследствие чего может нарушаться привычная жизнедеятельность человека.
[stextbox id=’alert’]
У больного бледнеют кожные покровы и слизистые оболочки, появляются постоянные боли в языке, жжение, слизистая языка становится лаковой. Пациент может жаловаться на нарушение чувствительности в конечностях, сухость волос и ломкость ногтей.
[/stextbox]
У больного может возникать одышка при незначительных нагрузках и колющие боли в сердце.
У больного отмечается появление тяжести в эпигастрии, болей в верхней половине живота, а также изжоги, отрыжки, тошноты, рвоты и нарушения стула.
Диагностика
Большое значение имеет ранняя и неинвазивная диагностика атрофического гастрита. Для боле точной постановки диагноза специалистами разработана диагностическая панель.
При проведении обычной гастроскопии выявить очаги дисплазии эпителия, а тем более определить их площадь чаще всего невозможно.
Для того, чтобы правильно установить площадь измененного эпителия, взять биопсию из всех измененных участков, во время гастроскопии производится окрашивание слизистой.
Посредством специальной гематологической панели Biohit удается быстро и эффективно определить степень метаплазии эпителия, атрофию слизистой и обкладочных желез, что сводит ошибки диагностирования к минимуму.
Иногда может потребоваться проведение ультразвукового исследования или магниторезонансной томографии органов брюшной полости. Также обязательно проводятся все необходимые исследования для выявления инфицированности H.
pylori: ПЦР-диагностика хеликобактер, дыхательный тест, выявление в крови антител к хеликобактер.
Лечение
В терапевтических целях, таким больным назначается лечебная диета, которая на начальном этапе включает в себя химически, термически и механически щадящую пищу. После нормализации состояния допускается употребление химически активных продуктов. Прием пищи должен быть частыми и дробными. Следует исключить спиртные напитки и курение.
При обнаружении хеликобактерной инфекции обязательным условием выздоровления является эрадикация инфекционного агента.
Современные протоколы лечения предусматривают назначение двух- или трехкомпонентной схемы, включающей антихеликобактерные антибиотики, ингибиторы протонной помпы, препараты висмута.
Только полное излечение от хеликобактерий может привести к восстановлению слизистой и снижению риска малигнизации.
Профилактика
Профилактика развития атрофического гастрита основана на ранней диагностике и лечении H.pylori, соблюдении режима дня и рационального питания, а также гигиены рук для предотвращения инфицирования.
Чем опасен «обычный» атрофический гастрит
Хронический гастрит с атрофией слизистой желудка становится все более частым диагнозом. При этом пациенты, у которых он обнаруживается, относятся к своему новому заболеванию неоднозначно.

Некоторые «отмахиваются» от него, считая, что гастрит есть практически у всех наших взрослых современников, а поэтому и не стоит им особо заниматься. Другие же, почерпнув поверхностную информацию из доступных источников, впадают в ужас и думают, что теперь рак для них неотвратим.
Иногда в этом виновны доктора, не разъяснившие своим больным суть недуга, его тяжесть, необходимость лечения и возможные последствия. Попробуем хотя бы частично восполнить данный пробел.
У здорового человека в слизистой выстилке желудка находятся железы, образующие основные компоненты желудочного сока. Ими являются соляная кислота и ферменты, которые расщепляют белки любой съеденной человеком пищи. В случае развития атрофического гастрита клетки этих желез замещаются рубцовой (фиброзной) тканью и/или клетками, схожими с кишечными.
Причины атрофии
Чтобы выбрать оптимальную лечебную стратегию, важно понимать причины болезни.
Атрофия в слизистой желудка может оказаться результатом:
- наличия микробов Helicobacter pylori;
- иммунных поломок (аутоиммунного процесса);
- пагубного влияния факторов окружающей среды (курение, диета с недостатком антиоксидантов, алкоголь, соль, нитриты, нитраты пищи и др.).
У отдельных пациентов могут присутствовать сразу несколько причин.
Виды атрофии
Оценивая атрофию, доктора отмечают, что она отличается по местонахождению, подразделяясь на:
- атрофию слизистой дна и/или тела желудка (фундальную);
- атрофию слизистой антрального (выходного) отдела желудка;
- распространенную (мультифокальную) атрофию (поражается слизистая оболочка сразу несколько частей или даже всего желудка).
Кроме того, выделяют различные степени тяжести атрофического процесса. По последней классификации, активно рекомендуемой международными экспертами, их четыре. Причем степень тяжести и площадь распространения атрофии никак не связаны с субъективными ощущениями пациента и выраженностью его жалоб.
Так, при атрофии 1-й степени (при которой риск появления рака в желудке совсем отсутствует) больной может страдать от болей и тошноты. А при атрофических изменениях, соответствующих 4-й степени, и высоком риске возможного развития онкологического процесса пациент отмечает великолепное самочувствие.
Последствия атрофии
Существует угроза перерождения атрофии в раковую опухоль.
Большинство пациентов думает, что при атрофии желудочной слизистой нарушается переваривание основных компонентов пищи и возникает «несварение».
Действительно, в случае тяжелого и распространенного атрофического процесса (особенно при фундальной атрофии) такое возможно. Однако атрофический гастрит таит и гораздо более серьезные последствия.
Международные врачебные сообщества единодушно признали, что крохотные бактерии Helicobacter pylori оказались наиболее доказанным фактором, повышающим риск образования раковых опухолей желудка. Процесс их формирования проходит не один этап. Сначала эти микробы провоцируют неатрофический гастрит.
Затем он становится атрофическим. В дальнейшем в желудочной слизистой появляются клетки, которые похожи на клетки тонкой или толстой кишки (доктора называют такую трансформацию кишечной метаплазией). Постепенно кишечная метаплазия преобразуется в дисплазию.
И финальным же стадией этого последовательного процесса является рак желудка.
Конечно же, далеко не у всех больных с атрофическим гастритом разовьются все перечисленные этапы. На процесс влияют и генетические особенности конкретного пациента, и состояние его иммунитета, и вид микробов Helicobacter pylori (они различаются по способности вызывать рак), и факторы среды, и образ жизни. Все эти факторы определяют:
- наличие и тяжесть атрофии (и кишечной метаплазии);
- влияние на выработку желудочного сока;
- степень риска образования рака.
Но у больных, инфицированных этими злосчастными микробами и имеющих тяжелый атрофический гастрит, вероятность появления рака в желудке в 5 раз больше, чем у пациентов с Helicobacter pylori, но без атрофического гастрита и в 14 раз выше, чем у счастливчиков, незараженных этими бактериями и не имеющих атрофию желудочной слизистой.

Если же атрофия имеет аутоиммунное происхождение, то увеличивается не только риск рака (в 2-4 раза), но и гормонально-активных карциноидных опухолей желудка.
Варианты течения
В ходе многолетних наблюдений исследователями было установлено, что при атрофическом гастрите возможны разные варианты, включающие:
- обратное развитие атрофии (это происходит только в теле желудка);
- стабилизацию атрофии (в особенности при легкой степени процесса);
- прогрессирование атрофии (чаще при умеренной и тяжелой атрофии, без лечения, у пожилых).
Безусловно, что при последний из них является наиболее неблагоприятным. Обратное же развитие атрофии или ее стабилизация возможны при своевременном и адекватном лечении.
Ученые, занимающиеся канцеропревенцией (предотвращением рака), приводят убедительные доказательства того, что эрадикация (полное уничтожение) микроорганизмов Helicobacter pylori снижает риск формирования рака желудка. Конечно, эффективность лечения существенно выше до развития предраковых изменений (то есть на этапе неатрофического гастрита).
Но и в случае атрофии устранение Helicobacter pylori может замедлить ее прогрессирование или даже привести к обратному развитию. Особенно хорошие результаты наблюдаются при лечении молодых больных.
[stextbox id=’warning’]
По данным японских гастроэнтерологов у пациентов младше 30 лет эффект канцеропревенции достигает почти 100%, у больных же старше 70 лет этот показатель понижается до 41% у мужчин и до 71% у женщин.
[/stextbox]
В лечении же аутоиммунного гастрита, к сожалению, пока нет таких обнадеживающих результатов. Более того, пока для врачей даже не разработаны рекомендации международного уровня (с учетом всех правил и принципов доказательной медицины).
Таким образом, атрофический гастрит хоть и считается предраковым заболеванием, но он ни в коем случае не является «смертным приговором» и вовсе необязательно закончится раком желудка.
Злокачественное перерождение желудочной слизистой представляет собой сложный, постепенный и многоступенчатый процесс, на который влияет множество разных факторов. Но появление атрофии должно быть сигналом к своевременному и грамотному лечению под руководством специалиста.
К какому врачу обратиться
Заболевания желудка, в том числе и атрофический гастрит, лечит гастроэнтеролог. На начальном этапе поможет и терапевт, и семейный врач.
По мере прогрессирования болезни обязательно нужно будет пройти ФГДС, то есть необходимо будет обратиться к опытному врачу-эндоскописту. В некоторых случаях для интерпретации полученных изменений больного осматривает онколог.
Для более тщательного лечения нужно посетить диетолога, а также физиотерапевта, и узнать о допустимых методах лечения болезни в домашних условиях.
Берегите себя и подписывайтесьна наш дзен канал, удачи!
Источник:
Кишечная метаплазия: хронический или атрофический гастрит с антральным заболеванием пищевода, его степени и как лечить диетой
Метаплазия слизистой желудка – это серьезные патологические изменения в строении слизистой оболочки. Лечение кишечной метаплазии слизистой желудка необходимо проводить своевременно и тщательно, учитывая, что кишечная метаплазия, как правило, выступает проблемой, на фоне которой активно развиваются онкологические процессы.
Таким образом, в результате патологической замены эпителия желудок не может полноценно выполнять свои функции, что нарушает процессы обмена веществ и, конечно же, пищеварения.
Сущность заболевания
Для начала необходимо разобраться, что такое метаплазия желудка. Кишечная метаплазия слизистой оболочки – это постепенное замещение желудочного эпителия кишечным. Первый – по своей природе однослойный призматический, последний же – однослойный цилиндрический, имеющий каемчатую поверхность.
Для эпителия желудка свойственно непрерывное клеточное обновление, кишечный же эпителий способностью к обновлению не обладает, точно так же, как и атрофированная слизистая желудка.
В современной медицине считается общепринятым, что кишечная метаплазия и атрофия слизистой – это стадии течения хеликобактерного хронического гастрита, чем и объясняется значение Хеликобактер пилори в развитии патологии.
Виды патологии
Согласно классификации кишечной метаплазии желудка, она делится на два типа.

Следует учитывать, что метаплазию с явными клеточными элементами тонкой или толстой кишки называют тонко- и толстокишечной. Для характеристики полноты воспроизведения кишечного фенотипа клеток используют понятия полной и неполной метаплазии. Итак:
- Полная или тонкокишечная метаплазия. Она характеризуется тем, что эпителиальная ткань желудка заменяется преимущественно бокаловидными и каемчатыми клетками. Данный тип метаплазии слизистой желудка чаще всего наблюдается у пациентов с воспалительными или язвенными проявлениями слизистой. Полная – по морфологическим признакам не имеет ничего общего с дисплазией, поэтому этот тип не считают предраковым.
- Неполная или толстокишечная метаплазия. При этом типе патологии имеются нарушения в строении и функционировании железистых клеток слизистой желудка, что ведет к изменению выделения секрета. В данном случае прослеживается сходство неполной кишечной метаплазии с дисплазией. И такой вид болезни может быть фоном для развития раковой опухоли.
Также можно выделить несколько видов метаплазии по локализации поражения:
- Очаговая. При очаговой метаплазии поражается не вся поверхность слизистой желудка, а лишь некоторые ее участки – очаги, где нарушается процесс обновления клеток. Чаще наблюдается замещение клеток желез фундального отдела желудка. Поверхностный хронический гастрит, ассоциированный с хеликобактером, с локализацией в фундальном отделе или с мультифокальным расположением ведет к деструкции желудочных желез с постепенным их фиброзированием или замещением металлизированным эпителием. Именно этот вариант гастрита может стать фоном для появления карциномы кишечного типа.
- Метаплазия антрального отдела желудка бывает очень редко. Такой вид патологии иногда вызывается несостоятельностью антрального сфинктера, в результате чего происходит рефлюкс – забрасывание желчи в желудок и раздражение его слизистой. А вот антральный хеликобактерный гастрит не ведет к развитию кишечной метаплазии, а, соответственно, к дисплазии и раку желудка.
Заболевание может вызываться рядом определенных факторов:
- Хронический гастрит. Постоянные воспалительные процессы в желудке, причиной которых является Хеликобактер пилори, могут способствовать развитию патологических изменений таких, как полная метаплазия. Так как при хроническом гастрите процесс клеточного обновления в слизистой оболочке нарушен (дисрегенерация), желудочные железы неспособны к полноценному функционированию.
- Желудочный рефлюкс. Эта патология характеризуется тем, что в желудок забрасывается содержимое двенадцатиперстной кишки, что раздражает слизистую и приводит к воспалению.
Немаловажное значение имеют:
- Стрессовые ситуации. Различные психологические перегрузки всегда негативно влияют на общее состояние организма, в том числе и на процессы, происходящие в желудке.
- Факторы внешней среды – избыточное употребление соли, горечей пищи, дефицит в рационе свежих фруктов и овощей, вредные привычки (курение и т.д.).
Важно! Хеликобактер пилори, хронический гастрит, кишечная метаплазия, атрофия и рак желудка – звенья одной цепи. Хеликобактер вызывает хроническое воспаление слизистой желудка, в последующем развиваются дисрегенераторные изменения эпителия, что является фоном для развития онкозаболевания.
Симптоматика заболевания
В связи с тем, что кишечная метаплазия не является самостоятельным заболеванием, а лишь сопровождает другие болезни желудка, у нее нет специфических, т.е. характерных только для неё, симптомов. Чаще с кишечной метаплазией сочетаются атрофические процессы в слизистой желудка, для которых характерна сниженная секреторная функция.
Поэтому пациенты с метаплазией могут жаловаться на следующие неприятные ощущения: чувство полного желудка, тяжесть в эпигастральной области после еды, отрыжка воздухом, иногда с запахом «тухлого яйца», склонность к поносам.
Боль в животе как раз не характерна для данной патологии, возможен дискомфорт в верхней половине живота в виде тяжести, переполненности желудка.
Диагностика
Диагностировать данное заболевание можно, используя метод фиброгастродуоденоскопии. Он представляет собой исследование полости желудка и части тонкого кишечника (12-перстной кишки) с биопсией – взятием образца ткани желудка на гистологический анализ, что позволит обнаружить изменения в составе тканей на уровне клеток.
Гистологическое исследование считается стандартом диагностики кишечной метаплазии, особенно в комбинации с хроматической эндоскопией. Её суть состоит в окрашивании образцов тканей специальными красителями, что позволяет оценить локализацию и размеры.
Так как очень часто кишечная метаплазия ассоциируется с хеликобактерной инфекцией, больных необходимо обследовать на Хеликобактер пилори (уреазный дыхательный тест, гастропанель, ПЦР).
Лечение заболевания
Прежде чем понять, как лечить, нужно определить объем метаплазии. От этого зависит тип лечения: медикаментозное или хирургическое. Основной лечебный подход при кишечной метаплазии, ассоциированной с Хеликобактер пилори, – это эрадикационная терапия.
Лечение проводят по схеме первой линии: ингибитор протонной помпы (ИПП) – в двойной дозе, Амоксициллин (2 г в сутки) и Кларитромицин (1 г в сутки в течение 7 дней).
При ее неэффективности (отсутствие эрадикации ХБ через 4-6 недель после полной отмены антибиотиков и антисекреторных препаратов) назначают терапию второй линии: Де-Нол (480 мг в сутки), Тетрациклин (2 г в сутки), Метронидазол (1 г в сутки) и ИПП (в двойной дозе в течение 7 дней).
Контроль эрадикации проводится с помощью уреазного дыхательного теста, а в случае иммуноферментного анализа Хеликобактер пилори, лечащим врачом, кроме эрадикации, назначается курс медикаментов, которые нормализуют микрофлору кишечника. Примером такого лекарства является «Линекс», «Лактиале», «Пробилог-форте», «Бифидумбактерин» и т.д. Также при кишечной метаплазии необходимо принимать медикаменты, действие которых направлено на:
- повышение желудочной секреции (Плантаглюцид, желудочные травяные сборы);
- предотвращение рефлюкса (прокинетики: Итаприд, Домперидон и их аналоги);
- препятствование процессу опухолеобразования (антиоксидантные витаминно-минеральные комплексы);
- нормализацию кислотно-щелочного баланса.
Когда медикаментозная терапия не решает все проблемы, необходимо применять хирургическое вмешательство. Чаще проводят лапароскопию – малоинвазивную операцию, для которой характерны: небольшое операционное поле, минимальный риск развития послеоперационных осложнений и короткий период реабилитации.

В дополнение к основному комплексному лечению можно провести терапию народными средствами, которые уменьшают воспаление, дискомфорт в области желудка. К таким средствам можно отнести различные отвары, например, с ромашкой, календулой и зверобоем.
Диета
Пациентам с данным заболеванием рекомендуется к соблюдению диета при метаплазии. Питание должно быть здоровым и сбалансированным. Необходимо исключить все вредные блюда, в том числе жареное, жирное, острое и сладкое.
Также следует воздержаться от молочных продуктов, т.к. они не обрабатываются должным образом в желудке, а дальше бродят в кишечнике с выходящими отсюда последствиями.
В ежедневный рацион нужно обязательно включать крупы, свежие фрукты и овощи.
Рекомендуется дробное питание, включающее 5-6 приемов пищи в день. Объем порции нужно делать небольшим: примерно, размер одного стакана. Последняя трапеза должны быть не позднее, чем за два часа до сна: ночные перекусы дают очень большую нагрузку на желудочно-кишечный тракт.
Обязательное правило для пациентов с кишечной метаплазией желудка – полный отказ от алкоголя и курения. Вредные привычки могут провоцировать и ускорять развитие различных патологических процессов в организме человека.
Таким образом, кишечная метаплазия является действительно опасной патологией, которая приносит массу дискомфортных моментов и при прогрессировании ведёт к развитию онкопатологии. Поэтому необходимо как можно быстрее обратиться к врачу, диагностировать патологию, чтобы начать своевременное комплексное лечение под контролем квалифицированного специалиста.
Источник:
Нашли толстокишечную метаплазию
Здравствуйте, уважаемый доктор Горковцов! Я у Вас получала уже консультации, за что большое спасибо! Я по Вашему совету снова прошла ЭГДС.
Ниже следуют результаты обследования:
Протокол исследования:
Биопсия 2 фр со свода желудка. В н/3 слизистая оболочка мозаична, истончена, по большой кривизне шероховата — биопсия 3 фр. В антральном отделе слизистая оболочка очагово гиперемирована, мозаична, атрофична- биопсия 2 фр. Перистальтика антрального отдела средними волнами. Привратник зияет.
Слизистая луковицы ДПК розовая, отечна.
Заключение:
Врач сказала, что она биопсийный материал взяла оттуда, как указал московский доктор, т.е. Вы.
Протокол прижизненного патолого-анатомического исследования биопсийного материала:
Микроскопическое описание:
Гастроэнтеролог, к сожалению, толком ничего не объяснила, когда спросила про толстокишечную метаплазию, сказала — метаплазия, потом лейкоплазия, потом рак.

Я Вас очень прошу разъяснить:
- Эти микроскопические описания, чтоб было понятно простому человеку.
- Насколько все это опасно?
- Через какое время пройти такое обследование ?
- Какие лекарства можно принимать?
С надеждой, что Вы ответите.
Ответ:
Приветствую!
По описанию в протоколе обращает на себя внимание воспаление в слизистой пищевода и желудка, а также наличие желчи в просвете желудка, что не должно быть в норме. Желчь — агрессивная среда, является раздражающим фактором для слизистой желудка и пищевода.
То, что в при биопсии не выявлен HP (микроорганизм хеликобактер, который часто является причиной воспаления) означает, что воспалительный процесс скорее всего поддерживается желчью и ее забросом в желудок и пищевод.
На это указывает результат биопсии в пищеводе в виде защитной реакции — утолщения слизистой и нарушения ее слущивания не только в поверхностных слоях (паракератоз), но и в более глубоких слоях (акантоз). Лейклоплакии в данном случае патоморфолог не указал. Состояние слизистой пищевода только указывает на хроническое воспаление и признаки рефлюкс (заброса содержимого желудка).
Настораживающих и волнительных элементов в биопсии №4 не вижу. По итогам биопсии №3 делаем заключение о хроническом воспалении в слизистой желудка. А вот в биопсии №1 и №2 воспаление активное, минимальное, но с эрозиями, то есть микроскопическими повреждениями слизистой. Настораживает в биопсии №1 и №2 обнаружение толстокишечной метаплазии.
Это неблагоприятный признак состояния слизистой желудка. Но не понятно, почему патоморфолог не описывает явления атрофии. Обычно при кишечной метаплазии атрофия присутствует. Плюс из всего этого в том, что не обнаружено неправильных атипичных клеток, дисплазии. Но толстокишечная метаплазия заставляет наблюдать за этим процессом.
Если у Вас в семье были прямые кровные родственники с раком желудка, то необходимо наблюдаться с биопсией каждый год. Если не было такого указания и при последующих биопсиях не обнаружат дисплазию, то наблюдаться каждые три года. Наблюдение за желудком нужно вести как минимум до 80 лет.
Рекомендации на сегодня:
- Выполните анализ крови — гастропанель (определением пепсиногена I и II, и их отношений, гастрина базального и стимулированного)
- Анализ на АТ к париетальным клеткам.
- УЗИ щитовидной железы и гормоны Т3 и Т4, ТТГ
- Через год гастроскопия с хромоскопией (с мителеновым синим) под седацией. Сначала отмыть желудок через эндоскоп раствором бикарбоната натрия и симитикона (и аспирировать). Покрасить мителеновым синим. Подождать 2 минуты. Отмыть все водой (и аспирировать) и посмотреть на окрашенные участки. Из них взять биопсию.
- Нужно в первую очередь связывать желчь урсодезоксихолевой кислотой. Название препаратов и дозы спросите у гастроэнтеролога.
Читайте записки врача-эндоскописта
Подписывайтесь на канал, ставьте лайки, и делитесь полезной информацией с друзьями!
Моя почта: dr-endoskopy@yandex.ru
ВНИМАНИЕ! Имеются противопоказания, проконсультируйтесь со специалистом.
Источник:
Полная и неполная кишечная метаплазия: причины возникновения, симптомы, диагностика, лечение и профилактика
Кишечная метаплазия, её типы и риски развития доброкачественных новообразований до конца не изучены. В работе медики основываются на нарушениях клеточного обмена, которые провоцируют развитие рака желудка по кишечному типу.
Кишечная метаплазия – что это?
Кишечная метаплазия – заболевание, при котором ткани слизистой оболочки желудка замещаются клетками кишечника. Впервые болезнь описал профессор Купфер более 100 лет назад.
Чаще всего страдают люди пожилого возраста. Согласно статистике, у 80% инфицированных обнаруживают хронический гастрит, а также язвенную болезнь двенадцатипёрстной кишки.
В здоровом состоянии ткани, которые покрывают стенки желудка, постоянно обновляются. При повреждении увеличивается деление клеток, что приводит к повышенной миграции и восстановлению клеточного обновления. У больных с диагнозом «хронический гастрит» этот процесс нарушается, в результате развивается неспособность желудочных желёз к выполнению своих функций, что приводит к метаплазии.
Особенности для разных частей желудка: антральный отдел, пилорическая область
Метапластические изменения могут происходить в любой части желудка, занимая только часть слизистой или всю толщу. Очаги располагаются в оболочке тела, дна или пилорической области, реже – в антральном отделе.

Желудок — это достаточно сложный орган
Важно! Патологические изменения слизистой желудка считаются предраковым состоянием, поэтому заболевание относится к категории опасных. Исследования, которые проводились многими учёными, подтвердили наличие метаплазии у 94% больных, страдающих раком желудка.
Наблюдения последних двух десятилетий подтвердили, что изменения тканей при кишечной метаплазии и раке желудка по кишечному типу (классификация по Лаурену) полностью совпадают.
Медики считают, что рак по кишечному типу возникает под действием внешних канцерогенных факторов (веществ, вызывающих раковые заболевания). Чаще возникает в теле желудка. Исследования показали, что заболевание развивается в сложных эпидемиологических районах.
Виды метаплазии слизистой желудка
Различают два типа болезни:
- полная (тонкокишечная, зрелая);
- неполная (толстокишечная, незрелая).
Зрелая метаплазия характеризуется присутствием клеток, которые находятся только в тонком кишечнике: каёмчатые, сульфамуцины, бокаловидные энтероциты. Но основным признаком, подтверждающим этот тип заболевания, считаются клетки Панета. Ткани желудка напоминают тонкий кишечник не только структурой, но и функциональными свойствами.
При незрелой метаплазии наблюдается нарушение созревания и развития желёз желудка: верхние слои практически не отличаются от нижних. Эпителий в основном состоит из клеток толстого кишечника.
Чаще встречается полный вид кишечной метаплазии, в большинстве случаев выявляется у больных с хроническим гастритом. Считается, что это переходный этап к толстокишечной метаплазии.
Важно! Согласно статистике, неполная форма при раке желудка обнаруживается в 94 % случаев. Поэтому заболевание считается предраковым состоянием, которое при несвоевременном лечении может привести к летальному исходу.
По типу распространённости поражения различают:
- слабую – локализация на 5% поверхности слизистой;
- умеренную – до 20%;
- выраженную – более 20%.
Медики выделяют кишечную метаплазию по типу патологии:
- пилорическая – трубчатые железы в теле желудка заменяются слизистыми. Они носят название «пилорические железы Штерка». Обнаруживаются, как правило, при атрофическом гастрите;
- реснитчатая – характеризуется появлением в пищеварительном тракте реснитчатых клеток, которые у здорового человека отсутствуют. Медики считают, что их образование связано с развитием метаплазии. Кроме того, патология встречается при злокачественной опухоли — аденокарциноме. Однако эта разновидность заболевания не всегда приводит к раку желудка;
- панкреатическая – встречается достаточно редко. Классифицируется появлением в тканях слизистой клеток мелкозернистой текстуры.
Очаговые и диффузные формы
Дополнительно выделяют в пилорической метаплазии очаговую и диффузную формы развития аномалии.
При очаговой разновидности происходит замещение некоторых трубчатых желёз на фоне воспалений и повреждений клеточного обновления ЖКТ. Диффузная патология характеризуется поражением слизистой желудка без нарушения строения и отмирания клеток.
Причины возникновения
К основным причинам развития болезни относят:
- воспаления слизистой желудка, вызванные различными факторами;
- раздражение ЖКТ;
- хронический эзофагит – воспаление тканей пищевода;
- длительный гастрит – особенно при повышенной кислотности желудка. В большинстве случаев развитие метаплазии связывают с бактерией Helicobacter pylori. Микроорганизм воздействует на иммунную систему и приспосабливается к её изменениям, провоцируя повреждения эпителия желудка различной степени выраженности;
- частые стрессовые ситуации;
- хронический рефлюкс – эзофагит – воздействие на слизистую стенок пищевода раздражающих факторов более шести месяцев. Воспаление возникает при выбросе или затекании желудочного сока в пищевод;
- гормональные нарушения.
Симптомы недуга
Сама по себе кишечная метаплазия не проявляется. Все симптомы относятся к недугам, которые предшествовали её развитию. Медики выделяют основные признаки болезни:
- тошнота;
- ноющая боль в эпигастральной области;
- потеря аппетита.
Эпигастральная область является частью живота в верхней, средней области сразу под ребрами
При повышенной кислотности желудка наблюдается изжога, «голодные» боли, которые усиливаются в ночное время. Если недуг сопровождается забросами желудочного содержимого в пищевод, возможно появление рвоты, ощущение горечи во рту.
Диагностика проблемы
Стандартом диагностики считается гистологическое исследование, при котором выявляют форму заболевания. Во время процедуры изучают небольшие кусочки тканей, взятые из организма человека. Метод забора клеток или эпителия называется биопсией. Это обязательный способ подтверждения диагноза при подозрении на образование злокачественных опухолей.

Для определения степени поражения дополнительно проводится исследование желудочно-кишечного тракта с помощью эндоскопического оборудования с окрашиванием клеток. Предполагаемые патологические ткани подкрашивают специальной краской – метиленовой синью, которая абсолютно безопасна для здоровья человека. Повреждённые клетки приобретают особый окрас и становятся видны под микроскопом.
Комбинация методов позволяет диагностировать заболевание более точно. Кроме того, повышается степень выявления бактерии, вызывающей хронический гастрит, и увеличивается необходимость её выявления при кишечной метаплазии с целью предотвращения предракового состояния.
Особенности лечения
Терапия полностью зависит от степени поражения слизистой. При выявлении метаплазии больного ставят на учёт к гастроэнтерологу.
Медикаментозная терапия
Лечение медикаментами в первую очередь направлено на:
- устранение гастроэзофагеальной рефлюксной болезни – заболевание, при котором происходит регулярное забрасывание кислого содержимого желудка в пищевод. Под воздействием кислоты происходит повреждение слизистой;
- подавление секреции желудка;
- уничтожение бактерии Н. pylori;
- предотвращение доброкачественных новообразований.
Схему лечения разрабатывает только лечащий врач с учётом результатов обследований. Терапию начинают с назначения:
- ингибиторов протонной помпы – современные лекарственные препараты, которые обеспечивают снижение кислотности желудочного сока. К ним относятся: рабепрозол, омепрозол, пантопразол;
- антацидов (маалокс, фосфалюгель) – средства, нейтрализующие соляную кислоту;
- Н2 – гистаминоблокаторов (циметидин, ранитидин) – антисекреторные препараты;
- гастропротекторов – при повышенной кислотности желудка предотвращают разрушение слизистой.
Беременность и детский возраст являются ограничениями для приёма некоторых лекарственных препаратов.
Для усиления эффекта дополнительно назначаются антибактериальные средства первой линии (амоксициллин, кларитромицин). Курс лечения – 7–10 дней. В случае неэффективности терапии, а также низкой чувствительности инфекции к этим средствам, выписывают антибиотики второй линии (тетрациклин, метронидазол).
Применение ингибиторов увеличивает рН желудка, понижает вязкость желудочной слизи, предотвращает разрушительное действие антибактериальных препаратов. Необходимо учитывать, что одновременно следует принимать лекарственные средства, укрепляющие иммунитет и предотвращающие развитие дисбактериоза.
Хирургическое вмешательство
Оперативное вмешательство рекомендуется при отсутствии положительного эффекта на консервативное лечение. Для того чтобы минимизировать область вмешательства в организм и степень травмирования, проводят операции с помощью специального эндоскопического оборудования.
Такая хирургия называется малоинвазивной. Она характеризуется ограниченной глубиной поражения слизистой. При необходимости проводится полное удаление повреждённого участка. В результате проведения процедуры значительно снижается риск появления канцерогенных образований.
Фотогалерея: продукты, которые можно употреблять
Можно есть мясо, приготовленное па пару. Оно сохраняет много полезных веществ для организма, столь необходимых в период болезни Абсорбирующие свойства рисовой каши успешно используются для эффективного выведения токсинов и шлаков Свежие фрукты — источник клетчатки и витаминов Свежие овощи и овощи, приготовленные на пару, не повредят желудку и будут прекрасным дополнением к диете
Применение народных средств
Народная медицина предлагает не менее эффективные методы борьбы с заболеванием. Отвары и настои из лекарственных трав и сборов уменьшают признаки воспаления, снимают болевые ощущения.
- Травяной сбор из ромашки, календулы, тысячелистника и корня алтея. Взять по 1 ч. л. каждой травы, смешать и запарить 0,5 л крутого кипятка. Настаивать в термопосуде около часа. Профильтровать и принимать по 3-4 р./день за 30 мин. до еды по 20 мл.
- Семена льна (1 ст. л.) залить кипятком и проварить 5 мин. Настоять 1–2 ч, принимать по 30 мл перед каждым приёмом пищи.
- Зверобой. Измельчить 15 гр. сушёной травы, запарить 200–250 мл кипятка. Оставить настаиваться в термосе на 12 ч., лучше на ночь. Смесь профильтровать и довести объем до 250 мл. Принимать за 30 мин. до еды по 50 мл настоя. Курс лечения – 14 дней, затем делают недельный перерыв.
Фотогалерея: популярные народные средства в лечении метаплазии желудка
Зверобой обладает вяжущими свойствами, предотвращает появление злокачественных новообразований Отвар из семян льна защищает слизистую от вредного воздействия желудочного сока Ромашка, тысячелистник, календула, корень аира оказывают противовоспалительное и ранозаживляющее действие
Осложнения
У здорового человека клетки эпителия постоянно обновляются. Под воздействием вредных факторов (алкоголь, длительный приём лекарственных препаратов, неправильное питание) слизистая постепенно видоизменяется. Если вовремя не начать лечение, воспалительный процесс переходит в хроническую форму.
Метаплазия желудка развивается на фоне сопутствующих заболеваний и последовательных изменений.
Хронический гастрит, вызванный бактерией Хеликобактер, приводит к осложнениям в виде:
- железистой атрофии – патологические изменения слизистой;
- дисплазии – нарушение эпителия и его функциональных свойств;
- неоплазии слизистой желудка – первые признаки рака.
Некоторые учёные научно доказали, что хронический гастрит, бактерия Helicobacter pylori, кишечная метаплазия, атрофия и рак желудка — звенья одной цепочки, в которой провокатором становится микроорганизм. В результате заражения формируется хроническое воспаление в слизистой оболочке, при этом происходит перерождение тканей, провоцирующие развитие рака желудка кишечного типа.
На фоне атрофического хронического гастрита, при котором возникает необратимое исчезновение желёз желудка с замещением их изменёнными тканями, в 75% случаев развивается рак ЖКТ.
Помимо бактерии H. pylori появляются другие виды микроорганизмов, которые производят канцерогенные и мутагенные вещества, ускоряющие риск появления новообразований.

Кроме того, атрофический ХГ приводит к нарушению секреции внутреннего фактора и уменьшению выработки соляной кислоты. В результате нарушается нормальное поглощение витамина В12, что приводит к появлению анемии и неврологическим нарушениям.
Слизистая желудка замещается метаплазированным эпителием, что приводит к необратимым процессам и развитию рака
Профилактические меры
К первичным мерам профилактики относятся:
- изменение питания;
- отказ от вредных привычек, в частности, алкоголя и курения;
- приём витаминных препаратов;
- умение избегать стрессовых ситуаций;
- соблюдение оптимального соотношения отдыха и работы.
При выявлении сопутствующих заболеваний, необходимо принимать меры по их излечению. В противном случае это может привести к ряду осложнений и вызвать необратимые процессы в организме. Больным с заболеваниями ЖКТ рекомендуется проходить ФГДС с биопсией не менее 1 раза в 2 года.
Кишечная метаплазия – опасное заболевание, которое провоцирует развитие рака желудка. Однако последние исследования выявили, что своевременное обращение к врачу и соблюдение всех рекомендаций замедляют или регрессируют разрушительные процессы.
- Ирен Саратова
- Распечатать
Источник:



